あなたの差し歯の見た目は大丈夫ですか?
せっかく直したのに笑ったときに見える前歯の歯の長さが左右でちがう、差し歯を直して数年したら歯茎が下がってきて黒くなった・・・
という問題でお困りの方が非常に増えています。(このページをご覧になられている方も差し歯の長さにお悩みを抱えられているのかもしれませんね)
治療直後に歯の長さが左右でちがうのにこれ以上の治療ができないと言われて泣く泣く左右の長さのちがう差し歯を入れてしまった。
審美歯科治療など差し歯の治療後に、だんだんと歯茎が下がってきて黒く見えはじめた。(ブラックマージンと言われています。)かかりつけの先生に相談したら歯茎が下がってしまって、残念ながらオールセラミックなどの差し歯の寿命ですと言われてやり直すことになった。
といったことがよく起こります。
そういった問題を解決する方法に審美歯科と同時に歯茎の再生、整形を行う、今注目の審美歯科治療があります。あなたの歯茎の問題も解決出来るでしょう。

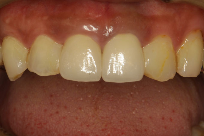
最先端の審美歯科治療を行いました。歯茎を回復させて位置をそろえた状態でオールセラミックを作成していますので、歯の長さがそろってよりきれいに見えます.
(歯ぐきの再生と前歯4本のオールセラミック再治療例)
歯の長さが左右対称でないって審美的でしょうか?
せっかく審美歯科治療を行ったのにきれいに見えない原因は歯茎の位置の問題の事もあります.
歯茎の位置を整える方法である、歯茎の整形・歯ぐきの再生は審美歯科のエッセンスと言えます.
左右の歯の大きさのちがいは、本人が気にする以上に見る人は気にします.審美歯科を行う時にただ単に歯を治すだけでは,歯の大きさがそろわない事が失敗例としてよくあります.
歯の大きさは歯茎の位置でほぼ決まります。かみ合わせの関係で歯の大きさを変更することができない場合が多く、歯茎の位置を変えなくては歯の大きさは変わりません。
歯の大きさをそろえるためには、歯茎の再生・整形を審美歯科と合わせて行う必要があります.
従来、矯正治療などでそろえる事が多かったのですが、歯茎の整形・再生が安全に簡単に行えるようになり、治療するケースがかなり増えてきました.

お写真のように、差し歯の長さが長いのが嫌な場合、歯ぐきの再生治療で歯茎の位置を下げる事で歯の長さを短くする事が出来ます.左右の歯の長さがだいぶ異なりますので、見た目が不自然となってしまっています.

仮歯に変えて歯ぐきの再生治療を行った後の状態です.歯の長さを左右対称にする事で審美的な見た目となります.
犬歯の長さなど真ん中から左側のみを歯ぐきの再生治療で歯茎を回復しております.
審美歯科の結果は歯ぐきの再生治療を行う事で変わります.
歯の長さは、本来真ん中の前歯2本で10~11ミリの長さが平均的でほとんどの方の歯の長さはこの長さとなります。そのため、ほんの少し短い場合や長い場合は調和がとれていないように感じてしまいます。
前歯の長さが長い場合は歯茎の再生治療を行い、短い場合は歯茎の整形治療を行うことで、前歯の平均値の長さになるように調節することが可能になります。
平均的な歯の長さに歯がそろっていることで、歯並びが自然に見えます。そのため、よりきれいな審美歯科治療を希望される方には歯の長さを調節することをお勧めしております。

<歯茎の整形>
左右の前歯の長さが違うため、歯茎の整形をしていただきました。
私の場合は、長さの短い歯の歯茎を切開し、左右の歯の長さを同じにするというものでした。
最初その説明をうかがった時には、切開、縫合、抜糸・・・・想像しただけでもいたそうですし、食事に支障はないかなどいろいろ心配ですぐにお願いしますとはお返事できませんでした。それでも先生の「ほとんどの方に痛みは出ませんよ」のお言葉を信じ整形をしていただきました。心配をして損をしていまいました。麻酔が切れても痛みは全くなく、いただいた鎮痛剤を使うこともありませんでした。
きれいに長さのそろった前歯を見ると歯の長さが審美面において大切な要素だと分かりますね。先生ありがとうございました。
歯茎の再生・整形治療を受ける際の注意
歯茎の再生・整形は保険外診療となります。そのため、病院によって料金や料金システムが異なりますのでご注意ください。当院では、まとめて治療をされる方が多いため、ブロック単位の治療費とさせていただいております。1ブロックあたりの歯茎の整形3万円(税別)、歯茎の再生1〜3本で7万円(税別)とさせていただいております。
また、歯茎の再生や整形のリスクは親知らずを抜くときほど腫れやお痛みが出ないにしろ、1週間ほど腫れる場合があります。また、術後出血するリスクがありますので、歯ブラシやお食事の注意を守っていただく必要があります。
歯の長さを左右でそろえたいし、長持ちするオールセラミックにしたいという方は、まずフリーダイヤルでお電話ください。お電話が繋がったら歯茎の審美歯科治療を行いたいので無料カウンセリングお願いしますと言っていただければ大丈夫です。電話がつながらない場合は下のメールお問い合わせよりご連絡ください.
無料カウンセリングにて治療方法のご説明、お見積りのお渡しをいたします。
歯茎のことで悩んでいないで無料カウンセリングにお越しください。
神田ふくしま歯科
東京都千代田区神田鍛冶町3-2-1サンミビル6F スターバックス上
03-3251-3921
0120-25-1839
無料カウンセリング前にメールでいろいろ相談したいという方やフリーダイヤルがつながらなかった方は、こちらの相談フォームからご連絡ください。
(メールアドレスを間違えないように、また、パソコンからメールを送りますので、迷惑メールの設定をパソコンからも受信できる状態にしておいてください。)
このページをご覧になられた方は、審美歯科のトップページもご覧になっております。また、出っ歯などの歯並びに関しての審美歯科の注意点に関するページもございますので合わせてご覧ください。
審美歯科治療で歯並びを治す場合、歯茎の整形までしたくない場合や、お急ぎの場合は歯茎の整形・再生を行わずに審美歯科治療だけを行う場合があります.
あまり歯茎が見えない方であれば十分きれいですが、歯の大きさがどうしても左右で異なってしまいます.細かい審美歯科治療には歯茎の再生や整形をされる事をお勧めします.

左右の犬歯や前歯の大きさがちがいます.ここまでちがうと目立ってしまいます.そして、こういった下がった歯ぐきに合わせてセラミックを入れてしまうと歯ぐきの再生治療を行うには差し歯を外してからでないとできません.
差し歯を外して仮歯にしてから歯ぐきの再生治療を行います.

前歯6本を仮歯に交換して歯ぐきの再生治療を行った1ヶ月後の状態です.歯ぐきのラインを少し多めにさげています.歯ぐきが引き締まり次第歯ぐきの整形を行って左右の歯ぐきの位置を整えます.

歯茎が下がって審美的に見た目が悪い場合,あるいは、歯茎の付け根が露出して知覚過敏がおこるためホワイトニングができないケースでは、まず、歯ぐきの再生治療を行って歯茎を回復させてからホワイトニングなどを行います.
お写真の犬歯とその奥の歯の歯茎がだいぶ下がって歯が長くなってしまっています.

下がっていた歯茎の部分を歯ぐきの再生治療で回復させています.
知覚過敏もなくなった段階でホームホワイトニングを行う予定です.
このケースのように、知覚過敏があるからと言って歯を削って差し歯にするのではなく、ホワイトニングができるように歯茎を回復させる方法もあります.
あなたの歯茎の見た目は大丈夫でしょうか?
差し歯やブリッジを入れる際に歯茎の位置が悪いと歯の長さが通常よりちがって見えることがあります。
前歯の歯茎が大きく下がってしまった場合には、通常の審美歯科治療では綺麗な歯を入れることができません。
歯茎が下がってしまった場合は、歯茎の再生治療を審美歯科治療と合わせて行う新しい審美歯科治療法が必要になります。

審美歯科治療を初めてされる方、再治療で審美歯科をされる方も歯茎の位置によって歯の大きさが変わるという事に注意が必要です.
例えば、歯科医院で審美歯科のお見積もりを出してもらった時に、歯茎の再生や整形のお話が無い場合は、歯の長さが不揃いなオールセラミックの治療をされてしまうかもしれません。
歯茎の整形や再生を審美歯科治療と平行して行うと、歯の大きさを左右できれいに対称にそろえる事ができるようになります.
そのため、歯茎が整っていない方は、よりきれいな歯並びにしたい場合は歯茎の整形や再生をされる事をお勧めします.
歯茎の再生のページ
~歯茎の再生治療と審美歯科治療の注意~
歯茎の再生治療や審美歯科治療は保険外診療となります。当院では、歯茎の再生治療1~3本で7万7千円(税込)です。また、オールセラミック の種類によって当院では1本6万6千円(税込)~16万5千円(税込)のセラミックを選んでいただいております。
歯茎が下がって歯の根っ子が露出しているようなケースのうち、歯茎の炎症がなく、歯と歯の間の骨が吸収していないケースに関しては、露出した歯の根っこを覆えることが報告されています。
歯茎の再生治療のリスク
外科的な治療ですので、治療後に糸でしっかりと縫う必要があります。尖ったものが刺さってしまったりして歯茎が開くと出血してしまうリスクがあります。また、術後の腫れや痛みが出ることがあります。
また、歯茎の再生治療は、歯周病の進行具合や感染の状況によって回復できる歯茎の位置が変わります。ご希望の位置まで歯茎が必ず回復する治療ではありません。
審美歯科のリスク
審美歯科で歯並びを治す場合のリスクとしては、歯の神経を取らないとしみてしまったり、お痛みが出てしまう場合があります。また、オールセラミック の色合いはかなり天然の歯に近いものになりますが、完全に同じものではありません。
あなたの歯茎の見た目は気になりませんか?
実は差し歯やブリッジなどの人工の歯を入れるとき、歯茎の位置や形が整っていないと、本来の歯よりも長く見えたり、左右のバランスが悪くなってしまったりすることがあります。
特に前歯の歯茎が大きく下がってしまった場合、通常の審美歯科治療(セラミック治療など)だけでは、美しく自然な見た目に仕上げることは難しくなります。
こうしたケースでは、まず『歯茎の再生治療』を行って歯茎を健康的な状態に回復させ、その上で『審美歯科治療』を行う、新しい治療方法が必要になります。
神田ふくしま歯科では、歯茎と歯の美しさをトータルで整える『歯茎の再生治療を併用した審美歯科治療』を行っています。経験豊富なドクターが無料でカウンセリングを行い、あなたに最適な治療プランをご提案いたします。
歯茎の見た目や歯のバランスに少しでも不安を感じている方は、ぜひお気軽にご相談ください。
無料カウンセリングのお問い合わせ
神田ふくしま歯科
東京都千代田区神田鍛冶町3−2−6F スターバックス上
JR神田駅北口(モンダミン口)より徒歩1分 (東京駅の隣の駅です。)
0120−25−1839
03-3251-3921
はい、可能です。
ただし、歯ぐきが大きく下がっている場合は、通常の審美歯科治療だけでは理想的な仕上がりにならないことがあります。
歯ぐきが下がると、歯が長く見えたり、左右のバランスが悪くなったりして、
オールセラミックなどの人工の歯を入れても自然に見えないことがあるのです。
このような場合は、「歯ぐきの再生治療」と「審美歯科治療」を組み合わせることで、
健康的で美しい歯ぐきと歯の両方を整えることができます。
歯ぐきの位置は、歯の長さや見た目のバランスを決めるとても重要な要素です。
歯ぐきが不揃いなままセラミック治療を行うと、歯の長さがそろわず不自然な印象になってしまうことがあります。
歯ぐきの再生治療を併用することで、
✅ 左右対称できれいな歯ぐきラインを整えられる
✅ 歯の長さがそろい、より自然で美しい仕上がりになる
✅ 歯ぐきが厚くなり、今後の後退を予防できる
つまり、「見た目の美しさ」と「歯の健康」を両立できる治療法です。
歯ぐきの再生治療および審美歯科治療は、いずれも保険外診療です。
歯ぐきの再生治療:1〜3本で 77,000円(税込)
オールセラミック治療:1本あたり 66,000円〜165,000円(税込)
💡 注意点
歯ぐきや骨の状態によって、回復できる範囲に個人差があります。
外科的処置となるため、治療後に縫合が必要です。
(術後に軽い腫れや出血が生じる場合があります。)
ご希望の位置まで必ずしも回復できるとは限りませんが、見た目や機能の改善が期待できます。
また、審美歯科治療では、歯の神経を保護するための処置や、
オールセラミックの色調合わせを慎重に行い、できる限り自然な仕上がりを目指しています。
✨「歯ぐきが下がって歯が長く見える」
✨「差し歯を入れたけれど歯ぐきのラインが気になる」
そんなお悩みをお持ちの方は、神田ふくしま歯科の無料カウンセリングへご相談ください。
経験豊富なドクターが、あなたの歯ぐきと歯の状態を丁寧に診断し、
最適な治療プランをご提案いたします。
📍 神田ふくしま歯科
🏢 東京都千代田区神田鍛冶町3-2-6F(スターバックス上)
🚉 JR神田駅北口(モンダミン口)より徒歩1分(東京駅の隣の駅です)
📞 0120-25-1839 / 03-3251-3921
歯茎が下がってしまった場合の審美歯科治療のご紹介です。
歯茎が下がってしまった方の審美歯科は通常の審美歯科治療だけでは、見た目の改善が難しいため、歯茎の回復をセラミック治療と合わせて行います。
1~2ミリの改善で、歯の大きさや形のバランスが大きく変わります。歯茎が下がってしまったまま通常の審美歯科治療をお行うと長い歯になってしまいます。

審美歯科の注意
・料金と選択方法
オールセラミック治療は保険外診療となります。オールセラミックの種類によって1本66,000円(税込)~165,000円(税込)の料金がかかります。また、神経のない歯はオールセラミックとは別にファイバーコアという歯の土台の料金22,000円(税込)がかかる場合があります。当院では、患者さんのニーズに合わせてセラミックの種類を選択できるように強度重視・自然さを重視などセラミックの特色に合わせて対応させていただいております。料金に関しましては、1本あたりの標準的な料金となります。多数の歯を治す場合は、本数分の治療費がかかります。
・リスクと対策
オールセラミックの色合いはかなり天然の歯に近いものになりますが、完全に同じものではありません。当院ではご希望に合わせて高精度の写真や技工士さんの立ち合いなどこだわったオーダーメイドセラミックを作製することも可能です。
審美歯科治療では、歯の大きさや形の修正、歯の変色の改善、歯並びの改善を目的にオールセラミック などの材料を使用しております。リスク等もございますのでご確認ください。歯茎の位置を改善するために歯茎の再生・整形を行う場合は別途料金がかかります。
また、セラミック治療をする場合、歯を削る必要があります。治療後に知覚過敏を起こすことがあります。当院では神経のある歯を削った後はコーティング剤を塗布し、処置後しばらくは熱いものや冷たいものなどの刺激物を取らないよう気を付けていただいております。
~歯茎の再生治療の注意~
お写真や治療法のご説明の内容を掲載する際には、料金や治療のリスクを表示することになっております。治療を検討される際には、注意も合わせてご確認ください。
歯茎の再生治療は保険外診療となります。当院では、歯茎の再生治療1~3本で7万7千円(税込)かかります。また、術後は歯ブラシができないため、病院で消毒・クリーニングを行います。消毒も保険外となりますので、1回の消毒・クリーニングに¥5,500−(税込)の費用がかかります。通常4回の消毒にお越しいただいております。
歯茎が下がって歯の根っ子が露出しているケースのように歯茎の炎症がなく、歯と歯の間の骨が吸収していないケースに関しては、露出した歯の根っこを覆えることが報告されています。歯周病が進行したケースなど歯を支える骨の吸収したケースでは、歯茎が回復しない場合もあります。
n 歯茎の再生治療のリスクと対策
歯茎の再生治療は外科的な治療ですので、治療後に糸でしっかりと縫う必要があります。尖ったものが刺さってしまったりして歯茎が開くと出血してしまうリスクがあります。また、術後に腫れや痛みが出ることがあります。そのため、当院では、出血予防止血対策にに止血用マウスピースをお渡ししております。また、術後の注意を守っていただいております。
歯茎の再生治療は、歯周病の進行具合や感染の状況によって回復できる歯茎の位置が変わります。ご希望の位置まで歯茎が必ず回復する治療ではありません。当院では、審美的な回復のための方法も行っておりますので併せて紹介しております。
歯茎が下がってしまった方におすすめする審美歯科治療をご紹介いたします。
歯茎が下がってしまうと、歯の根元が露出して歯が長く見えたり、見た目のバランスが崩れてしまったりします。こうした場合、通常の審美歯科治療だけでは歯の美しさを十分に回復するのは難しいことがあります。
そこで当院では、『歯茎の回復治療(歯茎の再生治療)』をセラミック治療と組み合わせることで、より美しく自然な仕上がりを実現しています。
実は、歯茎をほんの1〜2ミリ回復させるだけでも、歯の長さや全体の形のバランスは驚くほど改善されます。一方で、歯茎が下がったまま通常の審美歯科治療を行うと、仕上がりの歯が不自然に長く見えてしまう場合があります。
神田ふくしま歯科では、経験豊富なドクターが無料のカウンセリングを行い、歯茎と歯の両方をバランスよく整える治療法をご提案しています。歯茎の下がりが気になる方や、より自然で美しい歯を希望される方は、ぜひお気軽にご相談ください。
無料カウンセリングのお問い合わせ
神田ふくしま歯科
東京都千代田区神田鍛冶町3−2−6F スターバックス上
JR神田駅北口より徒歩1分 (東京駅の隣の駅です。)
0120−25−1839
03-3251-3921
「鏡を見たときに、歯が前よりも長く見える気がする…」
そんなお悩みを持つ方は少なくありません。
年齢や歯ブラシの力、または歯周病などの影響で歯ぐきが下がると、
歯の根元が露出してしまい、歯が実際よりも長く見えることがあります。
神田ふくしま歯科では、審美歯科治療と歯ぐきの再生治療を組み合わせることで、
自然で美しい歯のラインを取り戻すことが可能です。
歯ぐきの位置を1〜2ミリ整えるだけでも、見た目の印象は驚くほど変わります。
通常のセラミック治療だけでは、歯ぐきが下がっている場合に
「歯が長く見える」「歯と歯ぐきの境目が不自然になる」ことがあります。
そこで当院では、歯ぐきの再生治療(歯肉の回復治療)を同時に行います。
これは、下がった歯ぐきを外科的に回復させ、
その上からオールセラミックの歯を入れる方法です。
歯と歯ぐきの両方をバランスよく整えることで、
自然な長さと形の美しい歯並びに仕上げることができます。
神田ふくしま歯科では、見た目だけでなく、噛み合わせや歯ぐきの健康も考慮した
総合的な審美歯科治療を行っています。
オールセラミック治療は保険外診療となり、
1本あたり 66,000円〜165,000円(税込) が目安です。
神経のない歯には、別途**ファイバーコア(土台)22,000円(税込)**が必要な場合があります。
また、歯ぐきの再生治療を併用する場合、
1〜3本で77,000円(税込) が目安となります。
治療後は数回の消毒・クリーニング(1回5,500円(税込))が必要です。
治療後に一時的な腫れや痛みが出ることがありますが、
当院では止血用マウスピースの使用など、術後のケアを丁寧に行い、
安全で確実な治療を心がけています。
審美歯科治療には、歯を削る処置が伴いますので、
治療後に一時的な知覚過敏が起こる場合があります。
その際は、コーティング剤を塗布し、刺激を避けるようアドバイスいたします。
✨「歯が長く見えるのが気になる」「自然な笑顔を取り戻したい」
そんな方は、ぜひ一度ご相談ください。
神田ふくしま歯科では、歯と歯ぐきの両方を美しく整える治療を行っています。
📍 神田ふくしま歯科
🏢 東京都千代田区神田鍛冶町3-2-6F(スターバックス上)
🚉 JR神田駅北口(モンダミン口)より徒歩1分(東京駅の隣の駅です)
📞 0120-25-1839 / 03-3251-3921
あなたがもし、セラミックの歯や仮歯の長さが短すぎて気に入らない場合,歯茎の審美歯科治療で、歯の長さを長くする事ができます.
歯茎の審美歯科治療では、セラミックの歯の長さを長くする事も短くする事も可能です.

お写真の前歯をご覧になって、どう思いますか?さすがに、歯が短すぎて気になる。のではないでしょうか?
長くなりすぎるのも嫌だけど、短すぎて気になる場合,歯茎の整形治療を審美歯科治療と合わせて行うと良いでしょう。

歯茎の長さによってセラミックの大きさが変わります.ほんの少しの手間や費用を惜しんで審美歯科治療をするより、満足のいく治療をされた方が良いと思います.
このケースでは、仮歯で歯の長さを調整しながら、歯茎の整形を行いました.長さはご自身である程度決める事ができます。
ただ、残念なのは、多くの歯科医院ではこういった歯茎の整形治療を行っていないのが現状です.歯茎の審美歯科治療を行っている病院で審美歯科治療を受ける事をお勧めしております.
このケースのセラミックはエコノミーオールセラミックを使用しました.このかたの場合は、歯の色合いにそれほど特徴が無いため,エコノミーオールセラミックでも十分きれいな仕上がりになりました.
エコノミーオールセラミック税別¥66,000−/1本(税込)となります。
詳しくはエコノミーオールセラミックのページをご覧ください.
お問い合わせ
神田ふくしま歯科
東京都千代田区神田鍛冶町3−2−6F スターバックス上
JR神田駅北口より徒歩1分 (東京駅の隣の駅です.)
0120−25−1839
審美歯科と歯茎の整形の注意
歯茎の整形や審美歯科治療は保険外診療となります。歯茎の整形3万3千円(税込)、オールセラミック (エコノミータイプ)1本6万6千円(税込)3本で19万8千円(税込)かかりました。
また、審美歯科で歯並びを治す場合、歯の神経を取り除かないと知覚過敏や痛みが出てしまう場合があります。
審美歯科の注意
・料金と選択方法
オールセラミック治療は保険外診療となります。オールセラミックの種類によって1本66,000円(税込)~165,000円(税込)の料金がかかります。また、神経のない歯はオールセラミックとは別にファイバーコアという歯の土台の料金22,000円(税込)がかかる場合があります。当院では、患者さんのニーズに合わせてセラミックの種類を選択できるように強度重視・自然さを重視などセラミックの特色に合わせて対応させていただいております。料金に関しましては、1本あたりの標準的な料金となります。多数の歯を治す場合は、本数分の治療費がかかります。
・リスクと対策
オールセラミックの色合いはかなり天然の歯に近いものになりますが、完全に同じものではありません。当院ではご希望に合わせて高精度の写真や技工士さんの立ち合いなどこだわったオーダーメイドセラミックを作製することも可能です。
審美歯科治療では、歯の大きさや形の修正、歯の変色の改善、歯並びの改善を目的にオールセラミック などの材料を使用しております。リスク等もございますのでご確認ください。歯茎の位置を改善するために歯茎の再生・整形を行う場合は別途料金がかかります。
また、セラミック治療をする場合、歯を削る必要があります。治療後に知覚過敏を起こすことがあります。当院では神経のある歯を削った後はコーティング剤を塗布し、処置後しばらくは熱いものや冷たいものなどの刺激物を取らないよう気を付けていただいております。
「セラミックの歯を入れたけれど、なんだか短すぎて気になる…」
「仮歯の長さが短くて、もっと自然な見た目にしたい…」
そんなお悩みを抱えている方は意外と多くいらっしゃいます。
実は、このようなケースでは『歯茎の審美歯科治療』を行うことで、セラミックや仮歯の長さを美しく整えることが可能です。
歯茎の審美歯科治療では、歯茎の位置を調整することで、セラミックの歯を『長くすること』も『短くすること』もできます。つまり、『理想の歯の長さや形』を歯茎の位置を整えることで実現できるのです。
セラミックや仮歯の長さが短すぎて不満を感じている方は、ぜひ歯茎の審美歯科治療を検討してみてください。歯茎のラインを美しく整えることで、より自然で魅力的な口元を手に入れることができます。
「もっと理想の歯の形に近づけたい」
「セラミックを入れた後の見た目を改善したい」
そんな方はぜひ、神田ふくしま歯科の無料カウンセリングにお気軽にお越しください。経験豊富なドクターがあなたのお口の状態を丁寧に診察し、最適な治療プランをご提案いたします。
無料カウンセリングのお問い合わせ
神田ふくしま歯科
東京都千代田区神田鍛冶町3−2−6F スターバックス上
JR神田駅北口より徒歩1分 (東京駅の隣の駅です。)
0120−25−1839
03-3251-3921
A. はい、歯ぐきの審美歯科治療で歯の長さを自然に整えることができます。
「セラミックの歯が短く見える」「仮歯が気に入らない」と感じていませんか?
実は、歯ぐきの位置を整えることで歯の見た目の長さを変えることができます。
歯ぐきの審美歯科治療(ガムシェイピング)は、歯ぐきを少し整えることで、
歯を長く見せることも、短く見せることも可能です。
バランスの取れた歯の形と美しい笑顔を実現します。
💬 「歯を削るのではなく、歯ぐきを整える」というアプローチで、
自然で美しい印象を作ることができます。
A. 歯の長さや歯ぐきの形に違和感がある場合におすすめです。
以下のような方は、歯ぐきの審美歯科治療で改善が期待できます。
セラミックや仮歯が短すぎて不自然に見える
笑ったときに歯ぐきが見えすぎる(ガミースマイル)
歯の長さが左右でバラバラで違和感がある
もっと自然で整った歯と歯ぐきのバランスにしたい
歯ぐきの整形を行うことで、
セラミックの歯がより自然な長さに見える
歯ぐきラインが左右対称になり、口元が引き締まる
「笑ったときの印象」が格段に美しくなる
💡 当院では、仮歯の段階で歯の長さを確認しながら、
理想的なバランスを患者様ご自身に選んでいただけます。
A. 自由診療となりますが、満足度の高い自然な仕上がりが期待できます。
| 治療内容 | 費用(税込) |
|---|---|
| 歯ぐきの整形(1〜数本) | 33,000円〜 |
| オールセラミック(エコノミータイプ) | 66,000円/本 |
※歯ぐきの整形とセラミック治療を組み合わせた場合、デザイン性の高い仕上がりになります。
外科的処置を伴うため、術後に軽い腫れや出血が出る場合があります。
セラミック治療と併用する場合、歯を削る処置が必要になることがあります。
神経に近い歯の場合、一時的にしみたり痛みが出る可能性があります。
当院では、歯ぐきの状態を丁寧に確認し、
安全で自然なラインを実現できる治療計画をご提案しています。
「歯が短くて気になる」
「もっと自然な長さに整えたい」
「セラミックを入れたけど見た目に満足していない」
神田ふくしま歯科では、
歯ぐきの審美歯科治療に関する無料カウンセリングを実施しています。
歯と歯ぐきのバランスを確認し、
あなたの理想の歯の長さや形を一緒にデザインします。
神田ふくしま歯科
東京都千代田区神田鍛冶町3−2−6F(スターバックス上)
JR神田駅北口より徒歩1分(東京駅の隣駅)
📱 0120-25-1839
☎ 03-3251-3921
前歯の抜けてしまったときはオールセラミックブリッジがおすすめです.
また、歯を抜いたときは歯茎が窪んでしまう事が多く、そういった場合は歯ぐきの再生治療もおすすめです.

左の前歯が抜いてしまってない所をオールセラミックブリッジで治療しています.通常、歯を抜いてオールセラミックを入れる場合、歯を抜いた後の歯茎の部分がくぼんでしまって、ブリッジが入ってしまっているのがわかるように見えます。
このケースでは、歯を抜いたようには見えないように歯茎の整形を行っています.歯茎のくぼんだ部分に皮膚を移植して厚みを回復させています。
そのため、オールセラミックのブリッジで本当は歯がないのですが、見た目的に、ご自身の歯が歯茎の中から生えているように見えます.
また、オールセラミックを使用しているので、透明感が歯と同じように調整していて自然に見えます。オールセラミックブリッジを希望される方は下記のリンクページに詳しい内容を記載させて頂いております.クリックしてご覧ください。
オールセラミックブリッジのページ
オールセラミックブリッジの治療を希望される方はただいま無料カウンセリングを行っております.無料カウンセリングにて治療方法のご説明、お見積もりのお渡しをいたします.無料カウンセリングは御予約制となります.
オールセラミックブリッジのお問い合わせ
神田ふくしま歯科
東京都千代田区神田鍛冶町3−2−6F スターバックス上
JR神田駅北口より徒歩1分 (東京駅の隣の駅です.)
0120−25−1839
03−3251−3921
~審美歯科治療の注意点~
審美歯科治療は保険外診療となります。オールセラミック で歯並びなどを治す場合、オールセラミック の種類によって当院では1本6万6千円(税込)~16万5千円(税込)のセラミックを選んでいただいております。また、神経のない歯はオールセラミック とは別にファイバーコア(税込2万2千円)という歯の土台の料金がかかる場合があります。
料金に関しましては、1本あたりの標準的な料金となります。多数の歯を治す場合は、本数分の治療費がかかります。
審美歯科治療では、歯の大きさや形の修正、歯の変色の改善、歯並びの改善を目的にオールセラミック などの材料を使用しております。リスク等もございますのでご確認ください。歯茎の位置を改善するために歯茎の再生・整形を行う場合は別途料金がかかります。
また、審美歯科で歯並びを治す場合のリスクとしては、歯の神経を取らないとしみてしまったり、お痛みが出てしまう場合があります。痛みの症状が出た場合は歯の神経を取り除く必要がある場合があります。また、オールセラミック の色合いはかなり天然の歯に近いものになりますが、完全に同じものではありません。
~歯茎の再生治療の注意~
お写真や治療法のご説明の内容を掲載する際には、料金や治療のリスクを表示することになっております。治療を検討される際には、注意も合わせてご確認ください。
歯茎の再生治療は保険外診療となります。当院では、歯茎の再生治療1~3本で7万7千円(税込)かかります。また、術後は歯ブラシができないため、病院で消毒・クリーニングを行います。消毒も保険外となりますので、1回の消毒・クリーニングに¥5,500−(税込)の費用がかかります。通常4回の消毒にお越しいただいております。
歯茎が下がって歯の根っ子が露出しているケースのように歯茎の炎症がなく、歯と歯の間の骨が吸収していないケースに関しては、露出した歯の根っこを覆えることが報告されています。歯周病が進行したケースなど歯を支える骨の吸収したケースでは、歯茎が回復しない場合もあります。
n 歯茎の再生治療のリスクと対策
歯茎の再生治療は外科的な治療ですので、治療後に糸でしっかりと縫う必要があります。尖ったものが刺さってしまったりして歯茎が開くと出血してしまうリスクがあります。また、術後に腫れや痛みが出ることがあります。そのため、当院では、出血予防止血対策にに止血用マウスピースをお渡ししております。また、術後の注意を守っていただいております。
歯茎の再生治療は、歯周病の進行具合や感染の状況によって回復できる歯茎の位置が変わります。ご希望の位置まで歯茎が必ず回復する治療ではありません。当院では、審美的な回復のための方法も行っておりますので併せて紹介しております。
前歯が抜けてしまった場合の治療には、『オールセラミックブリッジ』がおすすめです。
前歯は笑ったときや話をするときに目立つ場所なので、治療するなら自然な見た目にこだわりたいものです。しかし、実際に歯を抜いてオールセラミックブリッジを入れると、歯を抜いた部分の歯茎が窪んでしまい、ブリッジだということが他人にもわかりやすくなってしまうことがあります。
実は、この「歯茎のくぼみ」はとてもよくある問題で、多くの方が悩まれています。そこでおすすめしたいのが『歯ぐきの再生治療』です。
この治療では、歯茎のくぼんでしまった部分に自分の口の中の健康な歯ぐきや皮膚を移植することで、歯茎の厚みを回復させて自然な状態を再現します。
たとえば、左の前歯を抜いてしまい、オールセラミックブリッジで治療したケースでは、本来なら歯茎が窪んでしまい、見た目が不自然になりがちです。しかし、このケースではブリッジを入れる前に歯茎の整形を行い、自分の皮膚を移植して歯茎に自然なボリュームを持たせています。
その結果、実際には歯がないところでも、まるで自分の歯が歯茎の中から自然に生えているような美しい見た目を実現しています。
歯茎の再生治療を行うことで、「人工の歯が入っている」と他人に気付かれることなく、自然で美しい仕上がりになります。見た目の美しさに加えて、機能面でもしっかりと噛むことができます。
神田ふくしま歯科では、このような『オールセラミックブリッジ』と『歯ぐきの再生治療』を組み合わせた治療を行っています。経験豊富なドクターが無料のカウンセリングで、あなたに最適な治療法をご提案します。前歯の抜けた後の見た目や歯茎の状態が気になる方は、ぜひお気軽にご相談ください。
無料カウンセリングのお問い合わせ
神田ふくしま歯科
東京都千代田区神田鍛冶町3−2−6F スターバックス上
JR神田駅北口より徒歩1分 (東京駅の隣の駅です。)
0120−25−1839
03-3251-3921
A. オールセラミックブリッジによる治療が、自然な見た目と機能を両立できます。
前歯は笑ったときや話すときに最も目立つ部分です。
そのため、見た目に違和感が出にくい治療を希望される方が多くいらっしゃいます。
インプラント以外の選択肢として、オールセラミックブリッジがおすすめです。
ブリッジとは、両隣の歯を支えにして人工の歯を橋のように固定する方法で、
セラミック素材を使用することで、自然な透明感と美しい仕上がりを実現できます。
オールセラミックブリッジは金属を使わないため、
金属アレルギーの心配もなく、長期間にわたって白さを保つことができます。
A. 歯ぐきの再生治療を併用することで、自然な歯ぐきの形を再現できます。
歯を抜くと、その部分の歯ぐきや骨がへこんでしまうことがよくあります。
そのままブリッジを入れると、歯が「浮いて見える」ようになり、
人工歯であることが目立ってしまう場合があります。
そこで当院では、**歯ぐきの再生治療(歯肉移植)**を併用することをおすすめしています。
歯ぐきのくぼんだ部分にご自身の口の中の健康な皮膚を移植し、
厚みと自然なカーブを回復させます。
この処置を行うことで、
まるで本物の歯が歯ぐきの中から自然に生えているように見せることができます。
💬 実際の症例では、左の前歯を抜いた患者様に歯ぐきの再生を行い、
ブリッジを入れても「歯を抜いたとは思えないほど自然な見た目」に仕上がりました。
A. オールセラミックブリッジと歯ぐき再生治療はいずれも自由診療です。
| 治療内容 | 費用(税込) |
|---|---|
| オールセラミックブリッジ | 66,000〜165,000円/本 |
| 歯ぐき再生治療(1〜3本) | 77,000円〜 |
※治療本数や状態により費用は異なります。
1️⃣ 歯や歯ぐきの状態をレントゲンやCTで診断
2️⃣ 必要に応じて歯ぐき再生治療を実施
3️⃣ 歯ぐきの形が整った後、オールセラミックブリッジを装着
外科的処置のため、術後に腫れや出血が出る場合があります。
歯周病や骨の吸収がある場合は、歯ぐきの再生範囲に制限が出ることがあります。
セラミックは天然歯に近い色味を再現できますが、完全に同じ色にはならない場合があります。
当院では、経験豊富なドクターが患者さま一人ひとりの歯ぐきの状態を丁寧に確認し、
審美性・機能性・持続性を兼ね備えた最適な治療プランをご提案いたします。
「前歯を抜いたあと、自然に見せたい」
「ブリッジでも違和感のない見た目にしたい」
「歯ぐきのくぼみをきれいに整えたい」
神田ふくしま歯科では、
オールセラミックブリッジと歯ぐき再生治療の無料カウンセリングを実施しています。
治療の流れ・費用・仕上がりのイメージを詳しくご説明し、
あなたにぴったりの治療方法をご提案いたします。
神田ふくしま歯科
東京都千代田区神田鍛冶町3−2−6F(スターバックス上)
JR神田駅北口より徒歩1分(東京駅の隣駅)
📱 0120-25-1839
☎ 03-3251-3921
歯茎が下がってしまったことが原因で、歯茎のラインが上下に凸凹の審美歯科治療を行ってしまっている失敗をよく見ます。
歯茎の上下のラインを整えてから審美歯科治療をする方法に歯茎の再生治療があります。審美歯科治療をきれいに仕上げるために重要な処置になります。
また、歯茎の審美歯科に関して治療をご希望の方は無料カウンセリングを行っておりますのでご利用ください.
無料カウンセリングお問い合わせ
神田ふくしま歯科
東京都千代田区神田鍛冶町3−2−6F
0120−25−1839
03−3251−3921
~歯茎の再生治療と審美歯科治療の注意~
歯茎の再生治療や審美歯科治療は保険外診療となります。当院では、歯茎の再生治療1~3本で7万7千円(税込)です。また、オールセラミック の種類によって当院では1本6万6千円(税込)~16万5千円(税込)のセラミックを選んでいただいております。
歯茎が下がって歯の根っ子が露出しているようなケースのうち、歯茎の炎症がなく、歯と歯の間の骨が吸収していないケースに関しては、露出した歯の根っこを覆えることが報告されています。
歯茎の再生治療のリスク
外科的な治療ですので、治療後に糸でしっかりと縫う必要があります。尖ったものが刺さってしまったりして歯茎が開くと出血してしまうリスクがあります。
歯茎の再生治療は、歯周病の進行具合や感染の状況によって回復できる歯茎の位置が変わります。ご希望の位置まで歯茎が必ず回復する治療ではありません。
審美歯科のリスク
審美歯科で歯並びを治す場合のリスクとしては、歯の神経を取らないとしみてしまったり、お痛みが出てしまう場合があります。また、オールセラミック の色合いはかなり天然の歯に近いものになりますが、完全に同じものではありません。
「審美歯科治療をしたのに、歯茎のラインがデコボコして不自然…。」
「せっかく治療したのに、歯茎が下がって歯並びがきれいに見えない…。」
実はこうしたお悩みを抱える方が、意外と多くいらっしゃいます。
その原因は、『歯茎が下がった状態』のまま審美歯科治療をしてしまったことにあります。歯茎が下がった状態で歯を整えると、歯茎のラインが上下に凸凹し、見た目が不自然になってしまうのです。
そんな失敗を防ぐために、とても重要な処置が『歯茎の再生治療』です。
歯茎の再生治療とは、下がった歯茎のラインを美しく整え、健康的な位置に回復させる治療法です。この治療をまず行い、歯茎が安定した状態で審美歯科治療をすることで、歯も歯茎も美しいバランスに整います。
「歯茎のラインが凸凹して気になる」
「もっと自然な口元を取り戻したい」
そう感じている方は、ぜひ神田ふくしま歯科の無料カウンセリングへお気軽にお越しください。経験豊富なドクターが、あなたのお口の状態を丁寧に診察し、歯茎の再生治療を含めた最適な治療プランをご提案いたします。
自然で美しい歯と歯茎を取り戻し、自信ある笑顔になれるよう、私たちが全力でサポートいたします。
無料カウンセリングのお問い合わせ
神田ふくしま歯科
東京都千代田区神田鍛冶町3−2−6F スターバックス上
JR神田駅北口より徒歩1分 (東京駅の隣の駅です。)
0120−25−1839
03-3251-3921
A. 歯ぐきの後退と差し歯内部の金属が原因です。
「昔に入れた差し歯の根元が黒く見えてきた」「歯ぐきの高さが揃わず、見た目が不自然になった」
そんなお悩みを抱えていませんか?
差し歯の歯ぐきが下がって黒ずんで見える主な原因は以下の通りです。
歯ぐきが下がり、差し歯の根元や金属部分が露出している
内部の金属の土台が透けて見える(メタルコアの影響)
差し歯を作製する際、歯ぐきのラインが左右で不揃いになった
神経を抜いた歯が内部で変色している
歯ぐきが下がったままの状態で審美治療を行うと、
歯の長さがバラバラになったり、ラインが凸凹して見えるなど、
仕上がりに影響が出てしまうことがあります。
A. 歯ぐきの再生治療と審美歯科治療を組み合わせることで、自然で美しい口元を取り戻せます。
歯ぐきが下がってしまった場合、見た目を自然に整えるために**「歯ぐきの再生治療」**を行うのが理想的です。
下がった歯ぐきを回復させてからセラミック治療を行うことで、歯と歯ぐきのラインを美しく揃えることができます。
1️⃣ 歯ぐきの再生治療
薄くなった歯ぐきを移植または再生して、歯ぐきの高さを回復。
歯が長く見える状態を防ぎます。
2️⃣ 仮歯で歯ぐきのラインを整える
歯ぐきが安定した後、仮歯で歯の形や位置を微調整します。
3️⃣ オールセラミックの装着
金属を使わないオールセラミックで、自然な白さと透明感を再現。
黒ずみのない健康的な歯ぐきラインが完成します。
このように、歯ぐきの再生治療を先に行うことで、審美歯科治療の仕上がりが格段に美しくなります。
A. 歯ぐきの再生治療と審美歯科治療は自費診療ですが、確実な審美効果が得られます。
歯ぐきの再生治療:1〜3本 77,000円(税込)
オールセラミッククラウン:1本 66,000〜165,000円(税込)
※金属を使わないオールセラミックを使用するため、透明感のある自然な仕上がりになります。
歯ぐきの再生は外科的処置のため、術後に腫れや出血を伴う場合があります。
歯周病の進行状態や骨の吸収がある場合、歯ぐきの回復範囲に制限があります。
審美歯科治療では、歯を削る過程で一時的に「しみる」症状が出ることがあります。
オールセラミックは天然歯に非常に近い色調ですが、完全に同一色にはならない場合もあります。
当院では、これらのリスクを最小限に抑えるため、
ルーペを用いた精密治療と徹底した術後ケアを行っています。
「差し歯の根元が黒く見えて気になる」
「歯ぐきのラインが凸凹していて不自然」
「自然な笑顔を取り戻したい」
神田ふくしま歯科では、
歯ぐき再生+審美歯科治療の無料カウンセリングを行っています。
経験豊富なドクターがあなたの歯ぐき・歯の状態を丁寧に診断し、
最適な治療プランと費用をご提案いたします。
神田ふくしま歯科
東京都千代田区神田鍛冶町3−2−6F(スターバックス上)
JR神田駅北口より徒歩1分(東京駅の隣駅)
📱 0120-25-1839
☎ 03-3251-3921
綺麗に仕上がった差し歯でも、年数が経つと問題が起こり始めます。
特に、歯茎が下がってしまう問題は多くのかたに起こります。歯茎が下がって、歯の根っこが露出して歯茎が黒く見える問題が起こります。10年で70%の差し歯の歯茎が下がってしまうという報告もあります。
歯茎が下がってしまうと、せっかく治療した審美歯科のオールセラミックなども見た目を改善するためにやり直しになってしまいます。かけた費用が無駄になってしまいます。
そのため、歯茎が下がってしまった時、また歯茎が下がらないように予防するために、歯茎の審美歯科の重要性が高まっています。
歯茎の審美歯科は新しい審美歯科治療法です。歯茎の厚みや位置を歯茎の再生・整形にて整えた上で仮歯で整えた歯茎の位置にオールセラミックを入れる治療になります。
今から審美歯科治療を行うかたは、将来的に歯茎が下がりにくく、また、歯の形を左右で揃えるために歯茎の審美歯科治療をされることをお勧めしております。

差し歯の歯茎が下がってしまっては審美歯科治療が失敗に終わってしまいます.
審美歯科治療をするなら下がった歯ぐきを回復させる歯ぐきの再生治療を合わせて行う事をお勧めしております.
歯茎が下がってしまうといった事は差し歯をした場合よくあります。この写真ケースのように、歯茎が下がって歯の根っこが露出してしまっていても歯茎を再生させて下がった歯茎を回復させて審美的な状況に戻す事が可能です。
歯茎の再生には歯茎の移植を行うか人工の皮膚を歯茎に加えて、厚みを出すと同時に、下がった歯茎を覆いもとの状態に回復させます。見た目が審美的になるのは歯茎の位置が左右で対象になるからです。
歯ぐきの再生治療のページ
お問い合わせ
神田ふくしま歯科
東京都千代田区神田鍛冶町3−2−6F スターバックス上
0120−25−1839
審美歯科の注意
・料金と選択方法
オールセラミック治療は保険外診療となります。オールセラミックの種類によって1本66,000円(税込)~165,000円(税込)の料金がかかります。また、神経のない歯はオールセラミックとは別にファイバーコアという歯の土台の料金22,000円(税込)がかかる場合があります。当院では、患者さんのニーズに合わせてセラミックの種類を選択できるように強度重視・自然さを重視などセラミックの特色に合わせて対応させていただいております。料金に関しましては、1本あたりの標準的な料金となります。多数の歯を治す場合は、本数分の治療費がかかります。
・リスクと対策
オールセラミックの色合いはかなり天然の歯に近いものになりますが、完全に同じものではありません。当院ではご希望に合わせて高精度の写真や技工士さんの立ち合いなどこだわったオーダーメイドセラミックを作製することも可能です。
審美歯科治療では、歯の大きさや形の修正、歯の変色の改善、歯並びの改善を目的にオールセラミック などの材料を使用しております。リスク等もございますのでご確認ください。歯茎の位置を改善するために歯茎の再生・整形を行う場合は別途料金がかかります。
また、セラミック治療をする場合、歯を削る必要があります。治療後に知覚過敏を起こすことがあります。当院では神経のある歯を削った後はコーティング剤を塗布し、処置後しばらくは熱いものや冷たいものなどの刺激物を取らないよう気を付けていただいております。
~歯茎の再生治療の注意~
お写真や治療法のご説明の内容を掲載する際には、料金や治療のリスクを表示することになっております。治療を検討される際には、注意も合わせてご確認ください。
歯茎の再生治療は保険外診療となります。当院では、歯茎の再生治療1~3本で7万7千円(税込)かかります。また、術後は歯ブラシができないため、病院で消毒・クリーニングを行います。消毒も保険外となりますので、1回の消毒・クリーニングに¥5,500−(税込)の費用がかかります。通常4回の消毒にお越しいただいております。
歯茎が下がって歯の根っ子が露出しているケースのように歯茎の炎症がなく、歯と歯の間の骨が吸収していないケースに関しては、露出した歯の根っこを覆えることが報告されています。歯周病が進行したケースなど歯を支える骨の吸収したケースでは、歯茎が回復しない場合もあります。
n 歯茎の再生治療のリスクと対策
歯茎の再生治療は外科的な治療ですので、治療後に糸でしっかりと縫う必要があります。尖ったものが刺さってしまったりして歯茎が開くと出血してしまうリスクがあります。また、術後に腫れや痛みが出ることがあります。そのため、当院では、出血予防止血対策にに止血用マウスピースをお渡ししております。また、術後の注意を守っていただいております。
歯茎の再生治療は、歯周病の進行具合や感染の状況によって回復できる歯茎の位置が変わります。ご希望の位置まで歯茎が必ず回復する治療ではありません。当院では、審美的な回復のための方法も行っておりますので併せて紹介しております。
「差し歯を入れたときはとても綺麗だったのに、最近歯茎が下がってきてしまって…」
「歯茎が黒っぽく見えて、以前のような美しい口元じゃなくなってしまった…」
実は、どんなに綺麗に仕上がった差し歯でも、年数が経つにつれて『歯茎が下がってしまう問題』がよく起こります。歯茎が下がることで歯の根元が露出し、黒く見えてしまうことがあるのです。実際、差し歯を入れてから10年経つと、およそ70%の方が歯茎が下がるという報告もあるほどです。
せっかくオールセラミックなどで美しく治療したとしても、歯茎が下がってしまうと再び見た目を整えるために治療のやり直しが必要になり、費用や時間が無駄になってしまいます。
そこで、最近注目されているのが『歯茎の審美歯科』という新しい治療法です。
『歯茎の審美歯科』とは、歯茎が下がるのを防ぐだけでなく、すでに下がってしまった歯茎の位置や厚みを『歯茎の再生治療』や『歯茎の整形』で自然な位置に回復させる治療です。まず仮歯で歯茎の位置を整え、その安定した位置に美しいオールセラミックを装着することで、歯茎のラインが揃い、見た目も自然で美しく仕上がります。
これから審美歯科治療をお考えの方には、『歯茎の審美歯科治療』をおすすめしています。将来的に歯茎が下がりにくくなり、歯の形も左右で綺麗に揃った状態を長く保つことができるためです。
「長期間、美しい口元を維持したい」
「歯茎が下がるのを防ぎたい」
そうお考えの方は、ぜひ一度、神田ふくしま歯科の無料カウンセリングへお気軽にお越しください。経験豊富なドクターがあなたのお口の状態を丁寧にチェックし、将来的にも安心できる最適な治療プランをご提案いたします。
無料カウンセリングのお問い合わせ
神田ふくしま歯科
東京都千代田区神田鍛冶町3−2−6F スターバックス上
JR神田駅北口より徒歩1分 (東京駅の隣の駅です。)
0120−25−1839
03-3251-3921
「最初は綺麗だった差し歯が、年数が経つうちに黒く見えるようになった」
「歯茎が下がって、差し歯の根元が見えてきた気がする」
このようなお悩みを抱える方は多くいらっしゃいます。
実際、差し歯を入れてから10年ほど経つと、約70%の方に歯茎の後退が見られるという報告もあります。
せっかく審美歯科で美しく治療しても、歯茎が下がることで見た目が損なわれてしまい、
最悪の場合はやり直しが必要になることもあります。
歯茎が下がる原因はさまざまですが、主に以下のような要因が挙げられます。
歯茎が薄い、もしくは骨の厚みが少ない
加齢やブラッシング圧の強さ
差し歯の土台(支台)の形状・材質
歯周病の進行
噛み合わせの力や歯ぎしりの影響
これらの要素が重なることで、歯茎が徐々に下がり、差し歯の根元が黒く見える現象が起こります。
近年注目されているのが、歯茎の審美歯科治療です。
これは、歯茎の厚みや高さを整えながら、自然な見た目を取り戻す治療法です。
歯茎の下がりを歯ぐき再生治療で回復
歯茎の形を整形して左右のラインを美しく調整
再生した歯茎のラインに合わせてオールセラミックを再装着
このように、歯と歯茎の調和を取り戻す総合的なアプローチで、自然で美しい笑顔を再現します。
審美歯科をこれから受ける方にも、歯茎の審美治療を併用することをおすすめします。
将来的に歯茎が下がりにくくなり、歯の形も左右対称に整うため、
長期的に美しさを維持できる口元を実現できます。
当院では、歯茎の状態・骨の厚み・歯の位置関係を丁寧に診査したうえで、
最も自然で美しい仕上がりとなるよう治療を進めます。
歯ぐきの再生治療
歯茎が薄くなった部分にご自身の歯肉または人工皮膜を用いて厚みを補い、下がった歯茎を元の位置に戻します。
歯ぐきの整形(歯肉形成)
歯茎のラインを左右で揃え、審美的に美しいバランスを整えます。
オールセラミックの再装着
新しい歯茎ラインに合わせてオールセラミックを作製し、自然な仕上がりへ。
オールセラミック:1本 66,000円(税込)〜165,000円(税込)
ファイバーコア(土台):22,000円(税込)
歯ぐき再生治療(1〜3本):77,000円(税込)
術後クリーニング・消毒:1回 5,500円(税込)×4回程度
※すべて自費診療です。治療内容・症例により費用は変動します。
歯ぐきの再生治療は外科的処置のため、術後に腫れや痛みが出る場合があります。
縫合部分に強い刺激が加わると、出血や再開創のリスクがあります。
歯周病が進行している場合、歯茎の回復範囲に制限が生じることがあります。
オールセラミックは天然歯に非常に近い色ですが、完全に同一色にはならない場合があります。
当院では、止血用マウスピースの提供や、術後ケアの徹底で安全な治療を心がけています。
「差し歯の歯茎が下がって黒く見える」
「歯茎のラインを整えて、もっと自然な見た目にしたい」
神田ふくしま歯科では、歯ぐきの再生治療・審美歯科の無料カウンセリングを行っております。
歯茎の状態を丁寧にチェックし、あなたに合った最適な治療プランをご提案いたします。
神田ふくしま歯科
東京都千代田区神田鍛冶町3−2−6F(スターバックス上)
JR神田駅北口より徒歩1分(東京駅の隣駅)
📱 0120-25-1839
☎ 03-3251-3921
差し歯にした前歯の長さが短い。もともと出っ歯だったのを差し歯で並べたのだけど、歯の長さが短くなってしまった。見た目を良くしたいということでお悩みの方に朗報です。
歯の長さを綺麗に左右で揃える歯茎の審美歯科治療のご紹介をいたします。具体的には歯茎の再生・歯茎の整形によって前歯の歯茎の長さを左右で揃えていきます。
歯の長さに関する問題は、通常差し歯の長さが小さいということが問題になります。小さい差し歯は歯茎を整形することで平均的な見た目の歯の長さとすることが可能になります。
歯茎の整形は簡単な麻酔を行うだけで30分ほどで終わります。以下に治療例をご紹介いたします。
歯の短い方におすすめの歯茎の整形処置のご紹介です。
歯茎の整形処置を行うことで、歯の大きさ左右非対称です。歯茎のラインを揃えます。歯の大きさは左右で同じ方がきれいに見えます。
歯茎の整形後の経過ですが、真ん中が直後で右は来院時、約2週間後の状態です。歯茎はきれいに引き締まってきます。特に傷跡が残ることはありません。それから、痛みは全く無かったということでした。
また、歯茎の整形前に金属の土台を4本顕微鏡を見ながら削り取りました。拡大して処置を行いますので、金属以外のところを削る心配はありません。
お時間30分ほどで終わりました。次回は根っこの中の消毒になります。
歯茎の整形に関しましては、下記のリンクページに詳しい内容を記載させていただいております。クリックしてご覧ください。
また、歯茎の整形を希望される方に無料カウンセリングを行っておりますのでご利用ください。無料カウンセリングにて治療方法のご説明、お見積りのお渡しをいたします。
通常、保険外診療を行っている歯科医院ではカウンセリング料が5千円〜高いところで10万円ほどの費用がかかります。当院では、なるべく多くの方に審美歯科治療を受けていただきたいので、気軽にカウンセリングを受けられるようカウンセリング料を無料とさせていただいております。(ただいま混雑しており先まで予約を取れない場合もございますので、なるべくお早めにご予約をお取りになることをお勧めしております。)
無料カウンセリングお問い合わせ
神田ふくしま歯科
東京都千代田区神田鍛冶町3−2−6F スターバックス上
0120−25−1839
03−3251−3921
~審美歯科治療と歯茎の整形の注意点~
歯茎の整形や審美歯科治療は保険外診療となります。病院によって料金が異なりますのでご注意ください。当院では、歯茎の整形3万3千円(税込)、オールセラミック (エコノミータイプ)1本6万6千円(税込)4本で26万4千円(税込)かかりました。
また、審美歯科で歯並びを治す場合、歯の神経を取り除かないと知覚過敏や痛みが出てしまう場合があります。
神田ふくしま歯科では、経験豊富なドクターが丁寧な無料カウンセリングを行っています。
「前歯が出っ歯で悩んでいたけれど、差し歯にして歯並びを整えたら、今度は歯が短くなってしまって、なんだかバランスが悪い…」
そんなお悩みをお持ちの方が意外と多くいらっしゃいます。
実は、差し歯にしたときに歯が短く見えるのは、「差し歯自体が短い」というより、「歯茎の位置がズレている」ことが原因であることが多いのです。左右の歯茎の高さが違うため、歯の長さがアンバランスに見えてしまうのです。
こんなお悩みを抱える方に、ぜひ知っていただきたいのが『歯茎の審美歯科治療』という最新の治療方法です。
この治療では、『歯茎の再生』や『歯茎の整形』を行って、前歯の歯茎の位置を左右で美しく揃えます。そうすることで、差し歯の長さを変えずとも、見た目に自然で美しい歯の長さに仕上げることが可能になるのです。
具体的な治療の流れとしては、簡単な麻酔を行い、30分ほどで歯茎の整形が完了します。治療自体は短時間で終わりますので、体への負担もほとんどありません。気軽に受けられる治療として、最近では多くの方に選ばれています。
「笑顔に自信が持てる歯の長さに揃えたい」
「自然で美しい前歯を取り戻したい」
そんな願いをお持ちの方は、ぜひ一度、神田ふくしま歯科の無料カウンセリングへお越しください。
経験豊富なドクターがあなたのお悩みをじっくりお聞きし、あなたに最適な治療方法を詳しくご説明いたします。
美しい笑顔と健康な歯茎を取り戻すため、全力でサポートさせていただきます。
無料カウンセリングのお問い合わせ
神田ふくしま歯科
東京都千代田区神田鍛冶町3−2−6F スターバックス上
JR神田駅北口より徒歩1分 (東京駅の隣の駅です。)
0120−25−1839
03-3251-3921
無料カウンセリングのお問い合わせ
神田ふくしま歯科
東京都千代田区神田鍛冶町3−2−6F スターバックス上
JR神田駅北口より徒歩1分 (東京駅の隣の駅です。)
0120−25−1839
03-3251-3921
~歯茎の整形と審美歯科で、美しいバランスの前歯へ~
A1:歯茎の位置がずれていることが原因の一つです。
「出っ歯を差し歯で整えたけれど、歯が短く見える」
そんなお悩みを抱える方は少なくありません。
実は、歯茎のラインが左右で揃っていないことが原因で、
歯の長さが短く見えてしまうケースが多いのです。
このような場合、歯を削ったり交換するのではなく、
歯茎の整形や再生治療で見た目を整えることが可能です。
A2:「歯茎の整形」や「歯茎再生治療」でバランスを調整します。
歯茎をほんの少し整えるだけで、歯の長さや見た目の印象が大きく変わります。
具体的には、
左右の歯茎ラインを整えて歯の長さを均一にする
下がった歯茎を再生して本来の位置に戻す
といった処置を行います。
この**歯茎の整形(ガムデザイン)**は、
麻酔をして30分ほどで完了する簡単な処置です。
A3:見た目は自然に整い、痛みはほとんどありません。
治療直後はわずかに腫れることがありますが、数日で引き締まって自然な状態に戻ります。
傷跡が残ることもなく、患者さまからも「痛みはほとんどなかった」とのお声を多くいただいています。
治療後は、左右の歯の大きさが均一に整い、笑ったときに歯の見え方が美しくなるのが特徴です。
A4:1回の来院で完了するシンプルな治療です。
麻酔をして歯茎のラインをデザイン
拡大鏡(顕微鏡)で精密に歯茎を整形
歯茎のラインを左右で揃える
その日のうちに帰宅可能
歯茎の整形後は、2週間程度で歯茎が引き締まり自然な仕上がりになります。
A5:歯茎の整形・審美歯科は保険外診療です。
治療内容により異なりますが、目安は以下の通りです。
| 治療内容 | 費用(税込) | 備考 |
|---|---|---|
| 歯茎の整形 | 33,000円 | 麻酔込み・1回完了 |
| オールセラミック(エコノミータイプ) | 1本 66,000円 | 4本で264,000円 |
| カウンセリング | 無料 | 治療方法・費用のご説明 |
※治療計画は事前にお見積りいたします。
A6:刺激の少ないケアを心がけてください。
当日は強いうがいやブラッシングを避ける
数日間は刺激物やアルコールを控える
清潔を保つために優しく歯磨き
当院では、治療後も経過をしっかり確認し、
自然な歯茎ラインが定着するようサポートいたします。
A7:神田ふくしま歯科では、無料で行っています。
審美歯科を取り入れている医院では、5,000円〜数万円のカウンセリング料がかかることもありますが、
当院ではより多くの方に気軽にご相談いただけるよう無料で実施しています。
ただし、現在は予約が混み合っておりますので、
ご希望の方はお早めのご予約をおすすめいたします。
📍 神田ふくしま歯科
〒101-0044 東京都千代田区神田鍛冶町3-2-6 スターバックス上 6F
📞 フリーダイヤル:0120-25-1839
📞 代表電話:03-3251-3921
🚉 JR神田駅 北口(モンダミン口)より徒歩1分(東京駅の隣駅)
前歯の審美歯科・歯茎整形・再生治療に対応
顕微鏡を使用した精密な処置
痛みを最小限に抑えた短時間治療
経験豊富なドクターによるカウンセリング(無料)
神田ふくしま歯科では、
「笑ったときに見える歯の長さ」「歯茎のラインのバランス」など、
お顔全体の印象を美しく見せる治療をご提案しています。
「短い前歯を自然に見せたい」「笑顔をより魅力的にしたい」方は、
ぜひ一度、無料カウンセリングにお越しください。
従来の方法で審美歯科治療を行った場合,歯茎の位置が変更できないため,歯並びは良くなるけど歯の長さが調整できないという問題が起こってしまいます。
そのため、歯茎の位置が左右でそろっていない方は歯ぐきの再生治療・整形治療で歯茎の位置を整えてから審美歯科治療を行う事をお勧めしております.

八重歯の歯並びを審美歯科治療で治す場合,歯茎の位置を再生・整形するかしないかで、歯の大きさが変わります.
このお写真のケースでは、歯並びを整える事と,前歯の歯茎の整形処置をする事になりました.お写真右側の犬歯は歯茎が下がってしまっていますので、歯茎の再生治療を行って歯茎を回復させてから審美歯科治療を行う事をお勧めしますが,このケースではご希望されなかったために、歯茎の再生治療を行わずに、歯並びを審美歯科治療にて行いました.

前歯4本の歯茎は歯茎の整形処置で大きさのバランスをそろえていますが,写真右側の犬歯の歯茎の再生を行わなかったため、犬歯の長さだけが長くなってしまっています.
歯並びに関してはきれいになって満足いただけました.歯の大きさを歯茎の再生法で整える事でさらに歯のバランスを良くする事ができます.
歯茎の再生の詳しいページ

このお写真のように左右のはの位置がそろっていない場合は、歯ぐきの再生治療をお勧めしております.
このケースではご希望で左側だけの歯茎を再生しました.

左側の長かった歯が、短くなって歯の長さがそろった幹事になっているのがわかると思います.
~歯茎の再生治療の注意~
お写真や治療法のご説明の内容を掲載する際には、料金や治療のリスクを表示することになっております。治療を検討される際には、注意も合わせてご確認ください。
歯茎の再生治療は保険外診療となります。当院では、歯茎の再生治療1~3本で7万7千円(税込)かかります。また、術後は歯ブラシができないため、病院で消毒・クリーニングを行います。消毒も保険外となりますので、1回の消毒・クリーニングに¥5,500−(税込)の費用がかかります。通常4回の消毒にお越しいただいております。
歯茎が下がって歯の根っ子が露出しているケースのように歯茎の炎症がなく、歯と歯の間の骨が吸収していないケースに関しては、露出した歯の根っこを覆えることが報告されています。歯周病が進行したケースなど歯を支える骨の吸収したケースでは、歯茎が回復しない場合もあります。
n 歯茎の再生治療のリスクと対策
歯茎の再生治療は外科的な治療ですので、治療後に糸でしっかりと縫う必要があります。尖ったものが刺さってしまったりして歯茎が開くと出血してしまうリスクがあります。また、術後に腫れや痛みが出ることがあります。そのため、当院では、出血予防止血対策にに止血用マウスピースをお渡ししております。また、術後の注意を守っていただいております。
歯茎の再生治療は、歯周病の進行具合や感染の状況によって回復できる歯茎の位置が変わります。ご希望の位置まで歯茎が必ず回復する治療ではありません。当院では、審美的な回復のための方法も行っておりますので併せて紹介しております。
審美歯科の注意
・料金と選択方法
オールセラミック治療は保険外診療となります。オールセラミックの種類によって1本66,000円(税込)~165,000円(税込)の料金がかかります。また、神経のない歯はオールセラミックとは別にファイバーコアという歯の土台の料金22,000円(税込)がかかる場合があります。当院では、患者さんのニーズに合わせてセラミックの種類を選択できるように強度重視・自然さを重視などセラミックの特色に合わせて対応させていただいております。料金に関しましては、1本あたりの標準的な料金となります。多数の歯を治す場合は、本数分の治療費がかかります。
・リスクと対策
オールセラミックの色合いはかなり天然の歯に近いものになりますが、完全に同じものではありません。当院ではご希望に合わせて高精度の写真や技工士さんの立ち合いなどこだわったオーダーメイドセラミックを作製することも可能です。
審美歯科治療では、歯の大きさや形の修正、歯の変色の改善、歯並びの改善を目的にオールセラミック などの材料を使用しております。リスク等もございますのでご確認ください。歯茎の位置を改善するために歯茎の再生・整形を行う場合は別途料金がかかります。
また、セラミック治療をする場合、歯を削る必要があります。治療後に知覚過敏を起こすことがあります。当院では神経のある歯を削った後はコーティング剤を塗布し、処置後しばらくは熱いものや冷たいものなどの刺激物を取らないよう気を付けていただいております。
従来の審美歯科治療では、歯並びをきれいに整えることは可能でしたが、実は「歯茎の位置を自由に調整できない」という大きな問題点がありました。その結果、歯並びは美しくなったものの、歯の長さがバラバラに見えてしまうというケースが多かったのです。
例えば、左右の歯茎の高さがずれていると、せっかく新しい歯を入れても美しく揃って見えず、バランスの取れた理想的な笑顔になりません。
神田ふくしま歯科では、こうした悩みを解決するため、まず「歯茎の再生治療」や「歯茎の整形治療」を行って、左右の歯茎の高さをきれいに整えます。歯茎を整えた上で審美歯科治療を行うことで、歯の長さやラインが美しく揃い、より自然で調和のとれた笑顔を手に入れることが可能になります。
歯茎の位置が気になる方は、ぜひ神田ふくしま歯科にお越しください。経験豊富なドクターによる無料カウンセリングでお気軽にご相談ください。あなたに最適な治療方法を丁寧にご提案いたします。
無料カウンセリングお問い合わせ
神田ふくしま歯科
東京都千代田区神田鍛冶町3−2−6F スターバックス上
0120−25−1839
03−3251−3921
このBlogの内容に興味を持たれた方は上のシェアボタンのクリックをお願いいたします。
― 自然で美しい仕上がりのために知っておきたいポイント ―
A. 歯並びは整っても、歯の長さが左右で不揃いになる可能性があります。
従来の審美歯科治療では、歯茎の位置を変えられないため、見た目が不自然になるケースがあります。
特に左右で歯茎の高さが異なると、
歯が長く見える側と短く見える側ができる
笑ったときに歯のバランスが悪く見える
差し歯やセラミックの仕上がりが不自然になる
といった問題が起こります。
そのため、**歯茎の位置を整える「歯茎の再生・整形治療」**を併用することで、歯並びと歯茎ラインを同時に整えることが大切です。
A. 歯並びはきれいになりますが、歯の長さや形がアンバランスになることがあります。
📍例:八重歯のケース
右側の犬歯の歯茎が下がっていたが、再生治療を行わず審美歯科治療のみ実施。
歯並びは改善したものの、犬歯だけが長く見えてしまう結果に。
一方で、歯茎の再生治療を行えば、下がった歯茎を回復させ、左右対称で美しい歯のラインに整えることが可能です。
このように、歯の見た目を左右するのは「セラミックの形」だけでなく、「歯茎の高さとバランス」でもあるのです。
A. 歯茎の再生治療とは、下がった歯茎を外科的に回復させる治療です。
歯茎の再生治療では、歯茎の量を増やしたり、形を整えることで、歯の大きさやラインを左右対称にします。
💰 費用の目安
歯茎の再生治療(1〜3本):77,000円(税込)
オールセラミック治療:66,000円〜165,000円(税込)/本
ファイバーコア(土台):22,000円(税込)
⚠️ リスク・注意点
外科処置のため、治療後に軽度の腫れ・痛み・出血が出る場合があります。
歯周病や骨の吸収が進んでいる場合、歯茎の回復が難しいケースもあります。
治療後は数日間ブラッシング制限があり、医院での消毒・クリーニングが必要です(1回5,500円×4回)。
📸 症例では、再生を行った側の歯だけが短くなり、歯の長さがきれいに揃う結果を得られました。
A. 以下のような方は歯茎の再生を併用した方が良いでしょう。
前歯の歯茎の高さが左右で違う
差し歯を入れたのに歯が長く見える
八重歯や歯列の乱れで歯茎のラインが不揃い
審美歯科治療を予定している方
歯茎の位置を整えることで、セラミックの仕上がりが格段に自然になり、笑顔に自信が持てる口元になります。
📞 無料カウンセリングのご案内
「歯茎の高さが違って気になる」「差し歯を自然に見せたい」という方は、
神田ふくしま歯科の無料カウンセリングへお気軽にお越しください。
経験豊富なドクターが、お口の状態を詳しく診断し、
あなたに最適な審美歯科+歯茎再生プランをご提案します。
神田ふくしま歯科
東京都千代田区神田鍛冶町3−2−6F(スターバックス上)
📞 0120-25-1839 / 03-3251-3921
JR神田駅北口より徒歩1分(東京駅の隣の駅です)
歯茎の再生をしない審美歯科は、歯並びは整っても「歯の長さが不揃い」になるリスクがある。
歯茎の再生・整形を併用すれば、左右対称で自然な見た目に。
美しい歯並びと健康な歯茎を両立するには、「歯+歯茎」両方の治療が必要。
見た目に妥協しない、上質な審美歯科治療をお考えの方は、
歯茎まで整える新しい審美歯科をぜひ体験してください。
新しい審美歯科治療では、単に差し歯をオールセラミックのはに変えるだけではありません。
前歯の差し歯を交換する際、新しい審美歯科治療では歯茎の位置を整えて左右対称にすることが可能です。この方法は歯茎の審美歯科治療といって、歯茎の再生・歯茎の整形を行い前歯の見た目を改善する新しい審美歯科治療方法です。

せっかく審美歯科治療をしたのにこんな仕上がりになってしまったらどうでしょうか?
気をつけないとこんな審美歯科治療の結果になってしまうことがあります。
歯並びを審美歯科治療で行う場合、歯茎の位置を修正する必要があります。歯並びが並んでいない場合、歯茎の位置も歯の位置と同様に並んでいません。そのため、歯並びを歯の部分だけ修正すると歯の大きさが左右で不揃いとなってしまいます。
左右の歯茎の位置をそろえるために、歯並びを審美歯科で治す場合、歯茎の再生・整形をおこないます。歯茎が足りない部分は歯ぐきの再生治療を行い,歯茎が多い部分は歯茎の整形を行います.歯茎の量を調整する事で、歯の大きさを整えます.
歯茎の位置が左右でそろう事によって,歯の大きさが左右対称に同じ大きさとなります。もしも、かみ合わせの問題がある場合は、したのは並びも改善します。
歯茎の位置を改善したケースは、ページに詳しく載っています。ご興味のある方は、クリックしてご覧ください.
歯茎の整形・再生のページ
また、歯ぐきの再生、整形を希望される方は無料カウンセリングを行っておりますので、ご利用下さい。無料カウンセリングにて治療のご説明、お見積もりのお渡しをいたします。
無料カウンセリングお問い合わせ
神田ふくしま歯科
東京都千代田区神田鍛冶町3−2−6F
0120−25−1839
03−3251−3921
~審美歯科治療と歯茎の整形の注意点~
歯茎の整形や審美歯科治療は保険外診療となります。歯茎の整形3万3千円(税込)かかりました。
また、審美歯科で歯並びを治す場合、歯の神経を取り除かないと知覚過敏や痛みが出てしまう場合があります。
~審美歯科治療の注意点~
審美歯科治療は保険外診療となります。オールセラミック で歯並びなどを治す場合、オールセラミック の種類によって当院では1本6万6千円(税込)~16万5千円(税込)のセラミックを選んでいただいております。また、神経のない歯はオールセラミック とは別にファイバーコア(税込2万2千円)という歯の土台の料金がかかる場合があります。
料金に関しましては、1本あたりの標準的な料金となります。多数の歯を治す場合は、本数分の治療費がかかります。
審美歯科治療では、歯の大きさや形の修正、歯の変色の改善、歯並びの改善を目的にオールセラミック などの材料を使用しております。リスク等もございますのでご確認ください。歯茎の位置を改善するために歯茎の再生・整形を行う場合は別途料金がかかります。
また、審美歯科で歯並びを治す場合のリスクとしては、歯の神経を取らないとしみてしまったり、お痛みが出てしまう場合があります。痛みの症状が出た場合は歯の神経を取り除く必要がある場合があります。また、オールセラミック の色合いはかなり天然の歯に近いものになりますが、完全に同じものではありません。
神田ふくしま歯科では、経験豊富なドクターによる無料カウンセリングを実施しています。前歯の差し歯を新しく交換するとき、「もっと美しく整えられたらいいのに…」と感じる方も多いのではないでしょうか。そんな願いを叶えるのが、『歯茎の審美歯科治療』という最新の治療法です。
この治療では、ただ差し歯を新しくするだけでなく、歯茎の位置や形を丁寧に整えます。歯茎の高さがずれていたり、不揃いだったりすると、せっかく新しい差し歯にしても笑顔に自信が持てません。そこで、神田ふくしま歯科では、歯茎の再生や整形を行い、歯茎のラインを美しく左右対称に整えます。
歯茎を美しく整えることで、前歯の見た目が劇的に改善され、自然で魅力的な笑顔を取り戻せます。まずは気軽に、経験豊富なドクターによる無料カウンセリングでご相談ください。あなたの理想の笑顔を実現するため、丁寧にお手伝いいたします。
無料カウンセリングのお問い合わせ
神田ふくしま歯科
東京都千代田区神田鍛冶町3−2−6F スターバックス上
JR神田駅北口より徒歩1分 (東京駅の隣の駅です。)
0120−25−1839
03-3251-3921
― 歯茎のラインまで整える「歯茎の審美歯科」とは ―
A. はい。歯茎の位置まで整えなければ、本当の美しさは得られません。
従来の審美歯科では、古い差し歯を新しいセラミックに交換するだけの治療が一般的でした。
しかし、それでは「歯の位置や大きさ」が左右で不揃いになり、せっかくのセラミックでも自然な笑顔に見えないことがあります。
最新の審美歯科では、**歯茎の位置や形も整える“歯茎の審美歯科治療”**を行います。
歯茎の再生や整形を加えることで、歯と歯茎のバランスを左右対称にし、より自然で美しい仕上がりを実現します。
A. 歯茎の再生治療と整形治療を組み合わせて、歯の見た目を整える方法です。
歯並びが悪い場合、歯だけでなく歯茎の位置も不揃いになります。
そのため、歯茎を整えずに差し歯を入れると、歯の長さが左右で違って見え、不自然な印象になることがあります。
当院では以下のような治療を組み合わせて行います:
歯茎が下がっている部分 → 歯茎の再生治療で回復
歯茎が多い(高い)部分 → 歯茎の整形でバランスを調整
このように歯茎の高さを整えることで、歯の長さを左右対称にし、歯並び全体の調和を整えます。
また、かみ合わせの問題がある場合には、部分矯正などを併用することも可能です。
📸 実際の症例では、歯茎の整形によって前歯のラインが揃い、自然な笑顔を取り戻した方も多くいらっしゃいます。
A. 歯茎の整形・審美歯科治療は保険外診療となります。
💰 費用の目安
歯茎の整形:33,000円(税込)
オールセラミック治療:66,000円〜165,000円(税込)/本
ファイバーコア(土台):22,000円(税込)
⚠️ 注意点・リスク
外科処置を伴うため、軽度の腫れや痛み、出血を伴う場合があります。
神経の近い歯を治療する際は、知覚過敏や痛みが一時的に出ることがあります。
セラミックの色味は天然歯に非常に近いですが、完全に同一ではありません。
治療前に十分なカウンセリングを行い、理想の仕上がりに近づけるために技工士と連携して色・形を調整します。
📞 無料カウンセリングのご案内
「歯茎のラインを整えたい」「前歯を自然で美しくしたい」方は、
神田ふくしま歯科の無料カウンセリングへお越しください。
ドクターがあなたの歯茎と歯並びを丁寧に診断し、理想の口元を実現する最適な治療プランをご提案します。
神田ふくしま歯科
東京都千代田区神田鍛冶町3−2−6F(スターバックス上)
📞 0120-25-1839 / 03-3251-3921
JR神田駅北口より徒歩1分(東京駅の隣の駅です)
オールセラミックを入れるだけでは歯並びの美しさは不十分。
歯茎の再生・整形を組み合わせることで、左右対称で自然な歯並びに。
見た目の美しさだけでなく、歯茎と歯の健康を長期的に守ることが可能。
「歯をきれいにしたい」から「笑顔全体を美しく整えたい」へ。
歯茎まで考えた審美歯科治療で、自信の持てる口元を手に入れましょう。
あなたの前歯の長さは気に入っていますか?
歯茎が退縮して歯の長さが長くなってしまった場合の審美歯科治療をご紹介します。
例えばこんなお悩みの相談を受けることがあります。
前歯の歯茎が、年齢とともに退縮してきますが、歯茎の下がるスピードには個人差がありますし、歯茎にかかる強い歯ブラシや炎症・矯正・歯ぎしりなどのストレスによっても歯茎が退縮してきます。
歯周病の炎症が進行していないのであれば歯茎の再生治療で回復させることができる場合がほとんどです。

治療前の状態
年々前歯の歯茎が退縮してきたということで、前歯の長さを気にされてご来院されました。
歯の神経が死んでしまっていることもあり、歯茎の再生治療とオールセラミック 法にて前歯の見た目を改善しました。

治療後の状態
歯茎の位置が回復し、歯の大きさを小さくすることができました。また、オールセラミック で自然な感じの色に見た目が改善しました。
当院では、エコノミータイプと言っている比較的リーズナブルな料金のオールセラミック で治療しております。料金は1本6万円(税別)かかりました。
~審美歯科治療の注意点~
審美歯科治療は保険外診療となります。オールセラミック で歯並びなどを治す場合、オールセラミック の種類によって当院では1本6万6千円(税込)~16万5千円(税込)のセラミックを選んでいただいております。また、神経のない歯はオールセラミック とは別にファイバーコア(税込2万2千円)という歯の土台の料金がかかる場合があります。
料金に関しましては、1本あたりの標準的な料金となります。多数の歯を治す場合は、本数分の治療費がかかります。
審美歯科治療では、歯の大きさや形の修正、歯の変色の改善、歯並びの改善を目的にオールセラミック などの材料を使用しております。リスク等もございますのでご確認ください。歯茎の位置を改善するために歯茎の再生・整形を行う場合は別途料金がかかります。
また、審美歯科で歯並びを治す場合のリスクとしては、歯の神経を取らないとしみてしまったり、お痛みが出てしまう場合があります。痛みの症状が出た場合は歯の神経を取り除く必要がある場合があります。また、オールセラミック の色合いはかなり天然の歯に近いものになりますが、完全に同じものではありません。
あなたは今、ご自分の前歯の長さに満足されていますか?
今回は、歯茎が下がって歯の長さが長くなってしまった方のための、審美歯科治療についてご紹介します。
当院では、例えば以下のようなお悩みのご相談をよくお受けします。
最近、前歯の歯茎が特に下がり、歯が長く見えるようになってしまった。
差し歯の周囲の歯茎が退縮し、歯の根元が黒く目立ってきて気になる。
歯列矯正をした後、徐々に歯茎が下がって前歯が長くなってしまった。
前歯の歯茎は、加齢とともに徐々に退縮しますが、その進行スピードには個人差があります。また、歯磨きの際に歯ブラシで強く擦りすぎたり、歯茎の炎症、矯正治療による負担、歯ぎしりなど、さまざまなストレスによっても歯茎の退縮が進むことがあります。
こうした歯茎の退縮は、歯周病が進行していなければ、ほとんどの場合「歯茎の再生治療」によって美しく回復させることが可能です。
神田ふくしま歯科では、経験豊富なドクターによる無料カウンセリングを実施しています。歯茎の退縮や審美的なお悩みがある方は、ぜひお気軽にご相談ください。
無料カウンセリングのお問い合わせ
神田ふくしま歯科
東京都千代田区神田鍛冶町3−2−6F スターバックス上
JR神田駅北口より徒歩1分 (東京駅の隣の駅です。)
0120−25−1839
03-3251-3921
― 歯茎の再生治療で自然な笑顔を取り戻す ―
A. 前歯が長く見える原因の多くは、**歯茎の退縮(下がり)**によるものです。
加齢による自然な変化のほかにも、
✅ 強すぎるブラッシング
✅ 歯茎の炎症や歯周病
✅ 矯正治療後の歯への負担
✅ 歯ぎしりや噛みしめによるストレス
といった要因で歯茎が徐々に下がってしまうことがあります。
歯茎が退縮すると、歯が実際より長く見えるだけでなく、差し歯の根元が黒く目立つなど、見た目のバランスにも影響が出てしまいます。
A. はい。歯周病が進行していなければ、歯茎の再生治療で回復が可能です。
歯茎の再生治療では、歯茎を移植して失われた部分を補い、歯の根元を再び覆うことで、自然な歯の長さを取り戻します。
📌 治療例
治療前:前歯の歯茎が下がり、歯が長く見える状態。
治療後:歯茎の位置が回復し、歯の長さが整い、自然で健康的な見た目に改善。
さらに、オールセラミック治療を組み合わせることで、歯の色味や質感も自然に整えることができます。
当院では、エコノミータイプのオールセラミックを使用し、**1本66,000円(税込)〜**で治療が可能です。
A. 次のような方におすすめです。
✅ 「最近、前歯の歯茎が下がって歯が長く見える」
✅ 「差し歯の根元が黒く見えて気になる」
✅ 「矯正後に歯茎が下がってきた」
✅ 「自然な笑顔を取り戻したい」
歯茎の退縮が軽度のうちに治療を行えば、より高い効果が期待できます。
🦷 歯茎の再生治療の費用(自由診療)
・歯茎の再生治療:1〜3本あたり 77,000円(税込)
・オールセラミック治療:1本あたり 66,000円〜165,000円(税込)
※状態により費用・治療回数は異なります。
📍 無料カウンセリング・お問い合わせ
神田ふくしま歯科
東京都千代田区神田鍛冶町3−2−6F(スターバックス上)
📞 0120-25-1839 / 03-3251-3921
JR神田駅北口より徒歩1分(東京駅の隣の駅です)
🦷 まとめ
前歯の歯茎が下がると、見た目の印象が大きく変わってしまいます。
しかし、歯茎の再生治療によって歯茎を元の位置に戻すことで、
歯の長さを自然に整え、美しい笑顔を取り戻すことができます。
「前歯の長さや歯茎の見た目が気になる…」という方は、
ぜひ無料カウンセリングでお気軽にご相談ください。
歯の大きさを小さくしたいと言う方の中には歯茎が下がってしまったために歯の大きさが大きく見えてしまう場合があります.歯茎が下がってしまう事は、矯正治療を行った方でよく見かけます.
こういった場合は歯を削って小さくするよりも下がった歯茎を回復させて歯を小さくする歯ぐきの再生治療をお勧めしております.
~歯茎の再生治療の注意~
お写真や治療法のご説明の内容を掲載する際には、料金や治療のリスクを表示することになっております。治療を検討される際には、注意も合わせてご確認ください。
歯茎の再生治療は保険外診療となります。当院では、歯茎の再生治療1~3本で7万7千円(税込)かかります。また、術後は歯ブラシができないため、病院で消毒・クリーニングを行います。消毒も保険外となりますので、1回の消毒・クリーニングに¥5,500−(税込)の費用がかかります。通常4回の消毒にお越しいただいております。
歯茎が下がって歯の根っ子が露出しているケースのように歯茎の炎症がなく、歯と歯の間の骨が吸収していないケースに関しては、露出した歯の根っこを覆えることが報告されています。歯周病が進行したケースなど歯を支える骨の吸収したケースでは、歯茎が回復しない場合もあります。
n 歯茎の再生治療のリスクと対策
歯茎の再生治療は外科的な治療ですので、治療後に糸でしっかりと縫う必要があります。尖ったものが刺さってしまったりして歯茎が開くと出血してしまうリスクがあります。また、術後に腫れや痛みが出ることがあります。そのため、当院では、出血予防止血対策にに止血用マウスピースをお渡ししております。また、術後の注意を守っていただいております。
歯茎の再生治療は、歯周病の進行具合や感染の状況によって回復できる歯茎の位置が変わります。ご希望の位置まで歯茎が必ず回復する治療ではありません。当院では、審美的な回復のための方法も行っておりますので併せて紹介しております。
「最近、歯が大きくなった気がする…歯を小さくしたい」と感じることはありませんか?
実は、歯が大きくなったように見える原因が、「歯茎の退縮(歯茎が下がること)」であることも少なくありません。特に矯正治療を受けた方は、歯茎が下がりやすい傾向があります。その結果、歯の根元が露出し、歯が以前より大きく見えてしまうのです。
こういった場合、多くの方は「歯を削って小さくしよう」と考えがちです。しかし、本当に必要なのは「歯茎を元の位置まで回復させる」ことです。
神田ふくしま歯科では、下がってしまった歯茎を元の健康な状態に戻す『歯茎の再生治療』をおすすめしています。歯茎が回復することで、自然に歯のサイズが小さく見えるようになり、審美的にも健康的にも理想的な結果を得ることができます。
当院では、経験豊富なドクターが無料カウンセリングを行っております。「歯の大きさが気になる」「矯正後に歯茎が下がって困っている」などのお悩みをお持ちの方は、ぜひお気軽にご相談ください。あなたに最適な治療方法をご提案いたします。
無料カウンセリングのお問い合わせ
神田ふくしま歯科
東京都千代田区神田鍛冶町3−2−6F スターバックス上
JR神田駅北口より徒歩1分 (東京駅の隣の駅です。)
0120−25−1839
03-3251-3921
― 実は「歯茎の再生治療」で自然に小さく見せられます ―
A. いいえ、歯を削らなくても“歯茎の再生治療”で短く見せることができます。
ある患者さまがこう相談されました。
「鏡を見るたびに歯が長く見えて、笑うのが気になるんです…。歯を削らないとダメですか?」
実際には、歯が伸びたわけではなく、歯茎が下がって歯が長く見えているだけというケースが多いです。
特に、矯正治療をされた方や歯茎が薄い方に起こりやすくなっています。
こうした場合、歯を削るのではなく、**下がった歯茎を元の位置に戻す「歯茎の再生治療」**を行うことで、
自然に歯が小さく見えるようになります。
A. ご自身の組織を使って歯茎を回復させる、安全で自然な治療法です。
歯茎の再生治療では、歯の根が見えてしまっている部分に、ご自身の皮膚の一部を移植します。
これにより、下がった歯茎を回復させ、健康で美しいラインを取り戻すことができます。
治療は短期間で完了します。
多くのケースでは約1ヶ月ほどで歯茎が安定し、自然で調和のとれた見た目になります。
もちろん、歯を削る必要はありません。
A. はい。**歯茎の再生治療は“歯の長さを根本から整える治療”**です。
セラミック治療は歯の形や色を変えることはできますが、歯茎が下がっているままでは、
せっかくの美しいセラミックも“長い歯”に見えてしまいます。
一方、歯茎の再生治療は歯の見た目を歯茎側から整えるため、
より自然で若々しい印象に仕上がります。
A. 歯を削らずに見た目が改善でき、短期間で結果が出ます。
歯茎の再生治療には次のようなメリットがあります:
✅ 歯を削る必要がない
✅ 矯正治療のような長期間の通院が不要(約1ヶ月で完了)
✅ 自然で健康的な歯茎ラインを再生
✅ 審美的にも機能的にも改善
A. 当院では、**1〜3本で7万7千円(税込)**です。
外科的な処置のため、治療後に腫れや痛み、出血が起こる場合があります。
ただし、当院では止血用マウスピースを使用し、丁寧なアフターケアを行っております。
また、歯周病が進行しているケースでは、回復できる歯茎の位置に限界がある場合もあります。
📍 無料カウンセリング・お問い合わせ
神田ふくしま歯科
東京都千代田区神田鍛冶町3−2−6F(スターバックス上)
📞 0120-25-1839 / 03-3251-3921
JR神田駅北口より徒歩1分(東京駅の隣の駅です)
💡 歯を削らずに美しく見せるポイント
歯茎が下がっている原因を正しく診断
歯茎を再生して歯のバランスを整える
セラミック治療を組み合わせて理想の仕上がりに
「歯が長く見えて気になるけど、削るのは嫌…」
そんな方にこそ、歯茎の再生治療が最適です。
神田ふくしま歯科では、歯茎の健康と見た目の美しさを両立させる治療を行っています。
あなたの笑顔を、より自然で調和のとれたものに。
まずはお気軽にご相談ください。
歯茎が黒ずんでしまっていることはありませんか?
歯茎が黒ずんでしまう原因はいろいろあります。今回は金属が歯茎の中に入ってしまい、歯茎が黒くなってしまった場合の治療方法のご説明をいたします。

治療をした歯の歯茎だけが黒い場合、金属の土台を削った時にでる金属の粉が歯茎の中に入って変色の原因となっていることが多いです.
このようなケースでは、メラニン色素とはちがい、歯茎の表面を処置しても効果があまりありません.
顕微鏡で歯茎の中を開いて確認しながら金属片を取り除いていきます.こうした歯茎はしっかりとはくっついてないのであまりお痛みなく歯茎をめくることもできます.
完全に取り除くのは難しいので何度か繰り返すこともございます.
そのほかの歯茎の黒ずみに関しましては下記のリンクページに詳しい内容を記載させていただいております。クリックしてご覧ください。
歯茎の黒ずみの治療に関するページ
歯茎の黒ずみの治療をご希望の方は、まずは無料カウンセリングにお越し下さい。ただいま無料カウンセリングを行っていますので、治療方法、治療期間のご説明、お見積もりのお渡しを行います。
無料カウンセリングのお問い合わせ
神田ふくしま歯科
東京都千代田区神田鍛冶町3−2−6F スターバックス上
JR神田駅北口より徒歩1分 (東京駅の隣の駅です。)
0120−25−1839
03-3251-3921
~歯茎の黒ずみの治療の注意~
歯茎の再生治療で、歯茎の黒くなってしまっている歯茎をきれいな歯茎と入れ替えます。
歯茎の再生治療は保険外診療となります。当院では、歯茎の再生治療1~3本で7万7千円(税込)かかります。合わせて、審美歯科治療でオールセラミック 治療を行う場合は別途6万6千円〜16万5千円(税込)の料金がかかります。
リスク
外科的な治療ですので、治療後に糸でしっかりと縫う必要があります。尖ったものが刺さってしまったりして歯茎が開くと出血してしまうリスクがあります。
歯茎の再生治療は、歯周病の進行具合や感染の状況によって回復できる歯茎の位置が変わります。ご希望の位置まで歯茎が必ず回復する治療ではありません。
~歯茎の黒ずみでお悩みの方へ~
「歯茎が黒ずんでしまって気になる」というお悩みを抱えている方は少なくありません。歯茎が黒くなる原因はいくつかありますが、特に多いのが治療の際に金属の粉が歯茎の中に入り込み、歯茎が変色してしまうケースです。
歯科治療で金属の土台や被せ物を調整する際、削った金属片が歯茎に入り込むことがあります。こうした金属片が原因で黒ずんでしまった歯茎は、表面的なクリーニングや一般的なメラニン色素除去では効果があまりありません。
神田ふくしま歯科では、このような場合に専門的な治療を行っています。顕微鏡を使用して歯茎を慎重にめくり、中に入り込んだ金属片を丁寧に取り除いていきます。通常、このような歯茎は完全に密着していないため、痛みを感じることなく処置を行うことが可能です。
ただし、金属片を完全に取り除くことは難しい場合もあるため、状況によっては何度か治療を繰り返す必要があります。
歯茎の黒ずみでお悩みの方は、ぜひ一度神田ふくしま歯科の経験豊富なドクターによる無料カウンセリングをご利用ください。お口の状態を詳しく診断し、最適な治療プランをご提案いたします。美しく健康的な歯茎を取り戻すために、ぜひお気軽にご相談ください。
無料カウンセリングのお問い合わせ
神田ふくしま歯科
東京都千代田区神田鍛冶町3−2−6F スターバックス上
JR神田駅北口より徒歩1分 (東京駅の隣の駅です。)
0120−25−1839
03-3251-3921
― 金属が原因の黒ずみを根本から改善する方法 ―
A. 実は、歯の治療で使われた金属が原因になっていることがあります。
ある患者さまは、「前歯の歯茎だけ黒ずんでいて気になる」と相談に来られました。
調べてみると、以前の治療で削った金属の微細な粉が歯茎の中に入り込み、
時間が経つにつれて黒く変色していたのです。
このような金属片による黒ずみは、メラニン色素による黒ずみと異なり、
歯茎の表面をレーザーなどで処置しても効果が出にくいのが特徴です。
黒ずみを根本から取り除くには、歯茎の内部に入り込んだ金属を見極めて除去する、
専門的な処置が必要になります。
A. 顕微鏡で確認しながら、歯茎の中の金属片を丁寧に取り除く治療を行います。
神田ふくしま歯科では、拡大顕微鏡を使用して歯茎の内部を確認しながら、
入り込んだ金属片を一つひとつ丁寧に除去していきます。
金属が入り込んだ部分の歯茎は、炎症でわずかに浮いていることが多く、
処置の際に強い痛みを感じることはほとんどありません。
ただし、金属片を完全に取り除くのが難しい場合もあるため、
必要に応じて数回に分けて処置を行うこともあります。
実際に治療を受けた患者さまからは、
「歯茎の黒ずみがだんだん薄くなり、気にならなくなった」
「笑ったときの印象が明るくなった」と喜びの声をいただいています。
A. 歯茎の黒ずみの程度に応じて、歯茎の再生治療を併用することもあります。
歯茎の内部に金属片が深く入り込んでいる場合は、
再生治療によって黒ずんだ部分を健康な歯茎に入れ替える方法を取ることもあります。
費用の目安は以下の通りです:
歯茎の再生治療(1〜3本):77,000円(税込)
オールセラミック治療を併用する場合:66,000〜165,000円(税込)
この治療により、歯茎の色が均一になり、差し歯の境目も自然に馴染みます。
痛みや腫れを最小限に抑えるため、当院では**マイクロサージェリー(顕微鏡手術)**を採用しています。
治療前には必ず無料カウンセリングで歯茎の状態を確認し、
最適な治療法と費用の目安をご案内しております。
📍 無料カウンセリング・お問い合わせ
神田ふくしま歯科
東京都千代田区神田鍛冶町3−2−6F(スターバックス上)
JR神田駅北口より徒歩1分
📞 0120-25-1839
📞 03-3251-3921
💡 「歯茎の黒ずみは治らない」と思っていませんか?
金属による黒ずみは、正しい処置を行えばきれいな歯茎を取り戻すことができます。
「前歯の歯茎だけ黒い」「差し歯の周りが黒ずんでいる」
そんなお悩みをお持ちの方は、ぜひ神田ふくしま歯科へご相談ください。
経験豊富なドクターがあなたの歯茎を丁寧に診断し、
健康で自然な色合いの歯茎を取り戻すお手伝いをいたします。
あなたのブリッジの差し歯は、歯を抜いた部分が長くなってしまっていませんか?
歯を抜いた後に歯茎の処置をしっかりとしないと長い歯のブリッジとなってしまいます。

前歯のブリッジの部分ですが、歯を抜いた部分が長くなってしまって見た目に良くない状態になってしまっています。
審美歯科では歯茎を調整することできれいな見た目とすることが可能です。

新しい仮歯を入れた状態で歯茎の調整を行いました。歯の大きさのバランスが良くなって見た目が改善されています。
歯茎が落ち着き次第仮歯をオールセラミックブリッジに交換していきます。
このケースでは歯茎の調整を歯茎の再生治療にて行っております。
歯茎の再生治療に関しましては下記のリンクページに詳しい内容を記載させていただいております。クリックしてご覧ください。
歯茎の再生治療のページ
また、オールセラミックブリッジを歯茎の再生治療や審美歯科治療で行うことを希望される方は無料カウンセリングを行っております。治療方法のご説明、とお見積もりのお渡しをいたします。お口の状況によって治療方法や料金が異なりますのでまずは無料カウンセリングにお越しいただいております。
無料カウンセリングお問い合わせ
神田ふくしま歯科
東京都千代田区神田鍛冶町3-2-6F スターバックス上
JR神田駅北口より徒歩1分 (東京駅の隣の駅です。)
0120-25-1839
03-3251-3921
審美歯科の注意
・料金と選択方法
オールセラミック治療は保険外診療となります。オールセラミックの種類によって1本66,000円(税込)~165,000円(税込)の料金がかかります。また、神経のない歯はオールセラミックとは別にファイバーコアという歯の土台の料金22,000円(税込)がかかる場合があります。当院では、患者さんのニーズに合わせてセラミックの種類を選択できるように強度重視・自然さを重視などセラミックの特色に合わせて対応させていただいております。料金に関しましては、1本あたりの標準的な料金となります。多数の歯を治す場合は、本数分の治療費がかかります。
・リスクと対策
オールセラミックの色合いはかなり天然の歯に近いものになりますが、完全に同じものではありません。当院ではご希望に合わせて高精度の写真や技工士さんの立ち合いなどこだわったオーダーメイドセラミックを作製することも可能です。
審美歯科治療では、歯の大きさや形の修正、歯の変色の改善、歯並びの改善を目的にオールセラミック などの材料を使用しております。リスク等もございますのでご確認ください。歯茎の位置を改善するために歯茎の再生・整形を行う場合は別途料金がかかります。
また、セラミック治療をする場合、歯を削る必要があります。治療後に知覚過敏を起こすことがあります。当院では神経のある歯を削った後はコーティング剤を塗布し、処置後しばらくは熱いものや冷たいものなどの刺激物を取らないよう気を付けていただいております。
~歯茎の再生治療の注意~
お写真や治療法のご説明の内容を掲載する際には、料金や治療のリスクを表示することになっております。治療を検討される際には、注意も合わせてご確認ください。
歯茎の再生治療は保険外診療となります。当院では、歯茎の再生治療1~3本で7万7千円(税込)かかります。また、術後は歯ブラシができないため、病院で消毒・クリーニングを行います。消毒も保険外となりますので、1回の消毒・クリーニングに¥5,500−(税込)の費用がかかります。通常4回の消毒にお越しいただいております。
歯茎が下がって歯の根っ子が露出しているケースのように歯茎の炎症がなく、歯と歯の間の骨が吸収していないケースに関しては、露出した歯の根っこを覆えることが報告されています。歯周病が進行したケースなど歯を支える骨の吸収したケースでは、歯茎が回復しない場合もあります。
n 歯茎の再生治療のリスクと対策
歯茎の再生治療は外科的な治療ですので、治療後に糸でしっかりと縫う必要があります。尖ったものが刺さってしまったりして歯茎が開くと出血してしまうリスクがあります。また、術後に腫れや痛みが出ることがあります。そのため、当院では、出血予防止血対策にに止血用マウスピースをお渡ししております。また、術後の注意を守っていただいております。
歯茎の再生治療は、歯周病の進行具合や感染の状況によって回復できる歯茎の位置が変わります。ご希望の位置まで歯茎が必ず回復する治療ではありません。当院では、審美的な回復のための方法も行っておりますので併せて紹介しております。
~ブリッジの差し歯が長くなってお悩みの方へ~
「ブリッジの差し歯が長すぎて違和感がある…」と感じていませんか?これは、歯を抜いた後に歯茎の処置が不十分だと起こりやすい問題です。歯を抜いた後の歯茎が下がってしまうと、差し歯を入れた部分が長く見えてしまいます。
神田ふくしま歯科では、このような問題を解決するために、歯茎の再生治療を行っています。歯茎の再生治療を施すことで歯茎の高さを回復し、自然で美しい長さの差し歯を入れることが可能になります。
経験豊富なドクターが無料カウンセリングを実施しておりますので、「ブリッジが不自然に長く見える」「歯茎が下がってきて気になる」とお悩みの方は、ぜひお気軽にご相談ください。一人ひとりに合わせた最適な治療方法をご提案いたします。
無料カウンセリングのお問い合わせ
神田ふくしま歯科
東京都千代田区神田鍛冶町3−2−6F スターバックス上
JR神田駅北口より徒歩1分 (東京駅の隣の駅です。)
0120−25−1839
03-3251-3921
― 歯茎のくぼみを回復して自然な見た目を取り戻す方法 ―
A. 実は、それは歯を抜いた後の歯茎のくぼみが原因かもしれません。
ある患者さまは、「前歯のブリッジが長すぎて笑うと不自然に見える」と悩んで来院されました。
よく見ると、歯を抜いた部分の歯茎が下がっており、歯の根元がくぼんでいたのです。
歯を抜いた後、そのままブリッジを作ると、歯茎のボリュームが失われて長い歯に見えることがあります。
これはブリッジ自体の問題ではなく、歯茎の形を整えなかったことが原因です。
神田ふくしま歯科では、このようなケースで歯茎の再生治療を行い、歯茎の高さと厚みを回復させてからブリッジを作製します。
その結果、歯の長さが自然に見え、全体のバランスも美しく整います。
A. 歯茎の再生治療は、失われた歯茎を元の自然な形に戻す処置です。
再生治療では、歯茎の薄くなった部分に自分の歯茎の組織を移植し、健康で厚みのある歯茎を再生させます。
当院では、マイクロメスを使用して細かく丁寧に施術を行うため、傷跡も目立たず仕上がりがきれいです。
実際に治療を受けた患者さまも、「治療中の痛みはほとんどなかった」「腫れも少なかった」と安心されています。
再生治療を行うことで、歯茎のラインが自然に整い、ブリッジの長さや形の不自然さを改善することが可能です。
また、治療後は仮歯を装着し、歯茎が安定するまでの期間も快適に過ごしていただけます。
その間に歯の色や形を確認し、最終的なオールセラミックブリッジを製作します。
A. 治療の内容によって異なりますが、歯茎が落ち着くまでにおよそ3ヶ月前後かかります。
費用の目安は以下の通りです:
歯茎の再生治療(1〜3本)…… 77,000円(税込)
オールセラミックブリッジ(1本あたり)…… 66,000〜165,000円(税込)
治療の本数やお口の状態によって費用は変動します。
まずは無料カウンセリングでお口の状態を診させていただき、治療プランとお見積もりをお渡ししています。
📍 無料カウンセリング・お問い合わせ
神田ふくしま歯科
東京都千代田区神田鍛冶町3−2−6F(スターバックス上)
JR神田駅北口より徒歩1分
📞 0120-25-1839
📞 03-3251-3921
💡 「ブリッジの見た目をあきらめないでください」
歯を抜いた後に歯茎の処置を行うことで、ブリッジの仕上がりは格段に変わります。
神田ふくしま歯科では、
「歯茎がくぼんでブリッジが長く見える」
「差し歯との境界が目立ってしまう」
といったお悩みに対して、歯茎の再生治療+審美歯科治療で自然な口元を取り戻すお手伝いをしています。
まずはお気軽に、無料カウンセリングでご相談ください。
あなたの笑顔をもう一度、美しく整える方法をご提案します。
差し歯を何年も前に入れた場合、周りの歯が長くなるのに合わせて長い差し歯になってきていませんか?
当院では、多くの審美歯科で難しい・できないと言われて、治せる病院を探されていた患者様の差し歯の長さを短くする治療でご好評いただいております。
長い差し歯の治療を希望されている方は、こちらをご覧ください。

前歯の差し歯が長くなってしまっています。
前歯を含めて歯茎が下がってしまったのが原因で、差し歯の長さが長くなってしまったということです。審美歯科治療した医院ではこれ以上直せないと断られてしまったようです。
当院では、こう言った長くなってしまった差し歯の長さを短くすることを行っております。差し歯の長さを短くする審美歯科治療は、ご存じない方も多いようです。
また、多くの審美歯科の病院で差し歯の長さを短くすることができないため、かなり検索して当院を探し当てていらっしゃることが多いようです。

前歯の歯茎を回復した上で、差し歯をエコノミータイプのオールセラミックで治療しております。差し歯の長さも短くすることができました。
差し歯の長さが長くてお困りの方は、ただいま無料カウンセリングを行っておりますので、この機会にご利用ください。
審美歯科の注意
・料金と選択方法
オールセラミック治療は保険外診療となります。オールセラミックの種類によって1本66,000円(税込)~165,000円(税込)の料金がかかります。また、神経のない歯はオールセラミックとは別にファイバーコアという歯の土台の料金22,000円(税込)がかかる場合があります。当院では、患者さんのニーズに合わせてセラミックの種類を選択できるように強度重視・自然さを重視などセラミックの特色に合わせて対応させていただいております。料金に関しましては、1本あたりの標準的な料金となります。多数の歯を治す場合は、本数分の治療費がかかります。
・リスクと対策
オールセラミックの色合いはかなり天然の歯に近いものになりますが、完全に同じものではありません。当院ではご希望に合わせて高精度の写真や技工士さんの立ち合いなどこだわったオーダーメイドセラミックを作製することも可能です。
審美歯科治療では、歯の大きさや形の修正、歯の変色の改善、歯並びの改善を目的にオールセラミック などの材料を使用しております。リスク等もございますのでご確認ください。歯茎の位置を改善するために歯茎の再生・整形を行う場合は別途料金がかかります。
また、セラミック治療をする場合、歯を削る必要があります。治療後に知覚過敏を起こすことがあります。当院では神経のある歯を削った後はコーティング剤を塗布し、処置後しばらくは熱いものや冷たいものなどの刺激物を取らないよう気を付けていただいております。
~歯茎の再生治療の注意~
お写真や治療法のご説明の内容を掲載する際には、料金や治療のリスクを表示することになっております。治療を検討される際には、注意も合わせてご確認ください。
歯茎の再生治療は保険外診療となります。当院では、歯茎の再生治療1~3本で7万7千円(税込)かかります。また、術後は歯ブラシができないため、病院で消毒・クリーニングを行います。消毒も保険外となりますので、1回の消毒・クリーニングに¥5,500−(税込)の費用がかかります。通常4回の消毒にお越しいただいております。
歯茎が下がって歯の根っ子が露出しているケースのように歯茎の炎症がなく、歯と歯の間の骨が吸収していないケースに関しては、露出した歯の根っこを覆えることが報告されています。歯周病が進行したケースなど歯を支える骨の吸収したケースでは、歯茎が回復しない場合もあります。
n 歯茎の再生治療のリスクと対策
歯茎の再生治療は外科的な治療ですので、治療後に糸でしっかりと縫う必要があります。尖ったものが刺さってしまったりして歯茎が開くと出血してしまうリスクがあります。また、術後に腫れや痛みが出ることがあります。そのため、当院では、出血予防止血対策にに止血用マウスピースをお渡ししております。また、術後の注意を守っていただいております。
歯茎の再生治療は、歯周病の進行具合や感染の状況によって回復できる歯茎の位置が変わります。ご希望の位置まで歯茎が必ず回復する治療ではありません。当院では、審美的な回復のための方法も行っておりますので併せて紹介しております。
~差し歯が長くなって気になる方へ~
何年も前に入れた差し歯が、徐々に長く感じられるようになったという経験はありませんか?これは差し歯そのものが伸びているわけではなく、周りの歯茎が下がってしまい、結果的に差し歯が長く見えてしまっているのです。
多くの審美歯科医院では、このような差し歯の長さを調整するのが難しいとされることがありますが、神田ふくしま歯科では、差し歯の長さを短くする専門的な治療を行っています。他院で「治療が難しい」と言われてしまい、諦めていた患者様にもご好評をいただいております。
長くなった差し歯を自然な長さに調整することで、見た目の美しさと機能性を同時に回復させることが可能です。
神田ふくしま歯科では、経験豊富なドクターが無料カウンセリングを行っております。差し歯の長さが気になる方、他院で治療を断られてしまった方も、ぜひお気軽にご相談ください。最適な治療方法を丁寧にご説明いたします。
無料カウンセリングのお問い合わせ
神田ふくしま歯科
東京都千代田区神田鍛冶町3−2−6F スターバックス上
JR神田駅北口より徒歩1分 (東京駅の隣の駅です。)
0120−25−1839
03-3251-3921
A. 差し歯そのものが伸びたわけではありません。
実は、歯茎が下がったことが原因で、差し歯が長く見えてしまっているのです。
歯茎は加齢や歯周病、強いブラッシングなどの影響で少しずつ痩せていきます。
この歯茎の後退によって、差し歯の根元が露出し、結果的に歯が長く見えるようになってしまいます。
ある患者さまも、「昔作った前歯の差し歯がいつの間にか出っ歯っぽく見える」と悩まれて来院されました。
他院では「これ以上短くはできません」と言われてしまいましたが、原因は歯茎の位置にありました。
A. はい、歯茎の再生治療と審美歯科治療を組み合わせることで可能です。
当院では、歯茎を元の位置に回復させる「歯茎の再生治療」を行い、その上でオールセラミックの差し歯を自然な長さに仕上げます。
実際に、「他院で断られた長い差し歯を短くしたい」という患者さまの治療では、歯茎の再生を行い、オールセラミックで形を整えることで、見た目も機能も自然な口元に回復しました。
治療後には「ようやく自然な笑顔で話せるようになった」と喜ばれています。
A. 歯茎の再生治療と審美歯科治療はいずれも保険外診療です。
歯茎の再生治療:1〜3本で77,000円(税込)
オールセラミック治療:1本あたり66,000円〜165,000円(税込)
ファイバーコア(土台が必要な場合):22,000円(税込)
治療直後は軽い腫れや出血を伴うことがありますが、止血用マウスピースを使用し安全にケアします。
また、歯茎の再生範囲や骨の状態によって仕上がりが異なる場合があります。
📍 無料カウンセリング・お問い合わせ
神田ふくしま歯科
東京都千代田区神田鍛冶町3−2−6F(スターバックス上)
JR神田駅北口より徒歩1分(東京駅の隣の駅です)
📞 0120-25-1839
📞 03-3251-3921
💡 神田ふくしま歯科では、他院で「できない」と言われた長い差し歯の治療にも対応しています。
「昔の差し歯が長くて不自然に見える」「笑ったときの見た目を自然に戻したい」
そんな方は、ぜひ無料カウンセリングでご相談ください。
あなたの笑顔が再び自然に輝くよう、最適な治療方法をご提案いたします。

審美歯科の治療にいらっしゃる方の一つの理由に、昔の差し歯の境界のところが黒くなってしまったのを治したいという理由があります。
原因は歯茎がやせてしまったことにより、従来の差し歯の境界の部分が出てしまったためです。差し歯の境界は黒いのですが、歯茎の中に隠れるように歯を削っています。歯茎がやせることによって、境界の黒い部分が見えてしまいます。
審美歯科では、オールセラミックという境界が黒く見えにくいものを使用しているため、歯茎がさがっても目立ちにくくなっています。
従来の差し歯を治療されるのであれば、再治療は、オールセラミックで治されることをお勧めいたします。従来の差し歯では、しばらくするとまた歯茎が黒くなってしまうかもしれません。
歯茎の黒ずみの治療を希望される方は無料カウンセリングを行っておりますのでご利用ください.無料カウンセリングは御予約制となっておりますのでご予約をお取りになってからご来院ください.
~歯茎の黒ずみの治療の注意~
歯茎の再生治療で、歯茎の黒くなってしまっている歯茎をきれいな歯茎と入れ替えます。
歯茎の再生治療は保険外診療となります。当院では、歯茎の再生治療1~3本で7万7千円(税別)かかります。合わせて、審美歯科治療でオールセラミック 治療を行う場合は別途料金がかかります。
リスク
外科的な治療ですので、治療後に糸でしっかりと縫う必要があります。尖ったものが刺さってしまったりして歯茎が開くと出血してしまうリスクがあります。
歯茎の再生治療は、歯周病の進行具合や感染の状況によって回復できる歯茎の位置が変わります。ご希望の位置まで歯茎が必ず回復する治療ではありません。
~審美歯科治療の注意点~
審美歯科治療は保険外診療となります。オールセラミック で歯並びなどを治す場合、オールセラミック の種類によって当院では1本6万6千円(税込)~16万5千円(税込)のセラミックを選んでいただいております。また、神経のない歯はオールセラミック とは別にファイバーコア(税込2万2千円)という歯の土台の料金がかかる場合があります。
料金に関しましては、1本あたりの標準的な料金となります。多数の歯を治す場合は、本数分の治療費がかかります。
審美歯科治療では、歯の大きさや形の修正、歯の変色の改善、歯並びの改善を目的にオールセラミック などの材料を使用しております。リスク等もございますのでご確認ください。歯茎の位置を改善するために歯茎の再生・整形を行う場合は別途料金がかかります。
また、審美歯科で歯並びを治す場合のリスクとしては、歯の神経を取らないとしみてしまったり、お痛みが出てしまう場合があります。痛みの症状が出た場合は歯の神経を取り除く必要がある場合があります。また、オールセラミック の色合いはかなり天然の歯に近いものになりますが、完全に同じものではありません。
~差し歯の境目が黒くなってお悩みの方へ~
審美歯科治療を検討される方の多くが、「昔入れた差し歯の境目が黒くなって気になる」というお悩みを抱えていらっしゃいます。
差し歯の境目が黒く見える主な原因は、年齢や歯周病などにより歯茎がやせてしまい、本来歯茎に隠れているはずの差し歯の境界線が露出するためです。従来の差し歯には金属を使っていることが多く、この金属部分が歯茎の下に隠れるよう設計されています。しかし、歯茎が下がると金属部分が表に出てしまい、黒く見えてしまいます。
神田ふくしま歯科では、このような問題を解決するために、オールセラミックという素材をおすすめしています。オールセラミックは金属を使用していないため、境目が黒く見えにくく、歯茎が下がったとしても目立ちにくいのが特徴です。
従来の差し歯が黒く見えて気になる方は、再治療の際にオールセラミックに変更されることを強くお勧めします。従来の差し歯では、時間が経つと再び境目が黒く見えてしまう可能性が高いですが、オールセラミックなら長期間にわたり美しい見た目を保つことができます。
神田ふくしま歯科では、経験豊富なドクターによる無料カウンセリングを行っています。差し歯の再治療やオールセラミックについてご不安や疑問がある方は、ぜひお気軽にご相談ください。あなたに最適な治療法をご提案いたします。
無料カウンセリングお問い合わせ
神田ふくしま歯科
東京都千代田区神田鍛冶町3-2-6F
0120-25-1839
03-3251-3921
A. 差し歯の境目が黒く見える原因は、歯茎がやせてしまったことにあります。
昔の差し歯(メタルボンド)は、内側に金属を使用しており、歯と歯茎の境目の部分に黒い金属が存在しています。
本来はその部分が歯茎の中に隠れているため目立ちませんが、加齢や歯周病などによって歯茎が下がると、金属部分が露出して黒く見えてしまうのです。
ある患者さまも「せっかく綺麗に治したのに、年々差し歯の根元が黒ずんで見えてきた」と悩まれていました。
このような黒ずみは、残念ながら自然には消えません。
A. はい。オールセラミック治療によって自然で美しい歯を取り戻すことができます。
オールセラミックは金属を一切使用しない素材で、光の透過性が高く、天然の歯のように自然な色味と透明感を再現できます。
また、金属を使わないため、歯茎が下がっても黒い境目が見えにくいのが大きなメリットです。
さらに、歯茎そのものが下がっている場合には、歯茎の再生治療を合わせて行うことで、歯茎のラインを整え、より美しい口元を取り戻すことが可能です。
実際に、当院で治療を受けた患者さまの中には、「笑っても黒ずみが見えなくなって本当に嬉しい」と笑顔を取り戻された方が多くいらっしゃいます。
A. オールセラミックと歯茎の再生治療はいずれも保険外診療です。
歯茎の再生治療:1〜3本で77,000円(税込)
オールセラミック治療:1本あたり66,000円〜165,000円(税込)
治療後は外科的な処置を行うため、歯茎に軽い腫れや出血が出る場合がありますが、止血用マウスピースを使用して出血を防ぎます。
また、歯茎や骨の状態によっては回復の範囲が異なる場合もあります。
📍 無料カウンセリング・お問い合わせ
神田ふくしま歯科
東京都千代田区神田鍛冶町3−2−6F(スターバックス上)
JR神田駅北口より徒歩1分(東京駅の隣の駅です)
📞 0120-25-1839
📞 03-3251-3921
💡 神田ふくしま歯科では、歯茎の再生とオールセラミックを組み合わせた「黒ずみを根本から改善する治療」を行っています。
「昔の差し歯の黒い部分が気になる」「自然で綺麗な口元を取り戻したい」という方は、ぜひ一度無料カウンセリングでご相談ください。
審美歯科で治療をお考えの方の中には、一度入れたセラミックの歯の形や並びが気になってやり直したいという方がいらっしゃいます。
歯の形の修正を仮歯にて行います。
お好みの形になるように仮歯の段階で修正していきます。
仮歯の形の修正に関しましては、治療プランによって異なります。仮歯の形をしっかりと確認してから治療を行いたい方は、何度か仮歯を直すことになります。通常典型的な形を使用しますが、ご本人の希望による細かいオーダーは別途料金がかかる場合があります。歯の形に関するご希望がある場合は1回目の仮歯を入れた段階でご相談ください。
仮歯のページ
歯の色と形が左右で違います
歯茎がやせてきています。
今回はその部分も直すご希望です。
仮歯で左右の大きさを合わせていきます。
仮歯で歯の幅を修正していきます。
~審美歯科治療の注意点~
審美歯科治療は保険外診療となります。オールセラミック で歯並びなどを治す場合、オールセラミック の種類によって当院では1本6万6千円(税込)~16万5千円(税込)のセラミックを選んでいただいております。また、神経のない歯はオールセラミック とは別にファイバーコア(税込2万2千円)という歯の土台の料金がかかる場合があります。
料金に関しましては、1本あたりの標準的な料金となります。多数の歯を治す場合は、本数分の治療費がかかります。
審美歯科治療では、歯の大きさや形の修正、歯の変色の改善、歯並びの改善を目的にオールセラミック などの材料を使用しております。リスク等もございますのでご確認ください。歯茎の位置を改善するために歯茎の再生・整形を行う場合は別途料金がかかります。
また、審美歯科で歯並びを治す場合のリスクとしては、歯の神経を取らないとしみてしまったり、お痛みが出てしまう場合があります。痛みの症状が出た場合は歯の神経を取り除く必要がある場合があります。また、オールセラミック の色合いはかなり天然の歯に近いものになりますが、完全に同じものではありません。
無料カウンセリングのお問い合わせ
神田ふくしま歯科
東京都千代田区神田鍛冶町3−2−6F スターバックス上
JR神田駅北口より徒歩1分 (東京駅の隣の駅です。)
0120−25−1839
03-3251-3921
A. そのように感じてご相談に来られる方は多くいらっしゃいます。
審美歯科治療では、セラミックを入れる前の“仮歯”の段階で形や大きさを微調整することがとても重要です。
実際、当院でも「もう少し歯を短くしたい」「左右のバランスを整えたい」といったご希望を、仮歯の段階で細かく修正しながら理想の形を完成させています。
A. いいえ、仮歯は“完成形のシミュレーション”のような大切なステップです。
仮歯を入れることで、見た目のバランス・発音・噛み合わせ・歯茎との調和を確認できます。
「自分の笑顔に合っているか」「歯の形が自然か」など、実際の生活の中で感じる違和感を見つけて修正できるのが仮歯の役割です。
たとえば、左右の歯の大きさが微妙に違う方の場合、仮歯で歯の幅を調整しながらバランスを整えていきます。
このプロセスを丁寧に行うことで、最終的に“違和感のない美しい歯”に仕上がります。
A. 修正回数は治療プランによって異なりますが、理想の形を追求したい方は複数回修正を行う場合もあります。
基本的には標準の仮歯でご満足いただけることが多いですが、細かいオーダー(歯の角度・丸み・長さなど)をご希望の場合は、別途料金が発生する場合もあります。
「どんな形がいいかわからない」という方も、初回の仮歯装着時に鏡を見ながらドクターと一緒に相談できますのでご安心ください。
💡 神田ふくしま歯科では、“あなたらしい歯の形”を作るために仮歯の段階から徹底的にこだわります。
見た目の美しさだけでなく、笑った時の自然さや顔全体のバランスまで考慮した治療をご提案します。
📍 無料カウンセリング・お問い合わせ
神田ふくしま歯科
東京都千代田区神田鍛冶町3−2−6F(スターバックス上)
JR神田駅北口より徒歩1分(東京駅の隣の駅です)
📞 0120-25-1839
📞 03-3251-3921
差し歯を交換する際には歯の大きさを小さくしたいというご希望にお応えしております。
審美歯科治療を行う際に、歯の大きさを小さくしたいという場合があります。差し歯が入ってしまっている場合は、差し歯を外して仮歯にした状態で歯茎の位置を変更させます。
例えば、差し歯の長さが長く見える場合には、差し歯を外して仮歯にした状態で、歯茎の位置を変えることで歯の大きさを小さくすることが可能になります。

歯の大きさを小さくする前の状態。オールセラミックが入っています。
オールセラミックの差し歯を外して仮歯に変えた後に歯茎の再生治療を行います。歯茎の位置を下にずらすことで歯の大きさを小さく見せます。

~歯茎の再生治療と審美歯科治療の注意~
歯茎の再生治療や審美歯科治療は保険外診療となります。当院では、歯茎の再生治療1~3本で7万7千円(税込)です。また、オールセラミック の種類によって当院では1本6万6千円(税込)~16万5千円(税込み)のセラミックを選んでいただいております。
歯茎が下がって歯の根っ子が露出しているようなケースのうち、歯茎の炎症がなく、歯と歯の間の骨が吸収していないケースに関しては、露出した歯の根っこを覆えることが報告されています。
歯茎の再生治療のリスク
外科的な治療ですので、治療後に糸でしっかりと縫う必要があります。尖ったものが刺さってしまったりして歯茎が開くと出血してしまうリスクがあります。
歯茎の再生治療は、歯周病の進行具合や感染の状況によって回復できる歯茎の位置が変わります。ご希望の位置まで歯茎が必ず回復する治療ではありません。
審美歯科のリスク
審美歯科で歯並びを治す場合のリスクとしては、歯の神経を取らないとしみてしまったり、お痛みが出てしまう場合があります。また、オールセラミック の色合いはかなり天然の歯に近いものになりますが、完全に同じものではありません。
~差し歯の大きさが気になるあなたへ~
ある日、鏡を見た時にふと自分の差し歯が気になったことはありませんか?特に、差し歯のサイズが大きすぎて違和感を感じたり、笑った時に目立ってしまうのを気にされる方は少なくありません。
そんな悩みを抱えたある女性が神田ふくしま歯科を訪れました。「差し歯をもっと自然で小さく見せたい」という希望を抱えながら、不安な気持ちで診察室に入りました。
神田ふくしま歯科の経験豊富なドクターは、彼女の希望を丁寧に聞いた後、優しく説明しました。
「差し歯を交換する際には、まず現在の差し歯を外し、一時的に仮歯を装着します。その間に、歯茎の位置を少しずつ調整することで、歯の大きさを自然に小さく見せることが可能です。歯茎の位置を整えることで、最終的な差し歯のサイズを理想的なバランスに仕上げることができますよ。」
女性はドクターの丁寧な説明を聞いて安心しました。そして治療を進めることで、理想通りの自然で美しい歯並びを手に入れることができました。
神田ふくしま歯科では、経験豊富なドクターが無料カウンセリングを実施しております。差し歯のサイズや見た目にお悩みの方、まずはお気軽にご相談ください。理想の口元を一緒に作りましょう。
無料カウンセリングお問い合わせ
神田ふくしま歯科
東京都千代田区神田鍛冶町3-2-6F スターバックス上
JR神田駅北口より徒歩1分 (東京駅の隣の駅です。)
03-3251-3921
0120-25-1839
A. はい、可能です。差し歯を交換する際に現在の差し歯を外し、仮歯を装着して歯茎の位置を調整することで、歯の長さや大きさを自然に小さく見せることができます。
A. 例えば、差し歯が長く見えるケースでは、仮歯に置き換えた状態で歯茎の再生治療を行い、歯茎の位置を下にずらします。これにより歯の大きさがバランスよく見えるようになり、最終的な差し歯を自然で美しい形に仕上げることが可能です。
A. はい。歯茎の再生治療や審美歯科治療は保険外診療となり、費用は歯茎の再生治療(1~3本で77,000円 税込)、オールセラミック(1本66,000円~165,000円 税込)が目安です。
リスクとしては以下の点が挙げられます。
歯茎再生治療は外科的処置のため、術後に出血や腫れの可能性がある
歯周病の進行度によっては歯茎が希望通りに回復しない場合がある
セラミック治療では神経を取らないと知覚過敏や痛みが出ることがある
セラミックの色は天然歯に近いものの、完全に同じ色にはならない
💡 神田ふくしま歯科では、差し歯の大きさや見た目でお悩みの方に無料カウンセリングを実施しています。
歯茎の調整と審美歯科を組み合わせ、自然で理想的な口元を目指します。
📍 無料カウンセリングお問い合わせ
神田ふくしま歯科
東京都千代田区神田鍛冶町3-2-6F(スターバックス上)
JR神田駅北口より徒歩1分(東京駅の隣の駅です)
📞 03-3251-3921
📞 0120-25-1839
一概にオールセラミック治療と言っても予想外の仕上がりになってしまうことがあります。例えば、最近だとオールセラミックの透明感を強くしたいと言ったら、透明すぎて黒く見えてしまったり、歯の長さが短すぎたり、出っ歯な角度に歯が入ってしまったりと言ったことがあるようです。
今回は、オールセラミックを入れたけど、見た目が悪いのでやり直したいといわれたケースの治療例をご紹介いたします。

オールセラミックの治療後の状態ですが、オールセラミックの透明感が強すぎるため、色が黒ずんで見えてしまっています。オールセラミックの利点の一つが透明感があるということなのですが、透明すぎると見た目が悪くなります。
また、歯茎の位置が下にありすぎるため、歯の長さが非常に短く、出っ歯な角度に入ってしまっています。
オールセラミックの素材を変えるのと合わせて、歯茎の整形を行って見た目を改善します。

オールセラミックの透明感を調整して、色合いを合わせています。歯の白濁なども周りの歯と合わせてお作りすることもできますが、今回はしていません。
歯茎の整形を簡単に行うことで、歯の長さや角度を周囲の歯に調和させることができました。
オールセラミックはエコノミーオールセラミック1本¥60,000−(税別)を使用しています。
オールセラミックの料金に関しましては、下記のリンクページをご覧ください。
オールセラミックの料金のページ
~審美歯科治療と歯茎の整形の注意点~
歯茎の整形や審美歯科治療は保険外診療となります。歯茎の整形3万3千円(税込)、オールセラミック (エコノミータイプ)1本6万6千円(税込)3本で19万8千円(税込)かかりました。
また、審美歯科で歯並びを治す場合、歯の神経を取り除かないと知覚過敏や痛みが出てしまう場合があります。
オールセラミック治療が「思っていたのと違う!」とお困りの方へ
オールセラミック治療は、自然で美しい仕上がりが魅力ですが、時には予想していた仕上がりと違ってしまうこともあります。
例えば、「透明感のある歯にしたい」と希望したところ、透明感が強すぎて逆に黒っぽく見えてしまったり、歯の長さが短すぎたり、角度が前に出てしまい出っ歯に見えるなど、思わぬトラブルが起こることがあります。
このように、「セラミックを入れたけど、イメージと違ってやり直したい」というお悩みを抱えた患者さまも少なくありません。
神田ふくしま歯科では、こうしたオールセラミック治療後の見た目のお悩みについて、再治療を行った症例も豊富にあります。患者さまのご希望を丁寧にお聞きし、再治療で理想的な見た目を実現できるよう努めています。
経験豊富なドクターが無料カウンセリングを行っておりますので、「オールセラミックのやり直しについて相談したい」「理想通りの歯に仕上げたい」という方はぜひお気軽にご相談ください。治療の方法や期間、費用についても詳しくご説明いたします。
今回は、オールセラミック治療をやり直したケースについて、詳しくご紹介いたします。
無料カウンセリングのお問い合わせ
神田ふくしま歯科
東京都千代田区神田鍛冶町3−2−6F スターバックス上
JR神田駅北口より徒歩1分 (東京駅の隣の駅です。)
0120−25−1839
03-3251-3921
A. はい。例えば「透明感を強くしたい」と希望すると、逆に黒っぽく見えてしまったり、歯の長さが短すぎたり、角度が前に出すぎて出っ歯に見えてしまうことがあります。審美歯科治療はご希望に合わせますが、噛み合わせや歯茎の状態によって仕上がりに制限が出ることもあります。
A. 改善可能です。オールセラミックの素材を見直して透明感や色合いを調整したり、歯茎の整形を組み合わせて歯の長さや角度を整えることで、周囲の歯と調和した自然な見た目に仕上げることができます。当院では再治療の症例も多く、患者さまの理想に近づけるサポートをしています。
A. オールセラミック治療・歯茎の整形は保険外診療です。
オールセラミック(エコノミータイプ):1本 66,000円(税込)
歯茎の整形:33,000円(税込)
例:前歯3本+歯茎整形で合計 198,000円(税込)が目安です。
リスクとしては、治療の際に歯を削る必要があり、神経を取らないと知覚過敏や痛みが出てしまう場合があります。また、セラミックの色は天然歯に近いものになりますが、完全に同じ色を再現できるわけではありません。
💡 神田ふくしま歯科では、オールセラミック治療後のやり直しや再調整も含めて無料カウンセリングを行っています。
「仕上がりがイメージと違った」「もっと自然な歯にしたい」という方は、ぜひお気軽にご相談ください。治療方法や期間、費用について丁寧にご説明いたします。
審美歯科治療でオールセラミックの差し歯を入れる方が増えて参りました.問題なく経過していれば良いのですが,次第に歯茎が下がってきてしまう場合があります.
歯茎が下がって歯茎が黒く見えてしまい審美的に問題を感じられる方も多いようです.歯茎が下がった状態で差し歯を交換すると長い歯になってしまいますので、こういったケースでは歯ぐきの再生治療にて歯茎を回復させる事が審美歯科治療を上手く進めるために必要と考えております.

審美歯科治療後の典型的な審美的な失敗の経緯。セラミックの状態が良い場合はそのまま歯茎の再生治療で下がった歯茎を元に戻せば良いのですがお写真のケースではセラミックの状態が悪いため前歯6本ののオールセラミックを再治療する事になりました.

画面左側の前歯3本の歯茎を歯ぐきの再生治療で回復させて治癒を待っている状態です.画面左の犬歯はオールセラミックを外さずに歯ぐきの再生治療を行ったため、回復は限定的ですが,下がってしまった部分の黒く見えていた所は歯茎で覆う事が出来ています.
また、前歯の長さを整える事が出来ました.
噛み合わせの関係で下の前歯は部分矯正治療を2ヶ月程行っています.
歯ぐきの再生治療に関してご存知の無い方は下記のリンクページに詳しい内容を記載させて頂いております.クリックしてご覧ください.
歯ぐきの再生治療と審美歯科のページ
また、歯茎が下がってしまったと言う方で審美歯科治療を希望の方は無料カウンセリングを行っておりますのでご利用ください.無料カウンセリングにて治療方法のご説明、お見積もりのお渡しをいたします.
無料カウンセリングお問い合わせ
神田ふくしま歯科
東京都千代田区神田鍛冶町3−2−6F スターバックス上
0120−25−1839
審美歯科の注意
・料金と選択方法
オールセラミック治療は保険外診療となります。オールセラミックの種類によって1本66,000円(税込)~165,000円(税込)の料金がかかります。また、神経のない歯はオールセラミックとは別にファイバーコアという歯の土台の料金22,000円(税込)がかかる場合があります。当院では、患者さんのニーズに合わせてセラミックの種類を選択できるように強度重視・自然さを重視などセラミックの特色に合わせて対応させていただいております。料金に関しましては、1本あたりの標準的な料金となります。多数の歯を治す場合は、本数分の治療費がかかります。
・リスクと対策
オールセラミックの色合いはかなり天然の歯に近いものになりますが、完全に同じものではありません。当院ではご希望に合わせて高精度の写真や技工士さんの立ち合いなどこだわったオーダーメイドセラミックを作製することも可能です。
審美歯科治療では、歯の大きさや形の修正、歯の変色の改善、歯並びの改善を目的にオールセラミック などの材料を使用しております。リスク等もございますのでご確認ください。歯茎の位置を改善するために歯茎の再生・整形を行う場合は別途料金がかかります。
また、セラミック治療をする場合、歯を削る必要があります。治療後に知覚過敏を起こすことがあります。当院では神経のある歯を削った後はコーティング剤を塗布し、処置後しばらくは熱いものや冷たいものなどの刺激物を取らないよう気を付けていただいております。
~歯茎の再生治療の注意~
お写真や治療法のご説明の内容を掲載する際には、料金や治療のリスクを表示することになっております。治療を検討される際には、注意も合わせてご確認ください。
歯茎の再生治療は保険外診療となります。当院では、歯茎の再生治療1~3本で7万7千円(税込)かかります。また、術後は歯ブラシができないため、病院で消毒・クリーニングを行います。消毒も保険外となりますので、1回の消毒・クリーニングに¥5,500−(税込)の費用がかかります。通常4回の消毒にお越しいただいております。
歯茎が下がって歯の根っ子が露出しているケースのように歯茎の炎症がなく、歯と歯の間の骨が吸収していないケースに関しては、露出した歯の根っこを覆えることが報告されています。歯周病が進行したケースなど歯を支える骨の吸収したケースでは、歯茎が回復しない場合もあります。
n 歯茎の再生治療のリスクと対策
歯茎の再生治療は外科的な治療ですので、治療後に糸でしっかりと縫う必要があります。尖ったものが刺さってしまったりして歯茎が開くと出血してしまうリスクがあります。また、術後に腫れや痛みが出ることがあります。そのため、当院では、出血予防止血対策にに止血用マウスピースをお渡ししております。また、術後の注意を守っていただいております。
歯茎の再生治療は、歯周病の進行具合や感染の状況によって回復できる歯茎の位置が変わります。ご希望の位置まで歯茎が必ず回復する治療ではありません。当院では、審美的な回復のための方法も行っておりますので併せて紹介しております。
審美歯科治療として、オールセラミックの差し歯を選ばれる方が最近増えてきています。オールセラミックは自然で美しい見た目が特徴ですが、治療後しばらく経つと歯茎が徐々に下がってしまうことがあります。
歯茎が下がってしまうと、歯と歯茎の境目に黒ずみが見えてしまい、見た目が気になってしまう方が多くいらっしゃいます。その状態のまま差し歯を新しく作り直すと、元の位置よりも長い歯になり、不自然な印象になってしまいます。
このような場合は、歯茎の再生治療によって歯茎の位置を元通りに回復させることが重要です。歯茎の再生治療を行った後に差し歯を作り直すことで、審美的に自然で美しい仕上がりになります。
神田ふくしま歯科では、経験豊富なドクターが無料カウンセリングを行っています。歯茎が下がってお悩みの方、審美的に美しい差し歯治療をご希望の方は、お気軽にご相談ください。
無料カウンセリングのお問い合わせ
神田ふくしま歯科
東京都千代田区神田鍛冶町3−2−6F スターバックス上
JR神田駅北口より徒歩1分 (東京駅の隣の駅です。)
0120−25−1839
03-3251-3921
A. 治療後に歯茎が下がってしまうと、歯と歯茎の境目に黒ずみが見えることがあります。そのまま差し歯を交換すると、歯が必要以上に長くなり、不自然な見た目になってしまうことがあります。特に前歯では審美的な問題が大きくなります。
A. 歯茎の再生治療によって下がった歯茎を回復させることができます。これにより、歯の長さや黒ずみが改善され、自然で美しい見た目を取り戻すことができます。セラミック自体が問題ない場合は再生治療のみで対応でき、状態が悪い場合は再度オールセラミック治療を併用することもあります。
A. 歯茎の再生治療は保険外診療となり、1〜3本で77,000円(税込)が目安です。また、消毒・クリーニング費用(1回 5,500円(税込)×4回程度)が必要です。リスクとしては、術後の出血や腫れ、痛み、希望通りに歯茎が回復しない場合があります。当院では止血用マウスピースの提供や術後ケアを徹底し、安全に治療を進めています。
せっかく治療した差し歯の歯茎が下がってしまった場合の治療法
差し歯を入れた後に歯茎が下がって歯茎が黒く見えてしまう事があります.特に前歯の場合少し歯茎が下がって黒い部分が見えるだけでも気になる方も多いようです.
差し歯は気に入っているので外したくないけど、差し歯を入れた歯科医院では経過を見るしか方法がないという場合が多いようです.
差し歯を外さずに歯茎だけ回復させる方法があります.多くの歯科医院では行っていませんが,歯茎を回復させて歯茎の黒ずみを覆う歯茎の再生治療という方法があります.
前歯の歯茎の再生治療の場合,見た目にきれいな再生治療を行わなくてはいけないため修正が必要ですが、回復する事はそれほど大変ではありません.

前歯2本の歯茎が少し下がったのを気にされてご来院いただきました.差し歯自体は大変気に入られているので、差し歯の交換はしたくないという事で歯茎の再生治療を行う事にしました.
よくこういったケースは経過を見ましょうと言われているうちにだんだんと歯茎の下がりが大きくなってしまう事が多いので下がった歯茎の部分に虫歯ができる前に歯茎を回復させる事をお勧めしております.

歯茎の再生治療後の状態ですが,少し多めに歯茎を作っています。この状態で歯茎が引き締まるのを待ってから審美的な歯茎の形に修正します.
歯ぐきの再生治療に関しましては詳しい症例のページを別に用意させて頂いております.下記のリンクページをクリックしてご覧ください.
歯ぐきの再生治療のページ
また、歯ぐきの再生治療は保険外診療となりますので、料金のお見積もりが必要だと思います.無料カウンセリングを行っておりますのでご利用ください.無料カウンセリングにて治療方法のご説明とお見積もりのお渡しをいたします.
無料カウンセリングお問い合わせ
神田ふくしま歯科
東京都千代田区神田鍛冶町3−2−6F スターバックス上
JR神田駅北口より徒歩1分 (東京駅の隣の駅です.)
0120−25−1839
03−3251−3921
差し歯を治療した後に、歯茎が下がってしまいお悩みの方はいらっしゃいませんか?
差し歯を入れたあと、歯茎が少し下がるだけでも歯茎の境目に黒ずみが現れ、特に前歯の場合は気になってしまう方が多いようです。
差し歯自体には問題がなく気に入っているけれど、歯茎の黒ずみを改善したいという場合、一般的な歯科医院では「様子を見ましょう」と言われることが多いようです。
しかし、実は差し歯を外さずに歯茎だけを回復させることができる治療法があります。これは『歯茎の再生治療』という方法で、下がった歯茎を元の位置に戻して歯茎の黒ずみを覆うことが可能です。
前歯の再生治療では、特に審美的な配慮が求められますが、経験豊富なドクターであれば、美しく自然な歯茎に回復させることができます。処置自体もそれほど大変なものではなく、負担も比較的少ないのが特徴です。
神田ふくしま歯科では、歯茎の再生治療について詳しくご説明し、患者様の状況に合った最適な治療プランをご提案しております。経験豊富なドクターによる無料カウンセリングを行っておりますので、ぜひお気軽にご相談ください。
無料カウンセリングのお問い合わせ
神田ふくしま歯科
東京都千代田区神田鍛冶町3−2−6F スターバックス上
JR神田駅北口より徒歩1分 (東京駅の隣の駅です。)
0120−25−1839
03-3251-3921
Q1. 差し歯を入れた後に歯茎が下がるとどうなりますか?
A1. 差し歯を入れた後に歯茎が下がると、特に前歯では歯茎との境目が黒ずんで見えることがあります。少しの変化でも目立ちやすく、見た目を気にされる方が多い症状です。
Q2. 差し歯を外さずに歯茎を回復することはできますか?
A2. はい、可能です。『歯茎の再生治療』という方法を用いることで、差し歯を外さずに下がった歯茎を回復させ、黒ずみを覆うことができます。特に前歯では見た目の美しさが重視されるため、経験豊富な歯科医による審美的な配慮が必要です。
Q3. 歯茎の再生治療は大変な処置ですか?
A3. 前歯の歯茎再生治療は見た目を整えるための修正が必要ですが、処置自体はそれほど大きな負担ではありません。再生後は歯茎が引き締まるのを待ち、その後に自然で美しい形に整えることができます。
📍 無料カウンセリングお問い合わせ
神田ふくしま歯科
東京都千代田区神田鍛冶町3−2−6F(スターバックス上)
JR神田駅北口より徒歩1分
📞 0120-25-1839 / 03-3251-3921
隣の歯と長さがそろえいいのにばなぁーと思われている方へ。
審美歯科を行う場合に、歯のなさがとなりの歯の長さとそろわないとみためが悪く見えてしまいます。また、長くなってしまっている歯は水などがしみて知覚過敏になってしまう事があります。
そんな時に、歯茎の再生治療という方法がよいです。
周囲の歯の長さをそろえられる方法です。
今回は、歯の長さを歯茎の再生治療でそろえ、また知覚過敏でしみてしまう歯のホワイトニングをしたケースのご紹介です。

審美歯科治療を行う場合,オールセラミックと天然の歯の色の差が気になる場合があります.
通常、ホワイトニングを行って天然の歯を白くしてから、オールセラミックの色を白くなりすぎないように決めます.
お写真のケースは歯茎が下がってしまったために、知覚過敏が予想されるためホワイトニングを歯ぐきの再生後に行います.
(このケースでは先にオールセラミックを作成しております.)

歯ぐきの再生治療を行って歯茎の位置を回復しております.
歯の長さがきれいに戻りましたので、前歯4本のみのオールセラミック治療とし,犬歯とその奥はホワイトニングのみの治療としました.歯ぐきの再生治療で下がった歯茎を覆う事で知覚過敏の心配なくホワイトニングを行えます.
歯茎が下がってしまった時の審美歯科治療に関しましては下記のリンクページに詳しい内容を記載させていただいておりますのでクリックしてご覧ください。
歯茎が下がったときの審美歯科治療のページ
「隣の歯と長さが合っていない…」とお悩みではありませんか?
審美歯科治療で見た目を整える際には、歯の長さが隣の歯とそろっていることがとても大切です。歯の長さがバラバラだと、見た目が悪くなってしまうだけでなく、歯が長くなってしまった部分には歯茎が下がって歯の根が露出し、水や冷たいものがしみる「知覚過敏」の症状が出やすくなります。
このような問題が起こった時にお勧めなのが『歯茎の再生治療(結合組織移植術)』という方法です。この治療は、下がってしまった歯茎を元の状態に回復させることができ、隣の歯と歯の長さをきれいにそろえることが可能になります。
さらに、歯茎が下がって知覚過敏がある場合は、歯茎の再生治療とあわせて、しみる歯を保護しながらホワイトニングを行うこともできます。歯の色を白くしながら、歯の長さや見た目も自然で美しい状態に整えることができます。
神田ふくしま歯科では、経験豊富なドクターによる無料カウンセリングを行っています。「歯の長さや知覚過敏が気になる」「歯茎が下がってしまって困っている」とお悩みの方は、ぜひ一度お気軽にご相談ください。あなたのお口の状態に最適な治療方法をご提案いたします。
また、審美歯科治療を希望される方はただいま無料カウンセリングを行っておりますのでご利用ください。
無料カウンセリングお問い合わせ
神田ふくしま歯科
東京都千代田区神田鍛冶町3-2-6F スターバックス上
神田駅北口より徒歩1分 (東京駅の隣の駅です)
03-3251-3921
0120-25-1839
~歯茎の再生治療の注意~
お写真や治療法のご説明の内容を掲載する際には、料金や治療のリスクを表示することになっております。治療を検討される際には、注意も合わせてご確認ください。
歯茎の再生治療は保険外診療となります。当院では、歯茎の再生治療1~3本で7万7千円(税込)かかります。また、術後は歯ブラシができないため、病院で消毒・クリーニングを行います。消毒も保険外となりますので、1回の消毒・クリーニングに¥5,500−(税込)の費用がかかります。通常4回の消毒にお越しいただいております。
歯茎が下がって歯の根っ子が露出しているケースのように歯茎の炎症がなく、歯と歯の間の骨が吸収していないケースに関しては、露出した歯の根っこを覆えることが報告されています。歯周病が進行したケースなど歯を支える骨の吸収したケースでは、歯茎が回復しない場合もあります。
n 歯茎の再生治療のリスクと対策
歯茎の再生治療は外科的な治療ですので、治療後に糸でしっかりと縫う必要があります。尖ったものが刺さってしまったりして歯茎が開くと出血してしまうリスクがあります。また、術後に腫れや痛みが出ることがあります。そのため、当院では、出血予防止血対策にに止血用マウスピースをお渡ししております。また、術後の注意を守っていただいております。
歯茎の再生治療は、歯周病の進行具合や感染の状況によって回復できる歯茎の位置が変わります。ご希望の位置まで歯茎が必ず回復する治療ではありません。当院では、審美的な回復のための方法も行っておりますので併せて紹介しております。
審美歯科の注意
・料金と選択方法
オールセラミック治療は保険外診療となります。オールセラミックの種類によって1本66,000円(税込)~165,000円(税込)の料金がかかります。また、神経のない歯はオールセラミックとは別にファイバーコアという歯の土台の料金22,000円(税込)がかかる場合があります。当院では、患者さんのニーズに合わせてセラミックの種類を選択できるように強度重視・自然さを重視などセラミックの特色に合わせて対応させていただいております。料金に関しましては、1本あたりの標準的な料金となります。多数の歯を治す場合は、本数分の治療費がかかります。
・リスクと対策
オールセラミックの色合いはかなり天然の歯に近いものになりますが、完全に同じものではありません。当院ではご希望に合わせて高精度の写真や技工士さんの立ち合いなどこだわったオーダーメイドセラミックを作製することも可能です。
審美歯科治療では、歯の大きさや形の修正、歯の変色の改善、歯並びの改善を目的にオールセラミック などの材料を使用しております。リスク等もございますのでご確認ください。歯茎の位置を改善するために歯茎の再生・整形を行う場合は別途料金がかかります。
また、セラミック治療をする場合、歯を削る必要があります。治療後に知覚過敏を起こすことがあります。当院では神経のある歯を削った後はコーティング剤を塗布し、処置後しばらくは熱いものや冷たいものなどの刺激物を取らないよう気を付けていただいております。
A. 歯茎が下がると、隣の歯と長さが合わず見た目が不自然になったり、知覚過敏が起きることがあります。そのような場合には、**歯茎の再生治療(結合組織移植術)**を行うことで歯茎を元の位置に回復させ、隣の歯と長さを整えることが可能です。
A. はい、可能です。歯茎の再生治療で歯茎を回復させてからホワイトニングを行うことで、知覚過敏を防ぎながら歯を白くすることができます。オールセラミックを使用する場合も、ホワイトニングで天然歯の色を白くしてからセラミックの色を調整することで、自然で美しい仕上がりを実現できます。
A. 歯茎の再生治療は保険外診療で、当院では 1~3本で77,000円(税込) が目安です。また、ホワイトニングやオールセラミック治療を併用する場合は別途費用がかかります。治療は外科的処置を伴うため、術後に腫れや痛み、出血のリスクがあります。さらに、歯周病の進行や感染の状況によっては希望する位置まで歯茎が回復しない場合もあります。
📍 神田ふくしま歯科では、無料カウンセリングを行っています。歯の長さや色、知覚過敏でお悩みの方は、ぜひお気軽にご相談ください。
もしあなたが、単に1本の歯を治したいのではなくきれいに見える口元にしたいので、どうしたら良いのかという御相談でしたら、全体的な審美歯科治療をお考えになられた方が良いでしょう.
例えば,歯の変色や歯茎の退縮・歯の隙間、銀歯や全体的な歯の色の不満等がある場合,全体的なプランを立てた方が短期間にきれいな口元になります.
どのタイミングで治療をするのが効率的かを考えながら治療を進めていきます.
もちろん、全体的な治療と言っても全部の治療を1ッ気にやらなくても大丈夫です.無料カウンセリングで、提案させて頂いたプランの中からご希望のプランを選択されると良いでしょう.
例えば下のお写真のようなお口の中の状態であった場合,前歯の変色、歯の隙間、銀歯等の治療を提案させて頂く事になると思いますが、御本人が前歯だけ治したいという場合,例えば,ホワイトニング、歯茎の再生、マウスピース矯正、変色歯のオールセラミック治療がオススメのプランになります.

審美歯科治療では、どの部分を治したいかによってプランを立てさせて頂きます.ご希望の治療を選択されると良いと思います.

このお写真の方は下の前歯の隙間を閉じる為に、歯ぐきの再生治療、マウスピース矯正を行いました.また、全体的に歯の色を白くして前歯の変色している歯は神経が死んでしまっていたため、ファイバーの土台を入れてオールセラミックで治療をしました.結果が下のお写真となります.
このケースのように、全体的な審美歯科治療のプランを立てる事によって、無駄な治療をしないで済む場合があります.
~歯茎の再生治療の注意~
お写真や治療法のご説明の内容を掲載する際には、料金や治療のリスクを表示することになっております。治療を検討される際には、注意も合わせてご確認ください。
歯茎の再生治療は保険外診療となります。当院では、歯茎の再生治療1~3本で7万7千円(税込)かかります。また、術後は歯ブラシができないため、病院で消毒・クリーニングを行います。消毒も保険外となりますので、1回の消毒・クリーニングに¥5,500−(税込)の費用がかかります。通常4回の消毒にお越しいただいております。
歯茎が下がって歯の根っ子が露出しているケースのように歯茎の炎症がなく、歯と歯の間の骨が吸収していないケースに関しては、露出した歯の根っこを覆えることが報告されています。歯周病が進行したケースなど歯を支える骨の吸収したケースでは、歯茎が回復しない場合もあります。
n 歯茎の再生治療のリスクと対策
歯茎の再生治療は外科的な治療ですので、治療後に糸でしっかりと縫う必要があります。尖ったものが刺さってしまったりして歯茎が開くと出血してしまうリスクがあります。また、術後に腫れや痛みが出ることがあります。そのため、当院では、出血予防止血対策にに止血用マウスピースをお渡ししております。また、術後の注意を守っていただいております。
歯茎の再生治療は、歯周病の進行具合や感染の状況によって回復できる歯茎の位置が変わります。ご希望の位置まで歯茎が必ず回復する治療ではありません。当院では、審美的な回復のための方法も行っておりますので併せて紹介しております。
「1本の歯だけではなく、全体的にきれいな口元にしたい!」とお考えの方へ。
歯の美しさや口元の印象は、1本の歯だけを治すよりも、全体的なバランスを整えることで大きく変わります。歯の色の違い、歯茎が下がってしまった部分、歯と歯の間の隙間、目立つ銀歯などが気になっている場合は、全体を一緒に治療することで、効率よく短期間にきれいな口元を実現することが可能です。
全体的な審美歯科治療では、まず患者様の歯や歯茎の状態を詳しく診断し、トータルな治療計画を立てます。それぞれの治療をどのタイミングで行うことが最も効率的で美しい結果を生むのかを考え、最適な順番で治療を進めていきます。
例えば、歯茎の再生治療、ホワイトニング、オールセラミックによる差し歯の治療など、患者様のご希望やお口の状態に合わせて適切な治療法を組み合わせることができます。
神田ふくしま歯科では、経験豊富なドクターが無料カウンセリングを実施しております。口元全体をきれいにしたいけれど、どういった方法が自分に最適か迷われている方は、ぜひお気軽にご相談ください。専門的な視点からあなたに最適な治療プランをご提案いたします。
無料カウンセリングお問い合わせ
神田ふくしま歯科
東京都千代田区神田鍛冶町3−2−6F スターバックス上
JR神田駅北口より徒歩1分 (東京駅の隣の駅です.)
0120−25−1839
03−3251−3921
A. 全体的な審美歯科治療とは、単に1本の歯を治すのではなく、口元全体を美しく見せるために計画を立てて行う治療です。
例えば、
歯の変色
歯茎の退縮
歯と歯の間の隙間
銀歯の見た目
全体的な歯の色や形の不満
といったお悩みを総合的に改善することで、短期間でより美しい口元を実現することができます。
A. いいえ、一度にすべて行う必要はありません。無料カウンセリングでご提案したプランの中から、ご希望の部分を選んで段階的に進めることが可能です。
例えば、前歯だけを重点的に治したい場合は、ホワイトニング・歯茎の再生治療・マウスピース矯正・変色歯のオールセラミック治療などを組み合わせることができます。
A. 患者さまのお口の状態やご希望に応じて、以下のような治療を組み合わせます。
歯茎の再生治療:下がった歯茎を回復させる
マウスピース矯正:歯並びや歯の隙間を改善
ホワイトニング:全体的に歯を白く美しく
オールセラミック治療:変色歯や古い差し歯を自然な見た目に改善
このように全体的な治療計画を立てることで、無駄な治療をせず効率よくきれいな仕上がりが可能になります。
神田ふくしま歯科
📍 東京都千代田区神田鍛冶町3-2-6F(スターバックス上/JR神田駅北口 徒歩1分)
📞 03-3251-3921 / 0120-25-1839

前歯2本の差し歯のやり替え希望されたケースです.前歯の大きさが小さく、周囲のはより短く四角形に見えます.前歯の大きさを数ミリ長くするために歯茎の整形処置を行いました.
歯茎の整形処置は部分麻酔をして、歯茎の位置を整えます.歯茎の位置に合わせて仮歯の形を修正します.通常30分程で処置は終了します.
当日は、お痛みが出る事はあまりありませんが,感染の予防に抗生剤を3日分飲んでいただくのと、痛み止めを3回分お渡しします.
また、歯磨きは歯茎の整形部分には当てないようにしていただきますので、消毒用にうがい薬をお渡しします.
1週間後、2週間後、1ヶ月後にクリーニングを医院の方で行います.
日常生活で気をつける事は、治るまで歯茎を触らない事です.歯ブラシはしないでいただきますし,尖っている物を前歯で噛まないようにしてください。おせんべいなどを前歯でかじらないようにしてください.

歯茎の整形後1ヶ月で歯茎の腫れが引いてきた状態です.まだ完全ではありませんが,この後歯茎の形の微調整を仮歯の修正をする事で行います.歯茎の丸みを付けたりするのは2ヶ月程してから行います.
歯茎が退縮して歯が長くなっている部分は歯茎の再生治療で歯茎を回復させる事で歯茎の位置をそろえます.
歯ぐきの整形のページ
~審美歯科治療と歯茎の整形の注意点~
歯茎の整形や審美歯科治療は保険外診療となります。歯茎の整形3万3千円(税込)、オールセラミック (スタンダードタイプ)1本9万9千円(税込)2本で19万8千円(税込)かかりました。
また、審美歯科で歯並びを治す場合、歯の神経を取り除かないと知覚過敏や痛みが出てしまう場合があります。
前歯の差し歯を作り直したいという方に、歯茎の整形治療をご紹介します。
前歯の差し歯が周囲の歯より短く、小さく見えてしまう場合、ただ差し歯をやり替えるだけでは改善が難しい場合があります。このようなケースでは、歯茎の位置を整えることで、差し歯を理想的な形・大きさにすることが可能です。
歯茎の整形治療とは、歯茎の高さを部分的に整えて、美しく自然な歯の長さに調整する治療法です。治療は部分麻酔を使用し、痛みの心配はほとんどありません。治療自体は30分ほどで終わります。歯茎を整えた後は、新しい仮歯の形を調整して、きれいな見た目になるよう整えます。
治療後のお痛みはほとんどありませんが、念のため感染を防ぐための抗生剤を3日間服用していただきます。また、万が一痛みが出た時のために痛み止めをお渡しいたします。さらに、整形部分に歯ブラシが当たらないよう注意していただくため、消毒用のうがい薬もお渡しいたします。
治療後は、1週間後・2週間後・1ヶ月後に来院していただき、医院でクリーニングを行い、歯茎の状態をしっかりチェックします。
治療後の日常生活では、歯茎が完全に治るまで触らないよう注意が必要です。歯ブラシを歯茎に当てることは避け、前歯で硬いものや尖ったもの(特におせんべいなど)を噛まないようにしてください。
神田ふくしま歯科では、経験豊富なドクターが無料カウンセリングを行い、患者様のお口の状況に合わせて丁寧にアドバイスさせていただきます。歯茎の整形や差し歯治療に関してお悩みの方は、お気軽にご相談ください。
無料カウンセリングお問い合わせ
神田ふくしま歯科
東京都千代田区神田鍛冶町3−2−6F スターバックス上
0120−25−1839
03−3251−3921
A. 歯茎の整形治療は、歯茎の高さや形を整えて、歯を自然で美しく見せる治療法です。前歯が短く見えたり、差し歯が周囲の歯とバランスが合わない場合に有効です。部分麻酔を使って処置を行い、30分程度で終了します。処置後は仮歯の形も調整して、きれいな見た目に仕上げます。
A. 治療当日は痛みが出ることは少ないですが、感染予防のため抗生剤を3日間服用し、万が一に備えて痛み止めもお渡しします。歯茎に歯ブラシが当たらないようにするため、消毒用のうがい薬を使用していただきます。
その後は、1週間後・2週間後・1か月後に来院してクリーニングと経過観察を行います。歯茎が完全に安定するのは2か月ほどで、その際に仮歯の形を微調整して仕上げます。
A. 歯茎の整形は保険外診療で、歯茎の整形 33,000円(税込)/オールセラミック(スタンダードタイプ)1本 99,000円(税込)が目安です。2本の差し歯と歯茎整形を合わせて行った場合は約198,000円(税込)でした。
注意点として、治療後は歯茎を触らないことが大切です。歯ブラシを当てたり、前歯で硬いもの(せんべいなど)を噛むと治癒に悪影響を与えることがありますので避けてください。
神田ふくしま歯科
📍 東京都千代田区神田鍛冶町3-2-6F(スターバックス上/JR神田駅北口 徒歩1分)
📞 03-3251-3921 / 0120-25-1839
セラミックを入れた後に歯茎が下がってしまっていませんか?
セラミックの歯茎が下がるってどういうことって思われるかもしれませんが、セラミックの歯の歯茎との境界が見えてきてしまう事があるのです。
歯の根っこが見えることと、少し色が違う場合が多く見た目に目立ってしまう場合もあります。
そこで、今回ご紹介するのは、セラミックの歯茎が下がってしまった時の治療法です。
天然の歯にも行いますが、歯茎の再生治療法(結合組織移植法)という方法で、歯茎を回復させています。
この方法は、40年以上の歴史があり、世界の歯科医師が治療法を年々改良していて、どんどん目立たないきれいに直す方法が報告されてきています。
セラミックが虫歯になっていないのであれば、セラミックを外さずに歯茎を回復させることができる場合があります。

せっかく入れたセラミックの差し歯の歯茎が下がって気にされている方には朗報かもしれません.
お写真のように、ほんの少し前歯のオールセラミックの歯茎が下がってしまったようなケースでは、差し歯を外さずに歯茎の再生治療で歯茎を回復させる事が出来ます.
セラミックの歯を入れた後に、歯茎が下がってきて困っていませんか?
「セラミックの歯茎が下がるってどういうこと?」と思う方も多いかもしれませんが、実はセラミックの歯を入れたあと、時間が経つと歯茎が少しずつ下がってしまい、セラミックと歯茎の境目が目立ってくることがよくあるのです。
特に、歯茎が下がってしまうと、セラミックの歯と歯茎の境目から天然の歯の根の部分が露出してしまい、色の違いから見た目が気になることも多くなります。せっかくセラミックで綺麗な歯を入れても、歯茎が下がって見栄えが悪くなるとがっかりしますよね。
そこで今回ご紹介したい治療法が「歯茎の再生治療(結合組織移植術)」という方法です。
この治療法は、ご自身の口の中の健康な歯茎組織を採取し、それを歯茎が下がってしまった部分に移植して、歯茎の高さや厚みを回復させる方法です。世界的に40年以上の歴史があり、数多くの歯科医師が技術を改良し続けてきた信頼できる治療法で、近年では見た目も自然で美しく仕上げられるようになっています。
さらに、もしセラミック自体が虫歯などになっていなければ、セラミックを取り外さずに歯茎だけを再生することが可能な場合があります。この方法なら、治療の負担も少なく、より手軽に審美的な回復が期待できます。
神田ふくしま歯科では、経験豊富なドクターが無料カウンセリングを実施しております。セラミックの歯茎が下がって気になっている方は、ぜひお気軽にご相談ください。あなたの理想的な口元を取り戻すお手伝いをいたします。
無料カウンセリングお問い合わせ
神田ふくしま歯科
東京都千代田区神田鍛冶町3−2−6F スターバックス上
JR神田駅北口より徒歩1分 (東京駅の隣の駅です。)
03−3251−3921
0120−25−1839
営業時間
月・火・金11:00~20:00
水・木 11:00~18:00
土 11:00~19:00
昼休み
14:00~15:30
休診日
日曜日、祝日
~歯茎の再生治療と審美歯科治療の注意~
歯茎の再生治療や審美歯科治療は保険外診療となります。当院では、歯茎の再生治療1~3本で7万7千円(税込)です。また、オールセラミック の種類によって当院では1本6万6千円(税込)~16万5千円(税込み)のセラミックを選んでいただいております。
歯茎が下がって歯の根っ子が露出しているようなケースのうち、歯茎の炎症がなく、歯と歯の間の骨が吸収していないケースに関しては、露出した歯の根っこを覆えることが報告されています。
歯茎の再生治療のリスク
外科的な治療ですので、治療後に糸でしっかりと縫う必要があります。尖ったものが刺さってしまったりして歯茎が開くと出血してしまうリスクがあります。
歯茎の再生治療は、歯周病の進行具合や感染の状況によって回復できる歯茎の位置が変わります。ご希望の位置まで歯茎が必ず回復する治療ではありません。
審美歯科のリスク
審美歯科で歯並びを治す場合のリスクとしては、歯の神経を取らないとしみてしまったり、お痛みが出てしまう場合があります。また、オールセラミック の色合いはかなり天然の歯に近いものになりますが、完全に同じものではありません。
A. 時間が経つと歯茎が下がり、セラミックと歯茎の境目が露出することがあります。これにより、歯の根元が見えてしまったり、色の違いが目立って見た目が不自然になる場合があります。せっかく綺麗にした歯も、歯茎の下がりで印象が損なわれることがあります。
A. 歯茎の再生治療(結合組織移植術)を行います。これは、ご自身の口の中の健康な歯茎組織を採取し、下がった部分に移植して歯茎の高さや厚みを回復させる方法です。40年以上の歴史があり、近年はより自然で美しい仕上がりが可能になっています。
また、セラミック自体に問題(虫歯など)がなければ、セラミックを外さずに歯茎だけを回復できる場合もあります。
A. 当院の歯茎再生治療は保険外診療で、**1〜3本で77,000円(税込)**が目安です。オールセラミックの治療を合わせて行う場合は、1本66,000円〜165,000円(税込)となります。
リスクとして、外科的処置のため術後に出血や腫れが起こる可能性があります。また、歯周病や骨の状態によっては希望通りに歯茎が回復しないケースもあります。
神田ふくしま歯科
📍 東京都千代田区神田鍛冶町3-2-6F(スターバックス上/JR神田駅北口 徒歩1分)
📞 03-3251-3921 / 0120-25-1839
あなたの差し歯の歯茎は黒ずんでしまっていませんか?
差し歯の周囲の歯茎の黒ずみを気にされている方は、多くの場合歯茎の中に金属が歯茎の中に入ってしまい、歯茎が黒くなって見えています。
下のお写真は典型的な歯茎の黒ずみの例です。周囲の歯の歯茎は特に黒くないのに、差し歯の境界の周囲に限定して歯茎が黒くなってしまっています。
こういった場合はほぼ歯茎の中に金属が入り込んだのが原因の歯茎の黒ずみです。
歯茎の中に金属が入ってしまっている場合は、レーザーで歯茎をとったり、差し歯を交換したりしても効果がありません。歯茎の内部の金属を1つ1つ取り除くのは困難なため、金属を含めた歯茎を取り除いて歯茎を交換する歯茎の再生治療(結合組織移植術)が必要となります。

このようなケースでは、メラニン色素とはちがい、レーザーなどで歯茎の表面を処置しても効果があまりありません.
金属をコツコツと取り除くのも困難なため、綺麗な歯茎を黒くなっている 部分の内側に移植し、表面の金属の入っている歯茎ごと削り取ると綺麗になります。

前歯を仮歯にして歯茎の中の金属を取りました.
まだ、少し残っているようですが、だいぶ白くなりました.
このケースのように、歯茎の再生処置を行う場合、保険治療が効かず、自由診療となります。
歯茎の再生治療が¥77,000ー(税込)と差し歯(このケースではオールセラミック)の料金がかかります。
そのほかの歯茎の黒ずみに関しましては下記のリンクページに詳しい内容を記載させていただいております。クリックしてご覧ください。
歯茎の黒ずみの治療に関するページ
歯茎の黒ずみの治療をご希望の方は、まずは無料カウンセリングにお越し下さい。ただいま無料カウンセリングを行っていますので、治療方法、治療期間のご説明、お見積もりのお渡しを行います。
無料カウンセリングのお問い合わせ
神田ふくしま歯科
東京都千代田区神田鍛冶町3−2−6F スターバックス上
JR神田駅北口より徒歩1分 (東京駅の隣の駅です。)
0120−25−1839
03-3251-3921
~歯茎の黒ずみの治療の注意~
歯茎の再生治療で、歯茎の黒くなってしまっている歯茎をきれいな歯茎と入れ替えます。
歯茎の再生治療は保険外診療となります。当院では、歯茎の再生治療1~3本で7万7千円(税込)かかります。合わせて、審美歯科治療でオールセラミック 治療を行う場合は6万6千〜16万5千円(税込)ほど別途料金がかかります。
リスク
外科的な治療ですので、治療後に糸でしっかりと縫う必要があります。尖ったものが刺さってしまったりして歯茎が開くと出血してしまうリスクがあります。
歯茎の再生治療は、歯周病の進行具合や感染の状況によって回復できる歯茎の位置が変わります。ご希望の位置まで歯茎が必ず回復する治療ではありません。
あなたは差し歯の周囲の歯茎が黒ずんでいることが気になっていませんか?
差し歯の周囲だけ歯茎が黒くなっているという方は非常に多くいらっしゃいます。このような黒ずみの原因は、多くの場合、差し歯に使用されている金属が歯茎の中に入り込み、透けて黒く見えているためです。
特に、差し歯の歯茎だけが黒ずんで、周囲の健康な歯茎の色は正常なままというケースが典型的です。この場合、単にレーザーで黒ずんだ歯茎を取り除いたり、差し歯を新しく交換するだけでは根本的な解決になりません。なぜなら、歯茎の内部に入り込んだ金属が残ったままだと、再び歯茎は黒ずんでしまうからです。
では、どうすればきれいな歯茎に戻すことができるのでしょうか?
こうした場合には、「歯茎の再生治療(結合組織移植術)」が効果的です。この治療法では、黒ずんだ歯茎とその内部の金属を一緒に取り除き、健康な歯茎を移植することで、自然な色の歯茎を取り戻すことが可能です。
神田ふくしま歯科では、経験豊富なドクターが無料カウンセリングを行っております。歯茎の黒ずみに関するお悩みを抱えている方は、まずはお気軽にご相談ください。患者様の状態を丁寧に確認した上で、最適な治療法をご提案いたします。
審美歯科の無料カウンセリングお問い合わせ
神田ふくしま歯科
東京都千代田区神田鍛冶町3−2−6F スターバックス上
JR神田駅北口(モンダミン口)より徒歩1分 (東京駅の隣の駅です)
03−3251−3921
0120−25−1839
A. 多くの場合、差し歯に使われている金属が歯茎の中に入り込み、透けて黒く見えることが原因です。典型的なのは、健康な歯茎は普通の色なのに、差し歯の境目だけ黒っぽくなっているケースです。これはメラニン色素ではなく金属が原因で起こります。
A. 表面をレーザーで処置したり差し歯を交換しただけでは改善できません。**歯茎の再生治療(結合組織移植術)**を行い、黒ずんだ部分と内部の金属を取り除いたうえで、健康な歯茎を移植します。これにより、自然なピンク色の歯茎を取り戻すことができます。
A. 歯茎の再生治療は保険外診療で、**1〜3本で77,000円(税込)**が目安です。差し歯をオールセラミックに交換する場合は、1本66,000〜165,000円(税込)が別途必要です。
リスクとしては、外科処置のため術後に縫合が必要で、出血や腫れが起こる可能性があります。また、歯周病や感染の状態によっては希望どおりに回復しない場合もあります。
神田ふくしま歯科
📍 東京都千代田区神田鍛冶町3-2-6F(スターバックス上/JR神田駅北口 徒歩1分)
📞 03-3251-3921 / 0120-25-1839
差し歯の歯茎が下がってしまって、歯の根っこが露出する事があります.歯茎が黒くなってしまった差し歯の多くは歯茎が下がってしまった時におこります.
歯茎が下がった時に歯ぐきの再生治療と言う方法で歯茎を覆う事が可能な場合もあります.

写真の差し歯の犬歯が途中から黒くなっているのがわかるでしょうか?
差し歯の歯茎が下がってしまうと、歯の根っこが露出するため差し歯と色の段差がついて見えてしまいます.
こういったケースでは歯茎の再生治療を行って下がってしまった歯茎を覆う事が必要になります.また、このケースではメタルボンドという金属を使用したセラミックを使用しているため、不透明となっています.差し歯もオールセラミックに作り直した方がきれいになります.
審美歯科のページ
審美歯科のページでは、歯茎の再生・整形治療など、審美歯科の最新トピックスをご紹介しております。少し文章が長くなってしまっていますが,審美歯科治療をする上で失敗して頂きたくないので、がんばって読まれる事をお勧めします。一度に全部読めないでしょうから、ページを登録して頂ければ気になった内容の治療を何度も確認できます。
お問い合わせ
神田ふくしま歯科
東京都千代田区神田鍛冶町3−2−6F スターバックス上
03−3251−3921
0120−25−1839
~歯茎の再生治療と審美歯科治療の注意~
歯茎の再生治療や審美歯科治療は保険外診療となります。当院では、歯茎の再生治療1~3本で7万7千円(税込み)です。また、オールセラミック の種類によって当院では1本6万6千円(税込み)~16万5千円(税込み)のセラミックを選んでいただいております。
このケースでは、上の前歯のスタンダードタイプのオールセラミック 1本9万9千円(税込み)で4本治療し、39万6千円(税込み)かかりました。また、歯茎の再生治療を6本行い15万4千円(税込み)かかります。
料金に関しましては、最小単位の標準的な料金となります。本数の多い場合は、掛け算して計算していただく必要があります。
歯茎が下がって歯の根っ子が露出しているようなケースのうち、歯茎の炎症がなく、歯と歯の間の骨が吸収していないケースに関しては、露出した歯の根っこを覆えることが報告されています。
歯茎の再生治療のリスク
外科的な治療ですので、治療後に糸でしっかりと縫う必要があります。尖ったものが刺さってしまったりして歯茎が開くと出血してしまうリスクがあります。
歯茎の再生治療は、歯周病の進行具合や感染の状況によって回復できる歯茎の位置が変わります。ご希望の位置まで歯茎が必ず回復する治療ではありません。
審美歯科のリスク
審美歯科で歯並びを治す場合のリスクとしては、歯の神経を取らないとしみてしまったり、お痛みが出てしまう場合があります。また、オールセラミック の色合いはかなり天然の歯に近いものになりますが、完全に同じものではありません。
差し歯を入れている部分の歯茎が、時間の経過とともに下がってしまい、歯の根元が見えるようになってしまうことがあります。このように歯茎が下がってしまうと、差し歯の周囲の歯茎が黒っぽく見えて、審美的に気になる方も多くいらっしゃいます。
この「歯茎が黒く見える」という現象は、実は差し歯そのものが原因ではなく、多くの場合は歯茎が退縮したことで差し歯の境界部分や根元が露出することで起こります。
こうした問題を改善するためには、「歯茎の再生治療」という方法があります。歯茎の再生治療とは、自分自身の健康な歯茎の組織を、下がってしまった部分に移植する治療法です。これにより、下がった歯茎を回復させ、歯の根元や差し歯の境界をしっかりと覆い直すことが可能です。
歯茎の再生治療によって見た目が改善されるだけでなく、歯の根元が露出することで起こりやすくなる虫歯や知覚過敏の予防にも効果的です。
ただし、すべてのケースで歯茎を完全に元通りに回復できるわけではありません。症状の程度や歯茎の状態によって効果が異なりますので、治療を希望される方は一度専門的なカウンセリングを受けることをお勧めします。
神田ふくしま歯科では、経験豊富なドクターが無料でカウンセリングを実施しておりますので、差し歯の歯茎の退縮が気になっている方はお気軽にご相談ください。
審美歯科の無料カウンセリングお問い合わせ
神田ふくしま歯科
東京都千代田区神田鍛冶町3−2−6F スターバックス上
JR神田駅北口(モンダミン口)より徒歩1分 (東京駅の隣の駅です)
03−3251−3921
0120−25−1839
A. 多くの場合、差し歯そのものの問題ではなく、歯茎が退縮して歯の根元や差し歯との境目が露出することが原因です。これにより、差し歯の周囲が黒っぽく見えてしまい、見た目に違和感が生じます。
A. 改善には歯茎の再生治療が有効です。自分の健康な歯茎の組織を移植して下がった部分を覆い、自然な歯茎のラインを回復させます。さらに、金属を使った差し歯(メタルボンド)の場合は、不透明さや色の段差が目立つため、オールセラミックに作り直すとより自然で美しい仕上がりになります。
A. 歯茎の再生治療は保険外診療で、1〜3本で77,000円(税込)です。オールセラミックは1本66,000円〜165,000円(税込)が目安となります。例えば、前歯4本のオールセラミック+歯茎再生6本を行った場合、合計で約55万円(税込)かかります。
リスクとしては、外科的処置のため術後に出血や腫れが起こる可能性があります。また、歯周病の進行度や骨の状態によっては希望通りに回復しない場合もあります。
神田ふくしま歯科
📍 東京都千代田区神田鍛冶町3-2-6F(スターバックス上/JR神田駅北口 徒歩1分)
📞 03-3251-3921 / 0120-25-1839

歯の長さが左右でちがうと見た目が審美的でないです。という話をこのページでは何度もしていますので、今更繰り返す必要がないのかと思っていました。
残念ながら、先日の無料カウンセリングにお越しになられた患者様にこのことをお伝えしようとしましたが、なかなか理解をしていただけませんでした。
歯茎の位置を左右で揃えるという内容をご存知の方は少ない上、何のことかわからない。という方も多いので、再度説明させていただきます。
上のお写真では、画面左側の前歯の長さが右側の前歯に比べて長くなっています。その上、左側の差し歯の歯茎が下がってしまって黒くなってしまっています。通常、審美歯科治療を行う際には現状の歯茎の位置で差し歯の作り直しをしますので、左側の差し歯の長さがさらに長くなってしまいます。実際、長い差し歯が入ってしまっている審美歯科の失敗ケースをよくお見かけします。

とりあえず、百聞は一見に如かずという諺もありますので、上の写真と下の写真を見比べてみてください。
前歯の長さが下の歯では揃ったのがわかるでしょうか?画面左側3本の歯に歯茎の再生治療を行って、歯茎の位置を元の位置に回復しています。エコノミーオールセラミック(e-max使用)に交換したから歯茎の位置が揃ったのではなく、歯茎の再生治療を審美歯科に合わせて行ったために歯の長さが揃っているということが重要です。
繰り返しますが、もしも歯茎の再生治療をしなかった場合、画面左側の前歯がさらに長くなってしまいます。前歯を審美的な見た目にするには歯茎の再生治療が重要です。
歯茎の再生・整形に関しましては詳しいページをご覧ください。
~歯茎の再生治療と審美歯科治療の注意~
歯茎の再生治療や審美歯科治療は保険外診療となります。当院では、歯茎の再生治療1~3本で7万7千円(税込)です。また、オールセラミック の種類によって当院では1本6万6千円(税込)~16万5千円(税込み)のセラミックを選んでいただいております。
歯茎が下がって歯の根っ子が露出しているようなケースのうち、歯茎の炎症がなく、歯と歯の間の骨が吸収していないケースに関しては、露出した歯の根っこを覆えることが報告されています。
歯茎の再生治療のリスク
外科的な治療ですので、治療後に糸でしっかりと縫う必要があります。尖ったものが刺さってしまったりして歯茎が開くと出血してしまうリスクがあります。
歯茎の再生治療は、歯周病の進行具合や感染の状況によって回復できる歯茎の位置が変わります。ご希望の位置まで歯茎が必ず回復する治療ではありません。
審美歯科のリスク
審美歯科で歯並びを治す場合のリスクとしては、歯の神経を取らないとしみてしまったり、お痛みが出てしまう場合があります。また、オールセラミック の色合いはかなり天然の歯に近いものになりますが、完全に同じものではありません。
歯の長さが左右で異なっていると、見た目のバランスが崩れてしまい、美しく感じられないことがあります。この点については、これまで何度もお伝えしてきましたが、改めて詳しくご説明いたします。
実際、最近無料カウンセリングにいらっしゃった患者様にも、この点をお伝えしようとしたところ、なかなか理解していただけないことがありました。「歯茎の位置を左右で揃える」という考え方は、あまり一般的ではないため、多くの方にとってイメージしづらいことのようです。
具体的にご説明いたしますと、例えば前歯を見たとき、左右で歯の長さが異なってしまうことがあります。この原因は、多くの場合、歯そのものではなく、歯茎の位置が左右で異なっているためです。
歯茎の位置が片側だけ下がっていると、その歯だけ長く見えてしまいます。さらに、歯茎が下がると差し歯の根元や金属が露出してしまい、黒っぽく見えることもあります。この状態で通常の審美歯科治療を行うと、差し歯の長さを歯茎が下がった位置に合わせて作るため、さらに長く見えるようになってしまいます。
実際に、このような「歯が長くなりすぎてしまう」という審美歯科治療の失敗例も珍しくありません。
そのため、審美的な治療を行う場合は、最初に歯茎の位置を左右で揃えるための「歯茎の再生治療」を行うことが重要です。この治療により、歯茎の位置が整い、差し歯を自然で美しい長さに仕上げることが可能になります。
神田ふくしま歯科では、経験豊富なドクターが無料でカウンセリングを実施し、歯茎や歯の長さについて丁寧にご説明いたします。差し歯の見た目に悩んでいる方は、ぜひお気軽にご相談ください。
審美歯科の無料カウンセリングお問い合わせ
神田ふくしま歯科
東京都千代田区神田鍛冶町3−2−6F スターバックス上
JR神田駅北口(モンダミン口)より徒歩1分 (東京駅の隣の駅です)
03−3251−3921
0120−25−1839
A. 前歯の長さが左右で違って見える原因は、歯そのものではなく歯茎の位置であることが多いです。歯茎が下がったまま差し歯を作り直すと、歯がさらに長く見えてしまい不自然な仕上がりになります。自然で美しい見た目にするには、歯茎の再生治療で高さを揃えることが重要です。
A. 治療は、まず歯茎の再生治療で歯茎の高さを整え、その後にオールセラミックの差し歯を作製します。こうすることで、歯の長さと歯茎のラインが自然に揃います。
歯茎の再生治療(1〜3本):77,000円(税込)
オールセラミック:1本あたり66,000円〜165,000円(税込)
A. 歯茎の再生治療は外科的処置のため、術後に出血や腫れが出る可能性があります。また、歯周病の進行度や感染の状態によっては希望通りに回復しないこともあります。
審美歯科治療では歯を削るため知覚過敏が出ることがあり、場合によっては神経を取る処置が必要です。オールセラミックは天然歯に近い自然な色合いですが、完全に同じ色ではないことをご理解ください。
神田ふくしま歯科
📍 東京都千代田区神田鍛冶町3-2-6F(スターバックス上/JR神田駅北口 徒歩1分)
📞 03-3251-3921 / 0120-25-1839
このブログでは、なんども歯茎が下がってしまった方の審美歯科治療を紹介させていただいております。
歯茎が下がってしまったまま差し歯を入れて後悔される方が多いので、ぜひ歯茎を回復して差し歯の見た目を良くする方法があることを覚えていただきたいと思います。
ご存知ない方もいらっしゃるとおもいます、歯茎が下がってしまって歯が長くなってしまった場合の審美歯科治療をご存知でしょうか?
歯が長いまま審美歯科治療を行ってきれいなオールセラミックが入っているのに歯の長さが長くて見た目が悪いということがあります。
こういった場合、歯茎の再生治療を行って歯の長さを回復させたうえでオールセラミックなどの審美歯科治療を行うことがお勧めです。
お問い合わせ
神田ふくしま歯科
東京都千代田区神田鍛冶町3−2−6F スターバックス上
JR神田駅北口より徒歩1分 (東京駅の隣の駅です)
03−3251−3921
0120−25−1839
~歯茎の再生治療と審美歯科治療の注意~
歯茎の再生治療や審美歯科治療は保険外診療となります。当院では、歯茎の再生治療1~3本で7万円(税別)です。また、オールセラミック の種類によって当院では1本6万円(税別)~15万円(税別)のセラミックを選んでいただいております。
歯茎が下がって歯の根っ子が露出しているようなケースのうち、歯茎の炎症がなく、歯と歯の間の骨が吸収していないケースに関しては、露出した歯の根っこを覆えることが報告されています。
歯茎の再生治療のリスク
外科的な治療ですので、治療後に糸でしっかりと縫う必要があります。尖ったものが刺さってしまったりして歯茎が開くと出血してしまうリスクがあります。
歯茎の再生治療は、歯周病の進行具合や感染の状況によって回復できる歯茎の位置が変わります。ご希望の位置まで歯茎が必ず回復する治療ではありません。
審美歯科のリスク
審美歯科で歯並びを治す場合のリスクとしては、歯の神経を取らないとしみてしまったり、お痛みが出てしまう場合があります。また、オールセラミック の色合いはかなり天然の歯に近いものになりますが、完全に同じものではありません。
~歯茎の再生治療と審美歯科治療の注意~
歯茎の再生治療や審美歯科治療は保険外診療となります。当院では、歯茎の再生治療1~3本で7万円(税別)です。また、オールセラミック の種類によって当院では1本6万円(税別)~15万円(税別)のセラミックを選んでいただいております。
歯茎が下がって歯の根っ子が露出しているようなケースのうち、歯茎の炎症がなく、歯と歯の間の骨が吸収していないケースに関しては、露出した歯の根っこを覆えることが報告されています。
歯茎の再生治療のリスク
外科的な治療ですので、治療後に糸でしっかりと縫う必要があります。尖ったものが刺さってしまったりして歯茎が開くと出血してしまうリスクがあります。
歯茎の再生治療は、歯周病の進行具合や感染の状況によって回復できる歯茎の位置が変わります。ご希望の位置まで歯茎が必ず回復する治療ではありません。
審美歯科のリスク
審美歯科で歯並びを治す場合のリスクとしては、歯の神経を取らないとしみてしまったり、お痛みが出てしまう場合があります。また、オールセラミック の色合いはかなり天然の歯に近いものになりますが、完全に同じものではありません。
このブログでは、歯茎が下がってしまった場合の審美歯科治療について、数多くご紹介しています。
実は、歯茎が下がった状態のまま差し歯を作ってしまい、後悔される方が非常に多くいらっしゃいます。歯茎が下がると、歯が長く見えるようになり、不自然な見た目になってしまうからです。
多くの方はご存じないかもしれませんが、歯茎が下がって歯が長く見える場合でも、「歯茎の再生治療」を行うことで元の自然な歯茎の位置まで回復することが可能です。この治療をすることで、歯の長さを正常に戻し、より自然で美しい見た目を取り戻せます。
特に、審美歯科治療で美しいオールセラミックの差し歯を入れたとしても、歯茎が下がった状態では見た目が不自然なままになってしまいます。そのため、審美歯科治療を行う前に歯茎の再生治療を行い、歯茎の高さを整えることが理想的です。歯茎の位置が改善した後にオールセラミックを入れることで、より自然で美しい口元を実現できます。
神田ふくしま歯科では、経験豊富なドクターが無料でカウンセリングを行っています。「歯茎が下がって差し歯の見た目が気になる」という方は、ぜひ一度お気軽にご相談ください。
審美歯科の無料カウンセリングお問い合わせ
神田ふくしま歯科
東京都千代田区神田鍛冶町3−2−6F スターバックス上
JR神田駅北口(モンダミン口)より徒歩1分 (東京駅の隣の駅です)
03−3251−3921
0120−25−1839
A. 歯茎が下がると歯が長く見えてしまい、せっかくオールセラミックの差し歯を入れても「歯が長い」「不自然」と感じられることがあります。そのため、審美歯科治療の前に歯茎の再生治療を行い、歯の長さを整えることが自然で美しい仕上がりにつながります。
A. 当院ではまず歯茎の再生・整形で歯茎の高さを整え、その後にオールセラミック治療を行うことをおすすめしています。
歯茎の再生治療(1~3本):70,000円(税別)
オールセラミック:1本あたり 60,000円~150,000円(税別)
歯茎を整えてから審美歯科治療を行うことで、歯の長さや歯茎のラインが左右対称になり、自然で美しい口元を実現できます。
A. 歯茎の再生治療は外科的処置のため、術後に縫合が必要であり、出血のリスクがあります。また、歯周病の進行度や感染の状態によっては希望通りの位置まで回復できないこともあります。
審美歯科治療では歯を削るため知覚過敏が出たり、神経を取らないと痛みが出る場合があります。オールセラミックの色は天然歯に近い仕上がりですが、完全に同じではありません。
神田ふくしま歯科
📍 東京都千代田区神田鍛冶町3-2-6F(スターバックス上/JR神田駅北口 徒歩1分)
📞 03-3251-3921 / 0120-25-1839
審美歯科治療では、歯茎が黒く見える問題に対応しております。
歯茎が黒く見える原因の一つに、神経の無い歯の歯茎が下がってしまうことが考えられます。最近主流になっている、金属を使用しないタイプのオールセラミックを使用しても歯茎が下がってしまうと歯茎が黒く見えるようになってしまいます。
歯茎が下がって歯茎が黒く見えてしまい審美的に問題を感じられる方も多いようです.下のお写真のケースのように、歯茎が下がった状態で差し歯を交換すると長い歯になってしまいますので、こういったケースでは歯ぐきの再生治療にて歯茎を回復させる事が審美歯科治療を上手く進めるために必要と考えております.

歯茎が下がりやすい方で、以前歯茎が下がった後にセラミックを交換したのに、また下がってしまったケースです。
前歯のセラミックの長さがすでに左右で違いますが、さらに歯茎が下がってしまっていますので、このままの歯ぐきの状態で再治療を行うと、さらに前歯の長さに左右左が出てしまいます。
こういった歯ぐきの位置が違うケースでは、セラミック治療と合わせて歯ぐきの再生治療を行います。
セラミックの状態が良い場合はそのまま歯茎の再生治療で下がった歯茎を元に戻せば良いのですがお写真のケースではセラミックの状態が悪いため前歯4本ののオールセラミックを再治療する事になりました.

上の前歯を仮歯に変えて、画面左側の前歯3本の歯茎を歯ぐきの再生治療で回復させて治癒を待っている状態です.
下がってしまっていた歯茎の位置を回復させたために前歯の歯茎の位置が揃っています。
画面左の犬歯はオールセラミックを外さずに歯ぐきの再生治療を行ったため、回復は限定的ですが,下がってしまった部分の黒く見えていた所は歯茎で覆う事が出来ています.
また、前歯の長さを整える事が出来ました.
噛み合わせの関係で下の前歯は部分矯正治療を2ヶ月程行っています.

最終的なセラミック4本を入れた状態です。前歯の長さも綺麗に並びました。
(注意)歯周病の進行状態によって歯茎の再生治療がご希望の位置まで回復しない場合があります。カウンセリングにてご相談ください。
歯ぐきの再生治療に関してご存知の無い方は下記のリンクページに詳しい内容を記載させて頂いております.クリックしてご覧ください.
歯ぐきの再生治療と審美歯科のページ
また、歯茎が下がってしまったと言う方で審美歯科治療を希望の方は無料カウンセリングを行っておりますのでご利用ください.無料カウンセリングにて治療方法のご説明、お見積もりのお渡しをいたします.
無料カウンセリングお問い合わせ
神田ふくしま歯科
東京都千代田区神田鍛冶町3−2−6F スターバックス上
JR神田駅北口より徒歩1分 (東京駅の隣の駅です。)
0120−25−1839
03−3251−3921
~歯茎の黒ずみの治療の注意~
歯茎の再生治療で、歯茎の黒くなってしまっている歯茎をきれいな歯茎と入れ替えます。
歯茎の再生治療は保険外診療となります。当院では、歯茎の再生治療1~3本で7万7千円(税別)かかります。合わせて、審美歯科治療でオールセラミック 治療を行う場合は別途料金がかかります。
リスク
外科的な治療ですので、治療後に糸でしっかりと縫う必要があります。尖ったものが刺さってしまったりして歯茎が開くと出血してしまうリスクがあります。
歯茎の再生治療は、歯周病の進行具合や感染の状況によって回復できる歯茎の位置が変わります。ご希望の位置まで歯茎が必ず回復する治療ではありません。
~審美歯科治療の注意点~
審美歯科治療は保険外診療となります。オールセラミック で歯並びなどを治す場合、オールセラミック の種類によって当院では1本6万6千円(税込)~16万5千円(税込)のセラミックを選んでいただいております。また、神経のない歯はオールセラミック とは別にファイバーコア(税込2万2千円)という歯の土台の料金がかかる場合があります。
料金に関しましては、1本あたりの標準的な料金となります。多数の歯を治す場合は、本数分の治療費がかかります。
審美歯科治療では、歯の大きさや形の修正、歯の変色の改善、歯並びの改善を目的にオールセラミック などの材料を使用しております。リスク等もございますのでご確認ください。歯茎の位置を改善するために歯茎の再生・整形を行う場合は別途料金がかかります。
また、審美歯科で歯並びを治す場合のリスクとしては、歯の神経を取らないとしみてしまったり、お痛みが出てしまう場合があります。痛みの症状が出た場合は歯の神経を取り除く必要がある場合があります。また、オールセラミック の色合いはかなり天然の歯に近いものになりますが、完全に同じものではありません。
審美歯科治療では、「歯茎が黒く見える」というお悩みにも対応しています。
歯茎が黒く見える主な原因として、「歯の神経がない歯の歯茎が下がってしまうこと」が挙げられます。近年、金属を使用しないオールセラミックが主流となっていますが、このセラミックを使用しても歯茎が下がると歯茎の黒ずみが目立つことがあります。
歯茎が下がると、歯と歯茎の境目に黒ずみが現れてしまい、見た目の美しさが損なわれるため、審美的に問題を感じる方が多くいらっしゃいます。また、歯茎が下がった状態で差し歯を交換すると、歯の長さが不自然に長くなり、より見た目が悪くなってしまうことがあります。
このようなケースでは、「歯茎の再生治療」を行って歯茎を元の位置に回復させることが重要です。歯茎の再生治療を行うことで、自然な歯茎の位置と美しい歯並びを取り戻し、審美歯科治療の効果をより高めることが可能になります。
神田ふくしま歯科では、経験豊富なドクターが無料カウンセリングを行っています。歯茎の黒ずみや審美歯科治療について気になることがあれば、お気軽にご相談ください。
審美歯科の無料カウンセリングお問い合わせ
神田ふくしま歯科
東京都千代田区神田鍛冶町3−2−6F スターバックス上
JR神田駅北口(モンダミン口)より徒歩1分 (東京駅の隣の駅です)
03−3251−3921
0120−25−1839
A. 主な原因のひとつは、神経のない歯の歯茎が下がることです。近年主流のオールセラミックを使用しても、歯茎が下がってしまうと境目が黒く見えてしまうことがあります。
A. ケースによっては、歯ぐきの再生治療が必要になります。歯茎が下がった状態でセラミックを交換すると、歯が不自然に長く見えてしまいます。そのため、歯茎を回復させてから審美歯科治療を行うのが理想的です。
A. 歯茎の状態やセラミックの劣化具合によって異なります。
セラミックが良好な場合:歯茎の再生治療のみで改善可能
セラミックが不良な場合:歯茎の再生治療 + オールセラミック再治療を行うことがあります
また、噛み合わせの状態によっては部分矯正を併用するケースもあります。
A. 保険外診療となり、1~3本で 77,000円(税込)~ です。治療範囲により費用は変わります。
A. オールセラミックの種類により、当院では1本 66,000円(税込)~165,000円(税込) です。
神経のない歯の場合は、別途ファイバーコア(土台)22,000円(税込) が必要となることがあります。
A. はい、以下の点にご注意ください。
歯茎の再生治療は外科処置のため、縫合が必要で、腫れや出血のリスクがあります。
歯周病が進行している場合、ご希望の位置まで歯茎が回復しないことがあります。
審美歯科では神経を取らないと痛みが出ることがあり、神経治療が必要になる場合があります。
オールセラミックは天然歯に近い色調ですが、完全に同じ色にはなりません。
A. はい。当院では審美歯科・歯ぐきの再生治療に関する無料カウンセリングを行っております。治療方法や費用の説明を行い、お見積もりをお渡しいたします。お気軽にご利用ください。
📍 神田ふくしま歯科
東京都千代田区神田鍛冶町3-2-6F(スターバックス上)
JR神田駅北口(モンダミン口)より徒歩1分(東京駅の隣駅)
📞 03-3251-3921 / 0120-25-1839
差し歯にした前歯の長さが短い。もともと出っ歯だったのを差し歯で並べたのだけど、歯の長さが短くなってしまった。見た目を良くしたいということでお悩みの方に朗報です。
歯の長さを綺麗に左右で揃える歯茎の審美歯科治療のご紹介をいたします。具体的には歯茎の再生・歯茎の整形によって前歯の歯茎の長さを左右で揃えていきます。
歯の長さに関する問題は、通常差し歯の長さが小さいということが問題になります。小さい差し歯は歯茎を整形することで平均的な見た目の歯の長さとすることが可能になります。
歯茎の整形は簡単な麻酔を行うだけで30分ほどで終わります。以下に治療例をご紹介いたします。
歯の短い方におすすめの歯茎の整形処置のご紹介です。
歯茎の整形処置を行うことで、歯の大きさ左右非対称です。歯茎のラインを揃えます。歯の大きさは左右で同じ方がきれいに見えます。
歯茎の整形後の経過ですが、真ん中が直後で右は来院時、約2週間後の状態です。歯茎はきれいに引き締まってきます。特に傷跡が残ることはありません。それから、痛みは全く無かったということでした。
また、歯茎の整形前に金属の土台を4本顕微鏡を見ながら削り取りました。拡大して処置を行いますので、金属以外のところを削る心配はありません。
お時間30分ほどで終わりました。次回は根っこの中の消毒になります。
歯茎の整形に関しましては、下記のリンクページに詳しい内容を記載させていただいております。クリックしてご覧ください。
また、歯茎の整形を希望される方に無料カウンセリングを行っておりますのでご利用ください。無料カウンセリングにて治療方法のご説明、お見積りのお渡しをいたします。
通常、保険外診療を行っている歯科医院ではカウンセリング料が5千円〜高いところで10万円ほどの費用がかかります。当院では、なるべく多くの方に審美歯科治療を受けていただきたいので、気軽にカウンセリングを受けられるようカウンセリング料を無料とさせていただいております。(ただいま混雑しており先まで予約を取れない場合もございますので、なるべくお早めにご予約をお取りになることをお勧めしております。)
無料カウンセリングお問い合わせ
神田ふくしま歯科
東京都千代田区神田鍛冶町3−2−6F スターバックス上
JR神田駅北口より徒歩1分
0120−25−1839
03−3251−3921
~歯茎の再生治療の注意~
お写真や治療法のご説明の内容を掲載する際には、料金や治療のリスクを表示することになっております。治療を検討される際には、注意も合わせてご確認ください。
歯茎の再生治療は保険外診療となります。当院では、歯茎の再生治療1~3本で7万7千円(税込)かかります。また、術後は歯ブラシができないため、病院で消毒・クリーニングを行います。消毒も保険外となりますので、1回の消毒・クリーニングに¥5,500−(税込)の費用がかかります。通常4回の消毒にお越しいただいております。
歯茎が下がって歯の根っ子が露出しているケースのように歯茎の炎症がなく、歯と歯の間の骨が吸収していないケースに関しては、露出した歯の根っこを覆えることが報告されています。歯周病が進行したケースなど歯を支える骨の吸収したケースでは、歯茎が回復しない場合もあります。
n 歯茎の再生治療のリスクと対策
歯茎の再生治療は外科的な治療ですので、治療後に糸でしっかりと縫う必要があります。尖ったものが刺さってしまったりして歯茎が開くと出血してしまうリスクがあります。また、術後に腫れや痛みが出ることがあります。そのため、当院では、出血予防止血対策にに止血用マウスピースをお渡ししております。また、術後の注意を守っていただいております。
歯茎の再生治療は、歯周病の進行具合や感染の状況によって回復できる歯茎の位置が変わります。ご希望の位置まで歯茎が必ず回復する治療ではありません。当院では、審美的な回復のための方法も行っておりますので併せて紹介しております。
審美歯科の注意
・料金と選択方法
オールセラミック治療は保険外診療となります。オールセラミックの種類によって1本66,000円(税込)~165,000円(税込)の料金がかかります。また、神経のない歯はオールセラミックとは別にファイバーコアという歯の土台の料金22,000円(税込)がかかる場合があります。当院では、患者さんのニーズに合わせてセラミックの種類を選択できるように強度重視・自然さを重視などセラミックの特色に合わせて対応させていただいております。料金に関しましては、1本あたりの標準的な料金となります。多数の歯を治す場合は、本数分の治療費がかかります。
・リスクと対策
オールセラミックの色合いはかなり天然の歯に近いものになりますが、完全に同じものではありません。当院ではご希望に合わせて高精度の写真や技工士さんの立ち合いなどこだわったオーダーメイドセラミックを作製することも可能です。
審美歯科治療では、歯の大きさや形の修正、歯の変色の改善、歯並びの改善を目的にオールセラミック などの材料を使用しております。リスク等もございますのでご確認ください。歯茎の位置を改善するために歯茎の再生・整形を行う場合は別途料金がかかります。
また、セラミック治療をする場合、歯を削る必要があります。治療後に知覚過敏を起こすことがあります。当院では神経のある歯を削った後はコーティング剤を塗布し、処置後しばらくは熱いものや冷たいものなどの刺激物を取らないよう気を付けていただいております。
前歯を差し歯にしたけれど「歯の長さが短くなってしまった」「もともと出っ歯だったのを差し歯で整えたけど見た目が気になる」とお悩みの方におすすめの治療があります。
①【歯茎の整形・再生で歯の長さを調整】 歯茎の審美歯科治療(歯茎の再生や整形)によって、前歯の歯茎のラインを左右で美しく揃えることができます。
②【歯の長さを自然で美しく】 差し歯の長さが短すぎる場合は、歯茎の位置を調整することで自然で平均的な歯の長さに見えるようになります。
③【手軽に受けられる治療】 歯茎の整形治療は簡単な麻酔を行い、約30分程度で完了するため、手軽に見た目を改善できます。
神田ふくしま歯科では、経験豊富なドクターが無料カウンセリングを行い、患者様に最適な治療法をご提案いたします。具体的な治療例についてもぜひお気軽にお問い合わせください。
審美歯科の無料カウンセリングお問い合わせ
神田ふくしま歯科
東京都千代田区神田鍛冶町3−2−6F スターバックス上
JR神田駅北口(モンダミン口)より徒歩1分 (東京駅の隣の駅です)
03−3251−3921
0120−25−1839
A. もともとの歯並び(出っ歯など)を差し歯で整えた際や、歯茎の位置の影響で差し歯が短く見えることがあります。見た目に違和感を感じる大きな原因です。
A. はい。歯茎の整形や歯茎の再生治療を行うことで、歯茎のラインを整え、左右でバランスのとれた歯の長さに調整できます。
A. 簡単な麻酔を行い、30分ほどで完了する外科的処置です。歯茎のラインを揃えることで歯の見た目が整い、自然で美しい印象になります。傷跡はほとんど残らず、痛みも少ないのが特徴です。
A. 治療直後は腫れや赤みがありますが、2週間程度で歯茎が引き締まり、きれいなラインになります。
A. 保険外診療です。
歯茎の再生治療(1〜3本):77,000円(税込)
オールセラミック:66,000〜165,000円(税込/1本)
※神経のない歯にはファイバーコア(土台)の追加費用22,000円(税込)が必要な場合があります。
A. はい。
歯茎の再生治療は外科的処置のため、術後に出血・腫れ・痛みが出る可能性があります。
歯周病や骨の状態によっては、希望どおりに回復しない場合があります。
セラミック治療では歯を削る必要があり、知覚過敏や痛みが出ることもあります。
オールセラミックの色は天然歯に近いですが、完全に同じ色にはなりません。
A. いいえ。当院では**無料カウンセリング(予約制)**を行っています。通常は5,000円〜数万円かかる歯科医院もありますが、当院ではできるだけ気軽にご相談いただけるよう無料で対応しております。
📞 0120-25-1839
📞 03-3251-3921
👉 「差し歯の長さが短い」「前歯の見た目をもっと自然に整えたい」と感じている方は、ぜひ無料カウンセリングをご利用ください。




下がってしまっていた犬歯の歯茎が特に回復しています.
処置後2週なのでまだ歯茎が赤い部分があります.
