カテゴリ:精密審美歯科



審美歯科 · 20日 10月 2025
セラミックを長持ちさせる秘訣とは 審美歯科ブログ
セラミックの寿命は?って聞かれることがよく有ります。 あなたのセラミックはまだ大丈夫ですか? 物には寿命がありますが、セラミックも疲労します。 例えば常に歯を食いしばってしまっている方のセラミックは壊れやすくなりますし、ブリッジなど偏って力が掛かってしまう場合は、力のかかり易い部分が折れてしまうことがあります。
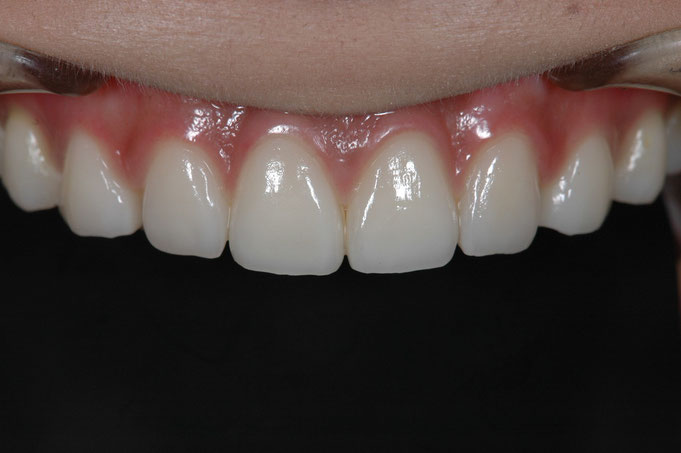
セラミックの色 · 18日 10月 2025
失敗しないための審美歯科 高性能のカメラで歯の色を確認します。
セラミックの色が周囲の歯と合わないということはありませんか? 特に前歯の審美歯科治療では、セラミックの色合いが重要になります。歯の透明感や透け具合、色合い、明るさなど色に関してはいろいろなことを決める必要があります。
審美歯科 · 13日 10月 2025
なぜ審美歯科治療に拡大鏡を使用が必要か。
審美歯科治療を行う場合、細かいことよりも目で見てわかることを治してもらえばよいとお考えの方もいらっしゃるかもしれませんが、細かい部分をしっかりと治療しなくては歯茎が腫れたり、下がったりする問題が早い段階で起こってしまうかもしれません。 細かい部分の治療を行うために、審美歯科治療には拡大鏡が必要になります
セラミックの色 · 30日 9月 2025
審美歯科ブログ  色の確認 歯の色
審美歯科治療を行う際に、歯の色を確認する必要があります。 天然の歯の色に近いものにする場合や、周囲のセラミックに合わせて作る場合や、まとめて白めに作る場合などが考えられます。 歯の色というと何となく白くしたいということをお考えの方も多いのですが、白と言ってもいろいろな種類の白さがあります。
コア · 27日 9月 2025
オールセラミックをするなら、ファイバーコアですが、金属の土台の除去していますか?
従来の治療では歯の神経を抜いた場合、神経をぬた後にできる歯の空洞に金属の土台を差し込んでいました。 この金属の土台が色々問題を起こすことが多く、歯の変色の原因や歯の破折の原因になってしまうことがあります。 そのため、審美歯科治療を行う場合、金属の土台を取り除かないと行けないことがあります。金属の土台を取り除いた上で根っこの中を消毒して、ファイバーの土台に変えます。 金属の土台を取り除く場合、顕微鏡や拡大鏡を使用してしっかりと金属のみを取り除く必要があります。ご自身の歯の部分を削ってしまうと歯の強度が弱くなってしまいます
奥歯の審美歯科 · 22日 9月 2025
奥歯の審美歯科治療について
奥歯も銀歯はイヤ!という方が最近多いのですが,奥歯も審美歯科治療ができます. 奥歯は前歯程こだわらなくても白くするだけで良いという方は、オールジルコニアという強度があるタイプのオールセラミックでも良いかもしれません.少し透明感が無い物になりますが,オールセラミックの中では料金が安くできます.
精密な治療 · 19日 9月 2025
精密審美歯科は長持ちする審美歯科治療です。
審美歯科治療後数年して歯茎が下がってしまう事があります.歯茎が下がってしまうと歯とセラミックの境界が露出してしまう事があります。 セラミックの歯茎が下がってしまった時にセラミックの再治療が必要かそのまま歯茎だけの治療で済むかは、セラミックの適合によります. セラミックと歯の間に隙間が大きい場合は、虫歯などになってしまっている場合が多く、セラミックをやり直す事になります.セラミックと歯の適合が良い場合は、下がった歯茎を歯ぐきの再生治療にてセラミックを外さずに回復させる事が可能になります. セラミックの歯茎が下がってしまう事がありますので、そういった場合のリペアが出来ると言う事はセラミックを長持ちさせる事になります.
精密な治療 · 14日 9月 2025
精密審美歯科のセラミック治療
精密審美歯科という言葉が最近聞かれるようになってきました。この精密審美歯科というのは、審美歯科治療を精密に行うという考えの歯医者が行っている治療です。
オールセラミック · 10日 9月 2025
あなたも精密審美歯科で女優さんのようにきれいになりませんか?
精密審美歯科という言葉が最近聞かれるようになってきました。この精密審美歯科というのは、審美歯科治療を精密に行うという考えの歯医者が行っている治療です。 精密審美歯科治療では、必ず拡大鏡を使用して治療を行います。拡大しないと精密な治療ができないからです。拡大鏡が無くても目が良いので大丈夫だという歯医者さんがいますが、見えているものが全く違います。細部まで確認して治療を行うため,適合の良いオールセラミックを作成する事が可能になります.
審美歯科と歯茎 · 19日 8月 2025
あなたの差し歯の歯茎は大丈夫?差し歯の歯茎の腫れは歯茎が下がる原因です。
あなたの差し歯の入っている部分の歯茎が腫れて赤くなってしまっている場合は、歯茎が下がってしまう可能性があります。

さらに表示する