カテゴリ:スタンダードオールセラミック



オールセラミック · 08日 10月 2025
古くなってしまったセラミックの交換を考えている場合の注意点とは
古くなってしまったセラミックを再治療して交換したい。とお考えの方が注意するポイントをご紹介いたします。 まず、古くなってしまったセラミックを治したい理由の1番である、歯茎の黒ずみに関してのポイントです。
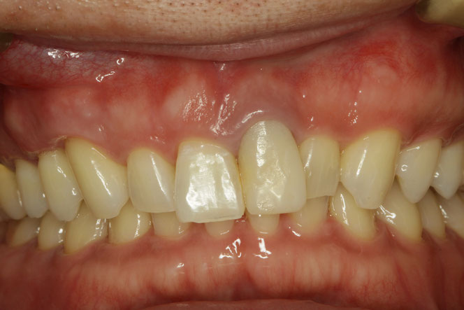
仮歯 · 28日 9月 2025
汚れた仮歯を何年もつけていると歯茎が炎症を起こします。
お写真のように、汚い仮歯を何年も入れて治療をされていると、歯茎が腫れて炎症を起こしてしまいます。まずは綺麗な仮歯に交換して歯茎の炎症を引かせる必要があります。
精密な治療 · 14日 9月 2025
精密審美歯科のセラミック治療
精密審美歯科という言葉が最近聞かれるようになってきました。この精密審美歯科というのは、審美歯科治療を精密に行うという考えの歯医者が行っている治療です。
審美歯科と歯茎 · 06日 9月 2025
歯茎の整形が必要な審美歯科ケースとは
歯茎の位置を変えずに入れた差し歯の大きさが異様に小さいという審美歯科の失敗ケースがあります。 歯の大きさが小さすぎても見た目に違和感がありますので、歯茎の整形によって平均的な大きさの歯が入るように調整します。 歯茎の整形処置は簡単な外科処置になります。お痛みはほぼ無く痛み止めを術後に飲まなくて良い場合もあります。
オールセラミック · 29日 8月 2025
強度があってきれいなスタンダードオールセラミック
審美歯科治療を行う場合,差し歯の種類を決める必要があります. オールセラミックの中でも強度のあるジルコニアフレームを使用したものをスタンダードオールセラミックでは使用しております.ジルコニアのみでは色の不透明感が強いため、ジルコニアフレームの上に審美的な透明感のセラミックを盛りたしていきます. 審美歯科治療を行う場合,歯の色のパターンがあります。スタンダードオールセラミックでは典型的な歯の透明感を使用した歯をお作りしております.
オールセラミック · 25日 8月 2025
前歯の虫歯治療を繰り返していたら歯の色がまだらになってしまった。そんな時の審美歯科治療について
前歯の歯と歯の間などに虫歯ができてしまって白い詰め物で何度も直している場合は、使用する白い詰め物の素材や時期によって色が様々に見えるため、歯の色がまだらに見えてしまいます。 単に見た目だけでなく、何度も詰め物を交換しているうちにだんだんと歯がなくなってきてしまっていたり、つぎはぎのように詰め物をしているために隙間ができて中が虫歯になりやすくなってしまっている場合もあります。
変色歯 · 22日 8月 2025
知らない人が多い!変色した歯の審美歯科治療
神経が無くなって変色した歯は歯の根っこまで変色しています.そのため,歯茎が薄い場合は歯茎が黒く見えてしまう事があります. 歯茎の厚みを増やす歯ぐきの再生治療を併用した方が審美歯科の結果を良くする場合もあります.あまり歯茎の黒ずみが気にならないと言う場合は、少し歯茎が黒いままオールセラミックを入れる場合もあります. オールセラミックの適合に問題の無い場合は、オールセラミック治療が終了した後に歯ぐきの再生治療を行う事も可能です.
歯並び · 21日 8月 2025
前歯の歯並びをオールセラミックで治したケース
前歯の歯並びを審美歯科治療で短期間に治したいというご希望の方の治療例です.極端な歯並びの不正は矯正治療が良いのですが,ケースによっては審美歯科治療できれいな歯並びにする事ができます. このケースでは歯の神経を抜かずに歯並びを改善する事ができました.また、歯の色を白くする事ができるのも喜ばれています.
オールセラミック · 12日 8月 2025
オールセラミックと保険の差し歯のちがい
いわゆる、健康保険の適応の差し歯とオールセラミックはどのようにちがうのかわからないという方も多いかと思います。今回は、保険適応の金属を使用した差し歯と金属を使用しないオールセラミックのちがいについてのご説明をさせていただきます。 保険適応の差し歯の場合、金属のフレームの上に白いプラスティックのようなものを重ねて作ります。金属のフレームが透けて見えないようにするために、1層不透明なペンキのようなものを塗り、その上に白いプラスティックを重ねます。光が完全に通らないのもあり、歯の色が不透明になります。 オールセラミックは、金属を使用しないために、透明感を調整することができます。
歯並び · 01日 8月 2025
歯並びを審美歯科で変える場合の注意
前歯の歯並びを短期間に治したいとお考えの方の中には、歯の色や形なども直したいということで、審美歯科治療を選択される方も多いのではないでしょうか。 審美歯科治療は歯を削るから嫌というお考えの方、削らないでよいなら削らないほうをもちろんお勧めしております。ただ、虫歯が進行してしまっている場合や神経を抜いてしまっている場合、差し歯がすでに入ってしまっている場合は、審美歯科治療をお勧めすることもあります。

さらに表示する