カテゴリ:銀歯を白くする治療



コア · 16日 10月 2025
審美歯科ブログ ファイバーコアをご存知ですか?審美歯科の土台です。
ファイバーコアは白い土台です。神経を抜いた歯に使用します。従来は金属のものを使用していました。審美歯科でオールセラミックを使用するときはファイバーコアを使用しないと金属色が透けて見えることがあります。
オールセラミック · 12日 10月 2025
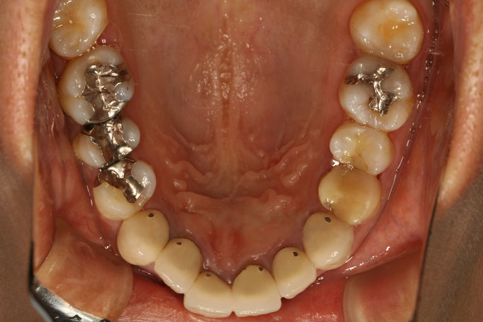
奥歯の色もこだわりたい方への審美歯科 スペシャルオールセラミッククラウンのご提案
奥歯も見た目を良くしたいと言う場合は、セラミックの種類を考えた方がよいかもしれません.今回は、当院でおこなう審美性の高いタイプのオールセラミックをご紹介いたします。
セラミックの色 · 30日 9月 2025
審美歯科ブログ  色の確認 歯の色
審美歯科治療を行う際に、歯の色を確認する必要があります。 天然の歯の色に近いものにする場合や、周囲のセラミックに合わせて作る場合や、まとめて白めに作る場合などが考えられます。 歯の色というと何となく白くしたいということをお考えの方も多いのですが、白と言ってもいろいろな種類の白さがあります。
オールセラミック · 24日 9月 2025
セラミックの種類にご注意を
セラミックと言っても何百種類ものセラミックが存在しするってことをご存知でしょうか? セラミックには種類が多いのですが、歯の色や形にどこまでこだわるかでどのタイプのセラミックを選択するか決めていただいています。(当院では、当院が厳選したセラミックの中から、歯の状況などに合うセラミックを選んで頂いております.) まず、従来のセラミックは金属の上にセラミックを焼き付けるタイプのセラミックです。メタルボンドと言われていました。通常このタイプのセラミックは近年使用されなくなってきています。
コア · 15日 9月 2025
審美歯科では神経を抜いた歯にはファイバーコアを使用します.
ファイバーコアってご存知ですか? ほとんどの方はご存知ないかと思います。神経を抜いた歯は強度が弱くなってしまいますので、歯の根っこに土台を入れます。その土台の素材がファイバーを使用しているものをファイバーコアと言っています。 従来は金属の土台を使用していましたが、見た目が黒ずんでしまうため、審美歯科治療ではファイバーの土台を使用しております。
セラミックインレー · 06日 9月 2025
審美歯科ブログ インレーってご存知ですか?
銀の詰め物を白くする審美歯科治療はセラミックインレーという方法で治療を行います。 審美歯科治療を行う際に、銀の小さい詰め物を白く場合があります。銀の詰め物の大きさによって呼び方が変わります。 歯の全周を削って被せるタイプの歯科技工物はクラウンと呼び、歯の一部奥歯の咬む面だけを削っていれるタイプはインレーと呼びます。奥歯のかむ面に十字型の金属なり補綴物が入っている場合は通常インレーです。
オールセラミック · 04日 9月 2025
審美歯科ブログ もうご存知ですね。オールセラミック
セラミックの差し歯を再治療される場合、今ならオールセラミックという差し歯の素材がお勧めなのはもうご存知ですね? インターネット上の歯科に関する質問を見ていてオールセラミックに関して誤解があるように感じましたが、歯の裏側から金属の見えてしまうオールセラミックのご質問をされている方がいました。
オールセラミック · 14日 8月 2025
奥歯の白いオールセラミックの色について
あなたは、奥歯の色がどれくらい周りの歯に調和する必要があると感じられますか? ある方は、銀歯が白くなれば十分綺麗だと感じられますし、こだわりのある方は、完全に周囲の歯と色を合わせたいということもあります。 色をどこまでこだわって合わせるかによってオールセラミックのグレードを決めていただくことになります。
ホワイトニング · 05日 8月 2025
審美歯科ブログ オフィスホワイトニング
歯がしみてしまう方のためのオフィスホワイトニングのご紹介です。 今まで、歯の色を気にされたことがない方も審美歯科治療をする際はホワイトニングをされた方が良いと思います。 審美歯科でオールセラミック治療をする場合、オールセラミックの色をつけた後から変更することができません。そのため、審美歯科をする前にホワイトニングをするかしないか決める必要があります。私は、せっかく審美歯科治療をされるなら、全体的に歯の色が白い方が綺麗に見えますのでホワイトニングをされることをお勧めしております。
ホワイトニング · 29日 7月 2025
ホワイトニングで歯がしみてしまう方のおすすめのオフィスホワイトニング
審美歯科をご希望の方は歯を全体的に白くしたいとご希望される方が多いのですが、全部の歯をセラミックにするより費用を抑えてできないかということで、ホワイトニングをいたします。ホワイトニングで白くなった歯の色に合わせてセラミックをお作りします。 ただ、ホワイトニングを経験された方に、歯がしみてできなかったという方が、いらっしゃいます。 そんな方におすすめなのがブリリカの照射機で行うオフィスホワイトニングです。

さらに表示する