審美歯科

審美歯科 · 13日 10月 2025
なぜ審美歯科治療に拡大鏡を使用が必要か。
審美歯科治療を行う場合、細かいことよりも目で見てわかることを治してもらえばよいとお考えの方もいらっしゃるかもしれませんが、細かい部分をしっかりと治療しなくては歯茎が腫れたり、下がったりする問題が早い段階で起こってしまうかもしれません。 細かい部分の治療を行うために、審美歯科治療には拡大鏡が必要になります
審美歯科 · 10日 10月 2025
知覚過敏があるけど、歯をきれいにしたい方のための審美歯科治療法
審美歯科治療で知覚過敏になることがあります。 例えばホワイトニングをした後に水や、風がしみてしまうことがあります。通常、知覚過敏のお薬を塗ることで落ち着きます。 また、虫歯の治療の後や差し歯のセット後に知覚過敏が起こる事があります.これは、虫歯を取り除くときや、差し歯をセットするときの接着剤の刺激が神経を過敏にする物と考えられます.
審美歯科 · 09日 10月 2025
前歯を短くしたい場合、歯を削らなくても良いかもしれません
歯の大きさを小さくしたいと言う方の中には歯茎が下がってしまったために歯の大きさが大きく見えてしまう場合があります.歯茎が下がってしまう事は、矯正治療を行った方でよく見かけます. こういった場合は歯を削って小さくするよりも下がった歯茎を回復させて歯を小さくする歯ぐきの再生治療をお勧めしております.
審美歯科 · 05日 10月 2025
変色した歯の色に合わせたセラミックの色を作る審美歯科治療とは
あなたの歯は1本だけ変色しまったりしていませんか? 審美歯科治療では、歯の変色具合によって治療方法や歯の削り具合を調節しています。
審美歯科 · 24日 9月 2025
全体的な審美歯科治療
もしあなたが、単に1本の歯を治したいのではなくきれいに見える口元にしたいので、どうしたら良いのかという御相談でしたら、全体的な審美歯科治療をお考えになられた方が良いでしょう. 例えば,歯の変色や歯茎の退縮・歯の隙間、銀歯や全体的な歯の色の不満等がある場合,全体的なプランを立てた方が短期間にきれいな口元になります. どのタイミングで治療をするのが効率的かを考えながら治療を進めていきます.
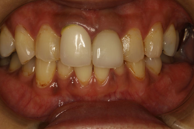
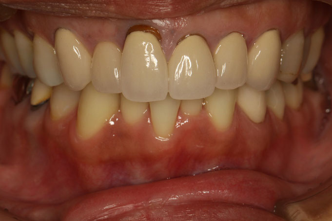
審美歯科 · 19日 9月 2025
審美歯科ブログ 変色歯の治療をオールセラミックで行ったケース。
神経のない歯が変色してきてしまう事があります。ひょっとしてあなたの前歯も変色してきていませんか?変色を気にされている方には朗報かと思います。   変色した歯の審美治療は、オールセラミックで行う事が可能です。下の写真のように、厚み0.5mmのジルコニアと言われているオールセラミックのフレームで色を遮断する事ができます。
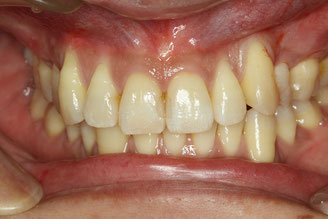
審美歯科 · 16日 9月 2025
歯茎が下がって長い歯になった時の審美歯科.
歯茎が下がってしまって歯が長くなってしまった場合の審美歯科治療をご存知でしょうか? 歯が長いまま審美歯科治療を行ってきれいなオールセラミックが入っているのに歯の長さが長くて見た目が悪いということがあります。 こういった場合、歯茎の再生治療を行って歯の長さを回復させたうえでオールセラミックなどの審美歯科治療を行うことがお勧めです。
審美歯科 · 14日 9月 2025
審美歯科で歯茎の黒ずみを改善するには歯ぐきの再生治療も必要な場合があります.
審美歯科治療では、歯茎が黒く見える問題に対応しております。 歯茎が黒く見える原因の一つに、神経の無い歯の歯茎が下がってしまうことが考えられます。最近主流になっている、金属を使用しないタイプのオールセラミックを使用しても歯茎が下がってしまうと歯茎が黒く見えるようになってしまいます。
審美歯科 · 12日 9月 2025
審美歯科治療といっても単にオールセラミックを入れるだけでは見た目が物足りないかもしれません。
審美歯科というと、単に虫歯の歯をセラミックの歯で直したり、差し歯がかけたり膿が出てやり直す際に、オールセラミックという素材でやり直すだけでは、自然な見た目にはなりません。 せっかく新しくしたオールセラミックの長さが左右でちがっていたりすると、せっかく直したのに物足りない感じになってしまうかもしれません。 審美歯科治療を行う際には、オールセラミックの長さや形を調整することで、見た目をより良いものにすることができます。
審美歯科 · 09日 9月 2025
セラミックの治療回数
セラミック治療をお考えの方は、なるべく短期間に治したいと言うご希望がある事が多いのではないでしょうか。 セラミック治療は通常3回の治療で終わります。 セラミックの基本となる治療回数3回に、にオプションとなる、歯の神経の治療の回数、歯ぐきの再生治療など歯の長さを整える治療の回数、治療本数の多い方歯噛み合わせの調整の回数、歯の形にこだわる方は修正の回数などを加えた回数があなたの治療回数になります.

さらに表示する