カテゴリ:審美歯科の失敗



審美歯科と歯茎 · 14日 10月 2025
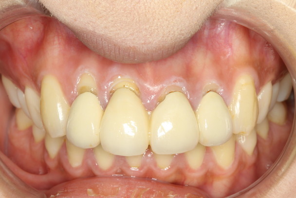
セラミックの歯茎が下がったときの審美歯科治療とは
セラミックの歯茎が下がってしまった場合どうされますか? 通常の審美歯科の治療ではオールセラミックを交換するだけの治療となります.そのため、歯の長さが左右でちがってしまったりしばらくしてまた歯茎が下がってしまうという問題がおこってしまいます. 歯茎が下がってしまった場合は、歯茎を回復させる事を考える必要があります. セラミックの歯茎が下がってしまったときの審美歯科治療をご紹介いたします.
オールセラミック失敗 · 11日 10月 2025
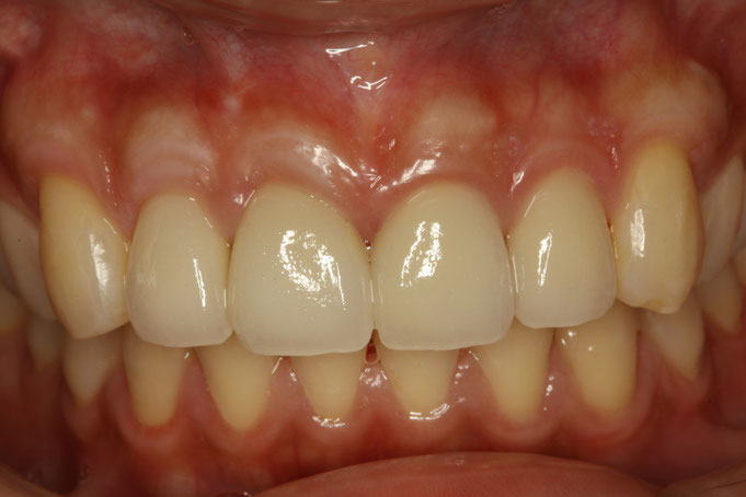
歯茎の再生をしないで審美歯科を行った場合の治療例
従来の方法で審美歯科治療を行った場合,歯茎の位置が変更できないため,歯並びは良くなるけど歯の長さが調整できないという問題が起こってしまいます。 そのため、歯茎の位置が左右でそろっていない方は歯ぐきの再生治療・整形治療で歯茎の位置を整えてから審美歯科治療を行う事をお勧めしております
歯の形 · 06日 10月 2025
長い差し歯を短くする審美歯科治療をお探しではありませんか?
差し歯を何年も前に入れた場合、周りの歯が長くなるのに合わせて長い差し歯になってきていませんか? 当院では、多くの審美歯科で難しい・できないと言われて、治せる病院を探されていた患者様の差し歯の長さを短くする治療でご好評いただいております。 長い差し歯の治療を希望されている方は、こちらをご覧ください。
審美歯科 · 14日 9月 2025
審美歯科で歯茎の黒ずみを改善するには歯ぐきの再生治療も必要な場合があります.
審美歯科治療では、歯茎が黒く見える問題に対応しております。 歯茎が黒く見える原因の一つに、神経の無い歯の歯茎が下がってしまうことが考えられます。最近主流になっている、金属を使用しないタイプのオールセラミックを使用しても歯茎が下がってしまうと歯茎が黒く見えるようになってしまいます。
審美歯科 · 12日 9月 2025
審美歯科治療といっても単にオールセラミックを入れるだけでは見た目が物足りないかもしれません。
審美歯科というと、単に虫歯の歯をセラミックの歯で直したり、差し歯がかけたり膿が出てやり直す際に、オールセラミックという素材でやり直すだけでは、自然な見た目にはなりません。 せっかく新しくしたオールセラミックの長さが左右でちがっていたりすると、せっかく直したのに物足りない感じになってしまうかもしれません。 審美歯科治療を行う際には、オールセラミックの長さや形を調整することで、見た目をより良いものにすることができます。
歯茎が黒い · 09日 9月 2025
オールセラミックを交換する一番の理由
オールセラミックの再治療を行う理由で一番の理由が歯茎が下がってしまって歯茎が黒くなってしまう事です. せっかく審美歯科治療を行ってきれいな自慢できるオールセラミックがお口の中に入っても、しばらくして歯茎が下がってしまっては、見た目がひどい事になってしまいます。 知らなきゃ損をする話ですが,オールセラミック治療を行う際には歯茎が下がりにくいように歯茎の再生治療を合わせて行う事で、歯茎が下がりにくくオールセラミックが長持ちします.オールセラミック以上に歯茎の状態を気にされる必要があります.
変色歯 · 07日 9月 2025
前歯の審美歯科ブログ 変色した前歯の治療
神経の無い歯を差し歯で治す場合は通常、歯の根っこが変色しているため色の調整が必要です. 前歯の神経を抜いた場合、変色してきたり炎症を起こして歯茎から膿が出てきてしまう事があります。 今回は前歯の変色歯の治療のご紹介をいたします。
審美歯科と歯茎 · 05日 9月 2025
歯茎が下がってしまった時の審美歯科
前歯の歯茎が下がってしまうと歯が長く見えて見た目が悪くなってしまいます。見た目をよくするためには歯茎を回復させる歯茎の再生治療を行います。 歯茎の長さを戻すことで見た目が良くなります。特に前歯の歯茎が下がってしまった場合は歯茎の位置が回復することで見た目が良くなります。 歯周病が進行してしまっている場合は少し処置が複雑になってしまう事もありますが、何もしないより見た目が良くなります。
審美歯科と歯茎 · 01日 9月 2025
審美歯科は歯茎の治療から
審美歯科では、左右の歯の長さを整えたり,長い差し歯を正常の長さに戻したり,短い歯を長くしたりする場合,歯茎の調整をいたします。歯ぐきの再生,整形と言った方法を行います. 当院で行う審美歯科治療は単にオールセラミックの差し歯を入れるだけではなく、歯茎の形や色などもきれいにする事ができます。また、当院では、将来的に歯茎が下がって歯茎が黒くなってしまった時にも歯茎を回復する対処が可能です.
審美歯科と歯茎 · 31日 8月 2025
新しい審美歯科治療のご案内
審美歯科治療は何年かに一度大きな変化があります。 10年ほど前に、ホワイトニングの大流行、オールセラミックという金属を使用しない素材への大変換などが起こりました。 そして、現在10年ほど前にオールセラミック治療を行った方の歯茎が下がり始めて対処法を求める方が大勢出てきています。 新しい審美歯科治療では下がった歯茎を再生させて見た目を改善させます。

さらに表示する