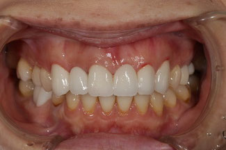
今注目の、長くなってしまった差し歯を治す新しい審美歯科治療とは。

あなたの差し歯は、再治療の度に長くなってしまっていませんか?

 

歯茎が退縮してしまって長い歯になってしまった場合や、差し歯の歯茎が下がって黒くなってしまった時にどのような治療があるかもわからない方も多いようです。

 

これは多くの審美歯科をおこおなっている病院で行っていない治療だからかもしれません。多くの歯科医院では、歯茎が退縮して歯茎が下がって歯が長くなってしまったら、歯茎の位置に合わせて差し歯を作りますので、長い差し歯になってしまいます。また、歯茎が黒いとオールセラミックにすれば治るといった誤った説明をしてしまっていることも多いようです。

 

それは、歯茎を回復させる歯茎の再生治療をご存知ないからかもしれませんし、多くの歯科医院では、歯茎の再生治療を審美歯科治療と合わせて行っていないからかと思います。

 

今注目されている差し歯の長さを短くする歯茎の再生治療は、退縮した歯茎を回復さる治療方法です。この方法を審美歯科治療と合わせて行うことで、長くなってしまった歯を元の長さに回復させたり、歯茎の黒い部分を消したりすることが可能になります。


長くなってしまった差し歯の治療法

前にも述べさせていただきましたが、長くなってしまった差し歯を歯茎の再生治療と審美歯科を合わせて行う治療法は、あまり多くの歯科医院では行っていないため、審美歯科の病院に何件断られて、回り回ってご来院される方もいらっしゃいます。

 

当院では、長くなってしまった差し歯の審美歯科治療で患者様に評価をしていただいております。


長い差し歯の再治療をする際に歯茎の再生治療とオールセラミックで治療したケース

下がった歯茎に合わせて差し歯を入れてしまって、長い差し歯が入っています。

 

前歯は最近直したので、諦めるけど、黄色くてやり直したい差し歯を歯茎の再生治療で本当に元の大きさに戻るのか試しに治してみたいという患者様です。歯茎の再生治療とオ−ルセラミックで治療を行いました。

犬歯の隣の差し歯の長さが元の歯の長さに戻って短くなったのがわかりますか?

 

歯茎の再生治療では見た目も自然な感じの歯茎ができて審美的な見た目となります。

 

前歯の治療前に、この治療法を知っていればよかったと残念がっていらっしゃいました。



前歯をオールセラミック で直したのに長さが長く不揃いなのが不満という方のための審美歯科治療ケース

治療前

 

オールセラミック で治療をされたということでしたが、歯の長さが長く見た目が悪いことを気にされて当院にご来院されました。

治療前

治療後

 

オールセラミック 6本と歯茎の再生治療6本を行うことで歯の大きさを左右対称に近づけています。

治療後


差し歯の歯茎が退縮して黒くなったところをレジンで埋めたケース

差し歯の歯茎の退縮
差し歯の歯茎の退縮 治療前

歯茎が退縮した差し歯のところに詰め物をして目立たなくしています。

しかし、色がちがってしまっていたりして見た目が良くありません。


差し歯の歯茎の退縮
差し歯の歯茎の退縮 治療後

歯茎の退縮してしまっている部分を歯茎の再生治療で回復するのと合わせてオールセラミックで治療をしています。



差し歯の歯茎が退縮して歯の根っこが露出してしまったケース

差し歯の歯茎の退縮
差し歯の歯茎の退縮 治療前

差し歯の歯茎が退縮してしまうと歯の根っこが露出してしまいます。


差し歯の境界がはっきりして見た目が悪くなってしまってします。

差し歯の歯茎の退縮
差し歯の歯茎の退縮 治療後

差し歯の歯茎が退縮していた部分を歯茎の再生治療で元の位置に戻し、オールセラミックを交換してきれいな見た目にしました。



歯茎の退縮したままオールセラミックを作成してしまい、歯が長くなってしまったケース

歯茎の退縮と長い差し歯
歯茎の退縮と長い差し歯 治療前

前歯の長さが左右で異なります。


これは歯茎が退縮したままの状態でオールセラミックを入れてしまったためです。

歯茎の退縮 治療後
歯茎の退縮と長い差し歯 治療後

オールセラミックを仮歯に変えて退縮した歯茎の部分に歯茎の再生治療を行った後の状態。


長い差し歯が元の長さに改善して、左右で同じ長さに近くなっています。



長いオールセラミックのやり直しと歯茎の再生治療を行ったケース

前歯の長さが長いとせっかくのオールセラミック治療も台無しです。

 

出っ歯を治すために、美容歯科にてオールセラミックを入れたケース。歯並びは良くなったけど、葉の長さが気になるということで再治療しました。

前歯3本の歯茎の再生治療と、オールセラミックの交換が必要でした。

 

歯の大きさが整いました。

 

このケースのように、オールセラミックの長さを変えたい場合は、長いオールセラミックを外して仮歯にしてから歯茎の再生治療を行うことになります。


歯茎の再生治療にご興味を持たれた方は、下記のページも合わせてご覧ください。

 

歯茎の再生と整形のページ



~歯茎の再生治療と審美歯科治療の注意~

 

歯茎の再生治療や審美歯科治療は保険外診療となります。当院では、歯茎の再生治療1~3本で7万7千円(税込)です。また、オールセラミック の種類によって当院では1本6万6千円(税込)~16万5千円(税込)のセラミックを選んでいただいております。

 

料金に関しましては、最小単位の標準的な料金となります。本数の多い場合は、掛け算して計算していただく必要があります。

 

歯茎が下がって歯の根っ子が露出しているようなケースのうち、歯茎の炎症がなく、歯と歯の間の骨が吸収していないケースに関しては、露出した歯の根っこを覆えることが報告されています。

 

 

歯茎の再生治療のリスク

 

外科的な治療ですので、治療後に糸でしっかりと縫う必要があります。尖ったものが刺さってしまったりして歯茎が開くと出血してしまうリスクがあります。

 

歯茎の再生治療は、歯周病の進行具合や感染の状況によって回復できる歯茎の位置が変わります。ご希望の位置まで歯茎が必ず回復する治療ではありません。

 

審美歯科のリスク

 

 審美歯科で歯並びを治す場合のリスクとしては、歯の神経を取らないとしみてしまったり、お痛みが出てしまう場合があります。また、オールセラミック の色合いはかなり天然の歯に近いものになりますが、完全に同じものではありません。

ただいま、差し歯の長さが長いとか、歯茎の黒ずみを気にされて治療を希望される方に、無料カウンセリングを行っております。この機会にご利用ください。


無料カウンセリングお問い合わせ

神田ふくしま歯科

東京都千代田区神田鍛冶町3-2-6F スターバックス上

JR神田駅北口より徒歩1分です。 (東京駅のとなりの駅です。)

03-3251-3921

0120-25-1839



長い差し歯を綺麗な見た目にする審美歯科治療

都内の審美歯科治療を行っている病院から転院されてきたケースです。

前歯に差し歯の仮歯が入っていますが、歯の長さが長く見た目がきになるので長さを合わせてほしいと、前に通っていた審美歯科治療の先生に相談されたところ、そういった治療はできないと断られたということで転院されていらっしゃいました。

当院にて歯茎の再生及び審美歯科治療を行いました。

歯の長さが左右で揃ったため、非常に満足していただけました。

 

審美歯科治療を行う際には歯の長さを左右で揃えることが見た目を改善するために重要になります。

 

せっかく審美歯科治療を行うのであれば、歯茎の形を揃えることをお勧めしております。


歯茎の退縮と新しい審美歯科に関するブログ

前歯の歯茎が退縮して長くなったのを気にしていたけど、歯茎の再生治療で満足できた。

あなたの前歯の長さは気に入っていますか?

 

歯茎が退縮して歯の長さが長くなってしまった場合の審美歯科治療をご紹介します。

 

例えばこんなお悩みの相談を受けることがあります。

  • 最近特に前歯の歯茎の退縮が進んで歯が長くなった
  • 差し歯の歯茎が退縮してきて歯のつけねが黒く見えるようになってきた
  • 矯正治療後に歯茎がだんだん退縮して歯の長さが長くなってしまった

 

前歯の歯茎が、年齢とともに退縮してきますが、歯茎の下がるスピードには個人差がありますし、歯茎にかかる強い歯ブラシや炎症・矯正・歯ぎしりなどのストレスによっても歯茎が退縮してきます。

 

歯周病の炎症が進行していないのであれば歯茎の再生治療で回復させることができる場合がほとんどです。

 

 


歯の変色や、歯茎の退縮を気にされた方の審美歯科治療例

歯茎の退縮と歯の変色したケース
歯茎の退縮と歯の変色したケース

治療前の状態

 

年々前歯の歯茎が退縮してきたということで、前歯の長さを気にされてご来院されました。

 

歯の神経が死んでしまっていることもあり、歯茎の再生治療とオールセラミック 法にて前歯の見た目を改善しました。

歯茎の退縮と歯の変色したケース
歯茎の退縮と歯の変色したケース

治療後の状態

 

歯茎の位置が回復し、歯の大きさを小さくすることができました。また、オールセラミック で自然な感じの色に見た目が改善しました。

 

当院では、エコノミータイプと言っている比較的リーズナブルな料金のオールセラミック で治療しております。料金は1本6万円(税別)かかりました。

続きを読む

前歯を短くしたい場合、歯を削らなくても良いかもしれません

歯の大きさを小さくしたいと言う方の中には歯茎が下がってしまったために歯の大きさが大きく見えてしまう場合があります.歯茎が下がってしまう事は、矯正治療を行った方でよく見かけます.

 

こういった場合は歯を削って小さくするよりも下がった歯茎を回復させて歯を小さくする歯ぐきの再生治療をお勧めしております.

前歯を小さくする歯ぐきの再生治療例

歯茎の審美歯科
歯茎の審美再生前

歯の長さが長くなってしまっています.

この歯を短く見えるようにしたい場合はセラミック治療ではなく審美的な歯茎の再生治療となります.

歯茎の審美歯科
歯茎の審美再生後1ヶ月の状態

上の前歯の並びが整い審美的な見た目となりました.

この方法のメリットは、歯を削らずに済む事と、矯正など煩わしさが無く短期間に(このケースでは1ヶ月)終了する事です.


歯茎が下がってしまっては審美歯科治療の結果も失敗に終わってしまう事があります。歯茎を整えながら審美歯科治療をする事をお勧めしております。

 

歯茎の審美歯科のページ

 

 


続きを読む

歯茎が黒いのを気にしていませんか?歯茎の黒ずみののための治療法とは

歯茎の黒ずみ
歯茎の黒ずみ

審美歯科の治療にいらっしゃる方の一つの理由に、昔の差し歯の境界のところが黒くなってしまったのを治したいという理由があります。

 

原因は歯茎がやせてしまったことにより、従来の差し歯の境界の部分が出てしまったためです。差し歯の境界は黒いのですが、歯茎の中に隠れるように歯を削っています。歯茎がやせることによって、境界の黒い部分が見えてしまいます。

 

審美歯科では、オールセラミックという境界が黒く見えにくいものを使用しているため、歯茎がさがっても目立ちにくくなっています。

 

従来の差し歯を治療されるのであれば、再治療は、オールセラミックで治されることをお勧めいたします。従来の差し歯では、しばらくするとまた歯茎が黒くなってしまうかもしれません。

 

 

 

歯茎の黒ずみの治療例

歯ぐきが黒い
従来の差し歯

歯茎の境界の黒ずみ

歯ぐきが黒い
オールセラミック

審美歯科治療を行いました。

 



続きを読む

差し歯の歯茎が下がって気になりませんか? 審美歯科Blog。

せっかく治療した差し歯の歯茎が下がってしまった場合の治療法


差し歯を入れた後に歯茎が下がって歯茎が黒く見えてしまう事があります.特に前歯の場合少し歯茎が下がって黒い部分が見えるだけでも気になる方も多いようです.

 

差し歯は気に入っているので外したくないけど、差し歯を入れた歯科医院では経過を見るしか方法がないという場合が多いようです.

 

差し歯を外さずに歯茎だけ回復させる方法があります.多くの歯科医院では行っていませんが,歯茎を回復させて歯茎の黒ずみを覆う歯茎の再生治療という方法があります.

 

前歯の歯茎の再生治療の場合,見た目にきれいな再生治療を行わなくてはいけないため修正が必要ですが、回復する事はそれほど大変ではありません.

差し歯の歯茎が下がってしまい、歯茎の再生治療を行ったケース

差し歯の歯茎が下がる
差し歯の歯茎が下がる

前歯2本の歯茎が少し下がったのを気にされてご来院いただきました.差し歯自体は大変気に入られているので、差し歯の交換はしたくないという事で歯茎の再生治療を行う事にしました.

 

よくこういったケースは経過を見ましょうと言われているうちにだんだんと歯茎の下がりが大きくなってしまう事が多いので下がった歯茎の部分に虫歯ができる前に歯茎を回復させる事をお勧めしております.

歯茎再生
歯茎再生

歯茎の再生治療後の状態ですが,少し多めに歯茎を作っています。この状態で歯茎が引き締まるのを待ってから審美的な歯茎の形に修正します.


歯ぐきの再生治療に関しましては詳しい症例のページを別に用意させて頂いております.下記のリンクページをクリックしてご覧ください.


歯ぐきの再生治療のページ

 また、歯ぐきの再生治療は保険外診療となりますので、料金のお見積もりが必要だと思います.無料カウンセリングを行っておりますのでご利用ください.無料カウンセリングにて治療方法のご説明とお見積もりのお渡しをいたします.

 

無料カウンセリングお問い合わせ

神田ふくしま歯科

東京都千代田区神田鍛冶町3−2−6F スターバックス上

JR神田駅北口より徒歩1分 (東京駅の隣の駅です.)

0120−25−1839

03−3251−3921

続きを読む

歯茎が下がってしまった歯の審美歯科は差し歯ではなく歯茎の再生とホワイトニングで行うと言う選択肢もあります.

隣の歯と長さがそろえいいのにばなぁーと思われている方へ。

 

審美歯科を行う場合に、歯のなさがとなりの歯の長さとそろわないとみためが悪く見えてしまいます。また、長くなってしまっている歯は水などがしみて知覚過敏になってしまう事があります。

 

そんな時に、歯茎の再生治療という方法がよいです。

 

周囲の歯の長さをそろえられる方法です。

 

今回は、歯の長さを歯茎の再生治療でそろえ、また知覚過敏でしみてしまう歯のホワイトニングをしたケースのご紹介です。

 


ホワイトニングの時歯がしみてしまう場合の治療

歯茎が下がってしまったケース
歯茎が下がってしまったケース

 

審美歯科治療を行う場合,オールセラミックと天然の歯の色の差が気になる場合があります.

 

通常、ホワイトニングを行って天然の歯を白くしてから、オールセラミックの色を白くなりすぎないように決めます.

 

お写真のケースは歯茎が下がってしまったために、知覚過敏が予想されるためホワイトニングを歯ぐきの再生後に行います.

 

(このケースでは先にオールセラミックを作成しております.)

歯茎が下がってしまったケース
歯茎が下がってしまったケース

歯ぐきの再生治療を行って歯茎の位置を回復しております.

 

歯の長さがきれいに戻りましたので、前歯4本のみのオールセラミック治療とし,犬歯とその奥はホワイトニングのみの治療としました.歯ぐきの再生治療で下がった歯茎を覆う事で知覚過敏の心配なくホワイトニングを行えます.

 

歯茎が下がってしまった時の審美歯科治療に関しましては下記のリンクページに詳しい内容を記載させていただいておりますのでクリックしてご覧ください。

 

歯茎が下がったときの審美歯科治療のページ

続きを読む