審美歯科治療を行う際、特に前歯ではオールセラミックという素材が使用されることをご存知でしょうか?
保険治療やセラミックでも従来のものは金属を使用した差し歯をお口の中に入れることになります。
金属を使用した差し歯で前歯を治すと透明感が不足して人工的な歯に見えたりする問題が起こる場合がしばしばあります。
審美歯科治療を希望される方の多くは、金属を使用した差し歯の不自然さが気になってはの交換を希望される方になります。
不自然な見た目の差し歯を入れてやり直すのでは、お金が無駄になってしまいます。前歯を自然な感じに直したい場合は、オールセラミックを最初から行うことをおすすめします。
昔、差し歯をして歯が不自然だったのにオールセラミックにしてから自然な感じの綺麗な歯になったと言われる方が多いのは自然な感じの見た目の上、天然の歯より綺麗だからです。
あなたもオールセラミックで綺麗な歯にすることができます。
オールセラミックはセラミックの革新的な材料です。
見た目が自然で、汚れがつきにくいのが特徴です。
何が革新的かというと天然の歯のような透明感が出せるということです。
従来の差し歯や、保険の効く白い歯では、どうしても色が浮いた感じとなり、治療した歯というのがわかってしまうことが良くあります。
オールセラミッックで治療すると、天然の歯のように、歯の境界がぼやけた感じとなり、自然な見た目となります。
最近では、前歯の治療に関して、ほとんどの方がオールセラミックを選択されます。
歯にコンプレックスを感じないオールセラミックはおすすめです。

オールセラミックは従来の差し歯とちがい、金属を使用しません。
そのため、天然の歯にちかい透明感のある歯が入ります。また、歯茎が黒ずみにくいのも特徴です。
オールセラミックでは、何種類もの色を重ね合わせて色合いや透明感を天然の歯に近い見た目にします。

写真のケースはオールセラミックが4本入っています。
色合いや透明感を合わせる事で自然な感じの見た目になります。
写真では、オールセラミックが天然の歯のような透明感があります。また歯茎が黒ずまないのも特徴です。

従来の差し歯が壊れて来院されました.内部に金属を使用したセラミックの差し歯です.

オールセラミックでは金属を使用しないため透明感が天然の歯のように出せます.
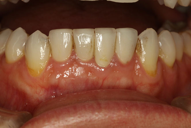
治療前、差し歯の色の変色及び、歯茎の腫れが見られます。
差し歯に汚れがついてしまっています。
オールセラミックにて治療後の状態。歯茎の状態が改善して引き締まっています。
オールセラミックは汚れがつきにくいため、歯茎の炎症が起こりにくくなります。
左が治療前です。歯の色が黄色いのもありますが、歯の透明感がないため、浮いた感じに見えます。また歯茎が黒くなって見えます。
右がオールセラミック治療後です。3本をオールセラミックで治療しています。透明感が自然な感じになりました。また、歯茎の黒ずみが気にならないと思います。
神経を抜いた歯は、コアという土台を歯の根っこにさして、その上から、セラミックなどの歯をかぶせます。
オールセラミック治療をする場合、そのコアという部分に金属を使用しない方が、見た目にきれいです。
オールセラミックは透明感があることが良いのですが、金属の土台が入っていると金属の黒い色が透けないように不透明なオールセラミックを入れることになります。
オールセラミックを使用する場合、ファイバーコアというファイバーのポストを使用した土台を使用します。ファイバーコアは白くて透明感があり、また強度もありますので、オールセラミックの治療をするときに適しています。
オールセラミックは近年多数のメーカーから開発され、かなりの種類のオールセラミックが販売されています。
作成方法のちがいと、材質のちがいによって、強度・透明感が異なります。色のバリエーションのあるタイプが多いもの少ない物もあります。
当院では、治療の状況によってどのセラミックを使用した方が良いか無料カウンセリングにてアドバイスをさせて頂いております。例えば,前歯を1本だけ治して周りの色と色を合わせる場合,周りの歯に特徴があるのであれば、色のバリエーションの多いタイプのオールセラミックをお勧めしたり,まとめて6本の変色した歯を治すならなるべく白くしたい方は透明感の少ないタイプのオールセラミックでも良いと思います。
ジルコニアという素材をご存知でしょうか?オールセラミックの中でも現在のところ一番強いと言われている材質です。金属と同じ程度の強さでもあります。
そのため、強度のあるオールセラミックを希望される方は現在はジルコニアのオールセラミックをお勧めしております。
特に奥歯のかみ合わせがきつい方は、噛む面を含めてすべての素材をジルコニアで覆うタイプのオールジルコニアというタイプのものを使用します。
また、ジルコニアは加工が難しいため、前歯などの透明感のグラデーションの調整が必要な歯は、ジルコニアのフレームの上に透明感のあるオールセラミックを盛り足して色を調整します。
~審美歯科治療の注意点~
審美歯科治療は保険外診療となります。オールセラミック で歯並びなどを治す場合、オールセラミック の種類によって当院では1本6万6千円(税込)~16万5千円(税込)のセラミックを選んでいただいております。また、神経のない歯はオールセラミック とは別にファイバーコア(税込2万2千円)という歯の土台の料金がかかる場合があります。
料金に関しましては、1本あたりの標準的な料金となります。多数の歯を治す場合は、本数分の治療費がかかります。
審美歯科治療では、歯の大きさや形の修正、歯の変色の改善、歯並びの改善を目的にオールセラミック などの材料を使用しております。リスク等もございますのでご確認ください。歯茎の位置を改善するために歯茎の再生・整形を行う場合は別途料金がかかります。
・料金と選択方法
オールセラミック治療は保険外診療となります。オールセラミックの種類によって1本66,000円(税込)~165,000円(税込)の料金がかかります。また、神経のない歯はオールセラミックとは別にファイバーコアという歯の土台の料金22,000円(税込)がかかる場合があります。当院では、患者さんのニーズに合わせてセラミックの種類を選択できるように強度重視・自然さを重視などセラミックの特色に合わせて対応させていただいております。
・リスクと対策
オールセラミックの色合いはかなり天然の歯に近いものになりますが、完全に同じものではありません。当院ではご希望に合わせて高精度の写真や技工士さんの立ち合いなどこだわったオーダーメイドセラミックを作製することも可能です。
また、セラミック治療をする場合、歯を削る必要があります。治療後に知覚過敏を起こすことがあります。当院では神経のある歯を削った後はコーティング剤を塗布し、処置後しばらくは熱いものや冷たいものなどの刺激物を取らないよう気を付けていただいております。
ただいま、オールセラミックにて治療を希望される方に無料カウンセリングを行っておりますのでご利用ください。無料カウンセリングは御予約制とさせていただいております。
神田ふくしま歯科
東京都千代田区神田鍛冶町3-2-1サンミビル6F
03-3251-3921
0120-25-1839
神田ふくしま歯科では、最近オールセラミックのお値段に関するお問い合わせをいただくことが多くなっていますので、ご質問があった内容をご紹介いたします。当院では、精密審美歯科治療を行っているため、セラミックの精度に関してはお値段にかかわらず良いものを提供しておりますが、色や形のこだわりによって、熟練の技工士さんにお願いする関係で、お値段のグレートを決めさせていただいております。
以下にご質問の内容をご紹介いたします。
Q. 審美歯科の症例数が多い医院で相談をしましたが、その医院ではe-maxが透明感もあってお勧めと言われてお値段が15~17万円といわれましたが、貴院では6万円台です。いくら自由診療だからとはいえ、10万円も差がつくとは考えにくいのですが、なぜでしょうか?メーカーの違いによるものでしょうか?
A.当院は審美歯科治療の症例数が多いため、
お問い合わせ
神田ふくしま歯科
東京都千代田区神田鍛冶町3−2−6F スターバックス上
03−3251−3921
0120−25−1839
エコノミーオールセラミック治療例。
¥60,000−(税別)のオールセラミック。e-maプレスにて治療しております.)
~審美歯科治療の注意点~
審美歯科治療は保険外診療となります。オールセラミック で歯並びなどを治す場合、オールセラミック の種類によって当院では1本6万6千円(税込)~16万5千円(税込)のセラミックを選んでいただいております。また、神経のない歯はオールセラミック とは別にファイバーコア(税込2万2千円)という歯の土台の料金がかかる場合があります。
料金に関しましては、1本あたりの標準的な料金となります。多数の歯を治す場合は、本数分の治療費がかかります。
審美歯科治療では、歯の大きさや形の修正、歯の変色の改善、歯並びの改善を目的にオールセラミック などの材料を使用しております。リスク等もございますのでご確認ください。歯茎の位置を改善するために歯茎の再生・整形を行う場合は別途料金がかかります。
また、審美歯科で歯並びを治す場合のリスクとしては、歯の神経を取らないとしみてしまったり、お痛みが出てしまう場合があります。痛みの症状が出た場合は歯の神経を取り除く必要がある場合があります。また、オールセラミック の色合いはかなり天然の歯に近いものになりますが、完全に同じものではありません。
神田ふくしま歯科では最近、『オールセラミックの治療費』についてお問い合わせをいただくことが増えております。そこで今回は、患者様から実際にいただいたご質問と、その回答をご紹介いたします。
当院では『精密審美歯科治療』を基本としているため、使用するセラミック素材については、費用に関係なく、精度や品質の高いものをご提供しています。ただし、特に色合いや形状などに細部までこだわりをお持ちの方の場合には、特別に熟練した歯科技工士に製作を依頼するため、技工士の技術や手間に応じて費用に差を設けております。
以下は、実際に患者様からいただいた質問内容です。
Q. 他の審美歯科治療の実績が豊富な歯科医院で相談をしたところ、「e-maxは透明感があり、おすすめです」と説明され、費用は15~17万円と案内されました。しかし、神田ふくしま歯科さんでは同じe-maxでも6万円台とのことでした。いくら自由診療とはいえ、10万円もの差があるのは納得がいきません。これはメーカーの違いなどによるものでしょうか?
A. 当院では審美歯科治療の症例数が非常に多いため、治療にかかるコストを抑えることが可能になっております。また、当院でも特別な色や形状にこだわった仕上げをご希望の方向けに、熟練したベテラン技工士が丁寧に製作するオールセラミックを約20万円の価格帯でご提供しております。
つまり当院では、『価格を抑えたセラミック治療』から『細部まで徹底的にこだわったハイクラスの治療』まで幅広くご用意し、患者様ご自身が費用とクオリティのバランスを自由に選択できる料金体系となっております。
また一般的に、郊外の歯科医院では審美歯科治療の症例数が比較的少なく、治療単価を高めに設定しているケースが多いようです。そのため、都心部で多数の症例を扱う当院と価格差が生じてしまうことがあるのです。
神田ふくしま歯科では経験豊富なドクターによる無料カウンセリングを実施しています。審美歯科治療に関する費用や品質、素材選びについて疑問や不安がありましたら、ぜひお気軽にご相談ください。患者様のご要望に合った最適な治療プランをご提案いたします。
無料カウンセリングのお問い合わせ
神田ふくしま歯科
東京都千代田区神田鍛冶町3−2−6F スターバックス上
JR神田駅北口より徒歩1分 (東京駅の隣の駅です。)
0120−25−1839
03-3251-3921
最近、「他の歯科医院では15万円前後と聞いたのに、神田ふくしま歯科では6万円台とお手頃なのはなぜですか?」というご質問を多くいただきます。
その理由は、当院の症例数が非常に多いことにあります。
多くの審美歯科治療を行っていることで、セラミック素材や技工工程を効率的に管理でき、結果として高品質な治療を適正な価格でご提供できるのです。
また、当院では「費用を抑えた治療」から「細部までこだわったハイクラス治療」まで、
患者さまご自身のご希望に合わせて選べる料金体系を採用しています。
ご安心ください。
神田ふくしま歯科では、費用にかかわらずすべてのセラミック治療で高い精度と品質を維持しています。
セラミックの素材(e-maxなど)は、どのプランでも同じく信頼性の高いメーカーの材料を使用しています。
費用の違いは、主に「技工士の手間やデザインのこだわり度」によるものです。
たとえば、
色の再現や透明感に細かくこだわる方
歯の形や自然な光沢をより追求したい方
には、**熟練の技工士が一点ずつ仕上げるハイグレードタイプ(約20万円前後)**をご案内しています。
一方、自然で美しい仕上がりを希望しつつもコストを抑えたい方には、
**スタンダードプラン(6万6千円〜)**でも十分ご満足いただける品質です。
オールセラミック治療は保険外診療となります。
神田ふくしま歯科では、
1本あたり66,000円(税込)〜165,000円(税込)
神経のない歯は、**ファイバーコア(土台)22,000円(税込)**が別途必要な場合があります。
多数の歯を治す場合は、その本数分の費用がかかります。
また、審美歯科治療では歯を削る必要があるため、治療後に一時的な知覚過敏が出ることがあります。
その際は、コーティング剤で刺激を抑え、食事の注意点も丁寧にご案内いたします。
オールセラミックの色合いは天然の歯に非常に近いですが、
全く同じ色を再現することは難しいため、患者さまの希望に合わせた色合わせの調整を行っています。
✨神田ふくしま歯科では、「安心・納得の価格」で見た目も機能も自然な美しさを追求しています。
費用・素材・仕上がりについて不安がある方は、ぜひ無料カウンセリングへお越しください。
経験豊富なドクターが、あなたにぴったりの治療プランをご提案いたします。
📍 神田ふくしま歯科
🏢 東京都千代田区神田鍛冶町3-2-6F(スターバックス上)
🚉 JR神田駅北口(モンダミン口)より徒歩1分(東京駅の隣の駅です)
📞 0120-25-1839 / 03-3251-3921
ブロブの記事に興味を持たれた方は上の共有ボタンのクリックをお願いします.
審美歯科治療を行う際には、オールセラミックの歯のの色合いと透明感を調整する必要があります。
お口の中に実際入れて試適した状態でお写真をお取りして色合いや透明感の確認を行います。色合いや透明感が周囲の歯と調和しない場合はもう一度お預かりして調整を行います。
前歯2本のジルコニアオールセラミックの色合わせをしました。少し透明感が足りないようですので、もう一度お預かりして修正しました。
オールセラミックのページ
こういったセラミックの修正に関しましては、セラミックのプランんによって料金がかかる場合があります.一般的な色に関しましては、スタンダードオールセラミックにて十分きれいですが,こだわって色を調整したい方には向いていません.
通常のスタンダードオールセラミックでは細かい調整はできないため、修正の都度1本1万円の追加料金をいただいております.基本的に色合いをこだわりたい方はスペシャルオールセラミックかエクセレントオールセラミックをお勧めしております.
審美歯科の注意
・料金と選択方法
オールセラミック治療は保険外診療となります。オールセラミックの種類によって1本66,000円(税込)~165,000円(税込)の料金がかかります。また、神経のない歯はオールセラミックとは別にファイバーコアという歯の土台の料金22,000円(税込)がかかる場合があります。当院では、患者さんのニーズに合わせてセラミックの種類を選択できるように強度重視・自然さを重視などセラミックの特色に合わせて対応させていただいております。料金に関しましては、1本あたりの標準的な料金となります。多数の歯を治す場合は、本数分の治療費がかかります。
・リスクと対策
オールセラミックの色合いはかなり天然の歯に近いものになりますが、完全に同じものではありません。当院ではご希望に合わせて高精度の写真や技工士さんの立ち合いなどこだわったオーダーメイドセラミックを作製することも可能です。
審美歯科治療では、歯の大きさや形の修正、歯の変色の改善、歯並びの改善を目的にオールセラミック などの材料を使用しております。リスク等もございますのでご確認ください。歯茎の位置を改善するために歯茎の再生・整形を行う場合は別途料金がかかります。
また、セラミック治療をする場合、歯を削る必要があります。治療後に知覚過敏を起こすことがあります。当院では神経のある歯を削った後はコーティング剤を塗布し、処置後しばらくは熱いものや冷たいものなどの刺激物を取らないよう気を付けていただいております。
審美歯科治療で『オールセラミック』の歯を作る際には、周囲の歯と自然に馴染むよう、色合いや透明感を慎重に調整する必要があります。
治療の際には、まず実際に出来上がったオールセラミックの歯をお口の中に仮に装着(試適)します。その状態で写真を撮影し、色合いや透明感が周囲の歯と自然に調和しているかを丁寧に確認します。
もし色合いや透明感が合わず、不自然な印象を与えてしまう場合には、一度歯をお預かりして再度細かく調整を行います。こうして、より自然で美しい仕上がりを目指していきます。
神田ふくしま歯科では、経験豊富なドクターが無料カウンセリングを行っています。歯の色や透明感にこだわりたい方、オールセラミックによる美しい仕上がりを希望される方は、ぜひお気軽にご相談ください。あなたの笑顔が一番輝く仕上がりをご提案いたします。
お問い合わせ
神田ふくしま歯科
東京都千代田区神田鍛冶町3−2−6F スターバックス上
03−3251−3921
0120−25−1839
A. 実際にお口の中で試適(しせき)しながら、周囲の歯との色調を細かく確認・調整します。
オールセラミック治療では、周囲の歯と自然に調和する色合いや透明感が非常に重要です。
神田ふくしま歯科では、以下の手順で慎重に調整を行っています。
試適(仮装着)
出来上がったセラミックの歯を実際にお口に装着し、光の当たり方や透明感を確認します。
撮影による確認
写真を撮って、肉眼では見えにくい微妙な色の違いをチェックします。
必要に応じて再調整
色合いや透明感が周囲の歯と合わない場合は、技工所に戻して再度修正します。
💬 こうした細やかな工程を重ねることで、「どれがセラミックかわからない」ほど自然な仕上がりを目指します。
A. はい。使用するセラミックのグレードによって、色の調整精度や料金が異なります。
当院では、患者様のご希望に応じて複数のプランをご用意しています。
| プラン名 | 特徴 | 料金(税込) |
|---|---|---|
| スタンダードオールセラミック | 標準的な色調調整。自然で十分美しい仕上がり。 | 66,000円〜/本 |
| スペシャルオールセラミック | 色・透明感を細かく調整可能。より自然な見た目に。 | 132,000円〜/本 |
| エクセレントオールセラミック | 技工士立ち会いのもと、オーダーメイドで制作。最高級仕上げ。 | 165,000円〜/本 |
また、神経のない歯に使用する場合は、別途ファイバーコア(土台)費用22,000円(税込)がかかる場合があります。
⚠️ スタンダードプランでは細かい色の再調整は有料(1回につき約1万円)となります。
色合いにこだわりたい方は、スペシャル以上のプランをおすすめします。
A. 治療後に知覚過敏が出る場合や、歯の色を完全に再現できない場合があります。
審美歯科治療では、自然な見た目と機能性を両立させるために歯を削る必要があります。
そのため、以下の点にご注意ください。
歯を削ることで一時的に知覚過敏が出ることがあります。
→ 当院ではコーティング剤を塗布し、刺激を最小限に抑えます。
オールセラミックの色合いは天然歯に非常に近いですが、完全に同じ色にはできません。
→ より自然な見た目をご希望の場合は、技工士立ち会いの調整も可能です。
歯ぐきの位置を整える必要がある場合は、歯ぐきの整形や再生治療を追加で行う場合もあります。
💡 治療前にしっかりカウンセリングを行い、ご希望の色味や形を確認してから治療を開始します。
「周囲の歯と自然に馴染むセラミックにしたい」
「前歯の透明感をもっときれいに整えたい」
「自分の歯の色に合ったセラミックを作りたい」
神田ふくしま歯科では、
オールセラミック治療に関する無料カウンセリングを実施しています。
患者様のお口の状態を丁寧に診断し、
最適なセラミックの種類・色調整方法・費用をご案内いたします。
神田ふくしま歯科
東京都千代田区神田鍛冶町3−2−6F(スターバックス上)
JR神田駅北口より徒歩1分(東京駅の隣駅)
📱 0120-25-1839
☎ 03-3251-3921
前歯の抜けてしまったときはオールセラミックブリッジがおすすめです.
また、歯を抜いたときは歯茎が窪んでしまう事が多く、そういった場合は歯ぐきの再生治療もおすすめです.

左の前歯が抜いてしまってない所をオールセラミックブリッジで治療しています.通常、歯を抜いてオールセラミックを入れる場合、歯を抜いた後の歯茎の部分がくぼんでしまって、ブリッジが入ってしまっているのがわかるように見えます。
このケースでは、歯を抜いたようには見えないように歯茎の整形を行っています.歯茎のくぼんだ部分に皮膚を移植して厚みを回復させています。
そのため、オールセラミックのブリッジで本当は歯がないのですが、見た目的に、ご自身の歯が歯茎の中から生えているように見えます.
また、オールセラミックを使用しているので、透明感が歯と同じように調整していて自然に見えます。オールセラミックブリッジを希望される方は下記のリンクページに詳しい内容を記載させて頂いております.クリックしてご覧ください。
オールセラミックブリッジのページ
オールセラミックブリッジの治療を希望される方はただいま無料カウンセリングを行っております.無料カウンセリングにて治療方法のご説明、お見積もりのお渡しをいたします.無料カウンセリングは御予約制となります.
オールセラミックブリッジのお問い合わせ
神田ふくしま歯科
東京都千代田区神田鍛冶町3−2−6F スターバックス上
JR神田駅北口より徒歩1分 (東京駅の隣の駅です.)
0120−25−1839
03−3251−3921
~審美歯科治療の注意点~
審美歯科治療は保険外診療となります。オールセラミック で歯並びなどを治す場合、オールセラミック の種類によって当院では1本6万6千円(税込)~16万5千円(税込)のセラミックを選んでいただいております。また、神経のない歯はオールセラミック とは別にファイバーコア(税込2万2千円)という歯の土台の料金がかかる場合があります。
料金に関しましては、1本あたりの標準的な料金となります。多数の歯を治す場合は、本数分の治療費がかかります。
審美歯科治療では、歯の大きさや形の修正、歯の変色の改善、歯並びの改善を目的にオールセラミック などの材料を使用しております。リスク等もございますのでご確認ください。歯茎の位置を改善するために歯茎の再生・整形を行う場合は別途料金がかかります。
また、審美歯科で歯並びを治す場合のリスクとしては、歯の神経を取らないとしみてしまったり、お痛みが出てしまう場合があります。痛みの症状が出た場合は歯の神経を取り除く必要がある場合があります。また、オールセラミック の色合いはかなり天然の歯に近いものになりますが、完全に同じものではありません。
~歯茎の再生治療の注意~
お写真や治療法のご説明の内容を掲載する際には、料金や治療のリスクを表示することになっております。治療を検討される際には、注意も合わせてご確認ください。
歯茎の再生治療は保険外診療となります。当院では、歯茎の再生治療1~3本で7万7千円(税込)かかります。また、術後は歯ブラシができないため、病院で消毒・クリーニングを行います。消毒も保険外となりますので、1回の消毒・クリーニングに¥5,500−(税込)の費用がかかります。通常4回の消毒にお越しいただいております。
歯茎が下がって歯の根っ子が露出しているケースのように歯茎の炎症がなく、歯と歯の間の骨が吸収していないケースに関しては、露出した歯の根っこを覆えることが報告されています。歯周病が進行したケースなど歯を支える骨の吸収したケースでは、歯茎が回復しない場合もあります。
n 歯茎の再生治療のリスクと対策
歯茎の再生治療は外科的な治療ですので、治療後に糸でしっかりと縫う必要があります。尖ったものが刺さってしまったりして歯茎が開くと出血してしまうリスクがあります。また、術後に腫れや痛みが出ることがあります。そのため、当院では、出血予防止血対策にに止血用マウスピースをお渡ししております。また、術後の注意を守っていただいております。
歯茎の再生治療は、歯周病の進行具合や感染の状況によって回復できる歯茎の位置が変わります。ご希望の位置まで歯茎が必ず回復する治療ではありません。当院では、審美的な回復のための方法も行っておりますので併せて紹介しております。
前歯が抜けてしまった場合の治療には、『オールセラミックブリッジ』がおすすめです。
前歯は笑ったときや話をするときに目立つ場所なので、治療するなら自然な見た目にこだわりたいものです。しかし、実際に歯を抜いてオールセラミックブリッジを入れると、歯を抜いた部分の歯茎が窪んでしまい、ブリッジだということが他人にもわかりやすくなってしまうことがあります。
実は、この「歯茎のくぼみ」はとてもよくある問題で、多くの方が悩まれています。そこでおすすめしたいのが『歯ぐきの再生治療』です。
この治療では、歯茎のくぼんでしまった部分に自分の口の中の健康な歯ぐきや皮膚を移植することで、歯茎の厚みを回復させて自然な状態を再現します。
たとえば、左の前歯を抜いてしまい、オールセラミックブリッジで治療したケースでは、本来なら歯茎が窪んでしまい、見た目が不自然になりがちです。しかし、このケースではブリッジを入れる前に歯茎の整形を行い、自分の皮膚を移植して歯茎に自然なボリュームを持たせています。
その結果、実際には歯がないところでも、まるで自分の歯が歯茎の中から自然に生えているような美しい見た目を実現しています。
歯茎の再生治療を行うことで、「人工の歯が入っている」と他人に気付かれることなく、自然で美しい仕上がりになります。見た目の美しさに加えて、機能面でもしっかりと噛むことができます。
神田ふくしま歯科では、このような『オールセラミックブリッジ』と『歯ぐきの再生治療』を組み合わせた治療を行っています。経験豊富なドクターが無料のカウンセリングで、あなたに最適な治療法をご提案します。前歯の抜けた後の見た目や歯茎の状態が気になる方は、ぜひお気軽にご相談ください。
無料カウンセリングのお問い合わせ
神田ふくしま歯科
東京都千代田区神田鍛冶町3−2−6F スターバックス上
JR神田駅北口より徒歩1分 (東京駅の隣の駅です。)
0120−25−1839
03-3251-3921
A. オールセラミックブリッジによる治療が、自然な見た目と機能を両立できます。
前歯は笑ったときや話すときに最も目立つ部分です。
そのため、見た目に違和感が出にくい治療を希望される方が多くいらっしゃいます。
インプラント以外の選択肢として、オールセラミックブリッジがおすすめです。
ブリッジとは、両隣の歯を支えにして人工の歯を橋のように固定する方法で、
セラミック素材を使用することで、自然な透明感と美しい仕上がりを実現できます。
オールセラミックブリッジは金属を使わないため、
金属アレルギーの心配もなく、長期間にわたって白さを保つことができます。
A. 歯ぐきの再生治療を併用することで、自然な歯ぐきの形を再現できます。
歯を抜くと、その部分の歯ぐきや骨がへこんでしまうことがよくあります。
そのままブリッジを入れると、歯が「浮いて見える」ようになり、
人工歯であることが目立ってしまう場合があります。
そこで当院では、**歯ぐきの再生治療(歯肉移植)**を併用することをおすすめしています。
歯ぐきのくぼんだ部分にご自身の口の中の健康な皮膚を移植し、
厚みと自然なカーブを回復させます。
この処置を行うことで、
まるで本物の歯が歯ぐきの中から自然に生えているように見せることができます。
💬 実際の症例では、左の前歯を抜いた患者様に歯ぐきの再生を行い、
ブリッジを入れても「歯を抜いたとは思えないほど自然な見た目」に仕上がりました。
A. オールセラミックブリッジと歯ぐき再生治療はいずれも自由診療です。
| 治療内容 | 費用(税込) |
|---|---|
| オールセラミックブリッジ | 66,000〜165,000円/本 |
| 歯ぐき再生治療(1〜3本) | 77,000円〜 |
※治療本数や状態により費用は異なります。
1️⃣ 歯や歯ぐきの状態をレントゲンやCTで診断
2️⃣ 必要に応じて歯ぐき再生治療を実施
3️⃣ 歯ぐきの形が整った後、オールセラミックブリッジを装着
外科的処置のため、術後に腫れや出血が出る場合があります。
歯周病や骨の吸収がある場合は、歯ぐきの再生範囲に制限が出ることがあります。
セラミックは天然歯に近い色味を再現できますが、完全に同じ色にはならない場合があります。
当院では、経験豊富なドクターが患者さま一人ひとりの歯ぐきの状態を丁寧に確認し、
審美性・機能性・持続性を兼ね備えた最適な治療プランをご提案いたします。
「前歯を抜いたあと、自然に見せたい」
「ブリッジでも違和感のない見た目にしたい」
「歯ぐきのくぼみをきれいに整えたい」
神田ふくしま歯科では、
オールセラミックブリッジと歯ぐき再生治療の無料カウンセリングを実施しています。
治療の流れ・費用・仕上がりのイメージを詳しくご説明し、
あなたにぴったりの治療方法をご提案いたします。
神田ふくしま歯科
東京都千代田区神田鍛冶町3−2−6F(スターバックス上)
JR神田駅北口より徒歩1分(東京駅の隣駅)
📱 0120-25-1839
☎ 03-3251-3921
神経の無い歯は褐色に変色してくる事が知られています。
変色しても虫歯や炎症がおこっていなければ健康被害は無いのですが,変色が前歯の場合は目立ってしまいますので、きれいに見えるようにしたいと言うご希望の方も多いと思います.今回は、変色した歯の審美歯科治療をきれいにする方法のご説明です.
前歯の神経を抜いた場合、変色してきたり炎症を起こして歯茎から膿が出てきてしまう事があります。
変色した歯の審美歯科治療ケース
このケースでは前歯2本が神経を抜いた後に変色してしまい、また、前歯1本は虫歯をレジンと言うプラスティック系の詰め物で治した部分が数年置きに変色してしまうので長く持つ治療を希望と言う事で、前歯3本をオールセラミックにて治療を行いました。

前歯の神経を取ってから歯の変色がおこってしまったようです.また、前歯の大きさが不揃いのため,前歯の色や形の修正を希望されました。
お写真の前歯は、根の神経が炎症を起こして根っこの先から膿が出てしまっています。また、歯の色が変色しています.

神経が無い変色した歯は、歯の内部から変色を起こしております.そのため、歯を削っても土台の色がちがいます.神経を抜いた歯の変色は歯の内部から起こりますので、オールセラミックを作成する時は歯の内部の色のちがいを調整して、すべての歯が同じ色になるようにします。
このケースのように、変色歯の治療を審美歯科で行うことができます。
変色歯の治療ケースに関しましては下記のリンクページに詳しい内容を記載させて頂いております.クリックしてご覧ください.
変色歯の治療の詳しいページ
「前歯の色が変わってしまって、鏡を見るたびに気になる…」
「神経を抜いた歯が変色してきてしまい、人前で笑うのが恥ずかしい…」
実は、神経を抜いた歯は、徐々に褐色や黒っぽく変色してしまうことがよく知られています。
変色自体は虫歯や炎症がなければ、健康面では特に問題はありません。しかし、前歯など目立つ部分が変色すると、見た目が気になり、自信をなくしてしまう方も少なくありません。
特に前歯の神経を抜く治療を受けた場合、時間が経つにつれて歯の色が目立って変色したり、炎症が起こって歯茎から膿が出てしまうこともあります。
今回ご紹介するのは、こうした『変色してしまった前歯を美しく改善するための審美歯科治療』のケースです。
実際のケースでは、患者様の前歯2本が神経を抜いた後に大きく変色してしまい、さらにもう1本は過去に虫歯治療で使ったレジン(プラスチック系の詰め物)が繰り返し変色してしまうというお悩みを抱えていました。
そこで、患者様のご希望に合わせ、前歯3本を『オールセラミック』で治療いたしました。オールセラミックは、自然な透明感と美しい白さが長期間続くため、審美性の高い仕上がりが期待できます。
「前歯の変色をきれいに治したい」
「長持ちする審美歯科治療をしたい」
そんなお悩みをお持ちの方は、ぜひ神田ふくしま歯科の無料カウンセリングにお気軽にお越しください。経験豊富なドクターが、あなたのお口の状態を丁寧にチェックし、最適な治療プランをご提案いたします。
無料カウンセリングお問い合わせ
神田ふくしま歯科
東京都千代田区神田鍛冶町3−2−6F スターバックス上
JR神田駅北口より徒歩1分 (東京駅の隣の駅です.)
03-3251-3921
0120-25-1839
~審美歯科治療の注意点~
審美歯科治療は保険外診療となります。オールセラミック で歯並びなどを治す場合、オールセラミック の種類によって当院では1本6万6千円(税込)~16万5千円(税込)のセラミックを選んでいただいております。また、神経のない歯はオールセラミック とは別にファイバーコア(税込2万2千円)という歯の土台の料金がかかる場合があります。
料金に関しましては、1本あたりの標準的な料金となります。多数の歯を治す場合は、本数分の治療費がかかります。
審美歯科治療では、歯の大きさや形の修正、歯の変色の改善、歯並びの改善を目的にオールセラミック などの材料を使用しております。リスク等もございますのでご確認ください。歯茎の位置を改善するために歯茎の再生・整形を行う場合は別途料金がかかります。
また、審美歯科で歯並びを治す場合のリスクとしては、歯の神経を取らないとしみてしまったり、お痛みが出てしまう場合があります。痛みの症状が出た場合は歯の神経を取り除く必要がある場合があります。また、オールセラミック の色合いはかなり天然の歯に近いものになりますが、完全に同じものではありません。
A. 神経を抜いた歯は、時間の経過とともに内部から変色するためです。
神経を抜いた歯(失活歯)は、時間が経つと褐色や灰色、黒っぽい色に変化していくことがあります。
これは、歯の内部に残った血液成分やタンパク質が酸化して変色していくためです。
変色自体は健康上の問題ではありませんが、特に前歯など目立つ位置にある場合、
見た目が気になり「笑うのをためらってしまう」という方も少なくありません。
また、神経を抜いた歯はもろくなりやすく、歯茎の炎症や膿が出るリスクも高まります。
そのため、見た目と健康の両面から適切な治療を行うことが大切です。
A. オールセラミック治療で、自然な白さと形を取り戻すことができます。
当院では、神経のない歯の変色に対して、オールセラミック治療を行っています。
これは、金属を一切使わず、天然の歯のような透明感と色調を再現できる審美歯科治療です。
歯の内部からの変色をカバー:
神経を抜いた歯は、内部が変色しているため、外側だけを削っても色の違いが出やすいです。
そのため、セラミックを装着する際に、歯の内部の色を調整しながら全体の色を統一します。
歯の形や大きさも同時に整えられる:
変色だけでなく、歯の形や長さが不揃いな場合も、セラミックでバランスを整えることが可能です。
長期間美しさが続く:
レジン(プラスチック系の詰め物)に比べて、変色や劣化が起きにくく、長く自然な白さを保てます。
前歯3本のうち、2本が神経を抜いた後に変色、もう1本はレジンの変色が繰り返されていました。
オールセラミックを使用し、色・形・大きさを全て整えた結果、自然な前歯に改善。
患者さまからも「笑顔に自信が持てるようになった」とご満足いただきました。
A. 自費診療となりますが、精密な治療で長持ちする美しい仕上がりを実現します。
| 治療内容 | 費用(税込) |
|---|---|
| オールセラミッククラウン(1本) | 66,000〜165,000円 |
| ファイバーコア(土台) | 22,000円 |
※治療本数や使用するセラミックの種類によって費用は変動します。
神経を抜いた歯は脆くなっているため、**土台(ファイバーコア)**で補強する必要があります。
セラミック治療の際、一時的に歯がしみたり、痛みが出る場合があります。
オールセラミックは非常に自然な色を再現できますが、天然歯と完全に同一の色にはなりません。
当院では、高性能カメラで歯の色を正確に分析し、熟練の技工士が一人ひとりに合わせて製作します。
自然で調和の取れた仕上がりを目指しています。
「神経を抜いた前歯の色が気になる」
「自然な白さの歯にしたい」
「レジンの変色を繰り返したくない」
神田ふくしま歯科では、
変色歯・オールセラミック治療の無料カウンセリングを行っています。
経験豊富なドクターが、歯の状態を丁寧に診断し、
あなたのご希望やライフスタイルに合わせた最適な治療法をご提案します。
神田ふくしま歯科
東京都千代田区神田鍛冶町3−2−6F(スターバックス上)
JR神田駅北口より徒歩1分(東京駅の隣駅)
📱 0120-25-1839
☎ 03-3251-3921
オールセラミックの表面を天然の歯のように細かい凹凸をつけるか、細かい凹凸なく反射するような表面にするか選択します。
仮歯の段階では、表面を細工する事ができませんが、オールセラミックの表面は天然の歯のように細かい凹凸を付けてリアルな感じにする事も可能です.

このオールセラミックの場合、表面に細かい白い斑点と模様、凹凸を天然の歯と同様に再現して作っています.1本だけの治療の場合、このような歯の模様まで確認する必要があります.
歯の表面の凹凸は光の反射で確認することができます。周囲の歯の状態に合わせ歯の表面の凹凸までこだわる必要はない場合もあります。こういって微調整は最終的な歯の形が決まって表面の色が決まってさらにこだわりたいときに考えることになります。通常のケースではあまり必要ない場合が多いと思います。
オールセラミックのページ
~審美歯科治療の注意点~
審美歯科治療は保険外診療となります。オールセラミック で歯並びなどを治す場合、オールセラミック の種類によって当院では1本6万6千円(税込)~16万5千円(税込)のセラミックを選んでいただいております。また、神経のない歯はオールセラミック とは別にファイバーコア(税込2万2千円)という歯の土台の料金がかかる場合があります。
料金に関しましては、1本あたりの標準的な料金となります。多数の歯を治す場合は、本数分の治療費がかかります。
審美歯科治療では、歯の大きさや形の修正、歯の変色の改善、歯並びの改善を目的にオールセラミック などの材料を使用しております。リスク等もございますのでご確認ください。歯茎の位置を改善するために歯茎の再生・整形を行う場合は別途料金がかかります。
また、審美歯科で歯並びを治す場合のリスクとしては、歯の神経を取らないとしみてしまったり、お痛みが出てしまう場合があります。痛みの症状が出た場合は歯の神経を取り除く必要がある場合があります。また、オールセラミック の色合いはかなり天然の歯に近いものになりますが、完全に同じものではありません。
「オールセラミックの歯を入れたいけど、見た目はどんな仕上がりになるんだろう?」
「天然の歯に近いリアルな感じにできるのかな…?」
実は、オールセラミックの仕上げ方には、いくつかの選択肢があります。
具体的には、表面に『天然の歯のような細かい凹凸をつけて自然な質感に仕上げる方法』と、『凹凸をあまり付けず、光をきれいに反射させるような滑らかな表面に仕上げる方法』の2種類があります。
仮歯の段階では、このような細かい調整を行うことは難しいのですが、最終的なオールセラミックの歯では、表面の仕上げ方を自由に選択できます。細かい凹凸をつければ、光の反射がより自然になり、見た目がまるで本物の歯のようにリアルで美しく仕上がります。
神田ふくしま歯科では、あなたのご希望に合わせて、オールセラミックを細かく調整し、理想的な仕上がりに近づけていきます。
「本物の歯に近い自然な仕上がりがいい」
「歯の表面をきれいに光らせたい」
そんな方はぜひ、神田ふくしま歯科の無料カウンセリングをご利用ください。経験豊富なドクターがあなたの理想やイメージを丁寧にお伺いし、最適な仕上がりになるようサポートいたします。
無料カウンセリングのお問い合わせ
神田ふくしま歯科
東京都千代田区神田鍛冶町3−2−6F スターバックス上
JR神田駅北口より徒歩1分 (東京駅の隣の駅です。)
0120−25−1839
03-3251-3921
オールセラミックの治療を検討される方から、
「天然の歯のように自然に仕上がりますか?」というご質問をよくいただきます。
実は、オールセラミックの仕上がりは「表面の凹凸(おうとつ)」によって印象が大きく変わります。
表面をどのようにデザインするかで、光の反射の仕方や質感が異なり、
よりリアルな美しさを表現することができるのです。
オールセラミックの歯は、患者さまの希望や周囲の歯との調和に合わせて、
次のような2種類の仕上げ方から選択できます。
歯の表面に細かい凹凸をつけることで、光の反射が柔らかくなり、
まるで本物の歯のような自然で立体的な質感になります。
特に、前歯など目立つ部分におすすめです。
表面をなめらかに整え、光沢を強く出すことで、
清潔感のある明るい印象に仕上がります。
歯を白く、ツヤのある見た目にしたい方に向いています。
仮歯(プロビジョナルレストレーション)の段階では、
こうした繊細な凹凸や模様の再現はできません。
しかし、最終的なオールセラミッククラウンでは、歯の表面の微細な凹凸や白い模様まで再現可能です。
特に1本だけの治療の場合、周囲の天然歯の模様・質感を細かく確認し、
隣の歯と自然に調和するように仕上げます。
「本物の歯のように自然に見せたい」
「ツヤのある白い歯にしたい」
— どちらのご希望にも対応できるよう、仕上げを細かく調整いたします。
審美歯科に精通したドクターが、歯の色調・形・質感までトータルでデザインします。
最終的な仕上げに入る前に、仮歯で形状や長さのバランスをチェックし、
完成後のイメージをすり合わせてから製作します。
当院では、治療内容や使用する素材に応じて以下の料金でご案内しております。
オールセラミッククラウン:1本 66,000円(税込)〜165,000円(税込)
ファイバーコア(土台):22,000円(税込)※神経のない歯の場合
治療本数に応じて費用が変動します。
また、歯茎の整形や歯ぐき再生を併用する場合は、別途料金が発生いたします。
審美歯科治療は**自費診療(保険適用外)**となります。
神経のある歯を削る場合、一時的にしみる・痛みが出ることがあります。
オールセラミックは天然歯に非常に近い色合いですが、完全に同一の色にはなりません。
噛み合わせや歯ぎしりの状態によっては、別途マウスピースを推奨する場合があります。
「自然な仕上がりのセラミックにしたい」
「自分に合う色味や質感を相談したい」
神田ふくしま歯科では、
審美歯科・オールセラミックの無料カウンセリングを行っております。
理想のイメージを丁寧に伺い、あなたに合ったプランをご提案いたします。
神田ふくしま歯科
東京都千代田区神田鍛冶町3−2−6F(スターバックス上)
JR神田駅北口より徒歩1分(東京駅から1駅)
📱 0120-25-1839
☎ 03-3251-3921
セラミックの歯茎が下がってしまった場合どうされますか?
通常の審美歯科の治療ではオールセラミックを交換するだけの治療となります.そのため、歯の長さが左右でちがってしまったりしばらくしてまた歯茎が下がってしまうという問題がおこってしまいます.
歯茎が下がってしまった場合は、歯茎を回復させる事を考える必要があります.
セラミックの歯茎が下がってしまったときの審美歯科治療をご紹介いたします.

きれいなセラミックでも歯茎が下がってしまうと、見た目が悪くなってしまいます.こういったケースでは、再治療のために、単純にオールセラミックを入れ替えるるだけだと、しばらくするとまた歯茎が下がってしまいますので、再治療の繰り返しになってしまいます.
こういったケースでは、歯ぐきの再生治療を審美歯科治療と平行して行う事で、将来的に差し歯の歯茎が下がってしまう事を予防する事が出来ます.

前歯のセラミックの歯茎が下がってしまった左側3本の歯茎を再生した後にオールセラミックを前歯4本に入れ替えています.
歯茎の厚みも増しましたので今後歯茎が下がる心配が軽減します.
審美歯科で歯茎が将来的に下がってほしくない方は歯ぐきの再生治療を併用される事をお勧めしております.
~歯茎の再生治療と審美歯科治療の注意~
お写真を見ていただいてわかるように回復した歯茎が剥がれてしまっているということはありません。しっかりと厚くて丈夫な歯茎が出来上がってきています。
お写真では、上前歯3本の歯茎の再生治療と合わせてオールセラミック 4本の治療を行っております。
歯茎の再生治療は保険外診療となります。歯茎の再生治療3本で7万7千円(税込)オールセラミック 4本で26万4千円(税込)かかりました。
歯茎が下がって歯の根っ子が露出しています。このケースのように歯茎の炎症がなく、歯と歯の間の骨が吸収していないケースに関しては、露出した歯の根っこを覆えることが報告されています。
リスク
外科的な治療ですので、治療後に糸でしっかりと縫う必要があります。尖ったものが刺さってしまったりして歯茎が開くと出血してしまうリスクがあります。
歯茎の再生治療は、歯周病の進行具合や感染の状況によって回復できる歯茎の位置が変わります。ご希望の位置まで歯茎が必ず回復する治療ではありません。
「せっかくセラミックの歯を入れてきれいになったはずなのに、最近歯茎が下がってきて、歯が長く見えてしまう…どうすればいいんだろう?」
そんなお悩みを持つ方は少なくありません。
実は通常の審美歯科治療では、歯茎が下がってしまったとき、『セラミックを新しく交換するだけ』という治療が一般的でした。しかしこの方法では、歯茎そのものを治しているわけではないため、一度はきれいになっても時間が経つとまた歯茎が下がってしまったり、左右の歯の長さがバラバラになってしまったりする問題が起きやすいのです。
つまり、本当に美しく自然な状態を保つためには、『歯茎自体を回復させる』必要があります。
神田ふくしま歯科では、セラミック治療後に歯茎が下がってしまった場合、『歯茎の再生治療』を行っています。この治療は、下がってしまった歯茎を元の健康的な位置まで回復させ、左右でバランスの整った美しい歯茎のラインを取り戻すことができます。
セラミックをただ交換するだけでは解決しない、歯茎の根本的な問題を治療することで、再び歯茎が下がるリスクを減らし、長期的に美しい口元を保つことが可能になります。
もしあなたが、「セラミックを入れたのに歯茎が下がってしまって困っている」「再びきれいな口元に戻りたい」と感じているなら、ぜひ神田ふくしま歯科の無料カウンセリングへお越しください。
経験豊富なドクターがあなたの状態を詳しく診察し、歯茎の再生治療をはじめ、最適な治療プランをご提案いたします。
美しく自然な口元を取り戻せるように、私たちが全力でサポートいたします。
無料カウンセリングのお問い合わせ
神田ふくしま歯科
東京都千代田区神田鍛冶町3−2−6F スターバックス上
JR神田駅北口より徒歩1分 (東京駅の隣の駅です。)
0120−25−1839
03-3251-3921
~再生治療で歯茎を整え、自然で長持ちする美しさへ~
A1:歯茎そのものが薄くなったり、支える骨が減っていることが原因です。
セラミック自体に問題がなくても、歯茎が下がってしまうと、
歯が長く見える
歯茎との境目が黒く見える
左右の歯の長さが不揃いになる
といった見た目の不調和が生じます。
多くの歯科医院では「セラミックの交換」で対応しますが、
歯茎そのものの再生を行わない限り、時間とともに再び下がってしまうことがあります。
A2:歯茎の再生治療とセラミックの再製作を組み合わせるのが理想です。
下がった歯茎を**「歯茎の再生治療」**で健康的な位置まで回復させてから、
新しいセラミックを装着することで、見た目と機能の両方を改善できます。
この方法なら、
歯茎ラインが自然に整う
再び歯茎が下がるリスクを軽減できる
審美性と耐久性が長期間維持できる
といったメリットがあります。
A3:根本原因(歯茎の後退)を治療するかどうかが大きな違いです。
単にセラミックを交換するだけでは、歯茎が下がる原因を改善できません。
結果として、数年後にまた歯茎が下がり、再治療を繰り返すことになります。
一方、歯茎の再生治療を併用すれば、
厚みのある強い歯茎を作り、将来の歯茎下がりを防ぐことが可能です。
A4:前歯3本の歯茎を再生し、4本のセラミックを新しくしました。
お写真のケースでは、前歯のセラミック3本の歯茎が下がっていました。
歯茎の再生治療で歯茎を厚くし、位置を回復させた後、
4本のオールセラミッククラウンを装着しました。
治療後は歯茎ラインが自然に整い、透明感のある美しい仕上がりとなりました。
再生した歯茎は丈夫で、今後の後退リスクも大幅に減少しています。
A5:保険外診療となり、内容により費用が異なります。
| 治療内容 | 費用(税込) | 備考 |
|---|---|---|
| 歯茎の再生治療(3本) | 77,000円 | 麻酔・縫合込み |
| オールセラミック(4本) | 264,000円 | 審美的な前歯の仕上げ |
※症例により追加処置が必要になる場合があります。
詳しいお見積りはカウンセリング時にご案内いたします。
A6:外科的な処置のため、一時的な腫れや出血が出ることがあります。
治療後は糸で歯茎を縫合し、数日〜1週間で安定します。
また、
尖った食べ物などで歯茎を刺激しない
正しいブラッシングを続ける
ことで、トラブルを防ぐことができます。
歯周病や感染がある場合、歯茎の回復範囲が限られることもありますが、
当院では事前にCT検査で状態を確認し、最適な治療計画を立てています。
A7:次のようなお悩みがある方におすすめです。
セラミックを入れたが、歯茎が下がってきた
歯の根元が黒く見えて気になる
歯の長さが不揃いで、笑うと不自然に見える
将来的に歯茎が下がらないように予防したい
こうしたケースでは、歯茎の再生治療+審美治療の組み合わせが最も効果的です。
📍 神田ふくしま歯科
〒101-0044 東京都千代田区神田鍛冶町3-2-6 スターバックス上 6F
📞 フリーダイヤル:0120-25-1839
📞 代表電話:03-3251-3921
🚉 JR神田駅 北口(モンダミン口)より徒歩1分(東京駅の隣駅)
歯茎再生+セラミック治療を組み合わせた審美歯科
顕微鏡・CTを使用した精密診断と治療
自然な歯茎ラインを取り戻す歯周・審美融合治療
経験豊富なドクターによる無料カウンセリング
「セラミックを入れたのに歯茎が下がって見た目が気になる」
「再治療を繰り返したくない」
そんな方は、歯茎の再生治療を併用することで根本改善が可能です。
健康で美しい歯茎とセラミックで、自然な笑顔を取り戻しましょう。
📞 0120-25-1839 / 03-3251-3921
お気軽に無料カウンセリングへご相談ください。
審美歯科では最近使用する機会がかなり減りましたが、従来のセラミックであるメタルボンドを使用することもあります。金属のフレームの上にセラミックをくっつけたセラミックの治療法です。最近の審美歯科では、オールセラミックと言って金属を使用しない方法が主流になっています。
一番右側の写真が仮のセメントで付けた後の状態で、右から2番目の写真は仮歯の状態です。仮歯の方が白くて透明感があることがわかるかと思います。メタルボンドは特に歯茎の付け根の部分で不透明な色合いになります。そのため、周りのはより浮いた感じの白さに見えてしまいます。
また、不透明なため歯茎の黒さが出てしまい安いのも特徴です。このケースでは奥歯なので患者様も気にならないということでした。歯茎が下がってしまった場合は歯茎の再生を行います。
現在、オールセラミックの強度はジルコニアを使用した場合、メタルボンドと同じ程度の強度がありますので、金属を使用したメタルボンドを無理に使用する必要はなくなってきています。
お問い合わせ
神田ふくしま歯科
東京都千代田区神田鍛冶町3−2−6F スターバックス上
0120−25−1839
~審美歯科治療の注意点~
審美歯科治療は保険外診療となります。オールセラミック で歯並びなどを治す場合、オールセラミック の種類によって当院では1本6万6千円(税込)~16万5千円(税込)のセラミックを選んでいただいております。また、神経のない歯はオールセラミック とは別にファイバーコア(税込2万2千円)という歯の土台の料金がかかる場合があります。
料金に関しましては、1本あたりの標準的な料金となります。多数の歯を治す場合は、本数分の治療費がかかります。
審美歯科治療では、歯の大きさや形の修正、歯の変色の改善、歯並びの改善を目的にオールセラミック などの材料を使用しております。リスク等もございますのでご確認ください。歯茎の位置を改善するために歯茎の再生・整形を行う場合は別途料金がかかります。
また、審美歯科で歯並びを治す場合のリスクとしては、歯の神経を取らないとしみてしまったり、お痛みが出てしまう場合があります。痛みの症状が出た場合は歯の神経を取り除く必要がある場合があります。また、オールセラミック の色合いはかなり天然の歯に近いものになりますが、完全に同じものではありません。
最近、審美歯科治療では『オールセラミック』という金属を使用しない治療法が主流となっていますが、実は以前よく使われていた『メタルボンド』というセラミック治療法もまだ一部で使われています。
メタルボンドとは、金属のフレームの上にセラミックを貼り付けて作るタイプの差し歯のことです。ただ、この方法では、歯茎に近い部分が金属フレームの影響でどうしても不透明になってしまうため、天然の歯のような透明感が出しにくくなってしまいます。
実際の例を写真で比べると、右側の写真(メタルボンドを仮セメントでつけたもの)とその左隣の写真(仮歯の状態)では、仮歯の方が白く透明感があることがよく分かります。メタルボンドは特に歯茎との境目付近が不自然に白く見えたり、歯茎が黒っぽく見えてしまったりすることがあります。
ただし、このケースでは奥歯で目立ちにくい位置だったため、患者様自身は特に気にならないということでした。もし歯茎が下がって黒ずみが気になってきた場合は、『歯茎の再生治療』を行うことで改善が可能です。
現在の審美歯科では、オールセラミックの素材として『ジルコニア』が使われるようになり、メタルボンドと同等の強度を持ちながら透明感や自然さを出すことが可能になっています。そのため、あえて金属を使ったメタルボンドを選ぶ必要性は徐々になくなりつつあります。
「自分の歯はどのセラミックが合うのか分からない」「歯茎との境目が気になる」など、差し歯やセラミック治療でお悩みの方は、ぜひ神田ふくしま歯科の無料カウンセリングをご利用ください。
経験豊富なドクターが、あなたに最適な治療方法を丁寧にご提案いたします。自然で美しい口元を手に入れられるよう、私たちがしっかりサポートいたします。
お問い合わせ
神田ふくしま歯科
東京都千代田区神田鍛冶町3-2-6F スターバックス上
JR神田駅北口より徒歩1分 (東京駅の隣の駅です.)
03-3251-3921
0120−25−1839
営業時間
11:00~20:00
昼休み
14:00~15:30
休診日
日曜日、祝日
~昔からある金属入りセラミックと最新のオールセラミックの違い~
A1:金属のフレームにセラミックを焼き付けて作る差し歯です。
メタルボンドセラミックは、金属製の土台(フレーム)にセラミックを焼き付けて作る補綴物です。
昔から使われている方法で、強度が高く割れにくいという利点があります。
しかし、金属を使用するため、
歯茎との境目が黒ずんで見える
光の透過性が少なく不透明な印象になる
といった審美面での欠点があります。
近年は、より自然な美しさを再現できるオールセラミックが主流になっています。
A2:金属を使うかどうかが大きな違いです。
| 特徴 | メタルボンドセラミック | オールセラミック |
|---|---|---|
| 素材 | 金属+セラミック | セラミックのみ |
| 見た目 | やや不透明、歯茎との境が暗く見えることがある | 自然な透明感、歯茎となじむ色合い |
| 強度 | 高い | ジルコニア製なら同等の強度 |
| 金属アレルギー | 起こる可能性あり | なし |
オールセラミックは金属を使用しないため、
自然な透明感・色の再現性・歯茎との調和に優れています。
また、金属アレルギーの心配もありません。
A3:歯茎との境目や透明感に差が出ます。
お写真のケースでは、右の写真(メタルボンドを仮付けした状態)よりも、
左の写真(仮歯の状態)の方が白く透明感があることがわかります。
メタルボンドは金属の影響で、特に歯茎付近が不透明で浮いたような白さになります。
また、歯茎が下がると金属の色が透けて黒っぽく見えることもあります。
奥歯のように目立たない部分では問題ないこともありますが、
前歯など審美性が求められる部分にはオールセラミックがおすすめです。
A4:歯茎の再生治療で自然な状態に戻せます。
メタルボンドによって歯茎の境目が黒く見える場合、
歯茎の再生治療を行うことで歯茎のラインを整え、
自然で健康的な見た目に回復することが可能です。
A5:はい。現在はオールセラミックが主流です。
以前は「金属が入っていないと強度が不安」と考えられていましたが、
**ジルコニア(高強度セラミック)**の登場により、
オールセラミックでもメタルボンドと同等の強度が得られるようになりました。
そのため、見た目・健康面・耐久性のバランスから、
金属を使わないオールセラミック治療を選ぶ方が増えています。
A6:オールセラミックの種類によって費用が異なります。
| 治療内容 | 費用(税込) | 備考 |
|---|---|---|
| オールセラミッククラウン | 1本 66,000〜165,000円 | 素材により選択可 |
| ファイバーコア(土台) | 22,000円 | 神経のない歯に必要 |
※複数本治療する場合は本数分の費用がかかります。
※歯茎の再生や整形を併用する場合は別途費用が発生します。
A7:オールセラミックは非常に安全ですが、以下の点にご注意ください。
神経に近い歯を削る場合、しみる・痛みが出ることがあります。
神経を残した場合、経過観察中に痛みが出ることがあるため、必要に応じて神経治療を行います。
オールセラミックの色は天然歯に近いですが、完全に同一ではありません。
審美性を高める場合、歯茎の整形や再生治療を併用することがあります。
📍 神田ふくしま歯科
〒101-0044 東京都千代田区神田鍛冶町3-2-6 スターバックス上 6F
📞 フリーダイヤル:0120-25-1839
📞 代表電話:03-3251-3921
🚉 JR神田駅 北口(モンダミン口)より徒歩1分(東京駅の隣駅)
オールセラミック・ジルコニア治療に特化
精密な形成・装着を実現する拡大鏡・顕微鏡治療
歯茎の再生・整形を組み合わせた審美治療
経験豊富なドクターによる無料カウンセリング実施中
「歯茎が黒く見える」「どのセラミックを選べばいいか分からない」
そんな方は、まず無料カウンセリングでご相談ください。
あなたの歯の状態・ご希望・ご予算に合わせて、
最も自然で長持ちする審美治療プランをご提案します。
📞 0120-25-1839 / 03-3251-3921
自然で健康的な笑顔を、神田ふくしま歯科がサポートいたします。
奥歯も見た目を良くしたいと言う場合は、セラミックの種類を考えた方がよいかもしれません.今回は、当院でおこなう審美性の高いタイプのオールセラミックをご紹介いたします。

奥歯を審美歯科治療のオールセラミックで治療しました.
色を少し白目にお作りしています.天然の歯よりきれいな感じにお作りしています.
審美歯科治療をご希望される方は、奥歯もきれいにすることができます.
奥歯に関して銀歯を白くしたいと言う方も多いのかと思います、歯の神経がある歯の場合は2回から3回の治療で白い歯が入ります。
お写真ではセラミックの種類を高価なタイプを使用していますが,奥歯なので白ければよいと言う方でしたら、多少色調が異なりますが,オールジルコニアと言うタイプの強度のあるオールセラミックをお勧めしております。
スペシャルオールセラミックは保険外診療となります。
当院では¥120,000-(税別)となります。
奥歯の審美歯科治療に関しましては下記のリンクページに詳しい内容を記載させて頂いております.クリックしてご覧ください.
奥歯を白くする治療のページ
お問い合わせ
神田ふくしま歯科
東京都千代田区神田鍛冶町3−2−6F スターバックス上
JR神田駅北口より徒歩1分 (東京駅の隣の駅です.)
03−3251−3921
0120−25−1839
~審美歯科治療の注意点~
審美歯科治療は保険外診療となります。オールセラミック で歯並びなどを治す場合、オールセラミック の種類によって当院では1本6万6千円(税込み)~16万5千円(税込み)のセラミックを選んでいただいております。また、神経のない歯はオールセラミック とは別にファイバーコア(税込み2万2千円)という歯の土台の料金がかかる場合があります。
料金に関しましては、1本あたりの標準的な料金となります。多数の歯を治す場合は、本数分の治療費がかかります。
審美歯科治療では、歯の大きさや形の修正、歯の変色の改善、歯並びの改善を目的にオールセラミック などの材料を使用しております。リスク等もございますのでご確認ください。歯茎の位置を改善するために歯茎の再生・整形を行う場合は別途料金がかかります。
また、審美歯科で歯並びを治す場合のリスクとしては、歯の神経を取らないとしみてしまったり、お痛みが出てしまう場合があります。痛みの症状が出た場合は歯の神経を取り除く必要がある場合があります。また、オールセラミック の色合いはかなり天然の歯に近いものになりますが、完全に同じものではありません。
~審美歯科治療の注意点~
審美歯科治療は保険外診療となります。オールセラミック で歯並びなどを治す場合、オールセラミック の種類によって当院では1本6万6千円(税込み)~16万5千円(税込み)のセラミックを選んでいただいております。また、神経のない歯はオールセラミック とは別にファイバーコア(税込み2万2千円)という歯の土台の料金がかかる場合があります。
料金に関しましては、1本あたりの標準的な料金となります。多数の歯を治す場合は、本数分の治療費がかかります。
審美歯科治療では、歯の大きさや形の修正、歯の変色の改善、歯並びの改善を目的にオールセラミック などの材料を使用しております。リスク等もございますのでご確認ください。歯茎の位置を改善するために歯茎の再生・整形を行う場合は別途料金がかかります。
また、審美歯科で歯並びを治す場合のリスクとしては、歯の神経を取らないとしみてしまったり、お痛みが出てしまう場合があります。痛みの症状が出た場合は歯の神経を取り除く必要がある場合があります。また、オールセラミック の色合いはかなり天然の歯に近いものになりますが、完全に同じものではありません。
~スペシャルオールセラミッククラウンのご提案~
A1:はい。奥歯もセラミックで自然な白さに仕上げることができます。
「前歯だけでなく、奥歯もきれいにしたい」
そんな方には、スペシャルオールセラミッククラウンをおすすめしています。
奥歯は噛む力が強いため、強度と見た目の両立が大切です。
当院では、耐久性の高い素材を使用しながら、
天然歯のような透明感と白さを再現することができます。
A2:より美しく、より自然に見えるように仕上げた“上位グレード”のセラミックです。
「スペシャルオールセラミッククラウン」は、
光の反射や透過を細かく調整することで、
奥歯でも前歯のように自然な輝きを再現できます。
天然の歯より少し明るめの白に仕上げることも可能で、
笑ったときにも奥歯まで白く見える、美しい仕上がりになります。
A3:はい。銀歯を外して白いセラミックに置き換えることができます。
歯の神経が残っている場合は、2〜3回の通院で治療が完了します。
金属アレルギーの心配がなく、長期的にも安心です。
「保険の銀歯を白くしたい」「見た目を自然にしたい」という方には、
審美性と強度のバランスが取れたオールセラミック治療が最適です。
A4:目的やご希望に応じて、2つのタイプをご用意しています。
| 種類 | 特徴 | 費用(税込) |
|---|---|---|
| スペシャルオールセラミッククラウン | 審美性が非常に高く、自然な色調 | 約132,000円(税別120,000円) |
| オールジルコニアクラウン | 強度が高く、白く仕上がるシンプルタイプ | 約88,000円〜 |
奥歯の見た目を重視される方にはスペシャルオールセラミックを、
「強度重視で白ければ良い」という方にはオールジルコニアタイプをおすすめしています。
A5:通常2〜3回の来院で完了します。
1回目:古い被せ物を外して型取り
2回目:仮歯を装着(色や形を確認)
3回目:完成したセラミックを装着
精密な色合わせと噛み合わせ調整を行うため、
自然な見た目と快適な噛み心地を実現できます。
A6:保険外診療(自費診療)となります。
保険の銀歯とは異なり、素材・色調・製作工程すべてが異なるため、
より長持ちし、美しい仕上がりになります。
※当院のスペシャルオールセラミッククラウン:120,000円(税別)
A7:見た目だけでなく、機能面でも優れています。
金属を使用しないため、アレルギーの心配がない
歯との適合性が高く、虫歯の再発リスクが低い
変色や劣化が少なく、長期間美しさが続く
自然な光沢で、笑ったときにも奥歯まで白く見える
見た目と機能、両方にこだわりたい方におすすめの治療です。
📍 神田ふくしま歯科
〒101-0044 東京都千代田区神田鍛冶町3-2-6 スターバックス上 6F
📞 フリーダイヤル:0120-25-1839
📞 代表電話:03-3251-3921
🚉 JR神田駅 北口(モンダミン口)より徒歩1分(東京駅の隣駅)
審美性と強度を兼ね備えたオールセラミック治療
CT・拡大鏡を用いた精密な形成と装着
歯の色・形を一人ひとりに合わせてオーダーメイド製作
治療前後のシミュレーションで仕上がりを確認可能
従来の方法で審美歯科治療を行った場合,歯茎の位置が変更できないため,歯並びは良くなるけど歯の長さが調整できないという問題が起こってしまいます。
そのため、歯茎の位置が左右でそろっていない方は歯ぐきの再生治療・整形治療で歯茎の位置を整えてから審美歯科治療を行う事をお勧めしております.

八重歯の歯並びを審美歯科治療で治す場合,歯茎の位置を再生・整形するかしないかで、歯の大きさが変わります.
このお写真のケースでは、歯並びを整える事と,前歯の歯茎の整形処置をする事になりました.お写真右側の犬歯は歯茎が下がってしまっていますので、歯茎の再生治療を行って歯茎を回復させてから審美歯科治療を行う事をお勧めしますが,このケースではご希望されなかったために、歯茎の再生治療を行わずに、歯並びを審美歯科治療にて行いました.

前歯4本の歯茎は歯茎の整形処置で大きさのバランスをそろえていますが,写真右側の犬歯の歯茎の再生を行わなかったため、犬歯の長さだけが長くなってしまっています.
歯並びに関してはきれいになって満足いただけました.歯の大きさを歯茎の再生法で整える事でさらに歯のバランスを良くする事ができます.
歯茎の再生の詳しいページ

このお写真のように左右のはの位置がそろっていない場合は、歯ぐきの再生治療をお勧めしております.
このケースではご希望で左側だけの歯茎を再生しました.

左側の長かった歯が、短くなって歯の長さがそろった幹事になっているのがわかると思います.
~歯茎の再生治療の注意~
お写真や治療法のご説明の内容を掲載する際には、料金や治療のリスクを表示することになっております。治療を検討される際には、注意も合わせてご確認ください。
歯茎の再生治療は保険外診療となります。当院では、歯茎の再生治療1~3本で7万7千円(税込)かかります。また、術後は歯ブラシができないため、病院で消毒・クリーニングを行います。消毒も保険外となりますので、1回の消毒・クリーニングに¥5,500−(税込)の費用がかかります。通常4回の消毒にお越しいただいております。
歯茎が下がって歯の根っ子が露出しているケースのように歯茎の炎症がなく、歯と歯の間の骨が吸収していないケースに関しては、露出した歯の根っこを覆えることが報告されています。歯周病が進行したケースなど歯を支える骨の吸収したケースでは、歯茎が回復しない場合もあります。
n 歯茎の再生治療のリスクと対策
歯茎の再生治療は外科的な治療ですので、治療後に糸でしっかりと縫う必要があります。尖ったものが刺さってしまったりして歯茎が開くと出血してしまうリスクがあります。また、術後に腫れや痛みが出ることがあります。そのため、当院では、出血予防止血対策にに止血用マウスピースをお渡ししております。また、術後の注意を守っていただいております。
歯茎の再生治療は、歯周病の進行具合や感染の状況によって回復できる歯茎の位置が変わります。ご希望の位置まで歯茎が必ず回復する治療ではありません。当院では、審美的な回復のための方法も行っておりますので併せて紹介しております。
審美歯科の注意
・料金と選択方法
オールセラミック治療は保険外診療となります。オールセラミックの種類によって1本66,000円(税込)~165,000円(税込)の料金がかかります。また、神経のない歯はオールセラミックとは別にファイバーコアという歯の土台の料金22,000円(税込)がかかる場合があります。当院では、患者さんのニーズに合わせてセラミックの種類を選択できるように強度重視・自然さを重視などセラミックの特色に合わせて対応させていただいております。料金に関しましては、1本あたりの標準的な料金となります。多数の歯を治す場合は、本数分の治療費がかかります。
・リスクと対策
オールセラミックの色合いはかなり天然の歯に近いものになりますが、完全に同じものではありません。当院ではご希望に合わせて高精度の写真や技工士さんの立ち合いなどこだわったオーダーメイドセラミックを作製することも可能です。
審美歯科治療では、歯の大きさや形の修正、歯の変色の改善、歯並びの改善を目的にオールセラミック などの材料を使用しております。リスク等もございますのでご確認ください。歯茎の位置を改善するために歯茎の再生・整形を行う場合は別途料金がかかります。
また、セラミック治療をする場合、歯を削る必要があります。治療後に知覚過敏を起こすことがあります。当院では神経のある歯を削った後はコーティング剤を塗布し、処置後しばらくは熱いものや冷たいものなどの刺激物を取らないよう気を付けていただいております。
従来の審美歯科治療では、歯並びをきれいに整えることは可能でしたが、実は「歯茎の位置を自由に調整できない」という大きな問題点がありました。その結果、歯並びは美しくなったものの、歯の長さがバラバラに見えてしまうというケースが多かったのです。
例えば、左右の歯茎の高さがずれていると、せっかく新しい歯を入れても美しく揃って見えず、バランスの取れた理想的な笑顔になりません。
神田ふくしま歯科では、こうした悩みを解決するため、まず「歯茎の再生治療」や「歯茎の整形治療」を行って、左右の歯茎の高さをきれいに整えます。歯茎を整えた上で審美歯科治療を行うことで、歯の長さやラインが美しく揃い、より自然で調和のとれた笑顔を手に入れることが可能になります。
歯茎の位置が気になる方は、ぜひ神田ふくしま歯科にお越しください。経験豊富なドクターによる無料カウンセリングでお気軽にご相談ください。あなたに最適な治療方法を丁寧にご提案いたします。
無料カウンセリングお問い合わせ
神田ふくしま歯科
東京都千代田区神田鍛冶町3−2−6F スターバックス上
0120−25−1839
03−3251−3921
このBlogの内容に興味を持たれた方は上のシェアボタンのクリックをお願いいたします。
― 自然で美しい仕上がりのために知っておきたいポイント ―
A. 歯並びは整っても、歯の長さが左右で不揃いになる可能性があります。
従来の審美歯科治療では、歯茎の位置を変えられないため、見た目が不自然になるケースがあります。
特に左右で歯茎の高さが異なると、
歯が長く見える側と短く見える側ができる
笑ったときに歯のバランスが悪く見える
差し歯やセラミックの仕上がりが不自然になる
といった問題が起こります。
そのため、**歯茎の位置を整える「歯茎の再生・整形治療」**を併用することで、歯並びと歯茎ラインを同時に整えることが大切です。
A. 歯並びはきれいになりますが、歯の長さや形がアンバランスになることがあります。
📍例:八重歯のケース
右側の犬歯の歯茎が下がっていたが、再生治療を行わず審美歯科治療のみ実施。
歯並びは改善したものの、犬歯だけが長く見えてしまう結果に。
一方で、歯茎の再生治療を行えば、下がった歯茎を回復させ、左右対称で美しい歯のラインに整えることが可能です。
このように、歯の見た目を左右するのは「セラミックの形」だけでなく、「歯茎の高さとバランス」でもあるのです。
A. 歯茎の再生治療とは、下がった歯茎を外科的に回復させる治療です。
歯茎の再生治療では、歯茎の量を増やしたり、形を整えることで、歯の大きさやラインを左右対称にします。
💰 費用の目安
歯茎の再生治療(1〜3本):77,000円(税込)
オールセラミック治療:66,000円〜165,000円(税込)/本
ファイバーコア(土台):22,000円(税込)
⚠️ リスク・注意点
外科処置のため、治療後に軽度の腫れ・痛み・出血が出る場合があります。
歯周病や骨の吸収が進んでいる場合、歯茎の回復が難しいケースもあります。
治療後は数日間ブラッシング制限があり、医院での消毒・クリーニングが必要です(1回5,500円×4回)。
📸 症例では、再生を行った側の歯だけが短くなり、歯の長さがきれいに揃う結果を得られました。
A. 以下のような方は歯茎の再生を併用した方が良いでしょう。
前歯の歯茎の高さが左右で違う
差し歯を入れたのに歯が長く見える
八重歯や歯列の乱れで歯茎のラインが不揃い
審美歯科治療を予定している方
歯茎の位置を整えることで、セラミックの仕上がりが格段に自然になり、笑顔に自信が持てる口元になります。
📞 無料カウンセリングのご案内
「歯茎の高さが違って気になる」「差し歯を自然に見せたい」という方は、
神田ふくしま歯科の無料カウンセリングへお気軽にお越しください。
経験豊富なドクターが、お口の状態を詳しく診断し、
あなたに最適な審美歯科+歯茎再生プランをご提案します。
神田ふくしま歯科
東京都千代田区神田鍛冶町3−2−6F(スターバックス上)
📞 0120-25-1839 / 03-3251-3921
JR神田駅北口より徒歩1分(東京駅の隣の駅です)
歯茎の再生をしない審美歯科は、歯並びは整っても「歯の長さが不揃い」になるリスクがある。
歯茎の再生・整形を併用すれば、左右対称で自然な見た目に。
美しい歯並びと健康な歯茎を両立するには、「歯+歯茎」両方の治療が必要。
見た目に妥協しない、上質な審美歯科治療をお考えの方は、
歯茎まで整える新しい審美歯科をぜひ体験してください。
あなたの歯は1本だけ変色しまったりしていませんか?
審美歯科治療では、歯の変色具合によって治療方法や歯の削り具合を調節しています。

神経を抜いた場合や、金属の土台を入れて歯の色が変色した場合や、もともと何もしていないのに歯が変色している場合など、いろいろな条件の歯の変色があります。歯の表面の変色、内部からの変色など条件によってオールセラミックの治療法が変わってきます。
変色した歯があると、周囲の歯と色が合わないために目立ってしまうことがしばしば起こります.
例えば前歯6本を審美歯科治療できれいな白いオールセラミックを入れた場合,ご自身の歯が少し黄ばんで見えてしまう事があります.
テトラサイクリンなどで変色した歯の場合なおさら目立ってしまう傾向があります.歯の形を変えたくない場合は、歯の表面を1ミリ程削ってラミネートベニアと言うオールセラミックを接着する治療を行います.
変色の具合によって歯の削る量が変わります.詳しくは変色歯の歯科治療のページをご覧ください.
変色歯の審美歯科治療を希望される方はただいま無料カウンセリングも行っております.無料カウンセリングにて治療方法のご説明、お見積りのお渡しをいたします。
無料カウンセリングお問い合わせ
神田ふくしま歯科
東京都千代田区神田鍛冶町3−2−6F スターバックス上
JR神田駅北口より徒歩1分 (東京駅の隣の駅です。)
0120−25−1839
03−3251−3921
~審美歯科治療の注意点~
審美歯科治療は保険外診療となります。オールセラミック で歯並びなどを治す場合、オールセラミック の種類によって当院では1本6万6千円(税込)~16万5千円(税込)のセラミックを選んでいただいております。また、神経のない歯はオールセラミック とは別にファイバーコア(税込2万2千円)という歯の土台の料金がかかる場合があります。
料金に関しましては、1本あたりの標準的な料金となります。多数の歯を治す場合は、本数分の治療費がかかります。
審美歯科治療では、歯の大きさや形の修正、歯の変色の改善、歯並びの改善を目的にオールセラミック などの材料を使用しております。リスク等もございますのでご確認ください。歯茎の位置を改善するために歯茎の再生・整形を行う場合は別途料金がかかります。
また、審美歯科で歯並びを治す場合のリスクとしては、歯の神経を取らないとしみてしまったり、お痛みが出てしまう場合があります。痛みの症状が出た場合は歯の神経を取り除く必要がある場合があります。また、オールセラミック の色合いはかなり天然の歯に近いものになりますが、完全に同じものではありません。
A. そう感じてご相談に来られる方はとても多いです。
歯の変色には、**表面の着色(コーヒー・タバコ・食べ物など)**と、**内部からの変色(神経の治療・金属の土台・薬剤など)**の2種類があります。
ホワイトニングで改善できるのは「表面の変色」までで、内部からの変色はオールセラミックなどの審美歯科治療が効果的です。
ある患者さまも「前歯1本だけ黒っぽくて気になる」と来院されました。
神経治療後の歯が内部から変色していたため、オールセラミックで自然な色合いに整えたところ、笑ったときの印象が一気に明るくなりました。
A. 当院では、周囲の歯の色や透明感に合わせて1本ずつオーダーメイドで色を調整します。
単純に“白くする”のではなく、自然なグラデーションや光の透け具合まで再現します。
もし前歯全体を治療する場合、例えば6本のオールセラミックを入れると、他の歯との色の差が目立つことがあります。
その場合は、ホワイトニングやラミネートベニアを組み合わせて全体の色調バランスを整えることも可能です。
A. はい、歯の形を変えずに治すことも可能です。
歯の表面を約1mmだけ削り、そこに薄いオールセラミックを貼り付けるラミネートベニア法という方法があります。
この方法なら、歯を大きく削らずに自然な色と形を再現できます。
テトラサイクリン歯(薬剤による変色)などの重度の変色でも、ラミネートベニアで十分対応できるケースがあります。
💡 神田ふくしま歯科では、あなたの歯の色と表情に合わせた“オーダーメイド審美治療”を行っています。
「1本だけ色が違う」「全体を自然に白く見せたい」など、ご希望に合わせた治療プランをご提案します。
📍 無料カウンセリング・お問い合わせ
神田ふくしま歯科
東京都千代田区神田鍛冶町3−2−6F(スターバックス上)
JR神田駅北口より徒歩1分(東京駅の隣の駅です)
📞 0120-25-1839
📞 03-3251-3921
オールセラミック が完成しても、調整が必要な場合があります。
見た目は気に入っても発音しにくいとか、唇を噛んでしまうなどの問題がないかを実際に生活して確認する必要がある場合がありますます。

オールセラミックが完成した後、実際にセラミックがしっかりとフィットして発音やお食事、見た目に問題がないか確認するために、仮のセメントでお口の中に装置することを仮付けと言っております。
セラミックの形が気に入らないのに無理やり付けられたなどということにならないために、仮付けをすることが大切になります。
セラミックが完成して、診療室で歯を見ていただいて満足いただけた場合でも、セラミックを仮のセメントでお付けして、1週間ほど経過を見ていただいています。
ご自宅で大きな鏡を見ていただいたり、周りの方の評価を聞いていただいて、確実に大丈夫なのを確認していただきます。
また、かみ合わせや発音などに問題がないか確認するためにも一度仮付けをさせていただくのは有効です。
ただ、仮付けをできない種類のセラミックもあります。
その場合は仮歯の段階でしっかりと確認して仮歯と同じ形のものを入れることが必要になってきます。
仮付けできないセラミックもあります。たとえばラミネートべニアやe-maxオールセラミックは仮付けをすると割れてしまう可能性が高いため、診療所で確認をしていただいて、その場で判断をして最終的なセメントでつける必要があります。
そのため、前歯のセラミックの形にこだわりたいという方は、ジルコニア系の仮付けのできるセラミックを使用することをお勧めしております。仮付けをして確認をすることができます。
~審美歯科治療の注意点~
審美歯科治療は保険外診療となります。オールセラミック で歯並びなどを治す場合、オールセラミック の種類によって当院では1本6万6千円(税込)~16万5千円(税込)のセラミックを選んでいただいております。また、神経のない歯はオールセラミック とは別にファイバーコア(税込2万2千円)という歯の土台の料金がかかる場合があります。
料金に関しましては、1本あたりの標準的な料金となります。多数の歯を治す場合は、本数分の治療費がかかります。
審美歯科治療では、歯の大きさや形の修正、歯の変色の改善、歯並びの改善を目的にオールセラミック などの材料を使用しております。リスク等もございますのでご確認ください。歯茎の位置を改善するために歯茎の再生・整形を行う場合は別途料金がかかります。
また、審美歯科で歯並びを治す場合のリスクとしては、歯の神経を取らないとしみてしまったり、お痛みが出てしまう場合があります。痛みの症状が出た場合は歯の神経を取り除く必要がある場合があります。また、オールセラミック の色合いはかなり天然の歯に近いものになりますが、完全に同じものではありません。
オールセラミックの治療が完成した後でも、細かな調整が必要になる場合があります。
見た目は理想通りで気に入っていても、実際に日常生活を送る中で「発音がしにくい」「唇や頬の内側を噛んでしまう」など、使用してみて初めて気づく問題があるかもしれません。そのため、セラミックを仮のセメントで接着し、一定期間実際に使っていただき、違和感や不具合がないかを確認することがとても大切です。
神田ふくしま歯科では、経験豊富なドクターが無料カウンセリングを行っております。オールセラミックに関する疑問点や調整についての不安がありましたら、お気軽にご相談ください。
審美歯科の無料カウンセリングお問い合わせ
神田ふくしま歯科
東京都千代田区神田鍛冶町3-2-6F スターバックス上
JR神田駅北口より徒歩1分
03-3251-3921
0120-25-1839
A. いいえ。オールセラミックは完成後すぐに本付けするのではなく、**仮のセメントで装着(仮付け)**する場合があります。これは見た目が気に入っていても、実際に生活してみると「発音がしにくい」「唇や頬を噛んでしまう」といった問題が起こることがあるためです。仮付けによって日常生活の中で使用感を確認できます。
A. 完成したセラミックを仮のセメントで装着し、1週間ほど実際に生活して試していただきます。ご自宅で鏡を見たり、周囲の方に見てもらったりしながら、見た目・発音・かみ合わせに問題がないかを確認できます。不具合があれば修正を加えたうえで本付けを行います。
A. いいえ。仮付けができるのは主にジルコニア系セラミックです。一方で、ラミネートベニアやe-maxオールセラミックは仮付けで割れるリスクがあるため、その場で最終的な判断をして本付けを行います。前歯の形にこだわりたい方は、仮付けが可能なジルコニア系をおすすめします。
💡 神田ふくしま歯科では、オールセラミック治療において仮付けを行い、患者さまに納得いただいたうえで本付けをしています。
治療の流れや調整について不安のある方は、無料カウンセリングで丁寧にご説明いたしますのでお気軽にご相談ください。
Q セラミックは天然の歯に比べて欠けやすいのでしょうか?
A.セラミックは通常の歯に比べてかけやすい物です.衝撃に弱いため,栓抜き代わりに歯を使ったり、貝殻入りのパスタを前歯で噛んだりするのはかける危険があります.強度はありますので、通常の使用でかけるリスクは無いでしょう。
Q.セラミックの変色のしやすさやメンテナンスはどうすれば良いのでしょうか?
A.セラミックは、陶材の食器などをイメージしていただけると良いのですが,着色物に長期間接触していると変色してしまう可能性があります.セラミックは通常の歯より汚れがつきにくい物ですが,歯石や渋がつきっぱなしとなると変色する危険性があると考えた方が良いと思います.そのため、定期的なクリーニングを3ヶ月に1回程(通常はどの医院でもクリーニングは保険外診療となります.当院では30分ほどのクリーニングで3000円(税別)かかります)行う必要があります.
セラミック自体の交換は通常必要ありません.数十年して古くなってしまったと感じた時に交換されると良いのではないでしょうか?
セラミックのQ&Aのページ
お問い合わせ
神田ふくしま歯科
東京都千代田区神田鍛冶町3−2−6F スターバックス上
0120−25−1839
03−3251−3921
審美歯科の注意
・料金と選択方法
オールセラミック治療は保険外診療となります。オールセラミックの種類によって1本66,000円(税込)~165,000円(税込)の料金がかかります。また、神経のない歯はオールセラミックとは別にファイバーコアという歯の土台の料金22,000円(税込)がかかる場合があります。当院では、患者さんのニーズに合わせてセラミックの種類を選択できるように強度重視・自然さを重視などセラミックの特色に合わせて対応させていただいております。料金に関しましては、1本あたりの標準的な料金となります。多数の歯を治す場合は、本数分の治療費がかかります。
・リスクと対策
オールセラミックの色合いはかなり天然の歯に近いものになりますが、完全に同じものではありません。当院ではご希望に合わせて高精度の写真や技工士さんの立ち合いなどこだわったオーダーメイドセラミックを作製することも可能です。
審美歯科治療では、歯の大きさや形の修正、歯の変色の改善、歯並びの改善を目的にオールセラミック などの材料を使用しております。リスク等もございますのでご確認ください。歯茎の位置を改善するために歯茎の再生・整形を行う場合は別途料金がかかります。
また、セラミック治療をする場合、歯を削る必要があります。治療後に知覚過敏を起こすことがあります。当院では神経のある歯を削った後はコーティング剤を塗布し、処置後しばらくは熱いものや冷たいものなどの刺激物を取らないよう気を付けていただいております。
Q. セラミックは天然の歯に比べて欠けやすいのでしょうか?
A. セラミックは天然の歯に比べると欠けやすい素材です。特に衝撃に弱いため、例えば栓抜きの代わりに歯を使ったり、固い貝殻入りのパスタや硬い食べ物を前歯で噛んだりすると、欠けたり割れたりする恐れがあります。ただし、セラミックは一定の強度があるので、通常の日常的な食事や使用方法であれば、欠けるリスクはほとんどありません。安心してご利用いただけます。
Q. セラミックは変色しやすいのでしょうか?メンテナンス方法を教えてください。
A. セラミックは陶器の食器をイメージするとわかりやすいですが、コーヒーやお茶、ワインなどの色の濃い飲み物や食品に長時間触れていると、まれに変色する可能性があります。しかし、セラミックは天然の歯に比べると汚れが付きにくく、適切なケアをすれば美しさを長く維持することが可能です。
変色や歯石の付着を防ぐためには、定期的なメンテナンスが大切です。3ヶ月に1回程度、歯科医院でプロによるクリーニングを受けることをお勧めします。一般的にクリーニングは保険適用外診療となりますが、神田ふくしま歯科では約30分間のクリーニングを3,000円(税別)で提供しています。
また、セラミック自体は通常、頻繁な交換が必要な素材ではありません。数十年経過して古くなったり、見た目が気になったりした時に交換を検討すると良いでしょう。
神田ふくしま歯科では、経験豊富なドクターによる無料カウンセリングを行っております。セラミックについての疑問やご不安がありましたら、お気軽にご相談ください。
無料カウンセリングのお問い合わせ
神田ふくしま歯科
東京都千代田区神田鍛冶町3−2−6F スターバックス上
JR神田駅北口より徒歩1分 (東京駅の隣の駅です。)
0120−25−1839
03-3251-3921
A. はい。セラミックは天然の歯よりも衝撃に弱いため、栓抜き代わりに歯を使う、固い貝殻入りのパスタを前歯で噛むなどは欠けるリスクがあります。ただし、日常的な食事や通常の使用であれば、欠ける心配はほとんどありません。
A. セラミックは天然の歯に比べると汚れがつきにくく、変色もしにくい素材です。ただし、コーヒーや赤ワインなど着色しやすい食品や飲み物に長期間さらされると、まれに変色の可能性があります。そのため、3か月に1回程度の定期的なクリーニングを受けることをおすすめします。当院では30分ほどのクリーニングを3,000円(税別)で行っています。
A. セラミック自体は非常に耐久性が高いため、頻繁な交換は必要ありません。見た目が気になったり、数十年経過して古くなったと感じたときに交換を検討すると良いでしょう。
💡 神田ふくしま歯科では、セラミック治療に関する無料カウンセリングを実施しています。
セラミックの強度や変色、費用について不安がある方は、お気軽にご相談ください。
一概にオールセラミック治療と言っても予想外の仕上がりになってしまうことがあります。例えば、最近だとオールセラミックの透明感を強くしたいと言ったら、透明すぎて黒く見えてしまったり、歯の長さが短すぎたり、出っ歯な角度に歯が入ってしまったりと言ったことがあるようです。
今回は、オールセラミックを入れたけど、見た目が悪いのでやり直したいといわれたケースの治療例をご紹介いたします。

オールセラミックの治療後の状態ですが、オールセラミックの透明感が強すぎるため、色が黒ずんで見えてしまっています。オールセラミックの利点の一つが透明感があるということなのですが、透明すぎると見た目が悪くなります。
また、歯茎の位置が下にありすぎるため、歯の長さが非常に短く、出っ歯な角度に入ってしまっています。
オールセラミックの素材を変えるのと合わせて、歯茎の整形を行って見た目を改善します。

オールセラミックの透明感を調整して、色合いを合わせています。歯の白濁なども周りの歯と合わせてお作りすることもできますが、今回はしていません。
歯茎の整形を簡単に行うことで、歯の長さや角度を周囲の歯に調和させることができました。
オールセラミックはエコノミーオールセラミック1本¥60,000−(税別)を使用しています。
オールセラミックの料金に関しましては、下記のリンクページをご覧ください。
オールセラミックの料金のページ
~審美歯科治療と歯茎の整形の注意点~
歯茎の整形や審美歯科治療は保険外診療となります。歯茎の整形3万3千円(税込)、オールセラミック (エコノミータイプ)1本6万6千円(税込)3本で19万8千円(税込)かかりました。
また、審美歯科で歯並びを治す場合、歯の神経を取り除かないと知覚過敏や痛みが出てしまう場合があります。
オールセラミック治療が「思っていたのと違う!」とお困りの方へ
オールセラミック治療は、自然で美しい仕上がりが魅力ですが、時には予想していた仕上がりと違ってしまうこともあります。
例えば、「透明感のある歯にしたい」と希望したところ、透明感が強すぎて逆に黒っぽく見えてしまったり、歯の長さが短すぎたり、角度が前に出てしまい出っ歯に見えるなど、思わぬトラブルが起こることがあります。
このように、「セラミックを入れたけど、イメージと違ってやり直したい」というお悩みを抱えた患者さまも少なくありません。
神田ふくしま歯科では、こうしたオールセラミック治療後の見た目のお悩みについて、再治療を行った症例も豊富にあります。患者さまのご希望を丁寧にお聞きし、再治療で理想的な見た目を実現できるよう努めています。
経験豊富なドクターが無料カウンセリングを行っておりますので、「オールセラミックのやり直しについて相談したい」「理想通りの歯に仕上げたい」という方はぜひお気軽にご相談ください。治療の方法や期間、費用についても詳しくご説明いたします。
今回は、オールセラミック治療をやり直したケースについて、詳しくご紹介いたします。
無料カウンセリングのお問い合わせ
神田ふくしま歯科
東京都千代田区神田鍛冶町3−2−6F スターバックス上
JR神田駅北口より徒歩1分 (東京駅の隣の駅です。)
0120−25−1839
03-3251-3921
A. はい。例えば「透明感を強くしたい」と希望すると、逆に黒っぽく見えてしまったり、歯の長さが短すぎたり、角度が前に出すぎて出っ歯に見えてしまうことがあります。審美歯科治療はご希望に合わせますが、噛み合わせや歯茎の状態によって仕上がりに制限が出ることもあります。
A. 改善可能です。オールセラミックの素材を見直して透明感や色合いを調整したり、歯茎の整形を組み合わせて歯の長さや角度を整えることで、周囲の歯と調和した自然な見た目に仕上げることができます。当院では再治療の症例も多く、患者さまの理想に近づけるサポートをしています。
A. オールセラミック治療・歯茎の整形は保険外診療です。
オールセラミック(エコノミータイプ):1本 66,000円(税込)
歯茎の整形:33,000円(税込)
例:前歯3本+歯茎整形で合計 198,000円(税込)が目安です。
リスクとしては、治療の際に歯を削る必要があり、神経を取らないと知覚過敏や痛みが出てしまう場合があります。また、セラミックの色は天然歯に近いものになりますが、完全に同じ色を再現できるわけではありません。
💡 神田ふくしま歯科では、オールセラミック治療後のやり直しや再調整も含めて無料カウンセリングを行っています。
「仕上がりがイメージと違った」「もっと自然な歯にしたい」という方は、ぜひお気軽にご相談ください。治療方法や期間、費用について丁寧にご説明いたします。
前歯を抜くことになってしまった!
でも見た目は自然な感じに見えるようにしたいとお考えの方へ。
歯を抜いた時の問題は、歯茎や骨が吸収してしまうことです。多くのブリッジやインプラントの失敗は、歯を抜いた後に歯茎がくぼんで来ているのに、そのままの状態で歯を入れてしまうことです。
歯の長さが長くなったり、出っ張ってしまい、見た目が不自然になってしまう審美的な失敗が後を絶ちません。

前歯が無くなってしまった場合の審美歯科治療と言うと、ブリッジかインプラント治療を行います。
前歯のインプラントは骨や歯茎をしっかりと移植しないと将来的に窪んで見た目が悪くなってしまいますので、ブリッジをお勧めする事が多いのですが,従来ブリッジはメタルボンドという金属を使用するセラミックが主流でした.
近年ジルコニアフレームという強度のあるオールセラミックが開発されたおかげで、オールセラミックのきれいなブリッジを入れる事が出来るようになりました.
このケースでは、くぼんでしまった歯茎を歯茎の再生治療にて回復しております。

ジルコニアオールセラミックブリッジと言って、前歯が一本無い所を3本の歯をつなげたオールセラミック治療を行っております.
典型的な歯の形や色合いでお作りしております.オールセラミックブリッジのため、明るく透明感のある仕上がりになっています.
このケースのように、審美歯科では前歯の強度の必要な部分の治療も行う事が可能です.
スタンダードオールセラミックのページ
~歯茎の再生治療と審美歯科治療の注意~
歯茎の再生治療や審美歯科治療は保険外診療となります。当院では、歯茎の再生治療1~3本で7万7千円(税込)です。また、オールセラミック の種類によって当院では1本6万6千円(税込)~16万5千円(税込)のセラミックを選んでいただいております。
料金に関しましては、最小単位の標準的な料金となります。本数の多い場合は、掛け算して計算していただく必要があります。
歯茎が下がって歯の根っ子が露出しているようなケースのうち、歯茎の炎症がなく、歯と歯の間の骨が吸収していないケースに関しては、露出した歯の根っこを覆えることが報告されています。
歯茎の再生治療のリスク
外科的な治療ですので、治療後に糸でしっかりと縫う必要があります。尖ったものが刺さってしまったりして歯茎が開くと出血してしまうリスクがあります。
歯茎の再生治療は、歯周病の進行具合や感染の状況によって回復できる歯茎の位置が変わります。ご希望の位置まで歯茎が必ず回復する治療ではありません。
審美歯科のリスク
審美歯科で歯並びを治す場合のリスクとしては、歯の神経を取らないとしみてしまったり、お痛みが出てしまう場合があります。また、オールセラミック の色合いはかなり天然の歯に近いものになりますが、完全に同じものではありません。
前歯を抜かなくてはならなくなった方へ
―自然な見た目を守るために大切なポイント―
歯を抜くと、その部分の歯ぐきやあごの骨が時間とともに下がってへこんでしまいます。へこみをそのままに人工の歯(ブリッジやインプラント)を入れてしまうと――
歯が妙に長く見える
前に出っ張って唇を押し出す
歯ぐきとの境目が不自然に見える
といった「見た目の失敗」が起こりやすくなります。
抜いたあとすぐに対策を始める
└ 歯ぐきや骨がへこむ前に、詰めもの(骨のもとになる材料)や歯ぐきの補強を行い、形を保つと仕上がりがぐっと自然になります。
人工の歯は“土台”が整ってから入れる
└ へこみを直さずに急いで歯を入れると、不自然なまま固定されてしまいます。
色や大きさを周りの歯に合わせる
└ 歯の白さや形を細かく調整し、左右のバランスをそろえると、笑ったときも自然です。
「抜歯は避けられないけれど、笑顔は変えたくない」
そんな想いに寄り添い、無料カウンセリングでくわしくご提案します。どうぞお気軽にお声がけください。
無料カウンセリングのお問い合わせ
神田ふくしま歯科
東京都千代田区神田鍛冶町3−2−6F スターバックス上
JR神田駅北口より徒歩1分 (東京駅の隣の駅です。)
0120−25−1839
03-3251-3921
A. 歯を抜いた後は歯ぐきや骨が徐々に吸収され、へこんでしまいます。その状態で人工の歯(ブリッジやインプラント)を入れると、歯が長く見えたり、前に出っ張って唇を押し出したり、歯ぐきとの境目が不自然になったりすることがあります。
A. 近年は、強度のある ジルコニアフレームを使ったオールセラミック が開発され、見た目と強度を兼ね備えたブリッジ治療が可能になりました。歯ぐきがへこんでいる場合は「歯ぐきの再生治療」を併用することで、歯の長さや歯ぐきのラインも整え、より自然で透明感のある仕上がりになります。
A. オールセラミックは保険外診療で、1本あたり66,000円(税込)~165,000円(税込)が目安です。歯ぐきの再生治療は1~3本で77,000円(税込)です。
リスクとしては、歯茎の再生治療は外科的処置を伴うため出血や希望通りに歯茎が回復しない場合があり、審美歯科では歯の神経を取る必要が生じることや、色が天然の歯と完全には一致しないことがあります。
💡 神田ふくしま歯科では、前歯の審美治療において歯ぐきと歯の両方を整える治療をご提案しています。
「抜歯は避けられないけれど、自然な笑顔を保ちたい」という方は、ぜひ無料カウンセリングでご相談ください。

奥歯に審美歯科治療を行いました.自然な感じの色合いで周りのはに合わせています.奥歯3本がオールセラミックの歯になっています.このタイプのオールセラミックはジルコニアのフレームの上にオールセラミックを盛り足しております.そのため,自然な感じの透明感のある歯になっております.
奥歯を銀歯にしたい方は従来の差し歯であるメタルボンドではなく、オールセラミックで治療を行った方が自然な感じに仕上がります.
また、料金を比較的抑えたい場合は、オールジルコニアというオールセラミックがあります.オールジルコニアは強度がありますが,色合いが少し不透明な物になります.とにかく白ければ大丈夫という場合には向いています.
オールセラミックのページ
~審美歯科治療の注意点~
審美歯科治療は保険外診療となります。オールセラミック で歯並びなどを治す場合、オールセラミック の種類によって当院では1本6万6千円(税込み)~16万5千円(税込み)のセラミックを選んでいただいております。また、神経のない歯はオールセラミック とは別にファイバーコア(税込み2万2千円)という歯の土台の料金がかかる場合があります。
料金に関しましては、1本あたりの標準的な料金となります。多数の歯を治す場合は、本数分の治療費がかかります。
審美歯科治療では、歯の大きさや形の修正、歯の変色の改善、歯並びの改善を目的にオールセラミック などの材料を使用しております。リスク等もございますのでご確認ください。歯茎の位置を改善するために歯茎の再生・整形を行う場合は別途料金がかかります。
また、審美歯科で歯並びを治す場合のリスクとしては、歯の神経を取らないとしみてしまったり、お痛みが出てしまう場合があります。痛みの症状が出た場合は歯の神経を取り除く必要がある場合があります。また、オールセラミック の色合いはかなり天然の歯に近いものになりますが、完全に同じものではありません。
奥歯に審美歯科治療を行ったケースをご紹介します。
今回、奥歯3本をオールセラミックで治療いたしました。オールセラミックとは、金属を一切使用しないセラミックの差し歯で、天然の歯と同じような自然な透明感や色合いを再現できるのが特徴です。このケースでは、ジルコニアという強度のあるフレームの上に、セラミックを何層にも盛り足すことで、周りの歯と調和した自然な色と透明感のある仕上がりになっています。
従来のメタルボンド(金属の上にセラミックを焼き付けた差し歯)で奥歯を治療すると、金属部分が透けたり、透明感がなく人工的な印象になりがちです。そのため、奥歯でも自然で美しい見た目を希望される方には、オールセラミックをおすすめしています。
また、費用を抑えたいという場合には、「オールジルコニア」というタイプのオールセラミックもございます。オールジルコニアは、全体がジルコニア製のため非常に強度が高いのが特徴ですが、その分やや透明感が少なく、不透明な白色となります。奥歯で、特に色にこだわりがなく、丈夫さを優先したい方に向いています。
神田ふくしま歯科では、経験豊富なドクターが無料カウンセリングを行い、患者様のご希望に合わせて最適な審美歯科治療をご提案いたします。歯の色や仕上がりについてご希望やご不安がある方は、ぜひお気軽にご相談ください。
無料カウンセリングのお問い合わせ
神田ふくしま歯科
東京都千代田区神田鍛冶町3−2−6F スターバックス上
JR神田駅北口より徒歩1分 (東京駅の隣の駅です。)
0120−25−1839
03-3251-3921
A. 奥歯でも自然で美しい見た目を希望される方には オールセラミック がおすすめです。金属を使わないため、透明感や色合いが天然の歯に近く、周囲の歯とも調和しやすい仕上がりになります。従来のメタルボンド(内側が金属の差し歯)に比べ、より自然な見た目が得られます。
A. 主に次の2種類があります。
ジルコニアフレーム+セラミック:強度のあるジルコニアフレームにセラミックを盛り付け、自然な透明感を再現できます。
オールジルコニア:すべてジルコニア製で強度が高く、費用を抑えられます。ただし色はやや不透明で、見た目よりも耐久性を優先したい方に向いています。
A. オールセラミックは保険外診療で、1本あたり66,000円(税込)~165,000円(税込)が目安です。神経のない歯は、別途ファイバーコア(土台)22,000円(税込)が必要になる場合があります。
リスクとしては、治療後に歯がしみたり痛む場合があり、その際には神経を取る処置が必要になることもあります。また、セラミックは天然歯に近い色合いを再現できますが、完全に同じ色になるわけではありません。
💡 神田ふくしま歯科では、奥歯の見た目や強度のご希望に合わせて最適なオールセラミック治療をご提案しています。
無料カウンセリングも実施しておりますので、まずはお気軽にご相談ください。
審美歯科治療を行う際に、歯の色を確認する必要があります。
天然の歯の色に近いものにする場合や、周囲のセラミックに合わせて作る場合や、まとめて白めに作る場合などが考えられます。

歯の色というと何となく白くしたいということをお考えの方も多いのですが、白と言ってもいろいろな種類の白さがあります。
歯の白さは人によってあるいは歯によっても異なります。そのため、歯の色に合わせてセラミックを作成するためには基本的な色合いを参考にするための色見本が必要になります。
歯の色を色見本で比較します。色見本は色のバリエーションが多い物を使用するほど色の合わせ易くなります。
たとえばお写真の色見本でしたら、色の種類が豊富にありますので歯の色に合わせた色見本を選ぶことで歯の明度をそろえます。
審美歯科の症例はこちらををクリックしてください。
お問い合わせ
神田ふくしま歯科
東京都千代田区神田鍛冶町3−2−6F スターバックス上
03−3251−3921
0120−25−1839
~審美歯科治療の注意点~
審美歯科治療は保険外診療となります。オールセラミック で歯並びなどを治す場合、オールセラミック の種類によって当院では1本6万6千円(税込)~16万5千円(税込)のセラミックを選んでいただいております。また、神経のない歯はオールセラミック とは別にファイバーコア(税込2万2千円)という歯の土台の料金がかかる場合があります。
料金に関しましては、1本あたりの標準的な料金となります。多数の歯を治す場合は、本数分の治療費がかかります。
審美歯科治療では、歯の大きさや形の修正、歯の変色の改善、歯並びの改善を目的にオールセラミック などの材料を使用しております。リスク等もございますのでご確認ください。歯茎の位置を改善するために歯茎の再生・整形を行う場合は別途料金がかかります。
また、審美歯科で歯並びを治す場合のリスクとしては、歯の神経を取らないとしみてしまったり、お痛みが出てしまう場合があります。痛みの症状が出た場合は歯の神経を取り除く必要がある場合があります。また、オールセラミック の色合いはかなり天然の歯に近いものになりますが、完全に同じものではありません。
A. セラミックを自然に見せるためには、周囲の歯や希望の白さに合わせて色を調整する必要があるからです。天然の歯の色に近づけたり、周囲のセラミックと揃えたり、全体を白めに仕上げたりと、ご希望に応じて選択できます。
A. 専用の「色見本」を使用して歯の色を比較しながら決めます。色見本には多くの種類があり、豊富なバリエーションから選ぶことで歯の明度をそろえやすく、より自然な仕上がりにすることが可能です。
A. はい。歯の白さにはさまざまな種類があり、人によって、また歯によっても色合いが異なります。漠然と「白くしたい」と思っても、その白さの種類を明確にすることが大切です。色見本を使うことで、ご自身に合った自然な白さや、理想的な明るさを選ぶことができます。
💡 神田ふくしま歯科では、色合わせを丁寧に行い、自然で美しいセラミック治療をご提供しています。
審美歯科の症例も多数ございますので、ぜひお気軽にご相談ください。
最近、金属を使用した差し歯と金属を使用しない差し歯というご説明を歯科医院で受けられた経験のある方も多いのではないでしょうか。
金属を使用した差し歯は通常、保険のきく治療の際に使用されます。金属を使用することで、歯茎の黒ずみの問題や金属アレルギーの問題が起こりやすくなることは知られてきています。
金属を使用したセラミックあるいは差し歯とはどんなものでしょう。

金属を使用したセラミックの差し歯の写真
従来のセラミックはお写真のように金属の上に白いセラミックを接着させて作っていました。

金属を使用したセラミックの表側から見た写真
お写真のように金属を使用することで、歯茎が黒ずんでしまうこともあります。
歯茎の黒ずみの治療に関しましては下記のリンクページに詳しい内容を記載させていただいております。
歯茎の黒ずみの治療のページ
当院では金属を使用しないオールセラミック治療をメインで行っております。再治療をお考えの際にはご相談ください。
金属を使用しないセラミック治療をお考えの方は、ただいま無料カウンセリングを行っておりますのでご利用ください。
無料カウンセリングは御予約制とさせていただいております。フリーダイヤルにお電話いただいて、お電話がつながりましたら無料カウンセリングのご予約を取りたいとお伝えください。(営業時間内の受付となります。)
無料カウンセリングお問い合わせ
神田ふくしま歯科
東京都千代田区神田鍛冶町3−2−6F スターバックス上
JR神田駅北口より徒歩1分
0120−25−1839
~審美歯科治療の注意点~
審美歯科治療は保険外診療となります。オールセラミック で歯並びなどを治す場合、オールセラミック の種類によって当院では1本6万6千円(税込)~16万5千円(税込)のセラミックを選んでいただいております。また、神経のない歯はオールセラミック とは別にファイバーコア(税込2万2千円)という歯の土台の料金がかかる場合があります。
料金に関しましては、1本あたりの標準的な料金となります。多数の歯を治す場合は、本数分の治療費がかかります。
審美歯科治療では、歯の大きさや形の修正、歯の変色の改善、歯並びの改善を目的にオールセラミック などの材料を使用しております。リスク等もございますのでご確認ください。歯茎の位置を改善するために歯茎の再生・整形を行う場合は別途料金がかかります。
また、審美歯科で歯並びを治す場合のリスクとしては、歯の神経を取らないとしみてしまったり、お痛みが出てしまう場合があります。痛みの症状が出た場合は歯の神経を取り除く必要がある場合があります。また、オールセラミック の色合いはかなり天然の歯に近いものになりますが、完全に同じものではありません。
最近、歯科医院で「金属を使った差し歯」と「金属を使わない差し歯(オールセラミック)」の違いについて説明を受けられたことがある方も多いのではないでしょうか。
一般的に金属を使った差し歯は、保険診療の治療でよく使われています。これは金属の土台の上にセラミックなどの素材を被せて作られるもので、「メタルボンド」と呼ばれることもあります。
ただ、金属を使用する差し歯にはデメリットがあります。まず、歯茎が徐々に下がると、歯と歯茎の境目が黒く見えてしまうことがあります。この黒ずみは金属が原因となって歯茎に色素が沈着するために起こります。また、口の中に常に金属があることで、金属アレルギーの症状を引き起こすリスクもあります。
一方、金属を使わない「オールセラミック」は、すべてセラミック素材で作られているため、自然な歯に近い透明感があり、金属アレルギーの心配もありません。歯茎が下がった場合でも黒ずみが起こらず、審美的に優れている点が特徴です。
神田ふくしま歯科では、経験豊富なドクターが無料カウンセリングを行っています。差し歯の素材や金属アレルギーについて不安がある方は、ぜひお気軽にご相談ください。
無料カウンセリングのお問い合わせ
神田ふくしま歯科
東京都千代田区神田鍛冶町3−2−6F スターバックス上
JR神田駅北口より徒歩1分 (東京駅の隣の駅です。)
0120−25−1839
03-3251-3921
Q1. 金属を使った差し歯とはどんなものですか?
A1. 従来の差し歯は、金属の土台やフレームの上に白いセラミックを焼き付けて作られていました。保険適用の治療では、この「金属を使った差し歯」がよく用いられます。ただし、時間が経つと歯茎の黒ずみや金属アレルギーの原因になることがあります。
Q2. 金属を使った差し歯では、どんな見た目の問題が起こりますか?
A2. 金属が歯茎に透けて見えることで、歯茎が黒ずんでしまうことがあります。特に前歯のように目立つ部分では、見た目の審美性に影響するため気にされる方が多いです。
Q3. 金属を使わない治療法はありますか?
A3. はい、当院では「オールセラミック治療」を基本としています。金属を一切使用せず、自然な透明感のある白さを再現できるため、審美性が高く、歯茎の黒ずみや金属アレルギーの心配もありません。差し歯の再治療をお考えの方にもおすすめです。
📞 無料カウンセリングのご予約
神田ふくしま歯科
東京都千代田区神田鍛冶町3−2−6F(スターバックス上)
JR神田駅北口より徒歩1分
☎ 0120-25-1839 / 03-3251-3921
セラミックと言っても何百種類ものセラミックが存在しするってことをご存知でしょうか?
セラミックには種類が多いのですが、歯の色や形にどこまでこだわるかでどのタイプのセラミックを選択するか決めていただいています。(当院では、当院が厳選したセラミックの中から、歯の状況などに合うセラミックを選んで頂いております.)
まず、従来のセラミックは金属の上にセラミックを焼き付けるタイプのセラミックです。メタルボンドと言われていました。通常このタイプのセラミックは近年使用されなくなってきています。
プレスタイプのセラミック(当院ではエコノミーオールセラミック e-max)では、細かい色の調整をすることは難しいので、偶数本(2本4本6本)と治される方にお勧めです。このタイプのセラミックは、従来のセラミックに比べて、強度が増します。金属の歯を作るときとほとんど同じ方法でお作りしますので、オールセラミックの素材が均一になるために強度が増します。欠点として、後からセラミックの形を足して変えることができません。
強度という意味では今のところ一番強度のあるセラミックが、ジルコニアという材質のオールセラミックです。ジルコニアのセラミックは歯の色に合わせてセラミックを盛り上げますので、色を合わせやすくなります。また、強度もプレスタイプの4倍ほどあります。
また、ジルコニアのみを機械で削って作るタイプのCAD-CAMタイプのセラミックは、強度がありますが、色の透明感が少なく人工的な白さですので、このタイプのジルコニアは強度が必要で目立たない奥歯に使用します。
~審美歯科治療の注意点~
審美歯科治療は保険外診療となります。オールセラミック で歯並びなどを治す場合、オールセラミック の種類によって当院では1本6万6千円(税込み)~16万5千円(税込み)のセラミックを選んでいただいております。また、神経のない歯はオールセラミック とは別にファイバーコア(税込み2万2千円)という歯の土台の料金がかかる場合があります。
料金に関しましては、1本あたりの標準的な料金となります。多数の歯を治す場合は、本数分の治療費がかかります。
審美歯科治療では、歯の大きさや形の修正、歯の変色の改善、歯並びの改善を目的にオールセラミック などの材料を使用しております。リスク等もございますのでご確認ください。歯茎の位置を改善するために歯茎の再生・整形を行う場合は別途料金がかかります。
また、審美歯科で歯並びを治す場合のリスクとしては、歯の神経を取らないとしみてしまったり、お痛みが出てしまう場合があります。痛みの症状が出た場合は歯の神経を取り除く必要がある場合があります。また、オールセラミック の色合いはかなり天然の歯に近いものになりますが、完全に同じものではありません。
当院で、審美歯科治療に使用するセラミックの種類の症例などは下記のリンクページをクリックしてご覧ください.
セラミックの種類のページ
セラミックの治療はセラミックの素材を選ぶことが重要になります。ご希望のものを選んで治療されることをお勧めいたします。
また、審美歯科治療を希望される方はただいま無料カウンセリングを行っておりますのでご利用ください.無料カウンセリングは御予約制とさせて頂いております.
セラミックの差し歯治療を考えている方は、セラミックに何百種類ものタイプがあることをご存知でしょうか?
実は一言で「セラミック」といっても、さまざまな種類があり、それぞれ特徴やメリット・デメリットが異なります。当院では、患者様のお口の状態やご希望に合わせて最適なタイプを選択いただけるよう、厳選したセラミックをご用意しています。
まず、昔からある一般的なセラミックとして「メタルボンド」というタイプがあります。これは金属の土台にセラミックを焼き付ける方法で作ります。ただ、近年では金属が原因の歯茎の黒ずみや不自然な見た目が問題となり、ほとんど使われなくなっています。
次に、現在よく使用される「プレスタイプ(e-max)」のオールセラミックがあります。当院では「エコノミーオールセラミック」としてご紹介しており、強度が高く自然な美しさがあります。ただし、色の微妙な調整は難しく、2本・4本・6本など偶数本でまとめて治療される方に適しています。また、セラミックを後から追加したり形を修正することができません。
さらに強度の面で最も優れているのが、「ジルコニアセラミック」です。ジルコニアは人工ダイヤモンドとも呼ばれるほどの強さがあり、従来のセラミックより約4倍の強度を誇ります。さらに、細かくセラミックを盛り上げて作ることができるため、自然な色調や透明感を再現しやすくなっています。
また、ジルコニアを機械で削り出して製作するCAD-CAMタイプのセラミックもあります。こちらは強度に優れていますが、やや透明感が少なく人工的な白さになりがちです。そのため、主に奥歯など強度が重視される部分に使用されることが多くなっています。
神田ふくしま歯科では、どのセラミックがご自身に最も適しているかお悩みの方に、経験豊富なドクターが無料カウンセリングで丁寧にアドバイスさせていただいております。セラミック治療をお考えの方は、ぜひお気軽にご相談ください。
審美歯科などの無料カウンセリングお問い合わせ
神田ふくしま歯科
東京都千代田区神田鍛冶町3-2-6F スターバックス上
JR神田駅北口より徒歩1分
03-3251-3921
0120-25-1839
A. 一口に「セラミック」といっても、実は何百種類もの素材があります。代表的なものには以下があります。
メタルボンド:金属の上にセラミックを焼き付ける方法。歯茎の黒ずみの原因になりやすく、近年はほとんど使われていません。
プレスタイプ(e-max):強度が高く自然な仕上がり。色の微調整は難しいため、2本・4本・6本など偶数本をまとめて治すケースに適しています。
ジルコニアセラミック:人工ダイヤモンドとも呼ばれる強度を持ち、自然な透明感を再現しやすい最新の素材。
CAD-CAMタイプのジルコニア:機械で削り出す方法で、強度は高いですが透明感が少なく人工的に見えるため、主に奥歯に使用されます。
A. 治療する部位や本数、希望する仕上がりによって選択肢が変わります。
前歯で自然な美しさを求める場合 → ジルコニアセラミックがおすすめ。
奥歯で強度を重視する場合 → CAD-CAMタイプのジルコニアが適しています。
複数本まとめて治す場合 → **プレスタイプ(e-max)**がコストを抑えつつ強度も確保できます。
当院では患者様のご要望や歯の状態を確認したうえで、最適なセラミック素材をご提案しています。
A. 審美歯科治療は保険外診療です。当院では、オールセラミック1本あたり 66,000円(税込)~165,000円(税込)、神経のない歯の場合は別途 **ファイバーコア22,000円(税込)**が必要になる場合があります。
治療の際には以下の注意点があります。
セラミックは天然歯に近い色調を再現できますが、完全に同じ色にはなりません。
歯を削るため、知覚過敏や痛みが出ることがあり、場合によっては神経を取る処置が必要です。
多数の歯を治す場合は、本数に応じて費用が加算されます。
神田ふくしま歯科
📍 東京都千代田区神田鍛冶町3-2-6F(スターバックス上/JR神田駅北口 徒歩1分)
📞 03-3251-3921 / 0120-25-1839

奥歯も銀歯はイヤ!という方が最近多いのですが,奥歯も審美歯科治療ができます.
奥歯は前歯程こだわらなくても白くするだけで良いという方は、オールジルコニアという強度があるタイプのオールセラミックでも良いかもしれません.少し透明感が無い物になりますが,オールセラミックの中では料金が安くできます.
お写真の歯はオールセラミッククラウンにて治療したケースです.
白い歯には種類もありますので、奥歯のセラミックのページをご覧ください.
審美歯科の無料カウンセリングお問い合わせ
神田ふくしま歯科
東京都千代田区神田鍛冶町3−2−6F スターバックス上
03−3251−3921
0120−25−1839

奥歯の銀歯は見え方によっては目立ってしまっています。オールセラミックできれいに見せることができます。
~審美歯科治療の注意点~
審美歯科治療は保険外診療となります。オールセラミック で歯並びなどを治す場合、オールセラミック の種類によって当院では1本6万6千円(税込み)~16万5千円(税込み)のセラミックを選んでいただいております。また、神経のない歯はオールセラミック とは別にファイバーコア(税込み2万2千円)という歯の土台の料金がかかる場合があります。
料金に関しましては、1本あたりの標準的な料金となります。多数の歯を治す場合は、本数分の治療費がかかります。
審美歯科治療では、歯の大きさや形の修正、歯の変色の改善、歯並びの改善を目的にオールセラミック などの材料を使用しております。リスク等もございますのでご確認ください。歯茎の位置を改善するために歯茎の再生・整形を行う場合は別途料金がかかります。
また、審美歯科で歯並びを治す場合のリスクとしては、歯の神経を取らないとしみてしまったり、お痛みが出てしまう場合があります。痛みの症状が出た場合は歯の神経を取り除く必要がある場合があります。また、オールセラミック の色合いはかなり天然の歯に近いものになりますが、完全に同じものではありません。
A. はい、可能です。近年「銀歯は目立つので嫌」というご要望が増えており、奥歯にも白いセラミックを使用した審美歯科治療を行えます。特に笑った時など、奥歯の銀歯は意外と目立つことがありますので、審美的に気にされる方におすすめです。
A. 強度を重視するならオールジルコニアがよく選ばれます。透明感はやや少ないですが、白く自然な見た目になり、前歯ほど色にこだわらない場合に適しています。ほかにも、より自然な透明感のあるオールセラミッククラウンなど、目的やご予算に合わせて選択が可能です。
A. 奥歯の審美歯科治療は保険外診療です。オールセラミックは1本66,000円~165,000円(税込)で、神経のない歯は別途ファイバーコア(22,000円税込)が必要になる場合があります。
注意点として、セラミックは天然歯に近い色合いを再現できますが、完全に同じ色にはならないことがあります。また、歯を削るため知覚過敏や神経処置が必要になる場合があります。
神田ふくしま歯科
📍 東京都千代田区神田鍛冶町3-2-6F(スターバックス上/JR神田駅北口 徒歩1分)
📞 03-3251-3921 / 0120-25-1839
上のクリックボタンでシェアもお願いいたします。
神経のない歯が変色してきてしまう事があります。ひょっとしてあなたの前歯も変色してきていませんか?変色を気にされている方には朗報かと思います。
変色した歯の審美治療は、オールセラミックで行う事が可能です。下の写真のように、厚み0.5mmのジルコニアと言われているオールセラミックのフレームで色を遮断する事ができます。
色を遮断する事で変色してしまった歯が透けて見える事が無くなります。
オールセラミックには何種類かのタイプがございますので、特に変色歯の場合は仕上げの色に関してご相談ください。

わずか0.5mmのジルコニアフレームで変色している歯の色を見えないようにすることができました.
このジルコニアのフレームの上に透明感のあるセラミックを重ねて焼いて足していきます.

オールセラミックの内部に色を抑えるオールセラミックコーピングを入れて、透け具合を確認します。ほぼ色合いが揃いました.
この後コーピングにオールセラミックを盛りつけて形を作っていきます.
変色歯の治療に関しましては下記のリンクページに詳しい内容を記載させていただいております。クリックしてご覧ください。
変色歯の治療の詳しいページ
審美歯科治療を希望される方はただいま無料カウンセリングを行っております。無料カウンセリングにてお口の中を拝見したうえで、ご希望の治療のご説明とそのお見積りのお渡しをいたします。
無料カウンセリングお問い合わせ
神田ふくしま歯科
東京都千代田区神田鍛冶町3−2−6F スターバックス上
03−3251−3921
0120−25−1839
~審美歯科治療の注意点~
審美歯科治療は保険外診療となります。オールセラミック で歯並びなどを治す場合、オールセラミック の種類によって当院では1本6万6千円(税込み)~16万5千円(税込み)のセラミックを選んでいただいております。また、神経のない歯はオールセラミック とは別にファイバーコア(税込み2万2千円)という歯の土台の料金がかかる場合があります。
料金に関しましては、1本あたりの標準的な料金となります。多数の歯を治す場合は、本数分の治療費がかかります。
審美歯科治療では、歯の大きさや形の修正、歯の変色の改善、歯並びの改善を目的にオールセラミック などの材料を使用しております。リスク等もございますのでご確認ください。歯茎の位置を改善するために歯茎の再生・整形を行う場合は別途料金がかかります。
また、審美歯科で歯並びを治す場合のリスクとしては、歯の神経を取らないとしみてしまったり、お痛みが出てしまう場合があります。痛みの症状が出た場合は歯の神経を取り除く必要がある場合があります。また、オールセラミック の色合いはかなり天然の歯に近いものになりますが、完全に同じものではありません。
神経がない歯が徐々に変色してしまうことをご存知でしょうか?気づかないうちに前歯がだんだん黒ずんだり、茶色っぽくなったりして、見た目が気になっている方も多いかと思います。
「前歯が変色しているのが気になって、人前で思いっきり笑えない…」という方には、オールセラミックによる審美歯科治療が効果的でおすすめです。
オールセラミック治療では、金属を一切使用せず、陶器のような美しい透明感のあるセラミック素材を使用します。特に変色してしまった歯には、「ジルコニア」と呼ばれる特殊なセラミックを使うことで、歯の変色を効果的に遮断することができます。
ジルコニアは厚みがわずか0.5mmほどの薄いフレームでも、しっかりと変色した歯の色を隠す力があります。そのため、透けて見えてしまう心配もなく、自然で美しい見た目を実現することが可能です。
オールセラミックにはいくつか種類があり、歯の色や透明感など、お好みやご希望に合わせて最適なものをお選びいただけます。特に変色した歯の場合は、色合いの調整が非常に重要になりますので、仕上がりについてじっくり相談することをおすすめします。
神田ふくしま歯科では、経験豊富なドクターが無料カウンセリングを行っています。前歯の変色が気になる方やオールセラミック治療にご興味のある方は、ぜひお気軽にご相談ください。あなたの理想の美しい笑顔を取り戻すためのお手伝いをいたします。
審美歯科の無料カウンセリングお問い合わせ
神田ふくしま歯科
東京都千代田区神田鍛冶町3−2−6F スターバックス上
JR神田駅北口(モンダミン口)より徒歩1分 (東京駅の隣の駅です)
03−3251−3921
0120−25−1839
A. 神経を失った歯は時間の経過とともに水分を失い、黒っぽく・茶色っぽく変色してしまいます。特に前歯が変色すると、笑ったときに目立ってしまい、見た目に大きな影響があります。
A. オールセラミック治療で改善できます。ジルコニアと呼ばれるセラミックのフレームを使用すると、わずか0.5mmの厚みでも歯の変色を遮断することが可能です。その上に透明感のあるセラミックを重ねることで、自然で美しい仕上がりになります。オールセラミックには種類があり、歯の透明感や色合いに合わせて最適なものを選択します。
A. オールセラミック治療は保険外診療で、1本66,000円〜165,000円(税込)が目安です。神経のない歯の場合、別途ファイバーコア(土台)22,000円(税込)が必要になることもあります。
リスクとしては、歯を削るため知覚過敏や神経処置が必要になる場合があります。また、オールセラミックは天然歯に非常に近い色を再現できますが、完全に同じ色にはならない点もご理解ください。
神田ふくしま歯科
📍 東京都千代田区神田鍛冶町3-2-6F(スターバックス上/JR神田駅北口 徒歩1分)
📞 03-3251-3921 / 0120-25-1839
審美歯科というと、単に虫歯の歯をセラミックの歯で直したり、差し歯がかけたり膿が出てやり直す際に、オールセラミックという素材でやり直すだけでは、自然な見た目にはなりません。
せっかく新しくしたオールセラミックの長さが左右でちがっていたりすると、せっかく直したのに物足りない感じになってしまうかもしれません。
審美歯科治療を行う際には、オールセラミックの長さや形を調整することで、見た目をより良いものにすることができます。

長さのちがうオールセラミックのお写真。前歯の長さが左右でちがいます。
これで良いのであれば、そのままでも良いのかもしれません。
ただ、当院でオールセラミックをする際には、左右の長さを揃えることが可能です。

歯茎の再生治療と、オールセラミックの再治療をした後の状態。
歯茎の位置を左右で揃えることで、オールセラミックの長さを調整することができます。
オールセラミックの長さを揃えてより良い結果のものにしたいという方は、歯茎の審美歯科治療を行うことをお勧めしております。詳しくは下記のリンクページをご覧ください。
歯茎の審美歯科のページ
~歯茎の再生治療と審美歯科治療の注意~
歯茎の再生治療や審美歯科治療は保険外診療となります。当院では、歯茎の再生治療1~3本で7万7千円(税込み)です。また、オールセラミック の種類によって当院では1本6万6千円(税込み)~16万5千円(税込み)のセラミックを選んでいただいております。
このケースでは、上の前歯のスタンダードタイプのオールセラミック 1本9万9千円(税込み)で4本治療し、39万6千円(税込み)かかりました。また、歯茎の再生治療を6本行い15万4千円(税込み)かかります。
料金に関しましては、最小単位の標準的な料金となります。本数の多い場合は、掛け算して計算していただく必要があります。
歯茎が下がって歯の根っ子が露出しているようなケースのうち、歯茎の炎症がなく、歯と歯の間の骨が吸収していないケースに関しては、露出した歯の根っこを覆えることが報告されています。
歯茎の再生治療のリスク
外科的な治療ですので、治療後に糸でしっかりと縫う必要があります。尖ったものが刺さってしまったりして歯茎が開くと出血してしまうリスクがあります。
歯茎の再生治療は、歯周病の進行具合や感染の状況によって回復できる歯茎の位置が変わります。ご希望の位置まで歯茎が必ず回復する治療ではありません。
審美歯科のリスク
審美歯科で歯並びを治す場合のリスクとしては、歯の神経を取らないとしみてしまったり、お痛みが出てしまう場合があります。また、オールセラミック の色合いはかなり天然の歯に近いものになりますが、完全に同じものではありません。
審美歯科治療では、虫歯や差し歯を単純にオールセラミックで直すだけでは十分に自然な仕上がりにならないことがあります。ここでは、審美歯科治療のポイントをわかりやすくご説明します。
①【単なるセラミック治療だけでは不十分】 虫歯や差し歯の治療でオールセラミックを使用する際、歯の長さや形が左右で違うと、見た目が不自然になり満足度が下がってしまいます。
②【歯の長さや形の調整が重要】 審美歯科治療では、オールセラミックの素材選びだけでなく、歯の長さや形を細かく調整することで、より自然で美しい見た目を実現できます。
③【美しい仕上がりを目指した審美歯科治療】 オールセラミックの治療を受ける際は、歯の色や素材だけでなく、全体的な歯並びやバランスも重視して調整することが大切です。
神田ふくしま歯科では、無料カウンセリングで患者様のご希望に合わせた最適な審美歯科治療をご提案しています。ぜひお気軽にご相談ください。
審美歯科の無料カウンセリングお問い合わせ
神田ふくしま歯科
東京都千代田区神田鍛冶町3−2−6F スターバックス上
JR神田駅北口より徒歩1分 (東京駅の隣の駅です.)
0120−25−1839
03−3251−3921
A. 必ずしもそうではありません。虫歯や差し歯をセラミックで直すだけでは、歯の長さや形が左右で不揃いになる場合があり、見た目が物足りなくなることがあります。
A. オールセラミックの長さや形を調整し、左右のバランスを整えることです。歯ぐきの位置を調整することで、より自然で美しい口元に仕上げることができます。
A. はい。歯ぐきが下がっている場合は、歯ぐきの再生治療を行ってからオールセラミックを装着することで、歯の長さを左右で揃えることができます。審美性を高めたい方には歯ぐきの治療もおすすめです。
A. 保険外診療です。
歯ぐきの再生治療(1〜3本):77,000円(税込)
オールセラミック:66,000円〜165,000円(税込/1本)
例:前歯オールセラミック4本(スタンダードタイプ) → 396,000円(税込)+ 歯ぐきの再生治療6本 → 154,000円(税込)
A. はい。
歯ぐき再生治療:外科処置のため、術後に出血・腫れ・痛みが出る可能性があります。歯周病や骨の状態により、希望どおりに回復しない場合があります。
審美歯科治療:歯を削る際、神経を取らないと痛みや知覚過敏が出ることがあります。また、オールセラミックの色合いは天然歯に近いですが、完全に同じではありません。
A. はい。当院では**無料カウンセリング(予約制)**を行っています。オールセラミックや歯ぐきの再生を組み合わせて、自然で美しい仕上がりを目指した治療プランをご提案します。
📞 0120-25-1839
📞 03-3251-3921
A. 東京都千代田区神田鍛冶町3-2-6F(スターバックス上)
JR神田駅北口より徒歩1分(東京駅の隣駅)
👉 「オールセラミックで自然な見た目を手に入れたい」「歯ぐきも含めて美しい口元にしたい」という方は、ぜひ無料カウンセリングでご相談ください。
セラミックの治療回数は少ない方が良いでしょうか?
セラミック治療をお考えの方は、なるべく短期間に治したいと言うご希望がある事が多いと思います。
セラミック治療は通常最短で3回の治療で終わります。
ただ、セラミック治療は、かなり形や色や精度などでこだわる必要がある場合があります。
セラミックの基本となる治療回数3回に、にオプションとなる、歯の神経の治療の回数、歯ぐきの再生治療など歯の長さを整える治療の回数、治療本数の多い方歯噛み合わせの調整の回数、歯の形にこだわる方は修正の回数などを加えた回数があなたの治療回数になります.
そのため、一概に治療回数のご説明が難しいのでまずは無料カウンセリングにお越しいただいております.必要な治療の内容によって治療回数の概算を説明する事が可能になります.
もう少し詳しく治療回数に関してご説明いたします.通常の治療回数と言うのは歯の神経に問題が無い場合です。歯の神経が死んでしまっている場合や、歯の根っこの先に膿がたまってしまっている場合は追加で2回程の治療が必要になります。
また、歯の本数が多い場合は、全体的なバランスを調整する必要があるため回数が増えてしまいます。
それから、歯茎の位置が不揃いのケースで歯茎の位置も治したいとご希望される場合は、歯茎の整形・再生治療を行うため,3ヶ月程余分に治療期間を考えて頂く必要があります。
遠方からご来院の方や、来院回数を少なくしたいと言う方には2〜3時間の治療時間をお取りして集中治療を行う事もできます。
セラミックの治療回数の目安はQ&Aにご紹介させて頂いております。
セラミックQ&Aのページ
~審美歯科治療の注意点~
審美歯科治療は保険外診療となります。オールセラミック で歯並びなどを治す場合、オールセラミック の種類によって当院では1本6万6千円(税込み)~16万5千円(税込み)のセラミックを選んでいただいております。また、神経のない歯はオールセラミック とは別にファイバーコア(税込み2万2千円)という歯の土台の料金がかかる場合があります。
料金に関しましては、1本あたりの標準的な料金となります。多数の歯を治す場合は、本数分の治療費がかかります。
審美歯科治療では、歯の大きさや形の修正、歯の変色の改善、歯並びの改善を目的にオールセラミック などの材料を使用しております。リスク等もございますのでご確認ください。歯茎の位置を改善するために歯茎の再生・整形を行う場合は別途料金がかかります。
また、審美歯科で歯並びを治す場合のリスクとしては、歯の神経を取らないとしみてしまったり、お痛みが出てしまう場合があります。痛みの症状が出た場合は歯の神経を取り除く必要がある場合があります。また、オールセラミック の色合いはかなり天然の歯に近いものになりますが、完全に同じものではありません。
セラミック治療の回数について、「なるべく短期間で治療を終えたい」と希望される方は多くいらっしゃいます。ここでは、セラミック治療の治療回数や期間について、わかりやすくポイントを3つにまとめてご説明します。
①【セラミック治療の基本は最短3回】 セラミック治療は通常、最短3回の治療で完了します。しかし、患者様の状態や希望によっては、追加の治療回数が必要になる場合があります。
②【追加治療が必要なケース】 ・歯の神経の治療が必要な場合(神経が死んでいる、根の先に膿が溜まっているなど)は、追加で2回程度の治療が必要です。 ・歯の本数が多い場合は、噛み合わせや全体的なバランスを調整するため、回数が増えることがあります。 ・歯茎の位置を整えたい方は、歯茎の整形や再生治療を行うため、治療期間が約3ヶ月延びることがあります。
③【集中治療で通院回数を減らすことも可能】 遠方からお越しの方や通院回数を抑えたい方には、1回あたり2〜3時間の集中治療をご案内することもできます。
神田ふくしま歯科では、無料カウンセリングを行い、患者様一人ひとりの状態に合わせて治療回数や期間を詳しくご説明いたします。ぜひお気軽にご相談ください。
審美歯科の無料カウンセリングお問い合わせ
神田ふくしま歯科
東京都千代田区神田鍛冶町3−2−6F スターバッックス上
JR神田駅北口より徒歩1分
03−3251−3921
0120−25−1839
A. 通常は最短3回の通院で完了します。ただし、歯や歯ぐきの状態によって追加の治療が必要になる場合があります。
A. 以下のケースでは回数が増えることがあります。
歯の神経に問題がある場合(神経が死んでいる、根の先に膿があるなど):約2回追加
治療本数が多い場合:噛み合わせや全体のバランス調整が必要
歯ぐきの位置を整えたい場合:歯ぐきの整形・再生治療を行うため約3か月延長
A. 1回の治療時間を2〜3時間に延長し、集中治療を行うことで通院回数を少なくすることが可能です。
A. 目安はご説明できますが、正確な回数はお口の状態によって異なります。当院の無料カウンセリングで診察を行い、必要な治療内容と回数をご説明します。
A. 保険外診療です。
オールセラミック:1本66,000円(税込)~165,000円(税込)
神経のない歯の場合:別途ファイバーコア22,000円(税込)
本数が多い場合は、本数分の費用がかかります。
A. はい。以下のリスクがあります。
歯を削る際に神経を取らないと痛みやしみが出る場合がある
オールセラミックは天然歯に近い色ですが、完全に同じ色ではない
歯ぐきの位置を整える治療を行う場合は別途期間と費用がかかる
A. はい。当院では**無料カウンセリング(予約制)**を行っています。治療内容や回数、費用について丁寧にご説明いたします。
📞 0120-25-1839
📞 03-3251-3921
A. 東京都千代田区神田鍛冶町3-2-6F(スターバックス上)
JR神田駅北口より徒歩1分
👉 「短期間でセラミック治療を終えたい」「治療回数を詳しく知りたい」という方は、ぜひ無料カウンセリングにお越しください。
変色した前歯の審美歯科治療をお考えの方は、歯の色についての判断をしっかりとする必要があります。
これは、通常変色してしまっている歯をオールセラミックで治療する場合、歯の色が透けて見えないように透明感を抑えた明るい色にすることが多いのですが、不自然な明るさになってしまう場合があります。透明感の調整が難しいのが変色歯のオールセラミック治療の問題となります。
オールセラミックの透明感を上げた白さの歯で明るすぎないタイプのオールセラミックを作成しましたのでご紹介いたします。透明感を調整して、変色歯の色を出ない範囲で透明感を出しました。

変色した歯をきれいに見えるようにオールセラミックで治療を行う場合があります。単純に色合いを白いだけにするとペンキで塗ったような白さになってしまいます。透明感を調整することが変色した歯の審美歯科治療では問題となります。
変色歯が白くなっても見た目に違和感があると問題ですので、ちょうどよい歯の透明感を残したオールセラミックを作成する必要があります。
変色した歯の治療を詳しく確認されたい方は下記の変色歯のページをクリックしてご覧ください.
変色歯のページ

歯茎の整形を行った後にオールセラミックで変色していた歯を治療した状態.
オールセラミックの透明感を調整して歯の黒さが出ないようにしながら明るすぎない白いオールセラミックを作成しました。
オールセラミックは保険外診療となります。種類によって、¥66,00-(税込み)~¥165,000-(税込み)の物を用意しております。
変色歯の治療を希望される方はただいま無料カウンセリングを行っております。無料カウンセリングにてご希望に合った治療方法のご説明、お見積もりのお渡しをいたします。無料カウンセリングはご予約制となります。
無料カウンセリングお問い合わせ
神田ふくしま歯科
東京都千代田区神田鍛冶町3-2-6F スターバックス上
JR神田駅北口より徒歩1分 (東京駅の隣の駅です。)
03-3251-3921
0120-25-1839
~審美歯科治療の注意点~
審美歯科治療は保険外診療となります。オールセラミック で歯の色を治す場合、オールセラミック の種類によって当院では1本6万6千円(税込み)~16万5千円(税込み)のセラミックを選んでいただいております。
お写真のケースでは、1本9万9千円(税込み)のスタンダードタイプのオールセラミック を6本使用しております。料金は59万4千円(税込み)かかりました。
審美歯科で歯の色を治す場合のリスクとしては、歯の神経を取らないとしみてしまったり、お痛みが出てしまう場合があります。
また、オールセラミック の色合いはかなり天然の歯に近いものになりますが、完全に同じものではありません。
前歯の変色に対して審美歯科治療をお考えの方は、歯の色選びを慎重に行う必要があります。
通常、変色している歯をオールセラミックで治療する際には、元の歯の色が透けてしまわないように透明感を抑え、明るめの色を選択することが多いです。しかし、あまりにも明るい色を選ぶと不自然に見えてしまう場合があります。変色した歯に対するオールセラミック治療では、この透明感の調整が難しいポイントになります。
そこで神田ふくしま歯科では、透明感を適度に保ちながら、変色した歯の色が透けない範囲で自然な明るさのオールセラミック治療を行っております。透明感を調整することで、より自然で美しい歯を実現することができます。
当院では経験豊富なドクターが無料カウンセリングを行っていますので、歯の色や治療方法についてご不安やご質問がある方は、ぜひお気軽にご相談ください。
審美歯科の無料カウンセリングお問い合わせ
神田ふくしま歯科
東京都千代田区神田鍛冶町3−2−6F スターバックス上
JR神田駅北口(モンダミン口)より徒歩1分 (東京駅の隣の駅です)
03−3251−3921
0120−25−1839
A. 透明感の調整が最も重要です。変色が透けて見えないように透明感を抑えると、逆に不自然に明るく見えてしまうことがあります。自然な仕上がりにするためには、透明感と色のバランスを丁寧に調整する必要があります。
A. 変色歯の色が透けない範囲で、適度に透明感を残したオールセラミックを作製します。これにより、ペンキで塗ったような白さではなく、自然な見た目の歯を再現できます。
A. 前歯の変色に対して、歯茎の整形とオールセラミック治療を行ったケースでは、自然で違和感のない白さを実現できました。透明感を調整することで、変色が透けずに自然な仕上がりとなっています。
A. 保険外診療となります。
オールセラミック:1本 66,000円(税込)~165,000円(税込)
実際の症例例:スタンダードタイプ(99,000円/本)を6本使用し、合計594,000円(税込)
A. はい。以下のようなリスクがあります。
歯を削るため、神経を取らないと知覚過敏や痛みが出る場合がある
オールセラミックは天然歯に近い色合いですが、完全に同じではない
A. はい。患者様のご希望に合わせて、明るさや透明感を調整したオールセラミックを作製いたします。経験豊富な技工士と連携し、自然で美しい歯を目指します。
A. はい。当院では**無料カウンセリング(予約制)**を行っています。変色歯の色や透明感に関して不安がある方は、ぜひお気軽にご相談ください。
📞 0120-25-1839
📞 03-3251-3921
A. 東京都千代田区神田鍛冶町3-2-6F(スターバックス上)
JR神田駅北口(モンダミン口)より徒歩1分(東京駅の隣駅)
👉 「変色歯を自然に白くしたい」「透明感のある仕上がりにしたい」という方は、まずは無料カウンセリングでご相談ください。
セラミックの差し歯を再治療される場合、今ならオールセラミックという差し歯の素材がお勧めなのはもうご存知ですね?
インターネット上の歯科に関する質問を見ていてオールセラミックに関して誤解があるように感じましたが、歯の裏側から金属の見えてしまうオールセラミックのご質問をされている方がいました。
もちろんオールセラミックは金属を使用しないものなので歯の裏側から金属が見える事はありません。金属を使用しないという意味でオール、セラミックと言っています。
オールセラミックは従来の差し歯のセラミックと比較して透明感が高いものとなります。また、従来の差し歯に比べて厚みが薄くても透明感を出すことができますので、神経の生きている歯の場合より削る量を少なくすることができます。
オールセラミックのお値段は東京などの都心部の方が郊外の地域や歯医者の少ない地区の方が値段が高い傾向があるようです。オールセラミックか金属を使用する差し歯かはお値段で確認するのではなく、金属を使用するか使用するかで確認を取られるのが良いと思います。
審美歯科の格安料金に関しては料金の項をご覧ください。

金属を使用したセラミックは、裏側から金属が見えている場合があります.
これは、メタルボンドと言って金属を使用するセラミックです.オールセラミックは金属を使用していませんの出浦から金属が見える事はありません.
~審美歯科治療の注意点~
審美歯科治療は保険外診療となります。オールセラミック で歯並びなどを治す場合、オールセラミック の種類によって当院では1本6万6千円(税込み)~16万5千円(税込み)のセラミックを選んでいただいております。また、神経のない歯はオールセラミック とは別にファイバーコア(税込み2万2千円)という歯の土台の料金がかかる場合があります。
料金に関しましては、1本あたりの標準的な料金となります。多数の歯を治す場合は、本数分の治療費がかかります。
審美歯科治療では、歯の大きさや形の修正、歯の変色の改善、歯並びの改善を目的にオールセラミック などの材料を使用しております。リスク等もございますのでご確認ください。歯茎の位置を改善するために歯茎の再生・整形を行う場合は別途料金がかかります。
また、審美歯科で歯並びを治す場合のリスクとしては、歯の神経を取らないとしみてしまったり、お痛みが出てしまう場合があります。痛みの症状が出た場合は歯の神経を取り除く必要がある場合があります。また、オールセラミック の色合いはかなり天然の歯に近いものになりますが、完全に同じものではありません。
セラミックの差し歯の再治療を検討されている方へ、現在は「オールセラミック」という素材が大変おすすめです。
最近、インターネット上の歯科に関する質問を見ると、オールセラミックについて誤解されている方もいらっしゃるようです。例えば、「オールセラミックなのに歯の裏側から金属が見えてしまうのはなぜか」という質問がありましたが、実際のオールセラミックは金属を一切使用しておりません。名前の通り「オール(すべて)セラミック(陶器素材)」でできているため、歯の裏側から金属が見えることはありません。
オールセラミックは、従来の差し歯に使われている金属を使用したセラミックと比べて、透明感が非常に高く、より天然の歯に近い美しい見た目を実現できます。また、透明感を十分に引き出すために、従来の差し歯より薄く作製することが可能です。そのため、特に歯の神経が残っている歯の場合は、歯を削る量を抑えることができ、歯の健康を守ることにつながります。
また、オールセラミックの費用についてですが、東京都内のような都市部では歯科医院が多いため比較的リーズナブルに提供されている傾向があります。一方、郊外や地方など歯科医院が少ない地域では料金が高く設定される傾向があります。価格は医院によってさまざまですが、大切なのは費用だけで判断するのではなく、「金属を使用しているかいないか」をしっかり確認することです。治療を受ける前に医院側としっかり相談することをお勧めします。
神田ふくしま歯科では、経験豊富なドクターが丁寧な無料カウンセリングを行っています。オールセラミックについて疑問や不安がある方、セラミック治療を検討中の方は、ぜひ一度お気軽にご相談ください。あなたに最適な審美治療をご提案させていただきます。
ただいま、オールセラミック治療を希望される方は、無料カウンセリングを行っております。この機会にご利用ください。
無料カウンセリングお問い合わせ
神田ふくしま歯科
東京都千代田区神田鍛冶町3−2−6F スターバックス上
JR神田駅北口より徒歩1分 (東京駅の隣の駅です。)
0120−25−1839
A. オールセラミックは金属を一切使用しないセラミック素材です。従来の金属を使った差し歯(メタルボンド)とは異なり、裏側から金属が見えることはありません。そのため、見た目が自然で美しく仕上がります。
A. 主なメリットは以下の通りです。
天然歯に近い高い透明感がある
薄い仕上がりでも自然に見えるため、歯の削除量を少なくできる
金属を使わないので金属アレルギーの心配がない
歯茎に黒ずみが出ることがない
A. 従来の差し歯(メタルボンド)は、内側に金属を使用しているため透明感が少なく、裏から金属が見えることがあります。オールセラミックは金属を使わないため、自然な歯に近い見た目を再現でき、審美性に優れています。
A. 当院では、オールセラミック治療は1本あたり**66,000円(税込)~165,000円(税込)です。
※神経のない歯の場合は、別途ファイバーコア(22,000円(税込))**が必要になることがあります。
A. はい、いくつかのリスクがあります。
歯を削る必要があるため、知覚過敏や痛みが出る場合があります。
症状によっては歯の神経を取る処置が必要になることがあります。
オールセラミックは天然歯に近い色合いですが、完全に同じ色にはならない場合があります。
A. はい。都市部(例:東京)では歯科医院が多いため、比較的リーズナブルに治療を受けられる傾向があります。一方で、歯科医院が少ない地域では費用が高めに設定されることもあります。価格で判断するのではなく、**「金属を使用しているかどうか」**を確認することが大切です。
📍 無料カウンセリング・お問い合わせ
神田ふくしま歯科
東京都千代田区神田鍛冶町3−2−6F(スターバックス上)
JR神田駅北口より徒歩1分(東京駅の隣)
☎ 03-3251-3921 / 0120-25-1839
✅ オールセラミックは「自然な見た目」と「歯の健康」を両立できる差し歯治療です。
👉 治療を検討中の方は、まず無料カウンセリングでご相談ください。
虫歯になりやすい方は、前歯の間などの虫歯をレジンという詰め物で何度も治されている場合があります。
何度もレジンで詰め物をしていると、経年劣化をしてしまい、濃い色になってしまう場合があります。こういった場合、オールセラミック 治療をすることで、見た目を綺麗にすることができます。

前歯の歯と歯の間などに虫歯ができてしまって白い詰め物で何度も直している場合は、使用する白い詰め物の素材や時期によって色が様々に見えるため、歯の色がまだらに見えてしまいます。
単に見た目だけでなく、何度も詰め物を交換しているうちにだんだんと歯がなくなってきてしまっていたり、つぎはぎのように詰め物をしているために隙間ができて中が虫歯になりやすくなってしまっている場合もあります。
こういった場合は、詰め物を覆うようにオールセラミックで治療することで、見た目の改善ができ、また、その綺麗な見た目が長持ちするようになります。

前歯をオールセラミックにすることで、詰め物に付着しやすかった汚れなどが歯につく心配がほぼなくなります。もちろん、つぎはぎに見えた詰め物もオールセラミックにすることでなくなります。
オールセラミックの透明感は周囲の歯の状態に合わせてお作りすることができますので、見た目が自然な感じに仕上がります。
~審美歯科治療の注意点~
審美歯科治療は保険外診療となります。オールセラミック で歯並びなどを治す場合、オールセラミック の種類によって当院では1本6万6千円(税込み)~16万5千円(税込み)のセラミックを選んでいただいております。また、神経のない歯はオールセラミック とは別にファイバーコア(税込み2万2千円)という歯の土台の料金がかかる場合があります。
料金に関しましては、1本あたりの標準的な料金となります。多数の歯を治す場合は、本数分の治療費がかかります。
審美歯科治療では、歯の大きさや形の修正、歯の変色の改善、歯並びの改善を目的にオールセラミック などの材料を使用しております。リスク等もございますのでご確認ください。歯茎の位置を改善するために歯茎の再生・整形を行う場合は別途料金がかかります。
また、審美歯科で歯並びを治す場合のリスクとしては、歯の神経を取らないとしみてしまったり、お痛みが出てしまう場合があります。痛みの症状が出た場合は歯の神経を取り除く必要がある場合があります。また、オールセラミック の色合いはかなり天然の歯に近いものになりますが、完全に同じものではありません。
虫歯になりやすい方の中には、前歯の隙間など同じ部分を何度も治療されていることがあります。
特に前歯の場合は、笑ったり話したりすると目を見張るため、詰め物の色や形が変わって思わず審美的な悩みにつながることはありません。
その場合には、オールセラミックという素材を使った審美的な歯科治療が非常に天然に有効です。 オールセラミックはの歯に近い自然な透明感や色調を持っており、周囲の歯とも調和し、非常に美しい仕上がりになります。
何度も治療を繰り返した前歯を綺麗に治したいとお考えの方は、一度オールセラミック治療をご検討されてはいかがでしょうか。では無料カウンセリングを行っておりますので、お気軽にご相談ください。
無料カウンセリングお問い合わせ
神田ふくしま歯科
東京都千代田区神田鍛冶町3−2−6F スターバックス上
JR神田駅北口より徒歩1分 (東京駅の隣の駅です.)
0120−25−1839
03−3251−3921
オールセラミック は透明感が出せますか?
オールセラミックは歯のエナメル質と言われている部分をセラミックに置き換えるものです。歯のエナメル質と同様の色の透け具合つまり透明度を持たせる事で、天然の歯に近い見た目となります。
金属の裏打ちのあるメタルボンドというセラミックのタイプでは、金属があるため透明感を抑えなくてはいけないため、人工の歯のような見た目になりやすくなります。

オールセラミックの透明感に関して天然の歯にあわせるようにしますが,歯の表面に白い斑点のような縞模様があったりするケースは完全に天然の歯の用に模様を入れずにお作りする事がほとんどです.
お写真のケースでは、上の前歯4本のオールセラミック治療を行っていますが,表面には模様を入れずに単純につるつるにして内部に色のグラデーションが入るようにしております.
下の歯に合わせて白い線の入った模様は天然の歯のように見えるようになりますが,きれいではないと感じてしまう方が多いようです.
ご希望がない限りは歯の表面の模様をオールセラミックに入れる事はありませんので、ご希望の方はお伝えいただけると良いと思います.
オールセラミックの素材などのご説明は下記のリンクページなどで詳しくさせていただいております。ご興味のある方はクリックしてご覧ください。
オールセラミックのページ
~審美歯科治療の注意点~
審美歯科治療は保険外診療となります。オールセラミック で歯並びなどを治す場合、オールセラミック の種類によって当院では1本6万6千円(税込み)~16万5千円(税込み)のセラミックを選んでいただいております。また、神経のない歯はオールセラミック とは別にファイバーコア(税込み2万2千円)という歯の土台の料金がかかる場合があります。
料金に関しましては、1本あたりの標準的な料金となります。多数の歯を治す場合は、本数分の治療費がかかります。
審美歯科治療では、歯の大きさや形の修正、歯の変色の改善、歯並びの改善を目的にオールセラミック などの材料を使用しております。リスク等もございますのでご確認ください。歯茎の位置を改善するために歯茎の再生・整形を行う場合は別途料金がかかります。
また、審美歯科で歯並びを治す場合のリスクとしては、歯の神経を取らないとしみてしまったり、お痛みが出てしまう場合があります。痛みの症状が出た場合は歯の神経を取り除く必要がある場合があります。また、オールセラミック の色合いはかなり天然の歯に近いものになりますが、完全に同じものではありません。
🦷 「セラミックにしたら、人工的に見えるか心配…」
🦷 「セラミックにするなら、本物の歯と同じような透明感が欲しい!」
少し心配をお持ちの方も多いのではないでしょうか?
オールセラミックは、歯の表面にある「エナメル質」という部分をセラミック素材で再現したものです。
天然の歯のように光を透過するため、自然な透明感を出すことが可能です。
✅天然の歯と同じような美しい仕上がりになります
✅透明感を調整して自然な色合いに仕上げられる
一方、メタルボンドというタイプのセラミックは内側に金属を使っているため、
✅自然な透明感を出したい場合は『オールセラミック』がおすすめです。
神田ふくしま歯科では、経験豊富なドクターが無料カウンセリングを行っています。
ぜひお気軽にご相談ください✨
患者様に合ったセラミック治療をご提案させていただきます。
天然の歯のような透明感ある美しい笑顔を手に入れましょう!
無料カウンセリングお問い合わせ
神田ふくしま歯科
東京都千代田区神田鍛冶町3-2-6F スターバックス上
JR神田駅北口より徒歩1分 (東京駅の隣の駅です.)
0120-25-1839
03−3251−3921
A. はい。オールセラミックは歯の表面にあるエナメル質をセラミックで再現しており、光を透過するため自然な透明感を出すことができます。
A. オールセラミックであれば、天然の歯に近い透明感を再現でき、人工的に見える心配は少ないです。さらに、透明感の度合いを調整できるため、ご自身の歯に合わせた自然な仕上がりが可能です。
A.
メタルボンド:内側に金属を使用するため、金属の影響で透明感が出にくく、人工的に見えることがあります。
オールセラミック:金属を一切使用せず、自然な透明感と色合いを実現できます。金属アレルギーの心配もありません。
A. 以下のような方に特におすすめです。
より自然で本物の歯のような見た目を求める方
歯の透明感にこだわりたい方
金属アレルギーが心配な方
A. 神田ふくしま歯科では無料カウンセリングを行っています。経験豊富なドクターが歯の状態を確認し、透明感や見た目のご希望に合わせて最適なセラミック治療をご提案します。
📍 無料カウンセリング・お問い合わせ先
神田ふくしま歯科
東京都千代田区神田鍛冶町3-2-6F(スターバックス上)
JR神田駅北口より徒歩1分(東京駅の隣)
☎ 0120-25-1839 / 03-3251-3921
前歯の歯並びを審美歯科治療で短期間に治したいというご希望の方の治療例です.極端な歯並びの不正は矯正治療が良いのですが,ケースによっては審美歯科治療できれいな歯並びにする事ができます.
このケースでは歯の神経を抜かずに歯並びを改善する事ができました.また、歯の色を白くする事ができるのも喜ばれています.
術前
前歯の歯並びの改善を希望されて来院されました。
神経は抜きたくないということで、まずは仮歯を入れて歯並びの具合が大丈夫か神経を抜かない範囲で歯を削り審査しました。
歯の色を全体的に白くして、肌の色より白くするように、ホワイトニングをしていただきました。
術前
術後
最終的に、ホワイトニングとジルコニアオールセラミックで、前歯5本を治療しました。
ホワイトニングでかなり白くなりましたので、下の前歯に合わせて上の歯の色を決めました。
神経も歯も抜かずに済みました。
歯茎の整形も最小限で整えました。
少し歯茎の近くの色が白くならなかったのが残念ですが、見えない部分ですのでこれ以上の処置はしないことにしました審美歯科治療の結果としては満足して頂けました。
白くてきれいな歯が入りました。
とても喜んでいただけました。きれいな歯と周りから言われるそうです。
治療期間は1ヶ月半かかりました。
セラミック治療に関する詳しい内容は下記のリンクページにございます.ご興味のある方はクリックしてご覧ください.
審美歯科治療の格安料金に関しては下記のリンクページをご参考になさってください。
また、審美歯科治療を希望される方は無料カウンセリングを行っておりますのでご利用ください.無料カウンセリングにて治療方法のご説明、お見積もりのお渡しをいたします.
無料カウンセリングお問い合わせ
神田ふくしま歯科
東京都千代田区神田鍛冶町3−2−6F スターバックス上
0120−25−1839
03−3251−3921
~審美歯科治療の注意点~
審美歯科治療は保険外診療となります。オールセラミック で歯並びなどを治す場合、オールセラミック の種類によって当院では1本6万6千円(税込み)~16万5千円(税込み)のセラミックを選んでいただいております。また、神経のない歯はオールセラミック とは別にファイバーコア(税込み2万2千円)という歯の土台の料金がかかる場合があります。
料金に関しましては、1本あたりの標準的な料金となります。多数の歯を治す場合は、本数分の治療費がかかります。
審美歯科治療では、歯の大きさや形の修正、歯の変色の改善、歯並びの改善を目的にオールセラミック などの材料を使用しております。リスク等もございますのでご確認ください。歯茎の位置を改善するために歯茎の再生・整形を行う場合は別途料金がかかります。
また、審美歯科で歯並びを治す場合のリスクとしては、歯の神経を取らないとしみてしまったり、お痛みが出てしまう場合があります。痛みの症状が出た場合は歯の神経を取り除く必要がある場合があります。また、オールセラミック の色合いはかなり天然の歯に近いものになりますが、完全に同じものではありません。
「前歯の歯並びを短くしてキレイにしたい!」そんな願いを叶える審美歯科治療例をご紹介します。
🦷 「前歯の歯並びが気になるけど、矯正には時間がかかる…」
🦷 「歯の色も気になるし、まとめてキレイに治せないかな?」
そんなお悩みをお持ちの方にご紹介したいのが、『審美歯科治療(オールセラミック治療)』です。
審美歯科治療で前歯を整えることができます!
前歯の歯並びが乱れている場合は矯正治療が最適ですが、場合によっては審美歯科治療を行うことで、瞬間的に美しい歯並びを整えることができます。
本日ご紹介する患者様は、
前歯の歯並びを少しで改善したい
矯正装置は使いたくない
歯の色もキレイにしたい
というご希望をお持ちでした。
このケースの治療のポイント
この治療法は、
✅歯の神経を意識せずに治療
✅一瞬で美しい歯ついでに改善
✅オールセラミックで歯の色も美しく白く改善
という点で患者様に大変喜んでいただきました。
歯の神経を気にせずに済んだため、歯への負担も少なく、健康的な仕上がりを実現しています。
前歯の歯並びや色でお悩みの方へ【無料カウンセリング】
前歯の歯並びを早く治したい
矯正治療はしたくない
歯の色や形を一気に美しく改善したい
神田ふくしま歯科では、経験豊富な歯科医師が丁寧な『無料カウンセリング』を行っています。
あなたの歯の状態に合った最適な治療方法をご提案いたしますので、お気軽にご相談ください。
無料カウンセリングお問い合わせ
神田ふくしま歯科
東京都千代田区神田鍛冶町3−2−6F スターバックス上
JR神田駅北口(モンダミン口)より徒歩1分 (東京駅の隣の駅です。)
0120−25−1839
03-3251-3921
A. はい。
通常は矯正治療が最適ですが、時間がかかるのがデメリットです。そこで**審美歯科治療(オールセラミック治療)**を用いることで、短期間で美しい歯並びを整えることが可能です。
A. はい。
審美歯科治療では歯を削り、オールセラミックを装着することで瞬間的に歯並びを改善できます。矯正装置を使いたくない方にも適しています。
A. はい。
オールセラミックは自然で美しい白さを再現できるため、歯並びだけでなく歯の色も一緒に改善できます。
A. 主なメリットは次の通りです。
歯の神経を意識せずに治療できるケースが多い
短期間で自然な見た目の歯並びを実現
オールセラミックで色調も美しく改善
歯への負担が少なく健康的な仕上がり
A. 以下のような方に特におすすめです。
前歯の歯並びを早く治したい
矯正治療はしたくない
歯の色や形を一気に改善したい
A. はい。
神田ふくしま歯科では無料カウンセリングを実施しています。経験豊富な歯科医師があなたの歯の状態を丁寧に確認し、最適な治療プランをご提案します。お気軽にご相談ください。
📍 無料カウンセリング・お問い合わせ先
神田ふくしま歯科
東京都千代田区神田鍛冶町3-2-6F(スターバックス上)
JR神田駅北口より徒歩1分(東京駅の隣)
☎ 0120-25-1839 / 03-3251-3921

前歯の差し歯を保険の素材にした場合,色合いが周囲の歯と合わず、審美歯科の御相談にいらっしゃる事がしばしばあります.
前歯の差し歯を含めて全体的にきれいにしたい場合は、オールセラミックで料金が安いエコノミーオールセラミックが良いかもしれません.

前歯5本をエコノミーオールセラミックにて治療した状態.
治療本数が多い場合は色の調和をとりやすくなりますので、エコノミーオールセラミックを使用してもきれいな見た目となります.
オールセラミックは多くのメーカーから多くの商品が販売されています。今回は、e.maxプレスというオールセラミックについてご紹介いたします。当院では、エコノミーオールセラミックとして治療に使用しております。
特徴は、コストを抑えている割に、歯の強度がある程度あり,透明感も選べ、歯の形をある程度調整できるという、いわゆるコストパフォーマンスの良い素材です。
e.maxプレスオールセラミックは、従来のセラミックの作製法とは異なるプレス方と言う方法でセラミックを作成しております。この方法で作成する事で、歯の強度を強くする事ができました。
また、セラミックの素材のバリエーションが多く、インプラントの上部構造、変色歯などにも対応しております。
例えば、変色した歯に対して、変色具合に合わせて透明度のちがうセラミックブロックを選択する事で最適な透明感を残しながら歯の色を白くする事も可能です。つまり、変色している歯は、重度に変色している場合と、軽度に変色している場合で透明感を変えます。重度に変色している場合は透明感を抑えてセラミックの色を出すようにし,軽度の変色に対してはある程度、透明感を出すようにして自然な歯の透明感に近づけます。
~審美歯科治療の注意点~
審美歯科治療は保険外診療となります。オールセラミック で歯並びなどを治す場合、オールセラミック の種類によって当院では1本6万6千円(税込)~16万5千円(税込)のセラミックを選んでいただいております。また、神経のない歯はオールセラミック とは別にファイバーコア(税込2万2千円)という歯の土台の料金がかかる場合があります。
料金に関しましては、1本あたりの標準的な料金となります。多数の歯を治す場合は、本数分の治療費がかかります。
審美歯科治療では、歯の大きさや形の修正、歯の変色の改善、歯並びの改善を目的にオールセラミック などの材料を使用しております。リスク等もございますのでご確認ください。歯茎の位置を改善するために歯茎の再生・整形を行う場合は別途料金がかかります。
また、審美歯科で歯並びを治す場合のリスクとしては、歯の神経を取らないとしみてしまったり、お痛みが出てしまう場合があります。痛みの症状が出た場合は歯の神経を取り除く必要がある場合があります。また、オールセラミック の色合いはかなり天然の歯に近いものになりますが、完全に同じものではありません。
保険適用で前歯の差し歯を作ったけれど、「色合いが周りの歯と合わず、気になってしまう…」といったご相談をよくいただきます。
保険で使用する差し歯の素材は色や透明感に制限があるため、どうしても自然な見た目が難しく、審美的な問題が出てしまうことがあります。
前歯の差し歯を含め、お口全体を自然で美しくしたいという方には、『エコノミーオールセラミック』がおすすめです。
エコノミーオールセラミックは、リーズナブルな料金でありながら自然な色合いや透明感を実現できるセラミック素材です。周囲の歯との色調をしっかり合わせることができ、見た目の美しさにこだわりたい方に最適な方法です。
神田ふくしま歯科では、経験豊富なドクターが無料でカウンセリングを行っています。
「前歯の差し歯の色が気になる」「全体的にきれいな歯にしたい」という方は、ぜひお気軽にご相談ください。患者様に合わせた最適なプランをご提案いたします。
審美歯科の無料カウンセリングお問い合わせ
医療法人社団歯健会 神田ふくしま歯科
東京都千代田区神田鍛冶町3−2−6F スターバックス上
JR神田駅北口より徒歩1分 (東京駅の隣の駅です.)
0120−25−1839
03−3251−3921
A. はい。
保険適用の素材は色や透明感に限界があり、周囲の歯と色調が合わず、自然な見た目になりにくいことがあります。そのため、審美的な理由でご相談に来られる方が多くいらっしゃいます。
A. オールセラミック治療がおすすめです。
特に当院では、料金を抑えながら自然な色合いと透明感を実現できるエコノミーオールセラミックをご用意しています。
A. 当院では「e.maxプレス」というオールセラミック素材を採用しています。
強度があり透明感も選べる
歯の形や色調をある程度調整できる
変色歯やインプラントにも対応可能
といった特徴があり、コストパフォーマンスに優れています。
A. はい。
変色の程度に合わせてセラミックの透明度を調整します。
重度の変色 → 透明感を抑え、色をしっかり出す
軽度の変色 → 透明感を出して自然な見た目に近づける
といった工夫で、自然で美しい仕上がりにします。
A. 保険外診療となります。
オールセラミック:1本 66,000円(税込)~165,000円(税込)(種類による)
エコノミーオールセラミック(e.maxプレス):1本 60,000円(税別)
神経のない歯のファイバーコア(土台):22,000円(税込)
※複数本の場合は本数分の料金がかかります。
A. はい。
神経を取らないと痛みやしみが残る場合があります
オールセラミックの色は天然歯に近いですが、完全に同一にはなりません
治療後に知覚過敏が出ることがあり、コーティングや刺激物制限が必要になる場合があります
A. 無料です。
お口の状態を拝見し、色調や形のご要望を伺った上で、最適な治療プランとお見積もりをご提案します。
📍 無料カウンセリング・お問い合わせ先
医療法人社団歯健会 神田ふくしま歯科
東京都千代田区神田鍛冶町3-2-6F(スターバックス上)
JR神田駅北口より徒歩1分(東京駅の隣)
☎ 0120-25-1839 / 03-3251-3921
審美歯科治療の失敗の一つに前歯の差し歯の長さが左右でちがうという失敗があります.審美歯科治療をする際に気をつけるポイントがあります.
仮歯を入れた時に、左右の長さがちがうと、最終的なセラミックの歯の長さも左右でちがってしまいます。セラミックを入れる前に歯茎の長さを揃える必要があります。

このお写真の方のように左右で長さのちがう差し歯が入ってしまっている事が多いです.なぜ前歯の長さが左右でちがうオールセラミックが入ってしまうのでしょう?
審美歯科治療をする医院を選ぶ際にこのポイントを確認しておく事が重要です。ご説明の前にまずは治療後のお写真をご覧ください.

オールセラミックの再治療を行っています.左側の差し歯の長さが短くなって左右で同じか少し短いオールセラミックが入ったのがおわかりいただけるかと思います.
何だ,そんな事か。と思われる方もいらっしゃるかもしれませんが,左右の長さのちがう前歯を鏡で見るたびに審美歯科の結果に後悔されてしまっている方もいらっしゃいます。
あまり知られていない事ですので、ご注意ください.審美歯科治療をする際に気をつけなくては行けないポイントは、歯茎なのです.
歯茎の位置を改善する歯ぐきの再生治療を審美歯科と合わせて行う最先端の審美歯科治療を行う事で差し歯の大きさを左右で合わせる事ができます。(実際、歯茎の再生治療を行っている歯科医院はほとんどございません.)
多くの歯科医院で審美歯科治療を受けたあとに左右の差し歯の大きさがちがっていても、しょうがない、こんなもんです、気になる程ではないでしょう、などと言われて再治療はできないでしょう。(再治療したとしても、今度は逆に全部の歯の長さが長くなってしまう事になってしまうかもしれません.)
歯ぐきの再生治療に関しての詳しい症例は下記のリンクページに詳しい内容を記載させて頂いておりますのでクリックしてご覧ください.
審美歯科の注意
・料金と選択方法
オールセラミック治療は保険外診療となります。オールセラミックの種類によって1本66,000円(税込)~165,000円(税込)の料金がかかります。また、神経のない歯はオールセラミックとは別にファイバーコアという歯の土台の料金22,000円(税込)がかかる場合があります。当院では、患者さんのニーズに合わせてセラミックの種類を選択できるように強度重視・自然さを重視などセラミックの特色に合わせて対応させていただいております。料金に関しましては、1本あたりの標準的な料金となります。多数の歯を治す場合は、本数分の治療費がかかります。
・リスクと対策
オールセラミックの色合いはかなり天然の歯に近いものになりますが、完全に同じものではありません。当院ではご希望に合わせて高精度の写真や技工士さんの立ち合いなどこだわったオーダーメイドセラミックを作製することも可能です。
審美歯科治療では、歯の大きさや形の修正、歯の変色の改善、歯並びの改善を目的にオールセラミック などの材料を使用しております。リスク等もございますのでご確認ください。歯茎の位置を改善するために歯茎の再生・整形を行う場合は別途料金がかかります。
また、セラミック治療をする場合、歯を削る必要があります。治療後に知覚過敏を起こすことがあります。当院では神経のある歯を削った後はコーティング剤を塗布し、処置後しばらくは熱いものや冷たいものなどの刺激物を取らないよう気を付けていただいております。
~歯茎の再生治療の注意~
お写真や治療法のご説明の内容を掲載する際には、料金や治療のリスクを表示することになっております。治療を検討される際には、注意も合わせてご確認ください。
歯茎の再生治療は保険外診療となります。当院では、歯茎の再生治療1~3本で7万7千円(税込)かかります。また、術後は歯ブラシができないため、病院で消毒・クリーニングを行います。消毒も保険外となりますので、1回の消毒・クリーニングに¥5,500−(税込)の費用がかかります。通常4回の消毒にお越しいただいております。
歯茎が下がって歯の根っ子が露出しているケースのように歯茎の炎症がなく、歯と歯の間の骨が吸収していないケースに関しては、露出した歯の根っこを覆えることが報告されています。歯周病が進行したケースなど歯を支える骨の吸収したケースでは、歯茎が回復しない場合もあります。
n 歯茎の再生治療のリスクと対策
歯茎の再生治療は外科的な治療ですので、治療後に糸でしっかりと縫う必要があります。尖ったものが刺さってしまったりして歯茎が開くと出血してしまうリスクがあります。また、術後に腫れや痛みが出ることがあります。そのため、当院では、出血予防止血対策にに止血用マウスピースをお渡ししております。また、術後の注意を守っていただいております。
歯茎の再生治療は、歯周病の進行具合や感染の状況によって回復できる歯茎の位置が変わります。ご希望の位置まで歯茎が必ず回復する治療ではありません。当院では、審美的な回復のための方法も行っておりますので併せて紹介しております。
審美歯科治療の失敗でよく見られるのが、「前歯の差し歯の長さが左右で違ってしまった」というケースです。
あまり知られていませんが、審美歯科治療をする際には、歯だけでなく歯茎にも注意する必要があります。
たとえば、仮に美しいオールセラミックを入れたとしても、土台となる歯茎の位置が左右で違うと、どうしても仕上がりに差が出てしまいます。特に前歯の差し歯を入れる場合には、左右の歯茎の位置が整っているかどうかが大きなポイントになります。
神田ふくしま歯科では、オールセラミックの再治療も行っています。
今回の写真のケースでは、左側の差し歯の長さが短くなり、左右の歯の長さが自然に整ったことがお分かりいただけるかと思います。
「なんだ、そんなこと?」と思われる方もいるかもしれませんが、実際には、毎日鏡を見るたびに左右の歯の長さの違いが気になり、後悔されている方も少なくありません。
歯茎の高さを整える「歯茎の再生治療」を、オールセラミック治療などの審美歯科治療と同時に行うことで、歯の大きさや長さを左右で揃えることができます。しかし、実はこの歯茎の再生治療を行える歯科医院はほとんどありません。
一般的な歯科医院では、差し歯の左右の長さが違っていても、「仕方ない」「気になるほどではないでしょう」と説明され、再治療が難しいことが多くあります。もし再治療したとしても、今度は歯が全体的に長くなってしまい、かえって見た目が不自然になるケースもあります。
神田ふくしま歯科では、経験豊富なドクターが歯茎の再生治療を含め、こだわりの審美歯科治療を行っています。無料で丁寧なカウンセリングも実施しております。
「左右の差し歯の長さが気になる…」
「美しい歯を手に入れたい!」という方は、ぜひお気軽にご相談ください。
無料カウンセリングお問い合わせ
神田ふくしま歯科
東京都千代田区神田鍛冶町3−2−6F スターバックス上
JR神田駅北口(モンダミン口)より徒歩1分 (東京駅の隣の駅です。)
0120−25−1839
03-3251-3921
A. はい。
前歯の差し歯の長さが左右で異なると、笑ったときや鏡で見たときに違和感が出やすく、審美的な仕上がりが損なわれます。毎日見るものだからこそ、コンプレックスになってしまう方も少なくありません。
A. 主な原因は歯茎の高さの違いです。
仮歯の段階で左右の長さが揃っていない場合、そのまま最終的なセラミックも長さが異なって仕上がってしまいます。特に前歯では、歯茎の位置が左右で整っていることが重要です。
A. 歯茎の再生治療と審美歯科治療を併用します。
歯茎の高さを整えたうえでオールセラミックを入れることで、自然で左右対称な仕上がりが可能です。ただし、歯茎再生治療を行える歯科医院は限られています。
A. ケースによります。
一般的な歯科医院では「仕方ない」「気になるほどではない」と言われることも多く、再治療しても全体的に歯が長くなってしまう場合があります。当院では歯茎の再生治療を含めた再治療プランをご提案しています。
A. 保険外診療となります。
オールセラミック:1本 66,000円(税込)~165,000円(税込)(種類により)
神経のない歯のファイバーコア(土台):22,000円(税込)
歯茎再生治療(1〜3本):77,000円(税込)
※複数本治療の場合は本数分の料金がかかります。
また、歯茎再生治療後は通常4回の消毒・クリーニングが必要で、**1回 5,500円(税込)**です。
A. はい。
オールセラミック:天然歯に近い色合いですが、完全に同じではありません。歯を削る必要があり、治療後に知覚過敏が出ることがあります。
歯茎再生治療:外科処置のため、術後に縫合が必要です。傷口が開くと出血のリスクがあり、腫れや痛みが出る場合もあります。回復できる歯茎の位置は症例によって異なり、必ず希望の位置まで戻せるわけではありません。
A. 無料です。
治療方法・費用・症例を詳しく説明し、納得いただいてから治療を進めます。
📍 無料カウンセリング・お問い合わせ先
神田ふくしま歯科
東京都千代田区神田鍛冶町3-2-6F(スターバックス上)
JR神田駅北口より徒歩1分(東京駅の隣)
☎ 0120-25-1839 / 03-3251-3921
いわゆる、健康保険の適応の差し歯とオールセラミックはどのようにちがうのかわからないという方も多いかと思います。今回は、保険適応の金属を使用した差し歯と金属を使用しないオールセラミックのちがいについてのご説明をさせていただきます。
保険適応の差し歯の場合、金属のフレームの上に白いプラスティックのようなものを重ねて作ります。金属のフレームが透けて見えないようにするために、1層不透明なペンキのようなものを塗り、その上に白いプラスティックを重ねます。光が完全に通らないのもあり、歯の色が不透明になります。
オールセラミックは、金属を使用しないために、透明感を調整することができます。

金属を使用した差し歯の不透明な感じの見た目の例。
金属を使用したからといって、お写真ほど不透明にならずに済むことももちろんあります。ただ、透明感を出すためには、このタイプの差し歯の場合、大きく削る必要があります。神経のある歯などでは、場合によっては神経を抜くようなことが必要かもしれません。

オールセラミックは周囲の歯と透明感を調整することができます。
色合いだけではなく、透明感を合わせることで、周りの歯との調和がとれます。
オールセラミック治療をお考えの方は、下記のリンクページにオールセラミックの詳しい内容を記載させていただいております。クリックしてご覧ください。
オールセラミックの詳しいページ
~審美歯科治療の注意点~
審美歯科治療は保険外診療となります。オールセラミック で歯並びなどを治す場合、オールセラミック の種類によって当院では1本6万6千円(税込み)~16万5千円(税込み)のセラミックを選んでいただいております。また、神経のない歯はオールセラミック とは別にファイバーコア(税込み2万2千円)という歯の土台の料金がかかる場合があります。
料金に関しましては、1本あたりの標準的な料金となります。多数の歯を治す場合は、本数分の治療費がかかります。
審美歯科治療では、歯の大きさや形の修正、歯の変色の改善、歯並びの改善を目的にオールセラミック などの材料を使用しております。リスク等もございますのでご確認ください。歯茎の位置を改善するために歯茎の再生・整形を行う場合は別途料金がかかります。
また、審美歯科で歯並びを治す場合のリスクとしては、歯の神経を取らないとしみてしまったり、お痛みが出てしまう場合があります。痛みの症状が出た場合は歯の神経を取り除く必要がある場合があります。また、オールセラミック の色合いはかなり天然の歯に近いものになりますが、完全に同じものではありません。
「保険の差し歯とオールセラミックって、どう違うの?」と思ったことはありませんか?
見た目はどちらも白い歯に仕上がりますが、実は素材や仕上がりの美しさ、耐久性に大きな違いがあります。
今回は、保険適応の金属を使った差し歯と、金属を使わないオールセラミックの違いをわかりやすく説明します。
保険適応の差し歯(前歯に使える硬質レジン前装冠)は、金属のフレームの上に白いプラスチックのような素材を重ねて作るものです。
🔹保険の差し歯の特徴
✅金属のフレームが内側にあり、強度はそこそこある。値段が安い
✅金属が透けるのを防ぐために、不透明な白色でコーティング
✅光が通らないため、天然の歯のような透明感がない
✅経年劣化で変色しやすい
このように、強度はあるもの、見た目の自然さでは限界があるのが保険の差し歯です。
オールセラミックは金属を一切使わず、すべてセラミック素材で作られた差し歯です。
🔹オールセラミックの特徴
✅金属を使用していないので、透明感の調整が可能
✅光が通るため、天然の歯に近い仕上がり
✅変色しにくいのでとりあえず美しさを保つ
✅金属アレルギーの心配がない
オールセラミックは、光の透過性をコントロールできるため、自然な白さや透明感を再現できるのが最大の魅力です。
🦷保険適応の差し歯が向いている方
✔︎費用を極力抑えたい。とりあえず歯があればよい方。
✔︎奥歯で見た目よりも強度を重視したい
✨オールセラミックが向いている方
✔︎前歯など見た目を美しく仕上げたい
✔︎自然な透明感のある歯にしたい✔︎
傷つきにくい歯を長く保ちたい
✔︎金属アレルギーが心配がない
「自分に合うのはどっち?」と悩んでいる方は、ぜひ神田ふくしま歯科の無料カウンセリングをご利用ください!
神田ふくしま歯科では、経験豊富なドクターが丁寧にお話を伺い、あなたに合った治療法をご提案させていただきます。
無料カウンセリングお問い合わせ
神田ふくしま歯科
東京都千代田区神田鍛冶町3−2−6F スターバックス上
JR神田駅北口(モンダミン口)より徒歩1分 (東京駅の隣の駅です。)
0120−25−1839
03-3251-3921
Q1. 保険の差し歯とオールセラミックは何が違いますか?
A. 主な違いは「素材」と「見た目の自然さ」です。
保険の差し歯(硬質レジン前装冠)は金属のフレームに白い樹脂を重ねて作ります。
オールセラミックは金属を使わず、全てセラミックで作るため、透明感や色調を自由に調整できます。
Q2. 保険の差し歯の特徴は?
A.
内部に金属フレームがあり、ある程度の強度がある
金属が透けるのを防ぐため不透明なコーティングを施す
光が通らず、天然歯のような透明感がない
経年劣化で変色しやすい
Q3. オールセラミックの特徴は?
A.
金属不使用で透明感や色調を調整できる
光を通すため天然歯に近い見た目になる
変色しにくく長期的に美しさを維持できる
金属アレルギーの心配がない
Q4. どちらを選ぶべきですか?
A.
保険の差し歯:費用を抑えたい、奥歯など見た目より強度を重視したい方
オールセラミック:前歯など見た目を重視したい、自然な透明感が欲しい、金属アレルギーが心配な方
Q5. オールセラミック治療の費用はどのくらいですか?
A. 保険外診療で、1本あたり66,000円(税込)〜165,000円(税込)です。神経のない歯の場合は、別途ファイバーコア(土台)22,000円(税込)が必要です。
Q6. 審美歯科治療の注意点はありますか?
A.
神経を残した歯では治療後にしみや痛みが出ることがあります。その場合、神経を取る必要が生じることがあります。
オールセラミックの色は天然歯に近づけられますが、完全に同じ色にはなりません。
歯茎の位置を整える場合は、別途歯茎整形や再生治療の費用がかかります。
Q7. 無料カウンセリングは受けられますか?
A. はい。予約制で無料カウンセリングを行い、ご希望やご予算に合わせた最適な治療方法をご提案します。
📞 0120-25-1839 / 03-3251-3921
🏥 神田ふくしま歯科(JR神田駅北口徒歩1分)
