· 

下がった歯茎と審美歯科の関係

歯茎が下がってしまうと審美歯科の結果が上手く行きません.

 

それは歯の長さが長くなってしまうからです.そのため、歯茎が下がってしまった場合は、審美歯科治療前に歯ぐきの再生治療と言って歯茎を回復させる処置を行います。

 

歯茎が元の位置に戻る事で、審美歯科治療を行った時に歯の長さをちょうどいい長さにお作りする事が出来ます.


長い歯は審美歯科と歯ぐきの再生で治療します.

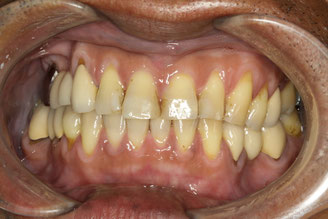
歯茎の再生と審美歯科
歯茎の再生と審美歯科

歯茎が下がってしまい、全体的に歯が長くなってしまっています.また、歯の形もすり減って四角い形になってしまっているのを修正しました。

歯茎の再生と審美歯科
歯茎の再生と審美歯科

歯茎の再生治療をする事で、歯茎の位置と歯の大きさが左右対称になりました.スペシャルオールセラミックを使用する事で自然な感じの歯が入りました.



歯茎の審美歯科のページ

 

歯茎の審美歯科のページでは歯茎の長さを整えて歯の形を整える治療をご紹介しております。長くなってしまった歯や短い歯を平均的な歯の長さにする事で審美的な歯の大きさにする事ができます。


~歯茎の再生治療と審美歯科治療の注意~

 

お写真を見ていただいてわかるように回復した歯茎が剥がれてしまっているということはありません。しっかりと厚くて丈夫な歯茎が出来上がってきています。

お写真では、上前歯6本の歯茎の再生治療と合わせてオールセラミック 5本の治療を行っております。

 

歯茎の再生治療や審美歯科治療は保険外診療となります。歯茎の再生治療6本で15万4千円(税込み)オールセラミック 5本で49万5千円(税込み)かかりました。

 

歯茎が下がって歯の根っ子が露出しています。このケースのように歯茎の炎症がなく、歯と歯の間の骨が吸収していないケースに関しては、露出した歯の根っこを覆えることが報告されています。

 

 

リスク

 

外科的な治療ですので、治療後に糸でしっかりと縫う必要があります。尖ったものが刺さってしまったりして歯茎が開くと出血してしまうリスクがあります。

 

歯茎の再生治療は、歯周病の進行具合や感染の状況によって回復できる歯茎の位置が変わります。ご希望の位置まで歯茎が必ず回復する治療ではありません。

 


神田ふくしま歯科では治療費が安いこともあり、多くの歯茎の再生、審美歯科症例を手掛けております。経験豊富なドクターが無料カウンセリングを行っております。

 

この機会に無料カウンセリングにお越しになられてはいかがでしょうか?

無料カウンセリングお問い合わせ

神田ふくしま歯科

03−3251−3921                                                        0120−25−1839

東京都千代田区神田鍛冶町3−2−6F スターバックス上  

JR神田駅北口より徒歩1分 (東京駅の隣の駅です.)

メモ: * は入力必須項目です


よくあるご質問

Q:歯茎が下がると、審美歯科治療の結果にどのような影響がありますか?

A:歯茎が下がると歯が長く見えるため、審美歯科治療をしても自然な仕上がりになりにくくなります。歯が不自然に長く見えてしまうことがあります。

 

Q:歯茎が下がった場合の対処方法はありますか?

A:はい。歯茎が下がった場合、「歯茎の再生治療」を行って歯茎を元の位置に回復させる方法があります。この治療によって歯茎を整え、より自然で美しい仕上がりを実現できます。

 

Q:歯茎の再生治療はいつ行うべきですか?

A:歯茎の再生治療は、審美歯科治療を受ける前に行うのが最も効果的です。事前に歯茎を元の健康な状態に戻すことで、適切な歯の長さで審美歯科治療を行うことが可能になります。

 

Q:歯茎が下がった状態でも審美歯科治療を受けられますか?

A:歯茎が下がった状態で審美歯科治療をすると、歯の見た目が不自然に長くなることがあります。そのため、できるだけ歯茎の再生治療を事前に行うことをおすすめしています。

 

Q:歯茎の再生治療について相談できますか?

 

A:はい、神田ふくしま歯科では、経験豊富なドクターが無料で丁寧なカウンセリングを行っております。歯茎の後退や再生治療について気になる方はお気軽にご相談ください。