メンテナンス

メンテナンス · 26日 8月 2025
審美歯科治療後のメンテナンスについて
オールセラミック 治療をされた方は、審美歯科用のクリーニングを行ってください。 オールセラミくを荒いペーストで磨くとツヤが消えてしまいます。また、ツヤが消えてしまうと汚れがつきやすくなってしまいます。メンテナンスもお気をつけください。 審美歯科治療を行った後は定期的にメンテナンスをされることをお勧めしております。 メンテナンスは歯のお掃除だけでなく、審美歯科治療の予後の確認をします。
メンテナンス · 22日 8月 2025
審美歯科ブログ ナイトガードの使用について
審美歯科の素材であるオールセラミックで治療をされた方の中には歯ぎしりや食いしばりの強い方がいらっしゃいます。場合によってはセラミックが欠けてしまうことやすり減ってしまうことがあります。 通常、審美歯科治療を行えば長期間持ちますが、歯ぎしりや食いしばりの強い方は短期間に問題が起こることがあります。
メンテナンス · 28日 7月 2025
審美歯科ブログ 忘れていませんか?セラミックのメンテナンスは重要です.
あなたは、審美歯科治療後しばらくして最初にオールセラミックを入れた時より黄色くなってきたと感じたことはありませんか? オールセラミックが黄ばんでしまったように見える原因は表面に色素がくっついてしまったからかもしれません。 オールセラミック治療をされた方は、定期的にメンテナンスで歯の表面の色素を取り除く必要があります。 ただ、単に荒い磨粉でオールセラミックの表面をこすって色素を落とすと、オールセラミックの表面が傷ついてしまい、つや消しをしたように光沢がなくなってしまいますので要注意です。 メンテナンスをされるなら、しっかりと審美歯科治療を行っている病院で歯科衛生士さんにクリーニングをしてもらうことをお勧めします。雑なメンテナンスはオールセラミックを傷つけてしまうからです。 当院では常勤の歯科衛生士3名で常時メンテナンスに対応させていただいております。保険の効かない治療ですが、料金も現在30分5千円と比較的低価格で対応しております。ご希望の方はぜひご来院ください。
メンテナンス · 27日 7月 2025
セラミックを長持ちさせる方法とは  審美歯科ブログ
あなたのセラミックは大丈夫ですか? セラミックを長持ちさせるには定期的なメンテナンスをお勧めしております。 審美歯科のセラミック治療をされた方は、定期的な確認をされるとセラミックがきれいな状態を保てます。 お口の中は、いろいろな着色成分があります。セラミックは天然の歯より汚れがつきにくいのですが、長期的に着いたままにしてしまうと変色の原因になります。
メンテナンス · 22日 7月 2025
セラミックの歯のメンテナンスのお手入れを間違っていませんか?
審美歯科治療をお受けになった方、セラミックをセットしたらそれで終わりではありません。セラミックを長持ちさせるためのメンテナンスが必要です。 通常のご自身の歯ブラシは強く磨きすぎないように注意していただくことと、定期的に3〜6ヶ月に一度の歯科医院でのメンテナンスをお勧めします。 セラミックの歯は天然の歯より汚れが付きにくいので頑張って磨かなくても大丈夫です。それよりも磨く力が強すぎたりして歯茎がさがってしまう方が心配です。 セラミックの歯を歯磨きする時はやわらかい毛の歯ブラシを使用してください。また、鉛筆を持つ感じでもっていただきそっと磨くことが大切です。
メンテナンス · 18日 7月 2025
審美歯科ブログ 歯ぎしりする方のオールセラミック治療後のナイトガードについて
歯ぎしりがあると分かっている方はもちろん、治療中の仮歯が何度か外れてしまった方などは、寝ている間の歯ぎしりがあると考えられます。 歯ぎしりのある方は、審美歯科治療後に、セラミックの形が変わることがあります。歯ぎしりによる歯の摩耗が原因となることがあります。セラミックが欠けてしまうこともあります。 歯ぎしりや、食いしばりをされる方はナイトガードと言って歯にマウスピースをはめていただきます。ナイトガードによって、歯ぎしりや、食いしばりをしてもセラミックがすり減ることを防ぐことができます。ナイトガードをしっかりと使用する必要があります。
メンテナンス · 28日 6月 2025
あなたのセラミックのメンテナンスは大丈夫ですか?
審美歯科治療で、セラミックを入れたらそれで終了ではありません。 セラミックを長持ちさせるためにメンテナンスをする必要があります。 メンテナンスをしないと、歯茎が腫れてセラミック周囲の歯茎が炎症を起こしてしまったり、セラミックに色がついてしまうことがあります。
メンテナンス · 24日 6月 2025
審美歯科ブログ セラミックの定期メンテナンスは重要です.
オールセラミック入れた後も定期的なメンテナンスが必要です。 汚れてしまったブランドもののバックや高級車を見て、魅力的に感じないように、せっかく高額な費用をかけて作成したオールセラミックも 表面に汚れや、着色がついてしまっていては良いものとは感じられなくなてしまいます。
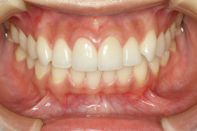
メンテナンス · 31日 5月 2025
セラミックも車と一緒でメンテナンスが必要ってご存知ですか?
セラミックは通常、天然の歯より汚れがつきにくいのですが,人によってはセラミックの表面に汚れがついてしまう事があります. 目に見えない、気づかない汚れでも、セラミックの変色の原因になってしまいますので、定期的にはセラミックのクリーニングをする事をお勧めしております。 お写真の方の前歯はセラミック治療が行われていますが,天然の歯と同様に渋がついてしまっています.渋は取り除いておかないと変色の原因となってしまいます.
メンテナンス · 29日 5月 2025
なぜ審美歯科治療後にメンテナンスをする必要があるの?
オールセラミックで審美歯科治療を行って歯がきれいになったら満足ですね. ただ、治療が終わった事で安心して歯ブラシなどのケアをなまけてしまう方も中にはいらっしゃいます. オールセラミックを含めて歯茎が腫れてしまった、歯茎が下がってしまった、セラミックの色がくすんでしまったなど、しっかりとお掃除をしておけば起きない問題を抱えてご来院される方も何割かの割合でいらっしゃいます.